上客户端,和病友交流
点击下载
返回
肺癌

2026年一定要知道的十大非小细胞肺癌新药新技术

肺癌2026-03-11
2026年一定要知道的十大非小细胞肺癌新药新技术

2026年22款肺癌新药扎堆上市,这些基因突变患者有新药了

肺癌2026-02-05
2026年22款肺癌新药扎堆上市,这些基因突变患者有新药了

“打一针”实现长期生存!2026年6大专属的肺癌疫苗震撼登场

肺癌2026-01-30
“打一针”实现长期生存!2026年6大专属的肺癌疫苗震撼登场

肠道菌群联合化疗治疗晚期肺癌,帮患者缓解率翻倍

肺癌2026-01-16
肠道菌群联合化疗治疗晚期肺癌,帮患者缓解率翻倍

2025年ESMO大会首曝GC101的I期数据:66.7%生存率,刷新肺癌生存新高度

肺癌2026-01-13
2025年ESMO大会首曝GC101的I期数据:66.7%生存率,刷新肺癌生存新高度

2026年肺癌患者必看:21款获批的肺癌新药+6大免疫黑科技,横扫八大靶点,临床治愈之路再提速

肺癌2026-01-12
2026年肺癌患者必看:21款获批的肺癌新药+6大免疫黑科技,横扫八大靶点,临床治愈之路再提速

egfr20ins突变靶向药,JMT101+奥希替尼强强联合,肺癌耐药控病率95%

肺癌2026-01-08
egfr20ins突变靶向药,JMT101+奥希替尼强强联合,肺癌耐药控病率95%

告别复发阴霾!放疗联合免疫疗法治疗肺癌,帮助患者4年无事件生存率飙升至77%

肺癌2026-01-06
告别复发阴霾!放疗联合免疫疗法治疗肺癌,帮助患者4年无事件生存率飙升至77%

DCVAC/LuCa联合化疗治疗晚期非小细胞肺癌,双重生存获益,缓解率45%

肺癌2025-12-31
DCVAC/LuCa联合化疗治疗晚期非小细胞肺癌,双重生存获益,缓解率45%

NTRK基因融合阳性突变靶向药恩曲替尼胶囊(罗圣全、Entrectinib、Rozlytrek)让全球首例ETV6-NTRK2融合罕见肺癌重获新生

肺癌2025-12-25
NTRK基因融合阳性突变靶向药恩曲替尼胶囊(罗圣全、Entrectinib、Rozlytrek)让全球首例ETV6-NTRK2融合罕见肺癌重获新生

2025年12月18日FDA批准阿米万他单抗(Rybrevant Faspro)用于治疗携带EGFR突变的非小细胞肺癌

肺癌2025-12-24
2025年12月18日FDA批准阿米万他单抗(Rybrevant Faspro)用于治疗携带EGFR突变的非小细胞肺癌

全球首创Vx001疫苗治疗晚期肺癌帮患者中位总生存超21个月

肺癌2025-12-23
全球首创Vx001疫苗治疗晚期肺癌帮患者中位总生存超21个月

质子治疗肺癌控病率89%,5年生存率70%,九成患者仅出现轻微副作用

肺癌2025-12-18
质子治疗肺癌控病率89%,5年生存率70%,九成患者仅出现轻微副作用

TCR-T细胞疗法NY-ESO-1治疗多线耐药的晚期肺癌,患者部分缓解,肿瘤大幅缩小

肺癌2025-12-11
TCR-T细胞疗法NY-ESO-1治疗多线耐药的晚期肺癌,患者部分缓解,肿瘤大幅缩小

TIL细胞疗法自体肿瘤浸润淋巴细胞BEN201临床试验现正在急招肺癌患者

肺癌2025-12-03
TIL细胞疗法自体肿瘤浸润淋巴细胞BEN201临床试验现正在急招肺癌患者

靶向EGFR/HER3的双特异性抗体偶联药物(双抗ADC)BL-B01D1临床试验现正在招募肺癌患者

肺癌2025-11-27
靶向EGFR/HER3的双特异性抗体偶联药物(双抗ADC)BL-B01D1临床试验现正在招募肺癌患者

为什么体检查不出来癌症?肺癌早筛有哪些手段?

肺癌2025-11-27
为什么体检查不出来癌症?肺癌早筛有哪些手段?

2025年11月24日国家药监局批准PD-L1抑制剂度伐利尤单抗(Durvalumab、Imfinzi)用于非小细胞肺癌

肺癌2025-11-26
2025年11月24日国家药监局批准PD-L1抑制剂度伐利尤单抗(Durvalumab、Imfinzi)用于非小细胞肺癌

重组抗PD-L1和VEGF双特异性抗体IMM2510临床试验现正在急招肺癌患者

肺癌2025-11-21
重组抗PD-L1和VEGF双特异性抗体IMM2510临床试验现正在急招肺癌患者

2025年11月19日FDA加速批准HER2 TKD靶向药Sevabertinib(塞瓦替尼)用于局部晚期或转移性非鳞状非小细胞肺癌

肺癌2025-11-21
2025年11月19日FDA加速批准HER2 TKD靶向药Sevabertinib(塞瓦替尼)用于局部晚期或转移性非鳞状非小细胞肺癌

古巴肺癌疫苗CIMAvax-EGF帮患者绝境逆袭,2年OS率50%,23%患者跨过5年大关

肺癌2025-11-20
古巴肺癌疫苗CIMAvax-EGF帮患者绝境逆袭,2年OS率50%,23%患者跨过5年大关

2025年11月6日NCCN指南更新,德达博妥单抗(Dato-DXd、Datroway、Datopotamab deruxtecan,DS-1062a)成EGFR耐药肺癌二线首选,控病

肺癌2025-11-14
2025年11月6日NCCN指南更新,德达博妥单抗(Dato-DXd、Datroway、Datopotamab deruxtecan,DS-1062a)成EGFR耐药肺癌二线首选,控病

靶向B7H3的抗体偶联(ADC)药物YL201临床试验现正在招募小细胞肺癌患者

肺癌2025-11-10
靶向B7H3的抗体偶联(ADC)药物YL201临床试验现正在招募小细胞肺癌患者

DC疫苗联合化疗治疗晚期非小细胞肺癌帮患者总生存期和无进展生存期双延长,缓解率高达45%

肺癌2025-11-04
DC疫苗联合化疗治疗晚期非小细胞肺癌帮患者总生存期和无进展生存期双延长,缓解率高达45%

NK细胞疗法治疗晚期肺癌1年生存率飙升至56%

肺癌2025-11-04
NK细胞疗法治疗晚期肺癌1年生存率飙升至56%

抗体偶联(ADC)药物7MW3711临床试验现正在招募肺癌患者

肺癌2025-11-03
抗体偶联(ADC)药物7MW3711临床试验现正在招募肺癌患者

质子治疗肺癌以亚毫米精度爆破,三年生存率提升30%

肺癌2025-11-03
质子治疗肺癌以亚毫米精度爆破,三年生存率提升30%

靶向PD-1和VEGF的双特异性抗体SCTB14临床试验正在招募肺癌患者

肺癌2025-10-30
靶向PD-1和VEGF的双特异性抗体SCTB14临床试验正在招募肺癌患者

NK细胞疗法治疗晚期肺癌,27%的病友挺过两年

肺癌2025-10-28
NK细胞疗法治疗晚期肺癌,27%的病友挺过两年

全球首个获批的TIL细胞疗法Lifileucel治疗肺癌客观缓解率朝64%,单例病情缓解超2年

肺癌2025-10-27
全球首个获批的TIL细胞疗法Lifileucel治疗肺癌客观缓解率朝64%,单例病情缓解超2年

2025年ESMO捷报:国创PD-1/VEGF双特异性抗体药物依沃西单抗(AK112、Ivonescimab)3期数据出炉,肺癌1年无进展生存率48%

肺癌2025-10-21
2025年ESMO捷报:国创PD-1/VEGF双特异性抗体药物依沃西单抗(AK112、Ivonescimab)3期数据出炉,肺癌1年无进展生存率48%

PD-L1免疫治疗药物信迪力单抗临床试验现正在招募肺癌患者

肺癌2025-10-17
PD-L1免疫治疗药物信迪力单抗临床试验现正在招募肺癌患者

EGFR突变且奥希替尼耐药后怎么办?SNK01联合疗法让半数患者肿瘤缩小,二三线均有效

肺癌2025-10-17
EGFR突变且奥希替尼耐药后怎么办?SNK01联合疗法让半数患者肿瘤缩小,二三线均有效

新一代靶向药HCB101临床试验现正在招募肺癌患者

肺癌2025-10-15
新一代靶向药HCB101临床试验现正在招募肺癌患者

SYS6010临床试验,SYS6010(CPO301)联合恩朗苏拜单抗注射液临床试验现正在招募肺癌患者

肺癌2025-10-15
SYS6010临床试验,SYS6010(CPO301)联合恩朗苏拜单抗注射液临床试验现正在招募肺癌患者

2025年10月2日FDA批准阿替利珠单抗联合芦比替定用于小细胞肺癌一线治疗

肺癌2025-10-15
2025年10月2日FDA批准阿替利珠单抗联合芦比替定用于小细胞肺癌一线治疗

日本研究:DC疫苗治疗晚期肺癌帮助患者1年生存率突破85%

肺癌2025-10-15
日本研究:DC疫苗治疗晚期肺癌帮助患者1年生存率突破85%

DC疫苗联合化疗治疗晚期非小细胞肺癌,告别“低生存”,帮患者OS/PFS双延长,缓解率高达45%

肺癌2025-10-10
DC疫苗联合化疗治疗晚期非小细胞肺癌,告别“低生存”,帮患者OS/PFS双延长,缓解率高达45%

肺癌无法手术怎么办?NK细胞联合放化疗治疗无法手术的肺鳞癌,患者无进展生存率从33%飙升至67%

肺癌2025-10-09
肺癌无法手术怎么办?NK细胞联合放化疗治疗无法手术的肺鳞癌,患者无进展生存率从33%飙升至67%

多线耐药晚期肺癌有救了,靶向MAGE-A10靶点TCR-T细胞疗法ADP-A2M10创最长生存超15个月

肺癌2025-09-30
多线耐药晚期肺癌有救了,靶向MAGE-A10靶点TCR-T细胞疗法ADP-A2M10创最长生存超15个月

2025年9月26日FDA批准舒沃替尼片(舒沃哲、Sunvozertinib、DZD9008、Zegfrovy)用于EGFR 20ins型非小细胞肺癌

肺癌2025-09-29
2025年9月26日FDA批准舒沃替尼片(舒沃哲、Sunvozertinib、DZD9008、Zegfrovy)用于EGFR 20ins型非小细胞肺癌

ROS1靶向药JYP0322临床试验现正在招募肺癌患者

肺癌2025-09-25
ROS1靶向药JYP0322临床试验现正在招募肺癌患者

2025年9月15日日本厚生劳动省批准肿瘤电场疗法Optune Lua(TTFields)用于非小细胞肺癌

肺癌2025-09-19
2025年9月15日日本厚生劳动省批准肿瘤电场疗法Optune Lua(TTFields)用于非小细胞肺癌

奥希替尼耐药后吃什么靶向药,新一代肺癌“精准导弹”依沃西单抗(Ivonescimab)横空出世,疾病控制率高达84%

肺癌2025-09-18
奥希替尼耐药后吃什么靶向药,新一代肺癌“精准导弹”依沃西单抗(Ivonescimab)横空出世,疾病控制率高达84%

FDA授予CBP/p300溴结构域抑制剂TT125-802用于晚期肺癌快速通道资格

肺癌2025-09-12
FDA授予CBP/p300溴结构域抑制剂TT125-802用于晚期肺癌快速通道资格

ROS1靶向药新药Taletrectinib(Ibtrozi)超80%患者肿瘤显著消退,为肺癌患者带来曙光

肺癌2025-09-12
ROS1靶向药新药Taletrectinib(Ibtrozi)超80%患者肿瘤显著消退,为肺癌患者带来曙光

2025 WCLC重磅:ctDNA检测成肺癌术后“复发预警器”,敏感性达90%!六大防复发方案看这里

肺癌2025-09-11
2025 WCLC重磅:ctDNA检测成肺癌术后“复发预警器”,敏感性达90%!六大防复发方案看这里

新型DC疫苗DC-Ad-p53治疗复发/耐药小细胞肺癌,近四成患者活过1年,二线缓解率超61%

肺癌2025-09-11
新型DC疫苗DC-Ad-p53治疗复发/耐药小细胞肺癌,近四成患者活过1年,二线缓解率超61%

国研DLL3靶向药SHR-4849(IDE849)首曝临床最新数据,小细胞肺癌脑转移DCR100%

肺癌2025-09-10
国研DLL3靶向药SHR-4849(IDE849)首曝临床最新数据,小细胞肺癌脑转移DCR100%

靶向DLL3的抗体偶联(ADC)药物ZL-1310临床试验现正在招募小细胞肺癌患者

肺癌2025-09-09
靶向DLL3的抗体偶联(ADC)药物ZL-1310临床试验现正在招募小细胞肺癌患者

SDTM001注射液临床试验正在招募非小细胞肺癌患者

肺癌2025-09-03
SDTM001注射液临床试验正在招募非小细胞肺癌患者

国研CEA CAR-T细胞疗法治疗复发肺癌,从"无药可用"到"近9成可控"

肺癌2025-09-02
国研CEA CAR-T细胞疗法治疗复发肺癌,从"无药可用"到"近9成可控"

2025年8月29日国家药监局批准全球首个HER2口服靶向药宗艾替尼片(宗格替尼/Zongertinib、圣赫途/Hernexeos、BI1810631)用于非小细

肺癌2025-09-01
2025年8月29日国家药监局批准全球首个HER2口服靶向药宗艾替尼片(宗格替尼/Zongertinib、圣赫途/Hernexeos、BI1810631)用于非小细

抗体偶联ADC类TROP2靶向药MHB036C临床试验现正在招募晚期肺癌患者

肺癌2025-08-26
抗体偶联ADC类TROP2靶向药MHB036C临床试验现正在招募晚期肺癌患者

控病率达70%,专属小细胞肺癌的CAR-T细胞疗法重磅登场2025年世界肺癌大会

肺癌2025-08-26
控病率达70%,专属小细胞肺癌的CAR-T细胞疗法重磅登场2025年世界肺癌大会

中国领衔十大肺癌抗癌药新药重磅现身2025 WCLC,生存期延长,脑转移可用,肺癌患者有救了

肺癌2025-08-25
中国领衔十大肺癌抗癌药新药重磅现身2025 WCLC,生存期延长,脑转移可用,肺癌患者有救了

靶向PD-L1和VEGF-A的双抗药物BNT327(Pumitamig)治疗小细胞肺癌疾病控制率100%+近90%肿瘤缩小

肺癌2025-08-22
靶向PD-L1和VEGF-A的双抗药物BNT327(Pumitamig)治疗小细胞肺癌疾病控制率100%+近90%肿瘤缩小

HER2靶向药宗格替尼片(Zongertinib、Hernexeos、BI1810631)跻身2025最新NCCN肺癌指南,HER2肺癌缓解率高达71%,无进展生存超1年

肺癌2025-08-22
HER2靶向药宗格替尼片(Zongertinib、Hernexeos、BI1810631)跻身2025最新NCCN肺癌指南,HER2肺癌缓解率高达71%,无进展生存超1年

国研CEA CAR-T找到抗癌"精准坐标",87%复发性肺癌病情受控,部分生存率超90%

肺癌2025-08-21
国研CEA CAR-T找到抗癌"精准坐标",87%复发性肺癌病情受控,部分生存率超90%

捷报!上海胸科医院树突细胞(DC)疫苗Ⅱ期临床登ESMO,肺癌2年生存率超50%

肺癌2025-08-20
捷报!上海胸科医院树突细胞(DC)疫苗Ⅱ期临床登ESMO,肺癌2年生存率超50%

2025年8月8日FDA加速批准全球首个HER2肺癌口服靶向药宗格替尼(Zongertinib、Hernexeos、BI1810631)用于非小细胞肺癌

肺癌2025-08-20
2025年8月8日FDA加速批准全球首个HER2肺癌口服靶向药宗格替尼(Zongertinib、Hernexeos、BI1810631)用于非小细胞肺癌

新型抗癌疫苗联合靶向药治疗晚期肺癌两个周期肿瘤缩小69%,帮患者重回正常生活

肺癌2025-08-18
新型抗癌疫苗联合靶向药治疗晚期肺癌两个周期肿瘤缩小69%,帮患者重回正常生活

个性化新抗原疫苗治疗肺癌,激活免疫力,75%患者肿瘤受控

肺癌2025-08-14
个性化新抗原疫苗治疗肺癌,激活免疫力,75%患者肿瘤受控

DC疫苗联合化疗治疗铂耐药的小细胞肺癌缓解率飙升12倍

肺癌2025-08-12
DC疫苗联合化疗治疗铂耐药的小细胞肺癌缓解率飙升12倍

第三代ALK抑制剂SY-3505(CT-3505)胶囊临床试验正在招募肺癌患者

肺癌2025-08-08
第三代ALK抑制剂SY-3505(CT-3505)胶囊临床试验正在招募肺癌患者

2025年8月1日国家药监局批准PD-1/VEGF双特异性抗体新药依沃西单抗(AK112、Ivonescimab)用于晚期鳞状非小细胞肺癌

肺癌2025-08-04
2025年8月1日国家药监局批准PD-1/VEGF双特异性抗体新药依沃西单抗(AK112、Ivonescimab)用于晚期鳞状非小细胞肺癌

又一款新药获批!全球十大创新EGFR20ins突变靶向药为肺癌EGFR20ins患者点亮希望

肺癌2025-07-30
又一款新药获批!全球十大创新EGFR20ins突变靶向药为肺癌EGFR20ins患者点亮希望

2025年7月28日,中国首个肺癌双免疫治疗伊匹木单抗联合纳武利尤单抗获批

肺癌2025-07-30
2025年7月28日,中国首个肺癌双免疫治疗伊匹木单抗联合纳武利尤单抗获批

肺癌第四代靶向药,新型抗体偶联(ADC)药物震撼登场,耐药患者实现100%控制

肺癌2025-07-28
肺癌第四代靶向药,新型抗体偶联(ADC)药物震撼登场,耐药患者实现100%控制

2025年五大肺癌疫苗实现超长无癌生存,患者完全缓解长达8年

肺癌2025-07-28
2025年五大肺癌疫苗实现超长无癌生存,患者完全缓解长达8年

2025年7月24日国研第三代EGFR-TKI靶向药伏美替尼(艾弗沙、Furmonertinib、AST2818)新适应症申报上市

肺癌2025-07-25
2025年7月24日国研第三代EGFR-TKI靶向药伏美替尼(艾弗沙、Furmonertinib、AST2818)新适应症申报上市

拜耳肺癌HER2靶向药新药BAY2927088片在中国申报上,另有五大肺癌新疗法81.8%疾病控制率+生存期翻倍

肺癌2025-07-25
拜耳肺癌HER2靶向药新药BAY2927088片在中国申报上,另有五大肺癌新疗法81.8%疾病控制率+生存期翻倍

个性化新抗原疫苗治疗肺癌,75%的患者病情受控

肺癌2025-07-25
个性化新抗原疫苗治疗肺癌,75%的患者病情受控

ROS1靶向药他雷替尼临床试验现正在急招非小细胞肺癌患者

肺癌2025-07-24
ROS1靶向药他雷替尼临床试验现正在急招非小细胞肺癌患者

枸橼酸格来雷塞片(JAB-21822、Glecirasib)临床试验现正在急招非小细胞肺癌患者

肺癌2025-07-23
枸橼酸格来雷塞片(JAB-21822、Glecirasib)临床试验现正在急招非小细胞肺癌患者

DLL3靶向药注射用SYS6040临床试验现正在急招小细胞肺癌患者

肺癌2025-07-21
DLL3靶向药注射用SYS6040临床试验现正在急招小细胞肺癌患者

古巴肺癌疫苗Cimavax-EGF真实世界数据出炉:近半数患者活过2年,晚期肺癌也能实现长期带瘤生存

肺癌2025-07-21
古巴肺癌疫苗Cimavax-EGF真实世界数据出炉:近半数患者活过2年,晚期肺癌也能实现长期带瘤生存

个性化新抗原疫苗NeoAg治疗晚期肺癌,有人肿瘤全消退,骨转移18周消失

肺癌2025-07-18
个性化新抗原疫苗NeoAg治疗晚期肺癌,有人肿瘤全消退,骨转移18周消失

EGFR靶向药AMX3009临床试验现正在急招肺癌患者

肺癌2025-07-17
EGFR靶向药AMX3009临床试验现正在急招肺癌患者

第四代EGFR抑制剂DZD6008治疗肺癌,83.3%的耐药患者肿瘤缩小,破冰脑转移创生存奇迹

肺癌2025-07-16
第四代EGFR抑制剂DZD6008治疗肺癌,83.3%的耐药患者肿瘤缩小,破冰脑转移创生存奇迹

EGFR靶向药JMT101联合奥希替尼临床试验正在急招非小细胞肺癌初治患者

肺癌2025-07-16
EGFR靶向药JMT101联合奥希替尼临床试验正在急招非小细胞肺癌初治患者

不用放化疗!全球首个mRNA肺癌疫苗高达80%疾病控制率,肺癌治疗进入无创时代

肺癌2025-07-11
不用放化疗!全球首个mRNA肺癌疫苗高达80%疾病控制率,肺癌治疗进入无创时代

EGFR靶向药HSK40118片临床试验现正在急招肺癌患者

肺癌2025-07-11
EGFR靶向药HSK40118片临床试验现正在急招肺癌患者

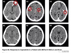
肺癌MET+的患者迎来3个重磅的MET阳性靶向药

肺癌2025-07-11
肺癌MET+的患者迎来3个重磅的MET阳性靶向药

古巴肺癌疫苗CIMAvax-EGF助肺癌患者从仅剩1年寿命到存活超5年,医生直呼不可思议

肺癌2025-07-11
古巴肺癌疫苗CIMAvax-EGF助肺癌患者从仅剩1年寿命到存活超5年,医生直呼不可思议

国产新型树突状细胞(DC)疫苗治疗非小细胞肺癌,帮患者迈过复发坎,生活质量节节高

肺癌2025-07-10
国产新型树突状细胞(DC)疫苗治疗非小细胞肺癌,帮患者迈过复发坎,生活质量节节高

国产首款EGFR ex20ins肺癌新药舒沃替尼(Sunvozertinib、DZD9008)在中美双获批

肺癌2025-07-10
国产首款EGFR ex20ins肺癌新药舒沃替尼(Sunvozertinib、DZD9008)在中美双获批

新抗原疫苗联合化疗+抗PD-1治疗肺癌,肿瘤缩小超30%,生存期延长至20个月

肺癌2025-07-03
新抗原疫苗联合化疗+抗PD-1治疗肺癌,肿瘤缩小超30%,生存期延长至20个月

全球找新药直播预告|2025年7月9日15点30分,肺癌靶向免疫新药招募--精准破局耐药困境

肺癌2025-07-02
全球找新药直播预告|2025年7月9日15点30分,肺癌靶向免疫新药招募--精准破局耐药困境

2025年6月30日国家药监局批准MET抑制剂伯瑞替尼肠溶胶囊(Vebreltinib)用于非小细胞肺癌

肺癌2025-07-02
2025年6月30日国家药监局批准MET抑制剂伯瑞替尼肠溶胶囊(Vebreltinib)用于非小细胞肺癌

NK细胞疗法SNK01联合帕博利珠单抗治疗肺癌,缓解率从0%飙升至41.7%,患者1年生存率提升16.7%

肺癌2025-07-02
NK细胞疗法SNK01联合帕博利珠单抗治疗肺癌,缓解率从0%飙升至41.7%,患者1年生存率提升16.7%

DC疫苗联合化疗治疗晚期肺癌2年生存率突破50%,从"被动防御"到"主动攻击"

肺癌2025-07-01
DC疫苗联合化疗治疗晚期肺癌2年生存率突破50%,从"被动防御"到"主动攻击"

ALK抑制剂TL139胶囊临床试验现正在招募肺癌患者

肺癌2025-06-30
ALK抑制剂TL139胶囊临床试验现正在招募肺癌患者

TIL细胞疗法治疗肺癌,一次治疗快速缓解,晚期患者重回正常生活

肺癌2025-06-30
TIL细胞疗法治疗肺癌,一次治疗快速缓解,晚期患者重回正常生活

TIL细胞疗法治疗晚期肺癌实现完全缓解,近70%患者肿瘤显著​缩小

肺癌2025-06-27
TIL细胞疗法治疗晚期肺癌实现完全缓解,近70%患者肿瘤显著​缩小

NK细胞疗法治疗小细胞肺癌,从5年生存率不足1%到肿瘤大退缩

肺癌2025-06-19
NK细胞疗法治疗小细胞肺癌,从5年生存率不足1%到肿瘤大退缩

肺癌患者自救指南:四大肺癌新疗法生存率飙升23%,多线治疗失败、脑转移不再是终点

肺癌2025-06-19
肺癌患者自救指南:四大肺癌新疗法生存率飙升23%,多线治疗失败、脑转移不再是终点

2025年非小细胞肺癌治疗新方法,17款"续命"新药临床试验招募中

肺癌2025-06-19
2025年非小细胞肺癌治疗新方法,17款"续命"新药临床试验招募中

2025年6月11日FDA批准他雷替尼(达伯乐、AB106)用于局部晚期或转移性ROS1阳性非小细胞肺癌

肺癌2025-06-18
2025年6月11日FDA批准他雷替尼(达伯乐、AB106)用于局部晚期或转移性ROS1阳性非小细胞肺癌

EGFR阳性的非小细胞肺癌临床试验招募信息汇总(2025.6)

肺癌2025-06-18
EGFR阳性的非小细胞肺癌临床试验招募信息汇总(2025.6)

国研创新CEA CAR-T细胞疗法治疗肺癌近50%肺癌患者肿瘤显著缩小

肺癌2025-06-17
国研创新CEA CAR-T细胞疗法治疗肺癌近50%肺癌患者肿瘤显著缩小

TEIPP24肺癌疫苗临床首秀:突破免疫逃逸,中位总生存近10个月,1例患者病灶影像学清零

肺癌2025-06-16
TEIPP24肺癌疫苗临床首秀:突破免疫逃逸,中位总生存近10个月,1例患者病灶影像学清零

2025上半年9款肺癌新药获批上市!这些肺癌基因突变的患者有新药了

肺癌2025-06-13
2025上半年9款肺癌新药获批上市!这些肺癌基因突变的患者有新药了

国研EGFR20ins新药安达替尼(PLB1004)治疗非小细胞肺癌100%患者肿瘤缩小或稳定,已申报上市

肺癌2025-06-10
国研EGFR20ins新药安达替尼(PLB1004)治疗非小细胞肺癌100%患者肿瘤缩小或稳定,已申报上市

ADC新药,FDA授予DLL3靶向药ZL-1310治疗小细胞肺癌快速通道资格

肺癌2025-06-10
ADC新药,FDA授予DLL3靶向药ZL-1310治疗小细胞肺癌快速通道资格

2025年5月22日国家药监局受理EGFR抑制剂苯甲酸安达替尼胶囊(PLB1004)用于治疗非小细胞肺癌的上市申请

肺癌2025-06-10
2025年5月22日国家药监局受理EGFR抑制剂苯甲酸安达替尼胶囊(PLB1004)用于治疗非小细胞肺癌的上市申请

2025年5月22日国家药监局批准KRAS抑制剂枸橼酸戈来雷塞片(Glecirasib、JAB-21822)用于非小细胞肺癌

肺癌2025-06-10
2025年5月22日国家药监局批准KRAS抑制剂枸橼酸戈来雷塞片(Glecirasib、JAB-21822)用于非小细胞肺癌

新一代MET抑制剂谷美替尼(Glumetinib)联合多西他赛(Docetaxel)的临床试验现正在急招非小细胞肺癌患者

肺癌2025-06-06
新一代MET抑制剂谷美替尼(Glumetinib)联合多西他赛(Docetaxel)的临床试验现正在急招非小细胞肺癌患者

肺癌新药伏美替尼改写EGFR20ins患者命运,无进展生存突破27个月

肺癌2025-06-06
肺癌新药伏美替尼改写EGFR20ins患者命运,无进展生存突破27个月

直播预告|2025年6月6日15点30,全球肿瘤医生网宋学良/张丽娜:全面盘点肺癌国内国际最新进展及全球新药招募信息

肺癌2025-06-06
直播预告|2025年6月6日15点30,全球肿瘤医生网宋学良/张丽娜:全面盘点肺癌国内国际最新进展及全球新药招募信息

2025年5月14日FDA加速批准c-Met靶向药Telisotuzumab vedotin(Teliso-V、ABBV-399)用于非小细胞肺癌

肺癌2025-06-04
2025年5月14日FDA加速批准c-Met靶向药Telisotuzumab vedotin(Teliso-V、ABBV-399)用于非小细胞肺癌

早期肺癌放化疗能治愈吗?这六大前沿疗法让放化疗成为治愈的"关键拼图"

肺癌2025-06-04
早期肺癌放化疗能治愈吗?这六大前沿疗法让放化疗成为治愈的"关键拼图"

肺癌临床试验,尤莱利单抗临床试验开始招募非小细胞肺癌者啦

肺癌2025-04-29
肺癌临床试验,尤莱利单抗临床试验开始招募非小细胞肺癌者啦

2025年4月25日国家药监局批准埃万妥单抗注射液(Rybrevant、锐珂)用于非小细胞肺癌

肺癌2025-04-29
2025年4月25日国家药监局批准埃万妥单抗注射液(Rybrevant、锐珂)用于非小细胞肺癌

2025年4月25日国家药监局批准依沃西单抗(Ivonescimab、AK112)用于非小细胞肺癌一线治疗

肺癌2025-04-29
2025年4月25日国家药监局批准依沃西单抗(Ivonescimab、AK112)用于非小细胞肺癌一线治疗

《CAR-T三人行》|第十五期:2025年4月24日16点,魏双教授:2025肺癌治疗开启新篇章!CAR-T等创新疗法带来新机"愈"

肺癌2025-04-24
《CAR-T三人行》|第十五期:2025年4月24日16点,魏双教授:2025肺癌治疗开启新篇章!CAR-T等创新疗法带来新机"愈"

2025年4月22日国家药监局批准PD-1抑制剂纳武利尤单抗(Nivolumab、欧狄沃/Opdivo)用于非小细胞肺癌

肺癌2025-04-23
2025年4月22日国家药监局批准PD-1抑制剂纳武利尤单抗(Nivolumab、欧狄沃/Opdivo)用于非小细胞肺癌

绝境逆袭!NY-ESO-1 TCR-T细胞疗法治疗晚期肺癌,患者从"无药可医"到"肿瘤退缩"

肺癌2025-04-21
绝境逆袭!NY-ESO-1 TCR-T细胞疗法治疗晚期肺癌,患者从"无药可医"到"肿瘤退缩"

新一代靶向药USP1抑制剂HSK39775片临床试验正在招募实体瘤患者

肺癌2025-04-18
新一代靶向药USP1抑制剂HSK39775片临床试验正在招募实体瘤患者

Cancer Control杂志:253例真实世界研究证实,益生菌联合免疫检查点抑制剂(ICI)显著延长晚期肺癌无进展生存,ORR高达58%

肺癌2025-04-18
Cancer Control杂志:253例真实世界研究证实,益生菌联合免疫检查点抑制剂(ICI)显著延长晚期肺癌无进展生存,ORR高达58%

奥希替尼耐药后的治疗方案,2025奥希耐药迎来13种"续命"新疗法,疾病控制率高达100%

肺癌2025-04-17
奥希替尼耐药后的治疗方案,2025奥希耐药迎来13种"续命"新疗法,疾病控制率高达100%

癌症mRNA疫苗临床试验,Vx-001注射液临床试验正在招募非小细胞肺癌

肺癌2025-04-17
癌症mRNA疫苗临床试验,Vx-001注射液临床试验正在招募非小细胞肺癌

多种癌症疫苗全面围剿非小细胞肺癌,5年生存率翻倍的机会来了

肺癌2025-04-15
多种癌症疫苗全面围剿非小细胞肺癌,5年生存率翻倍的机会来了

2025年一定要知道的5款非小细胞肺癌新药

肺癌2025-04-10
2025年一定要知道的5款非小细胞肺癌新药

TY-9591招募,新一代EGFR TKI药物TY-9591片临床试验正在招募非小细胞肺癌脑转移患者

肺癌2025-04-10
TY-9591招募,新一代EGFR TKI药物TY-9591片临床试验正在招募非小细胞肺癌脑转移患者

肺癌传统化疗没有效果怎么办?WT1-DC疫苗联合放疗成救命稻草,肿瘤大幅缩小

肺癌2025-04-08
肺癌传统化疗没有效果怎么办?WT1-DC疫苗联合放疗成救命稻草,肿瘤大幅缩小

2025年能"救命"的六大肺癌新药、新技术、新疗法大爆发,无进展生存超577天

肺癌2025-04-07
2025年能"救命"的六大肺癌新药、新技术、新疗法大爆发,无进展生存超577天

2025年四款治疗性肺癌疫苗震撼登场!打一针就能治疗癌症的时代可能真的要来了

肺癌2025-04-07
2025年四款治疗性肺癌疫苗震撼登场!打一针就能治疗癌症的时代可能真的要来了

做肺癌手术好的医院,中国医学科学院肿瘤医院胸外科,缘何成为行业标杆

肺癌2025-04-07
做肺癌手术好的医院,中国医学科学院肿瘤医院胸外科,缘何成为行业标杆

肺癌根治术后怎么防止复发转移?五大疗法齐发力,多管齐下筑牢生命防线

肺癌2025-04-07
肺癌根治术后怎么防止复发转移?五大疗法齐发力,多管齐下筑牢生命防线

国研第四代EGFR抑制剂WSD0922-FU横空出世,为EGFR肺癌患者迎来"续命"的新希望

肺癌2025-03-27
国研第四代EGFR抑制剂WSD0922-FU横空出世,为EGFR肺癌患者迎来"续命"的新希望

新一代EGFR抑制剂WSD0922-FU临床试验正在招募肺癌患者

肺癌2025-03-27
新一代EGFR抑制剂WSD0922-FU临床试验正在招募肺癌患者

直播预告|2025年3月26日15点,全球肿瘤医生网CEO王立宏博士:肺癌新药新技术与长期生存策略

肺癌2025-03-26
直播预告|2025年3月26日15点,全球肿瘤医生网CEO王立宏博士:肺癌新药新技术与长期生存策略

肺癌新药临床试验,新一代靶向药DF003临床试验现正在招募肺腺癌患者

肺癌2025-03-24
肺癌新药临床试验,新一代靶向药DF003临床试验现正在招募肺腺癌患者

EGFR抑制剂PH009-1临床试验正在招募非小细胞肺癌患者

肺癌2025-03-21
EGFR抑制剂PH009-1临床试验正在招募非小细胞肺癌患者

抗癌新锐γδT细胞强势对抗非小细胞肺癌,总生存期突破418天

肺癌2025-03-21
抗癌新锐γδT细胞强势对抗非小细胞肺癌,总生存期突破418天

古巴肺癌疫苗CIMAvax-EGF帮助非小细胞肺癌患者肿瘤显著缩小,迎来转机,长存四年

肺癌2025-03-20
古巴肺癌疫苗CIMAvax-EGF帮助非小细胞肺癌患者肿瘤显著缩小,迎来转机,长存四年

肺癌术后预防复发的措施,辅助化疗联合多学科方案,多箭齐发严防高危复发

肺癌2025-03-20
肺癌术后预防复发的措施,辅助化疗联合多学科方案,多箭齐发严防高危复发

ADC药物临床试验招募,Sigvotatug vedotin(SGN-B6A)与多西他赛临床试验现正在招募非小细胞肺癌患者

肺癌2025-03-17
ADC药物临床试验招募,Sigvotatug vedotin(SGN-B6A)与多西他赛临床试验现正在招募非小细胞肺癌患者

新一代CCR8靶向药LM-108临床试验现正在急招肺癌初治患者

肺癌2025-03-13
新一代CCR8靶向药LM-108临床试验现正在急招肺癌初治患者

国内擅长治疗肺癌复发转移的医院有哪些

肺癌2025-03-13
国内擅长治疗肺癌复发转移的医院有哪些

2025年3月4日国家药监局批准TROP2 ADC药物注射用芦康沙妥珠单抗注射液(SKB264、佳泰莱)用于EGFR突变非小细胞肺癌

肺癌2025-03-11
2025年3月4日国家药监局批准TROP2 ADC药物注射用芦康沙妥珠单抗注射液(SKB264、佳泰莱)用于EGFR突变非小细胞肺癌

CAR-T临床试验招募,C-CAR031临床试验现正在招募肺鳞癌患者

肺癌2025-03-07
CAR-T临床试验招募,C-CAR031临床试验现正在招募肺鳞癌患者

中国400+最新研究预警:渐趋年轻化,肺癌预防复发转移的监测方法有哪些

肺癌2025-03-07
中国400+最新研究预警:渐趋年轻化,肺癌预防复发转移的监测方法有哪些

小细胞肺癌临床试验,CAR-NK细胞疗法UK200-13临床试验现正在招募小细胞肺癌患者

肺癌2025-03-06
小细胞肺癌临床试验,CAR-NK细胞疗法UK200-13临床试验现正在招募小细胞肺癌患者

早期肺癌切了就没事吗?早期肺癌术后怎样预防复发?

肺癌2025-03-05
早期肺癌切了就没事吗?早期肺癌术后怎样预防复发?

国研树突细胞(DC)疫苗Neo-DCVac问世,肺癌疾病控制率飙升至75%,近半患者肿瘤显著缩小

肺癌2025-03-04
国研树突细胞(DC)疫苗Neo-DCVac问世,肺癌疾病控制率飙升至75%,近半患者肿瘤显著缩小

广谱抗癌药恩曲替尼胶囊(Entrectinib、Rozlytrek)治疗肺癌持续13个月肿瘤控制稳定

肺癌2025-03-03
广谱抗癌药恩曲替尼胶囊(Entrectinib、Rozlytrek)治疗肺癌持续13个月肿瘤控制稳定

速看!肺癌外科权威专家有哪些,逐一揭秘,精准医路导航

肺癌2025-03-03
速看!肺癌外科权威专家有哪些,逐一揭秘,精准医路导航

肺癌术后吃什么营养品能提高免疫力

肺癌2025-02-27
肺癌术后吃什么营养品能提高免疫力

2025年患者一定要知道的八大非小细胞肺癌新药新技术

肺癌2025-02-21
2025年患者一定要知道的八大非小细胞肺癌新药新技术

早期肺癌切掉肿瘤就能高枕无忧?患者五年后仍需警惕"隐形杀手"

肺癌2025-02-19
早期肺癌切掉肿瘤就能高枕无忧?患者五年后仍需警惕"隐形杀手"

早期肺癌术后五年生存率接近100%,五年后真的就治愈了吗?

肺癌2025-02-19
早期肺癌术后五年生存率接近100%,五年后真的就治愈了吗?

国内外肺癌根治手术医院排名盘点

肺癌2025-02-18
国内外肺癌根治手术医院排名盘点

树突状细胞(DC)疫苗联合靶向治疗为肺癌患者打开长生存大门

肺癌2025-02-17
树突状细胞(DC)疫苗联合靶向治疗为肺癌患者打开长生存大门

肺癌临床试验,新一代靶向药TY-9591片临床试验现正在招募EGFR敏感突变的非小细胞肺癌患者

肺癌2025-02-14
肺癌临床试验,新一代靶向药TY-9591片临床试验现正在招募EGFR敏感突变的非小细胞肺癌患者

2025年2月8日国家药监局批准EGFR20ins突变靶向药埃万妥单抗注射液(锐珂)用于非小细胞肺癌

肺癌2025-02-12
2025年2月8日国家药监局批准EGFR20ins突变靶向药埃万妥单抗注射液(锐珂)用于非小细胞肺癌

ADC药物临床试验招募,芦康沙妥珠单抗(SKB264)临床试验现正在招募非小细胞肺癌初治患者

肺癌2025-02-12
ADC药物临床试验招募,芦康沙妥珠单抗(SKB264)临床试验现正在招募非小细胞肺癌初治患者

截止到2025年2月10日已上市的肺癌靶向治疗药物和免疫(PD-1/PD-L1)治疗药物有哪些

肺癌2025-02-11
截止到2025年2月10日已上市的肺癌靶向治疗药物和免疫(PD-1/PD-L1)治疗药物有哪些

2025年肺癌临床试验招募新消息,17种肺癌"续命"新药临床试验正在招募中

肺癌2025-02-08
2025年肺癌临床试验招募新消息,17种肺癌"续命"新药临床试验正在招募中

又一款第四代EGFR靶向药BDTX-1535横空出世,EGFR肺癌患者迎来"续命"新希望

肺癌2025-02-07
又一款第四代EGFR靶向药BDTX-1535横空出世,EGFR肺癌患者迎来"续命"新希望

肺癌无法手术怎么办,别慌!来看看这份中日美三国肺癌非手术治疗医院排名TOP10榜单

肺癌2025-02-07
肺癌无法手术怎么办,别慌!来看看这份中日美三国肺癌非手术治疗医院排名TOP10榜单

揭秘肺癌免疫治疗医院排名TOP10

肺癌2025-02-05
揭秘肺癌免疫治疗医院排名TOP10

我国首款肺癌EGFR20ins突变靶向药舒沃替尼(舒沃哲、Sunvozertinib、DZD9008)获FDA优先评审

肺癌2025-01-21
我国首款肺癌EGFR20ins突变靶向药舒沃替尼(舒沃哲、Sunvozertinib、DZD9008)获FDA优先评审

HER2靶向药新药物宗格替尼(Zongertinib、BI1810631)治疗非小细胞肺癌疾病控制率达91%,在中国申报上市

肺癌2025-01-16
HER2靶向药新药物宗格替尼(Zongertinib、BI1810631)治疗非小细胞肺癌疾病控制率达91%,在中国申报上市

新一代KRAS靶向药HRS-4642注射液临床试验现正在急招小细胞肺癌患者

肺癌2025-01-13
新一代KRAS靶向药HRS-4642注射液临床试验现正在急招小细胞肺癌患者

肺癌靶向治疗医院排名前十的医院榜单

肺癌2025-01-10
肺癌靶向治疗医院排名前十的医院榜单

2025年1月5款ROS1阳性肺癌新药和肺癌临床试验招募信息汇总

肺癌2025-01-10
2025年1月5款ROS1阳性肺癌新药和肺癌临床试验招募信息汇总

2025版肺癌抗癌宝典,已上市的肺癌靶向和免疫治疗药物以及肺癌新药新技术汇总

肺癌2025-01-09
2025版肺癌抗癌宝典,已上市的肺癌靶向和免疫治疗药物以及肺癌新药新技术汇总

奥希替尼耐药后吃什么靶向药

肺癌2025-01-08
奥希替尼耐药后吃什么靶向药

国内肺癌化疗医院排名前十的医院排行榜(附医院简介及化疗优势)

肺癌2025-01-07
国内肺癌化疗医院排名前十的医院排行榜(附医院简介及化疗优势)

2025年度重磅,《肺癌的治疗指南》新版,27款肺癌新药和5大肺癌治疗新疗法新技术新进展全面解析

肺癌2025-01-07
2025年度重磅,《肺癌的治疗指南》新版,27款肺癌新药和5大肺癌治疗新疗法新技术新进展全面解析

2025年1月2日国家药监局批准己二酸他雷替尼胶囊(Talectrectinib、达伯乐、AB-106)用于成人一线未经ROS1-TKI治疗的ROS1阳性局部晚

肺癌2025-01-03
2025年1月2日国家药监局批准己二酸他雷替尼胶囊(Talectrectinib、达伯乐、AB-106)用于成人一线未经ROS1-TKI治疗的ROS1阳性局部晚

NK细胞疗法联合贝伐珠单抗治疗晚期非小细胞肺癌成功案例

肺癌2025-01-02
NK细胞疗法联合贝伐珠单抗治疗晚期非小细胞肺癌成功案例

2024年中国上市的肺癌新药有哪些

肺癌2024-12-25
2024年中国上市的肺癌新药有哪些

细胞免疫疗法联合奥希替尼治疗肺癌两次骨转移和淋巴结转移,病灶消失,为患者带来救赎

肺癌2024-12-25
细胞免疫疗法联合奥希替尼治疗肺癌两次骨转移和淋巴结转移,病灶消失,为患者带来救赎

2024年12月20日国家药监局批准二酸他雷替尼胶囊(Taletrectinib、达伯乐、AB-106)用于经ROS1-TKI治疗后进展的ROS1阳性局部晚期或

肺癌2024-12-24
2024年12月20日国家药监局批准二酸他雷替尼胶囊(Taletrectinib、达伯乐、AB-106)用于经ROS1-TKI治疗后进展的ROS1阳性局部晚期或

贝莫苏拜单抗(Benmelstobart、安得卫、TQB2450)注射液III期临床试验重大进展,疾病控制率高达87.3%

肺癌2024-12-20
贝莫苏拜单抗(Benmelstobart、安得卫、TQB2450)注射液III期临床试验重大进展,疾病控制率高达87.3%

MEK抑制剂HL-085临床试验现正急招非小细胞肺癌患者

肺癌2024-12-18
MEK抑制剂HL-085临床试验现正急招非小细胞肺癌患者

奥希替尼耐药后怎么办,肺癌重磅新药Dato-DXd(Datopotamab deruxtecan)86.3%的患者肿瘤缩小或控制稳定

肺癌2024-12-13
奥希替尼耐药后怎么办,肺癌重磅新药Dato-DXd(Datopotamab deruxtecan)86.3%的患者肿瘤缩小或控制稳定

新一代MET抑制剂谷美替尼临床试验现急招非小细胞肺癌患者

肺癌2024-12-12
新一代MET抑制剂谷美替尼临床试验现急招非小细胞肺癌患者

北京肺癌手术好的医院,想去北京做肺癌手术,哪几家医院好、哪几家值得优先选择

肺癌2024-12-12
北京肺癌手术好的医院,想去北京做肺癌手术,哪几家医院好、哪几家值得优先选择

肺癌北京权威的医院,一文读懂北京肺癌就医指南,哪些医院是优先之选

肺癌2024-12-11
肺癌北京权威的医院,一文读懂北京肺癌就医指南,哪些医院是优先之选

肺癌放疗好的医院,国内肺癌放疗医院排名前十排行榜(附医院简介及放疗优势)

肺癌2024-12-11
肺癌放疗好的医院,国内肺癌放疗医院排名前十排行榜(附医院简介及放疗优势)

12款新药纳入2024年肺癌医保用药目录,截止到2024年底肺癌医保用药有哪些

肺癌2024-12-05
12款新药纳入2024年肺癌医保用药目录,截止到2024年底肺癌医保用药有哪些

2024年12月3日国家药监局批准帕博利珠单抗(K药、Pembrolizumab、Keytruda)用于可手术切除的II、IIIA及IIIB期非小细胞肺癌

肺癌2024-12-04
2024年12月3日国家药监局批准帕博利珠单抗(K药、Pembrolizumab、Keytruda)用于可手术切除的II、IIIA及IIIB期非小细胞肺癌

北京肺癌手术哪个医院做的好,来看看这十家北京肺癌外科手术医院排名就都清楚了

肺癌2024-11-27
北京肺癌手术哪个医院做的好,来看看这十家北京肺癌外科手术医院排名就都清楚了

2024年11月20日国家药监局批准盐酸佐利替尼片(Zorifertinib、AZD3759)用于局部晚期或转移性非小细胞肺癌的一线治疗

肺癌2024-11-22
2024年11月20日国家药监局批准盐酸佐利替尼片(Zorifertinib、AZD3759)用于局部晚期或转移性非小细胞肺癌的一线治疗

日本治疗肺癌比国内好吗,日本治疗肺癌好的医院和医生都在这了

肺癌2024-11-22
日本治疗肺癌比国内好吗,日本治疗肺癌好的医院和医生都在这了

全球肿瘤名医TOP500|肺癌内科专家(一):加州大学洛杉矶分校医学中心(UCLA)---Edward B. Garon医生

肺癌2024-11-21
全球肿瘤名医TOP500|肺癌内科专家(一):加州大学洛杉矶分校医学中心(UCLA)---Edward B. Garon医生

全面盘点国内肺癌外科手术医院排名十强

肺癌2024-11-21
全面盘点国内肺癌外科手术医院排名十强

肺癌冶疗哪家医院好?来看看这十家治疗肺癌全国好的医院都有谁

肺癌2024-11-20
肺癌冶疗哪家医院好?来看看这十家治疗肺癌全国好的医院都有谁

肺癌医院全国排名前十大揭秘,寻医问药不迷路

肺癌2024-11-19
肺癌医院全国排名前十大揭秘,寻医问药不迷路

中国自研的EGFR exon20ins靶向药物舒沃替尼片(舒沃哲、Sunvozertinib、DZD9008)近日正式向美国FDA提交了新药上市申请

肺癌2024-11-13
中国自研的EGFR exon20ins靶向药物舒沃替尼片(舒沃哲、Sunvozertinib、DZD9008)近日正式向美国FDA提交了新药上市申请

2024年11月8日国家药监局批准KRAS G12C抑制剂格索雷塞片(Garsorasib、安方宁)用于成人既往至少接受过一种系统性治疗的KRAS G12C

肺癌2024-11-12
2024年11月8日国家药监局批准KRAS G12C抑制剂格索雷塞片(Garsorasib、安方宁)用于成人既往至少接受过一种系统性治疗的KRAS G12C

2024年10月31日国家药监局批准芦康沙妥珠单抗注射液(SKB264、佳泰莱、Sacituzumab Tirumotecan、sac-TMT)用于病情进展的EGFR突变

肺癌2024-11-04
2024年10月31日国家药监局批准芦康沙妥珠单抗注射液(SKB264、佳泰莱、Sacituzumab Tirumotecan、sac-TMT)用于病情进展的EGFR突变

"美通社"2024年10月31日报道,PD-L1抑制剂舒格利单抗注射液(择捷美、Sugemalimab)在英国获批用于转移性非小细胞肺癌

肺癌2024-11-01
"美通社"2024年10月31日报道,PD-L1抑制剂舒格利单抗注射液(择捷美、Sugemalimab)在英国获批用于转移性非小细胞肺癌

已经获批上市的小细胞肺癌靶向和免疫治疗药物大盘点

肺癌2024-11-01
已经获批上市的小细胞肺癌靶向和免疫治疗药物大盘点

小细胞肺癌新药,靶向B7-H3的抗体-药物偶联物(ADC药物)注射用HS-20093被中美同时纳入突破性治疗,广泛转移也可用

肺癌2024-10-28
小细胞肺癌新药,靶向B7-H3的抗体-药物偶联物(ADC药物)注射用HS-20093被中美同时纳入突破性治疗,广泛转移也可用

2024年10月16日国家药监局批准PD-1抑制剂替雷利珠单抗(百泽安、Tislelizumab、BGBA317)用于Ⅱ期或Ⅲ期非小细胞肺癌

肺癌2024-10-23
2024年10月16日国家药监局批准PD-1抑制剂替雷利珠单抗(百泽安、Tislelizumab、BGBA317)用于Ⅱ期或Ⅲ期非小细胞肺癌

国产KRAS G12C抑制剂格舒瑞昔(D1553、Garsorasib)首登国际权威期刊《柳叶刀》!疾病控制率高达89%

肺癌2024-10-22
国产KRAS G12C抑制剂格舒瑞昔(D1553、Garsorasib)首登国际权威期刊《柳叶刀》!疾病控制率高达89%

注射用德曲妥珠单抗(Trastuzumab deruxtecan、Enhertu、优赫得、DS-8201、T-DXd)获批用于HER2突变的非小细胞肺癌

肺癌2024-10-16
注射用德曲妥珠单抗(Trastuzumab deruxtecan、Enhertu、优赫得、DS-8201、T-DXd)获批用于HER2突变的非小细胞肺癌

小细胞肺癌新药,全球第一款PD-L1/VEGFA双特异性抗体药物PM8002注射液获批Ⅲ期临床!客观缓解率超70%

肺癌2024-10-14
小细胞肺癌新药,全球第一款PD-L1/VEGFA双特异性抗体药物PM8002注射液获批Ⅲ期临床!客观缓解率超70%

日本医疗视角下的肺癌手术全面解析

肺癌2024-10-14
日本医疗视角下的肺癌手术全面解析

靶向ROS1/NTRK的肺癌新药瑞普替尼(Repotrectinib、TPX-0005)无进展生存期近3年!近80%癌症患者肿瘤消失或缩小

肺癌2024-10-10
靶向ROS1/NTRK的肺癌新药瑞普替尼(Repotrectinib、TPX-0005)无进展生存期近3年!近80%癌症患者肿瘤消失或缩小

2024年9月中国开出肺癌创新药盐酸卡马替尼片(Capmatinib,妥瑞达、Tabrecta,INC280)首批处方

肺癌2024-10-08
2024年9月中国开出肺癌创新药盐酸卡马替尼片(Capmatinib,妥瑞达、Tabrecta,INC280)首批处方

四款国产抗癌新药依沃西单抗、伏美替尼、奥莫替尼、奥希替尼联合沃利替尼闪耀2024年世界肺癌大会

肺癌2024-09-20
四款国产抗癌新药依沃西单抗、伏美替尼、奥莫替尼、奥希替尼联合沃利替尼闪耀2024年世界肺癌大会

全球找新药直播预告|2024年9月14日15点30,KRAS靶向药JAB-21822临床试验在线招募,这些患者快来申请

肺癌2024-09-14
全球找新药直播预告|2024年9月14日15点30,KRAS靶向药JAB-21822临床试验在线招募,这些患者快来申请

肺癌临床试验,EGFR 20ins靶向药JMT101开始招募非小细胞肺癌患者了

肺癌2024-09-06
肺癌临床试验,EGFR 20ins靶向药JMT101开始招募非小细胞肺癌患者了

2024年8月21日中国首个KRAS G12C抑制剂氟泽雷塞片(Fulzerasib、达伯特/Dupert、GFH925)获批上市

肺癌2024-09-06
2024年8月21日中国首个KRAS G12C抑制剂氟泽雷塞片(Fulzerasib、达伯特/Dupert、GFH925)获批上市

2024年4月30日国家药监局批准贝莫苏拜单抗注射液(安得卫、TQB2450、Benmelstobart)联合安罗替尼、卡铂和依托泊苷用于广泛期小细

肺癌2024-09-04
2024年4月30日国家药监局批准贝莫苏拜单抗注射液(安得卫、TQB2450、Benmelstobart)联合安罗替尼、卡铂和依托泊苷用于广泛期小细

2024年6月25日国家药监局批准替雷利珠单抗(Tislelizumab-jsgr、百泽安/Tevimbra)注射液联合依托泊苷和铂类化疗用于一线治疗广泛

肺癌2024-09-02
2024年6月25日国家药监局批准替雷利珠单抗(Tislelizumab-jsgr、百泽安/Tevimbra)注射液联合依托泊苷和铂类化疗用于一线治疗广泛

mRNA肺癌疫苗BNT116在七国启动临床,首位患者顺利回输

肺癌2024-09-02
mRNA肺癌疫苗BNT116在七国启动临床,首位患者顺利回输

2024年6月4日国家药监局批准特瑞普利单抗注射液(Toripalimab、拓益)联合依托泊苷和铂类化疗用于一线治疗广泛期小细胞肺癌

肺癌2024-08-30
2024年6月4日国家药监局批准特瑞普利单抗注射液(Toripalimab、拓益)联合依托泊苷和铂类化疗用于一线治疗广泛期小细胞肺癌

知名魔术师自爆患肺腺癌,肺癌如何早期发现、有效防治,突破5年生存大关?

肺癌2024-08-30
知名魔术师自爆患肺腺癌,肺癌如何早期发现、有效防治,突破5年生存大关?

2024年6月18日国家药监局批准甲磺酸奥希替尼片(Osimertinib、Tagrisso/Tagrix/泰瑞沙)联合培美曲塞和铂类化疗用于EGFR外显子19缺

肺癌2024-08-29
2024年6月18日国家药监局批准甲磺酸奥希替尼片(Osimertinib、Tagrisso/Tagrix/泰瑞沙)联合培美曲塞和铂类化疗用于EGFR外显子19缺

2024年5月24日中国药监局批准依沃西单抗注射液(Ivonescimab、AK112、依达方)联合化疗(培美曲塞+卡铂)用于EGFR突变的局部晚期或转

肺癌2024-08-27
2024年5月24日中国药监局批准依沃西单抗注射液(Ivonescimab、AK112、依达方)联合化疗(培美曲塞+卡铂)用于EGFR突变的局部晚期或转

肺癌临床试验,第三代EGFR-TKI靶向药YK-029A片开始招募EGFR 20ins非小细胞肺癌患者

肺癌2024-08-27
肺癌临床试验,第三代EGFR-TKI靶向药YK-029A片开始招募EGFR 20ins非小细胞肺癌患者

2024年6月17日中国药监局批准枸橼酸依奉阿克胶囊(Envonalkib、安洛晴、TQ-B3139)用于治疗ALK阳性的局部晚期或转移性非小细胞肺癌

肺癌2024-08-22
2024年6月17日中国药监局批准枸橼酸依奉阿克胶囊(Envonalkib、安洛晴、TQ-B3139)用于治疗ALK阳性的局部晚期或转移性非小细胞肺癌

2024年6月17日中国药监局批准甲磺酸瑞厄替尼片(Rilertinib、圣瑞沙、SH-1028)用于治疗EGFR T790M突变阳性的局部晚期或转移性非小

肺癌2024-08-21
2024年6月17日中国药监局批准甲磺酸瑞厄替尼片(Rilertinib、圣瑞沙、SH-1028)用于治疗EGFR T790M突变阳性的局部晚期或转移性非小

2024年6月12日中国药监局批准盐酸卡马替尼片(Capmatinib、妥瑞达/Tabrecta、INC280)用于治疗MET14外跳的局部晚期或转移性非小细

肺癌2024-08-20
2024年6月12日中国药监局批准盐酸卡马替尼片(Capmatinib、妥瑞达/Tabrecta、INC280)用于治疗MET14外跳的局部晚期或转移性非小细

2024年5月20日中国药监局批准甲磺酸瑞齐替尼胶囊(Rezivertinib、瑞必达、BPI-7711)用于治疗局部晚期或转移性非小细胞肺癌

肺癌2024-08-15
2024年5月20日中国药监局批准甲磺酸瑞齐替尼胶囊(Rezivertinib、瑞必达、BPI-7711)用于治疗局部晚期或转移性非小细胞肺癌

2024年5月11日中国药监局批准瑞普替尼(Repotrectinib/瑞波替尼、奥凯乐/Augtyro、TPX-0005)用于治疗ROS1阳性的局部晚期或转移性

肺癌2024-08-14
2024年5月11日中国药监局批准瑞普替尼(Repotrectinib/瑞波替尼、奥凯乐/Augtyro、TPX-0005)用于治疗ROS1阳性的局部晚期或转移性

2024年4月30日中国药监局批准了富马酸安奈克替尼胶囊(安柏尼、Unecritinib、TQ-B3101)用于治疗ROS1阳性的局部晚期或转移性非小细

肺癌2024-08-14
2024年4月30日中国药监局批准了富马酸安奈克替尼胶囊(安柏尼、Unecritinib、TQ-B3101)用于治疗ROS1阳性的局部晚期或转移性非小细

2024年1月16日中国药监局(NMPA)批准伊鲁阿克片(依鲁奥克、启欣可、WX-0593)用于治疗ALK阳性的局部晚期或转移性非小细胞肺癌

肺癌2024-08-13
2024年1月16日中国药监局(NMPA)批准伊鲁阿克片(依鲁奥克、启欣可、WX-0593)用于治疗ALK阳性的局部晚期或转移性非小细胞肺癌

古巴肺癌疫苗CIMAvax-EGF在白俄罗斯上市,我国患者也可获益,生存率竟超40%

肺癌2024-08-09
古巴肺癌疫苗CIMAvax-EGF在白俄罗斯上市,我国患者也可获益,生存率竟超40%

国产新药c-MET抑制剂伯瑞替尼(Bozitinib、Vebreltinib/维瑞替尼)2期临床试验结果公布,肺癌脑/肝转移控制率达100%

肺癌2024-08-06
国产新药c-MET抑制剂伯瑞替尼(Bozitinib、Vebreltinib/维瑞替尼)2期临床试验结果公布,肺癌脑/肝转移控制率达100%

2024年5月16日FDA加速批准了CD3和DLL3双靶点抑制剂塔拉妥单抗(AMG757、Tarlatamab-dlle、Imdelltra)用于治疗广泛期小细胞肺癌

肺癌2024-07-09
2024年5月16日FDA加速批准了CD3和DLL3双靶点抑制剂塔拉妥单抗(AMG757、Tarlatamab-dlle、Imdelltra)用于治疗广泛期小细胞肺癌

2024年3月1日FDA批准了EGFR20ins突变靶向药埃万妥单抗(Amivantamab-vmjw、Rybrevant、JNJ6372)联合卡铂+培美曲塞用于一线治疗非

肺癌2024-07-08
2024年3月1日FDA批准了EGFR20ins突变靶向药埃万妥单抗(Amivantamab-vmjw、Rybrevant、JNJ6372)联合卡铂+培美曲塞用于一线治疗非

五种肺癌新疗法帮助患者抗击癌细胞

肺癌2024-07-08
五种肺癌新疗法帮助患者抗击癌细胞

TIL细胞疗法治疗肺癌,晚期患者获得完全缓解

肺癌2024-07-08
TIL细胞疗法治疗肺癌,晚期患者获得完全缓解

2024年2月16日FDA批准了EGFR突变靶向药奥希替尼(泰瑞沙、Osimertinib)联合铂类化疗用于局部晚期或转移性非小细胞肺癌上市

肺癌2024-07-05
2024年2月16日FDA批准了EGFR突变靶向药奥希替尼(泰瑞沙、Osimertinib)联合铂类化疗用于局部晚期或转移性非小细胞肺癌上市

2024年4月18日FDA批准了ALK阳性抑制剂阿来替尼(Alectinib、艾乐替尼、Alecensa)用于ALK阳性的非小细胞肺癌上市

肺癌2024-07-05
2024年4月18日FDA批准了ALK阳性抑制剂阿来替尼(Alectinib、艾乐替尼、Alecensa)用于ALK阳性的非小细胞肺癌上市

直播预告|2024年7月5日16点中国医学科学院肿瘤王书航博士:肺癌临床试验全解析

肺癌2024-07-05
直播预告|2024年7月5日16点中国医学科学院肿瘤王书航博士:肺癌临床试验全解析

肺癌复发的原因找到了,六大肺癌预防复发的措施助您降低癌细胞"卷土重来"风险

肺癌2024-06-25
肺癌复发的原因找到了,六大肺癌预防复发的措施助您降低癌细胞"卷土重来"风险

肺癌脑转移的症状有哪些表现,肺癌脑转移靶向药有用吗

肺癌2024-06-04
肺癌脑转移的症状有哪些表现,肺癌脑转移靶向药有用吗

劳拉替尼(洛拉替尼、Lorlatinib、博瑞纳)治疗非小细胞肺癌疾病进展或死亡风险降低83%

肺癌2024-06-04
劳拉替尼(洛拉替尼、Lorlatinib、博瑞纳)治疗非小细胞肺癌疾病进展或死亡风险降低83%

肺癌手术是微创还是开胸

肺癌2024-05-31
肺癌手术是微创还是开胸

肺癌手术费用多少钱啊?全面解析肺癌手术的费用与选择

肺癌2024-05-27
肺癌手术费用多少钱啊?全面解析肺癌手术的费用与选择

WT1-DC疫苗为终末期肺癌患者带来曙光,无进展生存期超577天

肺癌2024-05-22
WT1-DC疫苗为终末期肺癌患者带来曙光,无进展生存期超577天

小细胞肺癌新药,FDA批准Tarlatamab-dlle(塔拉妥单抗、Imdelltra)用于治疗在铂类化疗期间或之后疾病进展的广泛期小细胞肺癌(ES-SC

肺癌2024-05-22
小细胞肺癌新药,FDA批准Tarlatamab-dlle(塔拉妥单抗、Imdelltra)用于治疗在铂类化疗期间或之后疾病进展的广泛期小细胞肺癌(ES-SC

肺癌手术前一定要知道的一些知识

肺癌2024-05-09
肺癌手术前一定要知道的一些知识

四大肺癌细胞免疫疗法引领肺癌治疗新纪元

肺癌2024-05-06
四大肺癌细胞免疫疗法引领肺癌治疗新纪元

聚焦2024中国中国临床肿瘤学会(CSCO)大会,2024版CSCO肺癌诊疗指南重磅更新

肺癌2024-05-06
聚焦2024中国中国临床肿瘤学会(CSCO)大会,2024版CSCO肺癌诊疗指南重磅更新

2024年4月25日16点第30届全国肿瘤防治宣传周收官场!肺癌十大"黄金"靶点新药进展盘点

肺癌2024-04-24
2024年4月25日16点第30届全国肿瘤防治宣传周收官场!肺癌十大"黄金"靶点新药进展盘点

"肺"常守护,"肺"常健康--2024年全球肿瘤医生网携手北京南郊肿瘤医院肺癌公益科普医患交流会圆满结束

肺癌2024-03-29
"肺"常守护,"肺"常健康--2024年全球肿瘤医生网携手北京南郊肿瘤医院肺癌公益科普医患交流会圆满结束

上海交通大学医学院附属胸科医院张波医生:影响晚期肺癌生存期的因素有哪些

肺癌2024-03-28
上海交通大学医学院附属胸科医院张波医生:影响晚期肺癌生存期的因素有哪些

WT1树突细胞疫苗治疗晚期肺鳞癌无进展生存期超577天

肺癌2024-03-26
WT1树突细胞疫苗治疗晚期肺鳞癌无进展生存期超577天

2024年肺癌公益科普医患交流会---"肺"常守护,"肺"常健康

肺癌2024-03-20
2024年肺癌公益科普医患交流会---"肺"常守护,"肺"常健康

古巴肺癌疫苗Cimavax-EGF:近半数肺癌患者生存期≥2年

肺癌2024-03-20
古巴肺癌疫苗Cimavax-EGF:近半数肺癌患者生存期≥2年

已经获批上市的肺癌ROS1抑制剂有哪些

肺癌2024-03-14
已经获批上市的肺癌ROS1抑制剂有哪些

美国FDA授予新型ROS1靶向药NVL-520(Zidesamtinib)治疗转移性ROS1阳性非小细胞肺癌突破性疗法称号

肺癌2024-03-14
美国FDA授予新型ROS1靶向药NVL-520(Zidesamtinib)治疗转移性ROS1阳性非小细胞肺癌突破性疗法称号

直播预告|2024年3月13日14点,"兴"心守护,肺"愈"新生,线上线下相结合的2024肺癌公益科普医患交流会不见不散

肺癌2024-03-06
直播预告|2024年3月13日14点,"兴"心守护,肺"愈"新生,线上线下相结合的2024肺癌公益科普医患交流会不见不散

EGFR20ins突变靶向药新药相继问世,EGFR 20ins的肺癌患者迎来曙光

肺癌2024-03-01
EGFR20ins突变靶向药新药相继问世,EGFR 20ins的肺癌患者迎来曙光

娃哈哈创始人宗庆后肺癌去世,为什么肺癌一发现就是晚期?晚期肺癌是不是真的没得救了

肺癌2024-02-27
娃哈哈创始人宗庆后肺癌去世,为什么肺癌一发现就是晚期?晚期肺癌是不是真的没得救了

古巴肺癌疫苗帮助肺癌患者五年生存率从0提升至23%

肺癌2024-02-21
古巴肺癌疫苗帮助肺癌患者五年生存率从0提升至23%

收藏|肺癌患者《2024抗癌宝典》出炉!多款靶向药,癌症疫苗值得期待!

肺癌2024-02-08
收藏|肺癌患者《2024抗癌宝典》出炉!多款靶向药,癌症疫苗值得期待!

肺癌新药,2023年中美两国上市的肺癌治疗药物大盘点

肺癌2024-01-17
肺癌新药,2023年中美两国上市的肺癌治疗药物大盘点

截止到2024年1月15日已上市的肺癌靶向药物和免疫(PD-1/PD-L1)药物有哪些

肺癌2024-01-15
截止到2024年1月15日已上市的肺癌靶向药物和免疫(PD-1/PD-L1)药物有哪些

2023年5月31日国产肺癌第三代靶向药甲磺酸贝福替尼胶囊(赛美纳)获批上市

肺癌2024-01-15
2023年5月31日国产肺癌第三代靶向药甲磺酸贝福替尼胶囊(赛美纳)获批上市

肺癌新药,新一代ROS1抑制剂瑞普替尼治疗肺癌疾病控制率高达94%

肺癌2024-01-12
肺癌新药,新一代ROS1抑制剂瑞普替尼治疗肺癌疾病控制率高达94%

小细胞肺癌新药,小细胞肺癌首款双特异性抗体药物Tarlatamab(塔拉妥单抗)70%的患者肿瘤缩小或稳定,有望上市

肺癌2024-01-11
小细胞肺癌新药,小细胞肺癌首款双特异性抗体药物Tarlatamab(塔拉妥单抗)70%的患者肿瘤缩小或稳定,有望上市

古巴肺癌疫苗CIMAvax-EGF治疗晚期肺癌50%的患者生存期超3年,重燃晚期肺癌患者生的希望

肺癌2024-01-10
古巴肺癌疫苗CIMAvax-EGF治疗晚期肺癌50%的患者生存期超3年,重燃晚期肺癌患者生的希望

超50%患者肿瘤病灶大幅缩小!新型癌症疫苗联合K药,治疗癌症新希望

肺癌2024-01-08
超50%患者肿瘤病灶大幅缩小!新型癌症疫苗联合K药,治疗癌症新希望

2023年12月8日肺癌新药MET抑制剂盐酸特泊替尼片(Tepmetko)在中国获批上市

肺癌2023-12-19
2023年12月8日肺癌新药MET抑制剂盐酸特泊替尼片(Tepmetko)在中国获批上市

奥希替尼耐药了怎办,奥希替尼耐药后别慌,2024年5大全新疗法值得关注

肺癌2023-12-19
奥希替尼耐药了怎办,奥希替尼耐药后别慌,2024年5大全新疗法值得关注

2024年纳入医保的肺癌靶向药物和肺癌免疫治疗药物有哪些

肺癌2023-12-18
2024年纳入医保的肺癌靶向药物和肺癌免疫治疗药物有哪些

奥希替尼耐药后吃什么靶向药,2024年5大全新疗法值得关注

肺癌2023-12-07
奥希替尼耐药后吃什么靶向药,2024年5大全新疗法值得关注

中国国产首款KRAS靶向药IBI351疾病控制率高达100%,获得优先审批上市在即

肺癌2023-12-07
中国国产首款KRAS靶向药IBI351疾病控制率高达100%,获得优先审批上市在即

又一款肺癌疫苗IO102-IO103横空出世,超过50%的患者肿瘤显著缩小

肺癌2023-12-07
又一款肺癌疫苗IO102-IO103横空出世,超过50%的患者肿瘤显著缩小

古巴肺癌疫苗治疗效果如何,来看看这个中国患者古巴肺癌疫苗治疗成功案例

肺癌2023-12-07
古巴肺癌疫苗治疗效果如何,来看看这个中国患者古巴肺癌疫苗治疗成功案例

这4款肺癌疫苗帮助晚期患者生存期超过5年

肺癌2023-12-05
这4款肺癌疫苗帮助晚期患者生存期超过5年

肺癌质子治疗:一种创新的肺癌放射治疗方法

肺癌2023-12-04
肺癌质子治疗:一种创新的肺癌放射治疗方法

古巴肺癌疫苗CIMAvax-EGF疫苗帮助肺癌患者开始"长生存之路"

肺癌2023-12-04
古巴肺癌疫苗CIMAvax-EGF疫苗帮助肺癌患者开始"长生存之路"

古巴肺癌疫苗CIMAvax-EGF治疗非小细胞肺癌5年生存率从0%飙升至23%

肺癌2023-11-29
古巴肺癌疫苗CIMAvax-EGF治疗非小细胞肺癌5年生存率从0%飙升至23%

奥希替尼耐药后吃什么靶向药,阿米万他单抗联合化疗申请上市

肺癌2023-11-29
奥希替尼耐药后吃什么靶向药,阿米万他单抗联合化疗申请上市

揭示古巴肺癌疫苗CIMAvax-EGF的神秘面纱

肺癌2023-11-27
揭示古巴肺癌疫苗CIMAvax-EGF的神秘面纱

全球第二个三代EGFR-TKI靶向药甲磺酸阿美替尼片(阿美乐)简单介绍

肺癌2023-11-22
全球第二个三代EGFR-TKI靶向药甲磺酸阿美替尼片(阿美乐)简单介绍

新型单苯胺基嘧啶小分子EGFR抑制剂PLB1004(安达替尼)治疗非小细胞肺癌100%的患者肿瘤缩小或稳定

肺癌2023-11-21
新型单苯胺基嘧啶小分子EGFR抑制剂PLB1004(安达替尼)治疗非小细胞肺癌100%的患者肿瘤缩小或稳定

古巴肺癌疫苗帮助近半数患者生存期超2年,重燃患者长期生存的希望

肺癌2023-11-17
古巴肺癌疫苗帮助近半数患者生存期超2年,重燃患者长期生存的希望

国产c-MET抑制剂伯瑞替尼肠溶胶囊用于治疗局部晚期或转移性非小细胞肺癌在中国获批上市

肺癌2023-11-17
国产c-MET抑制剂伯瑞替尼肠溶胶囊用于治疗局部晚期或转移性非小细胞肺癌在中国获批上市

瑞波替尼(TPX-0005、BMS-986472)用于治疗ROS1阳性的非小细胞肺癌在美国获批上市

肺癌2023-11-17
瑞波替尼(TPX-0005、BMS-986472)用于治疗ROS1阳性的非小细胞肺癌在美国获批上市

第三代EGFR-TKI靶向药奥希替尼医保报销后价格费用是多少钱

肺癌2023-11-08
第三代EGFR-TKI靶向药奥希替尼医保报销后价格费用是多少钱

深度解析第三代EGFR-TKI靶向药奥希替尼(Osimertinib、泰瑞沙、Tagrisso、AZD9291)

肺癌2023-11-08
深度解析第三代EGFR-TKI靶向药奥希替尼(Osimertinib、泰瑞沙、Tagrisso、AZD9291)

第三代EGFR-TKI靶向药奥希替尼(Osimertinib、泰瑞沙、Tagrisso、AZD9291)简单而全面的介绍

肺癌2023-11-08
第三代EGFR-TKI靶向药奥希替尼(Osimertinib、泰瑞沙、Tagrisso、AZD9291)简单而全面的介绍

NK细胞免疫疗法联合PD-1双免疫联合治疗肺癌提高41.6%的生存率

肺癌2023-11-07
NK细胞免疫疗法联合PD-1双免疫联合治疗肺癌提高41.6%的生存率

奥希替尼(Osimertinib):治疗非小细胞肺癌的重要靶向药物

肺癌2023-11-06
奥希替尼(Osimertinib):治疗非小细胞肺癌的重要靶向药物

肺癌KRAS基因突变有靶向药吗,多款新药缓解率超过50%!最难治的癌症突变,即将迎来靶向治疗新时代

肺癌2023-10-30
肺癌KRAS基因突变有靶向药吗,多款新药缓解率超过50%!最难治的癌症突变,即将迎来靶向治疗新时代

两种新肺癌一线治疗方案疗效均超越奥希替尼单药,无病生存近两年,有望改写肺癌治疗常规

肺癌2023-10-27
两种新肺癌一线治疗方案疗效均超越奥希替尼单药,无病生存近两年,有望改写肺癌治疗常规

肺癌疫苗,7款非小细胞肺癌疫苗帮助患者破解耐药和复发的难题,生存期延长不止1年

肺癌2023-10-27
肺癌疫苗,7款非小细胞肺癌疫苗帮助患者破解耐药和复发的难题,生存期延长不止1年

国产口服EGFR靶向药物伏美替尼(Furmonertinib)治疗肺癌疾病控制率高达100%

肺癌2023-10-23
国产口服EGFR靶向药物伏美替尼(Furmonertinib)治疗肺癌疾病控制率高达100%

钻石突变靶向药,晚期肺癌长生存超5年!这些"钻石"突变的患者有新药了

肺癌2023-10-23
钻石突变靶向药,晚期肺癌长生存超5年!这些"钻石"突变的患者有新药了

达克替尼(达可替尼、Dacomitinib、Vizimpro),一种革命性的非小细胞肺癌治疗药物

肺癌2023-10-20
达克替尼(达可替尼、Dacomitinib、Vizimpro),一种革命性的非小细胞肺癌治疗药物

达克替尼(达可替尼、Dacomitinib、Vizimpro)打开肺癌治疗新篇章的创新药物

肺癌2023-10-20
达克替尼(达可替尼、Dacomitinib、Vizimpro)打开肺癌治疗新篇章的创新药物

达克替尼(达可替尼、Dacomitinib、Vizimpro)用于治疗EGFR突变阳性的晚期非小细胞肺癌患者效果显著

肺癌2023-10-20
达克替尼(达可替尼、Dacomitinib、Vizimpro)用于治疗EGFR突变阳性的晚期非小细胞肺癌患者效果显著

谈谈达克替尼(达可替尼、Dacomitinib、Vizimpro)的储存、副作用以及与阿法替尼的比较

肺癌2023-10-20
谈谈达克替尼(达可替尼、Dacomitinib、Vizimpro)的储存、副作用以及与阿法替尼的比较

EGFR抑制剂达克替尼(达可替尼、Dacomitinib、Vizimpro),精准靶向治疗肺癌的关键药物

肺癌2023-10-20
EGFR抑制剂达克替尼(达可替尼、Dacomitinib、Vizimpro),精准靶向治疗肺癌的关键药物

达克替尼(达可替尼、Dacomitinib、Vizimpro),广谱抑制、入脑效果好、疗效显著的EGFR靶向药物

肺癌2023-10-20
达克替尼(达可替尼、Dacomitinib、Vizimpro),广谱抑制、入脑效果好、疗效显著的EGFR靶向药物

突发!AMG510和TAK-788(莫博赛替尼)可能面临退市,KRAS G12C突变靶向药和EGFR20基因突变靶向药还有哪些

肺癌2023-10-09
突发!AMG510和TAK-788(莫博赛替尼)可能面临退市,KRAS G12C突变靶向药和EGFR20基因突变靶向药还有哪些

晚期肺癌靶向治疗能生存几年,肺癌晚期靶向新药有哪些

肺癌2023-10-07
晚期肺癌靶向治疗能生存几年,肺癌晚期靶向新药有哪些

EGFR20ins突变靶向药治疗肺癌难治突变34个月肿瘤扔可持续缩小,靶向治疗耐药的患者也能获益

肺癌2023-09-26
EGFR20ins突变靶向药治疗肺癌难治突变34个月肿瘤扔可持续缩小,靶向治疗耐药的患者也能获益

肺癌疫苗Tedopi临床III期数据公布,竟能破解PD-1耐药

肺癌2023-09-25
肺癌疫苗Tedopi临床III期数据公布,竟能破解PD-1耐药

国产KRAS基因突变靶向药物JAB-21822治疗KRAS G12C突变的晚期或转移性非小细胞肺癌获突破性疗法认定

肺癌2023-09-22
国产KRAS基因突变靶向药物JAB-21822治疗KRAS G12C突变的晚期或转移性非小细胞肺癌获突破性疗法认定

马来酸阿法替尼片(吉泰瑞、Giotrif),第二代EGFR靶向药物的特殊之处

肺癌2023-09-21
马来酸阿法替尼片(吉泰瑞、Giotrif),第二代EGFR靶向药物的特殊之处

第二代EGFR靶向药物马来酸阿法替尼片(吉泰瑞、Giotrif),从作用机制到副作用全面解读

肺癌2023-09-21
第二代EGFR靶向药物马来酸阿法替尼片(吉泰瑞、Giotrif),从作用机制到副作用全面解读

第二代EGFR靶向药物马来酸阿法替尼片(吉泰瑞、Giotrif)简单而全面的指南,一看就懂

肺癌2023-09-21
第二代EGFR靶向药物马来酸阿法替尼片(吉泰瑞、Giotrif)简单而全面的指南,一看就懂

第二代EGFR靶向药物马来酸阿法替尼片(吉泰瑞、Giotrif)全方位简介

肺癌2023-09-21
第二代EGFR靶向药物马来酸阿法替尼片(吉泰瑞、Giotrif)全方位简介

第二代EGFR靶向药物马来酸阿法替尼片(吉泰瑞、Giotrif)疗效与副作用简析

肺癌2023-09-21
第二代EGFR靶向药物马来酸阿法替尼片(吉泰瑞、Giotrif)疗效与副作用简析

第二代EGFR靶向药物马来酸阿法替尼片(吉泰瑞、Giotrif)简单用药指导

肺癌2023-09-21
第二代EGFR靶向药物马来酸阿法替尼片(吉泰瑞、Giotrif)简单用药指导

肺癌新药新进展,2023年世界肺癌大会(WCLC)10大创新药,覆盖5大难治靶点

肺癌2023-09-21
肺癌新药新进展,2023年世界肺癌大会(WCLC)10大创新药,覆盖5大难治靶点

KRAS基因突变的意义,难治突变肺癌新进展缓解率超过70%

肺癌2023-09-21
KRAS基因突变的意义,难治突变肺癌新进展缓解率超过70%

奥希替尼耐药后的治疗方案,奥希替尼耐药后吃什么靶向药代替、第四代靶向药有哪些

肺癌2023-09-21
奥希替尼耐药后的治疗方案,奥希替尼耐药后吃什么靶向药代替、第四代靶向药有哪些

马来酸阿法替尼片(吉泰瑞、Giotrif),患者用药简单指南

肺癌2023-09-20
马来酸阿法替尼片(吉泰瑞、Giotrif),患者用药简单指南

马来酸阿法替尼片(吉泰瑞、Giotrif),患者需要知道的一点点信息

肺癌2023-09-20
马来酸阿法替尼片(吉泰瑞、Giotrif),患者需要知道的一点点信息

马来酸阿法替尼片(吉泰瑞、Giotrif),一款与EGFR突变肺癌抗争的强大武器

肺癌2023-09-20
马来酸阿法替尼片(吉泰瑞、Giotrif),一款与EGFR突变肺癌抗争的强大武器

第二代EGFR靶向药物马来酸阿法替尼片(吉泰瑞、Giotrif)的简单介绍

肺癌2023-09-20
第二代EGFR靶向药物马来酸阿法替尼片(吉泰瑞、Giotrif)的简单介绍

第二代EGFR靶向药物马来酸阿法替尼片(吉泰瑞、Giotrif)的简单说明

肺癌2023-09-20
第二代EGFR靶向药物马来酸阿法替尼片(吉泰瑞、Giotrif)的简单说明

第二代EGFR靶向药物马来酸阿法替尼片(吉泰瑞、Giotrif)的全面解析

肺癌2023-09-20
第二代EGFR靶向药物马来酸阿法替尼片(吉泰瑞、Giotrif)的全面解析

恩曲替尼治疗ROS1阳性非小细胞肺癌实现超过3年的无进展生存,优势不仅在治疗脑转移,还有望成为"更好的选择"

肺癌2023-09-19
恩曲替尼治疗ROS1阳性非小细胞肺癌实现超过3年的无进展生存,优势不仅在治疗脑转移,还有望成为"更好的选择"

埃万妥单抗数据再更新,无进展生存1年零2个月

肺癌2023-09-19
埃万妥单抗数据再更新,无进展生存1年零2个月

EGFR/MET双靶点抑制埃万妥单抗(Rybrevant/Amivantamab-vmjw)有望拓展MET突变适应症

肺癌2023-09-18
EGFR/MET双靶点抑制埃万妥单抗(Rybrevant/Amivantamab-vmjw)有望拓展MET突变适应症

非小细胞肺癌免疫治疗效果如何

肺癌2023-09-18
非小细胞肺癌免疫治疗效果如何

EGFR靶向药物凯美纳(Conmana、盐酸埃克替尼片、Icotinib)开创首个中国自研治疗EGFR突变肺癌的靶向治疗创新之路

肺癌2023-09-15
EGFR靶向药物凯美纳(Conmana、盐酸埃克替尼片、Icotinib)开创首个中国自研治疗EGFR突变肺癌的靶向治疗创新之路

EGFR靶向药物凯美纳(Conmana、盐酸埃克替尼片、Icotinib)适用人群、禁忌及使用方法详解

肺癌2023-09-15
EGFR靶向药物凯美纳(Conmana、盐酸埃克替尼片、Icotinib)适用人群、禁忌及使用方法详解

中国首个自主知识产权的EGFR-TKI靶向药物-凯美纳(Conmana、盐酸埃克替尼片、Icotinib)

肺癌2023-09-15
中国首个自主知识产权的EGFR-TKI靶向药物-凯美纳(Conmana、盐酸埃克替尼片、Icotinib)

凯美纳(Conmana、盐酸埃克替尼片、Icotinib)中国第1个拥有自主知识产权的EGFR-TKI靶向药物

肺癌2023-09-15
凯美纳(Conmana、盐酸埃克替尼片、Icotinib)中国第1个拥有自主知识产权的EGFR-TKI靶向药物

EGFR靶向药物凯美纳(Conmana、盐酸埃克替尼片、Icotinib)简单介绍

肺癌2023-09-15
EGFR靶向药物凯美纳(Conmana、盐酸埃克替尼片、Icotinib)简单介绍

EGFR靶向药物凯美纳(Conmana、盐酸埃克替尼片、Icotinib)全面解析

肺癌2023-09-15
EGFR靶向药物凯美纳(Conmana、盐酸埃克替尼片、Icotinib)全面解析

国产MET抑制剂赛沃替尼(Savolitinib、沃利替尼)登录世界肺癌大会,疗效惊艳,缓解率接近60%,无进展生存超过1年

肺癌2023-09-15
国产MET抑制剂赛沃替尼(Savolitinib、沃利替尼)登录世界肺癌大会,疗效惊艳,缓解率接近60%,无进展生存超过1年

非小细胞肺癌没有基因突变怎么治疗,免疫+ADC+化疗三药联合疗效出色

肺癌2023-09-14
非小细胞肺癌没有基因突变怎么治疗,免疫+ADC+化疗三药联合疗效出色

双靶向治疗,阿美替尼联合安罗替尼的双靶向疗法一线治疗非小细胞肺癌缓解率96%,脑转移缓解率超过70%

肺癌2023-09-14
双靶向治疗,阿美替尼联合安罗替尼的双靶向疗法一线治疗非小细胞肺癌缓解率96%,脑转移缓解率超过70%

盐酸厄洛替尼片(Erlotinib、特罗凯、Tarceva)全面简单的分析

肺癌2023-09-14
盐酸厄洛替尼片(Erlotinib、特罗凯、Tarceva)全面简单的分析

盐酸厄洛替尼片(Erlotinib、特罗凯、Tarceva)的简单分析

肺癌2023-09-14
盐酸厄洛替尼片(Erlotinib、特罗凯、Tarceva)的简单分析

盐酸厄洛替尼片(Erlotinib、特罗凯、Tarceva)简单介绍

肺癌2023-09-14
盐酸厄洛替尼片(Erlotinib、特罗凯、Tarceva)简单介绍

对盐酸厄洛替尼片(Erlotinib、特罗凯、Tarceva)的基本认识

肺癌2023-09-14
对盐酸厄洛替尼片(Erlotinib、特罗凯、Tarceva)的基本认识

第一代肺癌靶向药EGFR抑制剂盐酸厄洛替尼片(Erlotinib、特罗凯、Tarceva)全面简介

肺癌2023-09-14
第一代肺癌靶向药EGFR抑制剂盐酸厄洛替尼片(Erlotinib、特罗凯、Tarceva)全面简介

吉非替尼是什么药物?了解易瑞沙吉非替尼片的用途和特点

肺癌2023-09-13
吉非替尼是什么药物?了解易瑞沙吉非替尼片的用途和特点

易瑞沙吉非替尼片,来了解一下治疗EGFR突变的非小细胞肺癌的吉非替尼是什么药

肺癌2023-09-13
易瑞沙吉非替尼片,来了解一下治疗EGFR突变的非小细胞肺癌的吉非替尼是什么药

吉非替尼是什么药,全面了解治疗非小细胞肺癌EGFR突变的易瑞沙吉非替尼片

肺癌2023-09-13
吉非替尼是什么药,全面了解治疗非小细胞肺癌EGFR突变的易瑞沙吉非替尼片

EGFR突变的非小细胞肺癌患者奥希替尼联合化疗一线治疗的效果更好,无进展生存期延长9个月

肺癌2023-09-13
EGFR突变的非小细胞肺癌患者奥希替尼联合化疗一线治疗的效果更好,无进展生存期延长9个月

奥希替尼耐药后用什么药代替,靶向HER3靶点的抗体-药物偶联物U3-1402(Patritumab Deruxtecan、HER3-DXd)治疗奥希替尼耐药的患者缓

肺癌2023-09-13
奥希替尼耐药后用什么药代替,靶向HER3靶点的抗体-药物偶联物U3-1402(Patritumab Deruxtecan、HER3-DXd)治疗奥希替尼耐药的患者缓

吉非替尼是什么药,易瑞沙吉非替尼片简易说明书

肺癌2023-09-12
吉非替尼是什么药,易瑞沙吉非替尼片简易说明书

吉非替尼是什么药,易瑞沙吉非替尼片一种革命性的肺癌治疗药物

肺癌2023-09-12
吉非替尼是什么药,易瑞沙吉非替尼片一种革命性的肺癌治疗药物

吉非替尼是什么药,易瑞沙吉非替尼片简易中文说明

肺癌2023-09-12
吉非替尼是什么药,易瑞沙吉非替尼片简易中文说明

第三代EGFR抑制剂伏美替尼(Furmonertinib)治疗EGFR ex20ins突变的非小细胞肺癌疾病缓解率可达78.6%

肺癌2023-09-12
第三代EGFR抑制剂伏美替尼(Furmonertinib)治疗EGFR ex20ins突变的非小细胞肺癌疾病缓解率可达78.6%

非小细胞肺癌没有基因突变能吃靶向药吗,戈沙妥珠单抗(Trodelvy)一线治疗无驱动基因突变的非小细胞肺癌缓解率高达69%,超越PD-1单

肺癌2023-09-12
非小细胞肺癌没有基因突变能吃靶向药吗,戈沙妥珠单抗(Trodelvy)一线治疗无驱动基因突变的非小细胞肺癌缓解率高达69%,超越PD-1单

EGFR抑制剂的靶向药有哪些,解析肺癌治疗的重要武器

肺癌2023-09-08
EGFR抑制剂的靶向药有哪些,解析肺癌治疗的重要武器

抗肺癌EGFR突变的重武器,EGFR抑制剂的靶向药有哪些

肺癌2023-09-08
抗肺癌EGFR突变的重武器,EGFR抑制剂的靶向药有哪些

EGFR抑制剂的靶向药有哪些,让我们一起来看看吧

肺癌2023-09-08
EGFR抑制剂的靶向药有哪些,让我们一起来看看吧

誉为EGFR基因突变肺癌靶向治疗新希望的EGFR抑制剂有哪些

肺癌2023-09-08
誉为EGFR基因突变肺癌靶向治疗新希望的EGFR抑制剂有哪些

肺癌已上市的EGFR抑制剂和正在招募临床试验的靶向药物有哪些

肺癌2023-09-07
肺癌已上市的EGFR抑制剂和正在招募临床试验的靶向药物有哪些

肺癌EGFR抑制剂的靶向药有哪些

肺癌2023-09-07
肺癌EGFR抑制剂的靶向药有哪些

EGFR基因突变是什么意思,从细胞生长的引擎到肺癌靶向治疗的希望

肺癌2023-09-06
EGFR基因突变是什么意思,从细胞生长的引擎到肺癌靶向治疗的希望

EGFR基因突变是什么意思,它是如何影响肺癌患者治疗的

肺癌2023-09-06
EGFR基因突变是什么意思,它是如何影响肺癌患者治疗的

EGFR基因突变是什么意思,解读EGFR基因突变在肺癌治疗中的关键作用

肺癌2023-09-06
EGFR基因突变是什么意思,解读EGFR基因突变在肺癌治疗中的关键作用

肺癌EGFR基因突变是什么意思

肺癌2023-09-06
肺癌EGFR基因突变是什么意思

肺癌靶向药有几种、有哪些,肺癌靶向治疗药物大盘点

肺癌2023-09-06
肺癌靶向药有几种、有哪些,肺癌靶向治疗药物大盘点

肺癌靶向药有几种、有哪些,肺癌基因突变及靶向治疗详解

肺癌2023-09-05
肺癌靶向药有几种、有哪些,肺癌基因突变及靶向治疗详解

肺癌靶向药有几种?有哪些?

肺癌2023-09-05
肺癌靶向药有几种?有哪些?

非小细胞肺癌肺癌脑转移的治疗方法有哪些

肺癌2023-09-05
非小细胞肺癌肺癌脑转移的治疗方法有哪些

YK-029A片:突破性治疗非小细胞肺癌的新药

肺癌2023-09-01
YK-029A片:突破性治疗非小细胞肺癌的新药

TIL疗法LN145治疗晚期肺癌大显身手,疾病控制率高达82.6%

肺癌2023-08-29
TIL疗法LN145治疗晚期肺癌大显身手,疾病控制率高达82.6%

中国首款国产肺癌EGFR20ins突变靶向药舒沃替尼(DZD9008、舒沃哲、Sunvozertinib)获批上市,缓解率超过60%

肺癌2023-08-25
中国首款国产肺癌EGFR20ins突变靶向药舒沃替尼(DZD9008、舒沃哲、Sunvozertinib)获批上市,缓解率超过60%

中国首款国产肺癌EGFR20ins突变靶向药舒沃替尼(DZD9008、舒沃哲、Sunvozertinib)震撼上市

肺癌2023-08-25
中国首款国产肺癌EGFR20ins突变靶向药舒沃替尼(DZD9008、舒沃哲、Sunvozertinib)震撼上市

瑞普替尼(TPX-0005、Repotrectinib)治疗ROS1阳性的非小细胞肺癌有望于今年上市

肺癌2023-08-23
瑞普替尼(TPX-0005、Repotrectinib)治疗ROS1阳性的非小细胞肺癌有望于今年上市

肺癌钻石突变ROS1基因突变靶向药物瑞波替尼(TPX-0005)整体缓解率接近80%

肺癌2023-08-23
肺癌钻石突变ROS1基因突变靶向药物瑞波替尼(TPX-0005)整体缓解率接近80%

国产第三代EGFR靶向药伏美替尼数据更新

肺癌2023-08-22
国产第三代EGFR靶向药伏美替尼数据更新

非小细胞肺癌没有基因突变怎么治疗,没有驱动基因突变还可以来做这些尝试

肺癌2023-08-21
非小细胞肺癌没有基因突变怎么治疗,没有驱动基因突变还可以来做这些尝试

电场治疗肺癌,如果普及电场疗法,非小细胞肺癌的治疗将迎来哪些改善

肺癌2023-08-15
电场治疗肺癌,如果普及电场疗法,非小细胞肺癌的治疗将迎来哪些改善

8款EGFR 20ins突变靶向药为肺癌患者带来全新的升级

肺癌2023-07-28
8款EGFR 20ins突变靶向药为肺癌患者带来全新的升级

古巴肺癌疫苗CIMAvax-EGF二期临床试验已经在美国开始了

肺癌2023-07-28
古巴肺癌疫苗CIMAvax-EGF二期临床试验已经在美国开始了

肺癌早筛可以选择哪些方式

肺癌2023-07-27
肺癌早筛可以选择哪些方式

TIL细胞疗法LN-145治疗非小细胞肺癌疗效出色,有望获得FDA加速批准

肺癌2023-07-25
TIL细胞疗法LN-145治疗非小细胞肺癌疗效出色,有望获得FDA加速批准

奥希替尼耐药后怎么办、吃什么靶向药,4类、12种奥希替尼耐药后的治疗方案,其中5项有希望用上,EGFR非小细胞肺癌的患者值得关注

肺癌2023-07-18
奥希替尼耐药后怎么办、吃什么靶向药,4类、12种奥希替尼耐药后的治疗方案,其中5项有希望用上,EGFR非小细胞肺癌的患者值得关注

古巴肺癌疫苗有用吗

肺癌2023-07-17
古巴肺癌疫苗有用吗

脑转移靶向药,KRAS G12C 抑制剂Adagrasib(阿达格拉西布、MRTX-849)治疗脑转移颅内疾病控制率高达90%

肺癌2023-07-05
脑转移靶向药,KRAS G12C 抑制剂Adagrasib(阿达格拉西布、MRTX-849)治疗脑转移颅内疾病控制率高达90%

NK细胞疗法SNK01治疗肺癌疾病控制率高达100%,EGFR阳性耐药也有效

肺癌2023-06-28
NK细胞疗法SNK01治疗肺癌疾病控制率高达100%,EGFR阳性耐药也有效

非小细胞肺癌靶向治疗新进展,EGFR、MET、ALK/ROS1、KRAS四大靶点六款新药强势崛起

肺癌2023-06-27
非小细胞肺癌靶向治疗新进展,EGFR、MET、ALK/ROS1、KRAS四大靶点六款新药强势崛起

2023年上半年国内外获批上市的肺癌新药新疗法有哪些

肺癌2023-06-26
2023年上半年国内外获批上市的肺癌新药新疗法有哪些

非小细胞肺癌KRAS G12C突变怎么治疗好

肺癌2023-06-20
非小细胞肺癌KRAS G12C突变怎么治疗好

PD-1抑制剂纳武利尤单抗(纳武单抗)治疗非小细胞肺癌长期效果超过10%的患者生存超过五年六年

肺癌2023-06-16
PD-1抑制剂纳武利尤单抗(纳武单抗)治疗非小细胞肺癌长期效果超过10%的患者生存超过五年六年

KRAS抑制剂Sotorasib(索托拉西布、AMG510)联合化疗治疗晚期肺癌,近90%的患者肿瘤显著缩小

肺癌2023-06-16
KRAS抑制剂Sotorasib(索托拉西布、AMG510)联合化疗治疗晚期肺癌,近90%的患者肿瘤显著缩小

非小细胞肺癌脑转移靶向药治疗颅内缓解率高达85%,脑转移不接受放疗、一线使用靶向药,也能有超高缓解率

肺癌2023-06-15
非小细胞肺癌脑转移靶向药治疗颅内缓解率高达85%,脑转移不接受放疗、一线使用靶向药,也能有超高缓解率

HER2靶向药,为患者带来"重生"的希望

肺癌2023-06-14
HER2靶向药,为患者带来"重生"的希望

KRAS靶向药物Sotorasib(索托拉西布、AMG510)为肺癌患者带来更长的生存获益

肺癌2023-06-14
KRAS靶向药物Sotorasib(索托拉西布、AMG510)为肺癌患者带来更长的生存获益

电场疗法TTFields治疗肺癌显著延长总生存期

肺癌2023-06-08
电场疗法TTFields治疗肺癌显著延长总生存期

2023年5月30日美国FDA授予瑞普替尼(Repotrectinib)治疗ROS1阳性的局部晚期或转移性非小细胞肺癌优先评审资格

肺癌2023-06-08
2023年5月30日美国FDA授予瑞普替尼(Repotrectinib)治疗ROS1阳性的局部晚期或转移性非小细胞肺癌优先评审资格

奥希替尼耐药后怎么办,肺癌第4代靶向药BLU-945新数据公布

肺癌2023-06-08
奥希替尼耐药后怎么办,肺癌第4代靶向药BLU-945新数据公布

日本肺癌手术成功案例

肺癌2023-05-31
日本肺癌手术成功案例

肺癌新药瑞普替尼(TPX0005、Repotrectinib)获NMPA优先评审,上市在即

肺癌2023-05-23
肺癌新药瑞普替尼(TPX0005、Repotrectinib)获NMPA优先评审,上市在即

美国公布古巴肺癌疫苗CIMAvax-EGF临床数据,50%患者肿瘤缩小或稳定

肺癌2023-05-22
美国公布古巴肺癌疫苗CIMAvax-EGF临床数据,50%患者肿瘤缩小或稳定

古巴肺癌疫苗在中国能买到吗

肺癌2023-05-15
古巴肺癌疫苗在中国能买到吗

2023年古巴肺癌疫苗CIMAvax-EGF消息

肺癌2023-05-10
2023年古巴肺癌疫苗CIMAvax-EGF消息

古巴肺癌疫苗CIMAvax-EGF让更多晚期患者迈进"临床治愈"的大门

肺癌2023-05-10
古巴肺癌疫苗CIMAvax-EGF让更多晚期患者迈进"临床治愈"的大门

古巴非小细胞肺癌疫苗CIMAvax-EGF疗效显著,在中国如何获得CIMAvax疫苗

肺癌2023-05-08
古巴非小细胞肺癌疫苗CIMAvax-EGF疗效显著,在中国如何获得CIMAvax疫苗

预防复发、延长生存期,古巴肺癌疫苗Cimavax-EGF新数据公布

肺癌2023-05-08
预防复发、延长生存期,古巴肺癌疫苗Cimavax-EGF新数据公布

非小细胞肺癌新抗原疫苗,抓住癌细胞的"破绽",发动免疫全力攻击

肺癌2023-05-04
非小细胞肺癌新抗原疫苗,抓住癌细胞的"破绽",发动免疫全力攻击

肺癌靶向治疗一线用第几代药好,肺癌靶向治疗用药顺序及原因

肺癌2023-05-04
肺癌靶向治疗一线用第几代药好,肺癌靶向治疗用药顺序及原因

肺癌脑转移治疗新药,EGFR抑制剂AZD3759治疗脑转移缓解率高达80%

肺癌2023-04-28
肺癌脑转移治疗新药,EGFR抑制剂AZD3759治疗脑转移缓解率高达80%

EGFR抑制剂伏美替尼一线治疗肺癌数据更新,所有患者病灶均缩小、比例中位数超过30%

肺癌2023-04-28
EGFR抑制剂伏美替尼一线治疗肺癌数据更新,所有患者病灶均缩小、比例中位数超过30%

国产KRAS抑制剂IBI351(GFH925)治疗肺癌新数据公布,近100%的患者病灶缩小或控制稳定

肺癌2023-04-21
国产KRAS抑制剂IBI351(GFH925)治疗肺癌新数据公布,近100%的患者病灶缩小或控制稳定

"革命性"肺癌药物Sotorasib(AMG510、Lumakras)让晚期肺癌患者重回正常生活

肺癌2023-04-19
"革命性"肺癌药物Sotorasib(AMG510、Lumakras)让晚期肺癌患者重回正常生活

国产肺癌KRASG12C靶向药Garsorasib(D1553)治疗后90%以上的患者肿瘤缩小或稳定

肺癌2023-04-18
国产肺癌KRASG12C靶向药Garsorasib(D1553)治疗后90%以上的患者肿瘤缩小或稳定

2023年4月17日第29届全国肿瘤防治宣传周第三弹,上海肺科医院副院长张鹏/山东齐鲁医院呼吸内科副主任王光强:肺癌基因检测的作用与

肺癌2023-04-17
2023年4月17日第29届全国肿瘤防治宣传周第三弹,上海肺科医院副院长张鹏/山东齐鲁医院呼吸内科副主任王光强:肺癌基因检测的作用与

小细胞肺癌临床试验,免疫联合抗血管的抗PD-L1/VEGF双特异性抗体新药PM8002正在招募小细胞肺癌患者

肺癌2023-04-14
小细胞肺癌临床试验,免疫联合抗血管的抗PD-L1/VEGF双特异性抗体新药PM8002正在招募小细胞肺癌患者

肺癌KRAS基因突变有靶向药吗,这4款疾病控制率高达100%的新药新方案KRAS突变的肺癌患者一定要知道

肺癌2023-04-14
肺癌KRAS基因突变有靶向药吗,这4款疾病控制率高达100%的新药新方案KRAS突变的肺癌患者一定要知道

肺癌基因检测怎么做才准

肺癌2023-04-11
肺癌基因检测怎么做才准

肺癌MET靶向药物有哪些

肺癌2023-04-11
肺癌MET靶向药物有哪些

肺腺癌ROS1阳性怎么治疗,26岁确诊Ⅳ期癌症,该如何抗癌?做对这一件事,他把希望握在了自己手中……

肺癌2023-04-11
肺腺癌ROS1阳性怎么治疗,26岁确诊Ⅳ期癌症,该如何抗癌?做对这一件事,他把希望握在了自己手中……

2023AACR精彩预告|4大重磅肺癌新药研究进展抢先看

肺癌2023-04-07
2023AACR精彩预告|4大重磅肺癌新药研究进展抢先看

非小细胞肺癌EGFR靶向治疗这四类临床试验值得关注

肺癌2023-03-30
非小细胞肺癌EGFR靶向治疗这四类临床试验值得关注

肺癌做基因检测的作用与意义

肺癌2023-03-24
肺癌做基因检测的作用与意义

肺结节良性与恶性做什么检查才能查出来

肺癌2023-03-23
肺结节良性与恶性做什么检查才能查出来

不抽烟的女性为什么会得肺癌

肺癌2023-03-21
不抽烟的女性为什么会得肺癌

舒沃替尼临床试验正在招募难治的EGFR突变的非小细胞肺癌患者

肺癌2023-03-15
舒沃替尼临床试验正在招募难治的EGFR突变的非小细胞肺癌患者

肺鳞癌有靶向药吗,来看看这几个肺鳞癌临床试验招募信息吧

肺癌2023-03-15
肺鳞癌有靶向药吗,来看看这几个肺鳞癌临床试验招募信息吧

非小细胞肺癌EGFR ex20ins突变怎样治疗

肺癌2023-03-14
非小细胞肺癌EGFR ex20ins突变怎样治疗

2023年肺癌晚期有新药吗

肺癌2023-03-13
2023年肺癌晚期有新药吗

国产MET抑制剂谷美替尼片(SCC244)用于治疗MET外显子14(ex14)跳跃突变的局部晚期或转移性非小细胞肺癌获批上市

肺癌2023-03-10
国产MET抑制剂谷美替尼片(SCC244)用于治疗MET外显子14(ex14)跳跃突变的局部晚期或转移性非小细胞肺癌获批上市

小细胞肺癌新药,首款国产PD-L1单抗阿得贝利单抗注射液(艾瑞利、SHR-1316)获批上市

肺癌2023-03-07
小细胞肺癌新药,首款国产PD-L1单抗阿得贝利单抗注射液(艾瑞利、SHR-1316)获批上市

ALK阳性的患者发生脑转移怎么办

肺癌2023-03-06
ALK阳性的患者发生脑转移怎么办

两个晚期肺癌临床试验招募信息

肺癌2023-03-03
两个晚期肺癌临床试验招募信息

新一代肺癌ROS1靶向药NVL520近80%的患者肿瘤不同程度缩小或控制稳定

肺癌2023-03-03
新一代肺癌ROS1靶向药NVL520近80%的患者肿瘤不同程度缩小或控制稳定

两款肺癌MET抑制剂谷美替尼和伯瑞替尼为肺癌患者点亮希望

肺癌2023-03-03
两款肺癌MET抑制剂谷美替尼和伯瑞替尼为肺癌患者点亮希望

舒沃替尼(DZD9008)临床试验正在招募EGFR ex20ins突变的非小细胞肺癌患者

肺癌2023-02-28
舒沃替尼(DZD9008)临床试验正在招募EGFR ex20ins突变的非小细胞肺癌患者

KRAS抑制剂Sotorasib(索托拉西布、AMG510、Lumakras)让晚期肺癌患者重回正常生活

肺癌2023-02-28
KRAS抑制剂Sotorasib(索托拉西布、AMG510、Lumakras)让晚期肺癌患者重回正常生活

三项非小细胞肺癌ALK阳性临床试验正在招募患者

肺癌2023-02-22
三项非小细胞肺癌ALK阳性临床试验正在招募患者

非小细胞肺癌术后预防复发的措施

肺癌2023-02-22
非小细胞肺癌术后预防复发的措施

截止到2023年2月底,已上市的肺癌靶向治疗药物和免疫治疗药物有哪些

肺癌2023-02-21
截止到2023年2月底,已上市的肺癌靶向治疗药物和免疫治疗药物有哪些

国产EGFR靶向药舒沃替尼(DZD9008、Sunvozertinib)治疗晚期肺癌超50%的患者肿瘤显著缩小

肺癌2023-02-21
国产EGFR靶向药舒沃替尼(DZD9008、Sunvozertinib)治疗晚期肺癌超50%的患者肿瘤显著缩小

非小细胞肺癌EGFR外显子20插入突变(EGFR ex20ins)是什么意思,能用EGFR抑制剂吗

肺癌2023-02-16
非小细胞肺癌EGFR外显子20插入突变(EGFR ex20ins)是什么意思,能用EGFR抑制剂吗

非小细胞肺癌盲吃靶向药有成功的吗,盲吃靶向药物有什么危害

肺癌2023-02-16
非小细胞肺癌盲吃靶向药有成功的吗,盲吃靶向药物有什么危害

肺癌晚期治疗有效果吗,使用蛋白多肽疫苗Cimavax-EGF后23%的患者生存期超过5年

肺癌2023-02-16
肺癌晚期治疗有效果吗,使用蛋白多肽疫苗Cimavax-EGF后23%的患者生存期超过5年

肺癌奥希替尼耐药后该怎么治疗,卓明磊教授:打破奥希替尼耐药困境!肺癌EGFR耐药迎来5大"续命"新药

肺癌2023-02-15
肺癌奥希替尼耐药后该怎么治疗,卓明磊教授:打破奥希替尼耐药困境!肺癌EGFR耐药迎来5大"续命"新药

肺癌脑转移EGFR突变靶向药用哪个比较好

肺癌2023-02-13
肺癌脑转移EGFR突变靶向药用哪个比较好

肺癌KRAS G12C突变靶向药治疗后80%的患者病灶缩小或控制稳定,肺癌KRAS G12C突变被攻破

肺癌2023-02-06
肺癌KRAS G12C突变靶向药治疗后80%的患者病灶缩小或控制稳定,肺癌KRAS G12C突变被攻破

KRAS G12C突变靶向药Adagrasib(阿达格拉西布、Krazati)让晚期肺癌重回正常生活,国内多家癌症中心提供免费新药

肺癌2023-02-06
KRAS G12C突变靶向药Adagrasib(阿达格拉西布、Krazati)让晚期肺癌重回正常生活,国内多家癌症中心提供免费新药

2023年又有三款肺癌靶向药纳入医保,治疗费用大幅降低!另附肺癌靶向药物和肺癌免疫治疗药物医保目录

肺癌2023-01-31
2023年又有三款肺癌靶向药纳入医保,治疗费用大幅降低!另附肺癌靶向药物和肺癌免疫治疗药物医保目录

小细胞肺癌免疫治疗,首款国产免疫治疗药物(PD-1)斯鲁利单抗(汉斯状、H药、HLX10)获批用于小细胞肺癌一线治疗

肺癌2023-01-30
小细胞肺癌免疫治疗,首款国产免疫治疗药物(PD-1)斯鲁利单抗(汉斯状、H药、HLX10)获批用于小细胞肺癌一线治疗

2023年非小细胞肺癌的治疗方法和非小细胞肺癌新药新技术有哪些

肺癌2023-01-28
2023年非小细胞肺癌的治疗方法和非小细胞肺癌新药新技术有哪些

国产肺癌靶向新药GFH925(IBI351)疾病控制率高达100%

肺癌2023-01-13
国产肺癌靶向新药GFH925(IBI351)疾病控制率高达100%

中国首款肺癌EGFR 20ins靶向药琥珀酸莫博赛替尼胶囊(莫博替尼、Mobocertinib、安卫力、TAK-788、Exkivity)震撼上市

肺癌2023-01-12
中国首款肺癌EGFR 20ins靶向药琥珀酸莫博赛替尼胶囊(莫博替尼、Mobocertinib、安卫力、TAK-788、Exkivity)震撼上市

直播预告|2023年1月13日北京大学肿瘤医院胸部肿瘤内科专家卓明磊:非小细胞肺癌EGFR耐药后的全新方案解读

肺癌2023-01-12
直播预告|2023年1月13日北京大学肿瘤医院胸部肿瘤内科专家卓明磊:非小细胞肺癌EGFR耐药后的全新方案解读

琥珀酸莫博赛替尼胶囊(莫博替尼、Mobocertinib、安卫力、TAK-788、Exkivity)用于治疗非小细胞肺癌在中国获批上市

肺癌2023-01-12
琥珀酸莫博赛替尼胶囊(莫博替尼、Mobocertinib、安卫力、TAK-788、Exkivity)用于治疗非小细胞肺癌在中国获批上市

2023年非小细胞肺癌NCCN指南首次更新,EGFR外显子20插入突变(ex20ins)的患者迎来新治疗策略

肺癌2023-01-10
2023年非小细胞肺癌NCCN指南首次更新,EGFR外显子20插入突变(ex20ins)的患者迎来新治疗策略

广谱抗癌药恩曲替尼胶囊(Entrectinib、罗圣全、Rozlytrek)治疗晚期肺癌,5个月病灶消失

肺癌2023-01-10
广谱抗癌药恩曲替尼胶囊(Entrectinib、罗圣全、Rozlytrek)治疗晚期肺癌,5个月病灶消失

肺癌电场疗法可以治好吗,电场疗法治疗肺癌的Ⅲ期实验成功,显著延长生存期!上市在望

肺癌2023-01-09
肺癌电场疗法可以治好吗,电场疗法治疗肺癌的Ⅲ期实验成功,显著延长生存期!上市在望

国产肺癌KRAS新药JAB21822客观缓解率高达70%,获批突破性疗法认定

肺癌2023-01-06
国产肺癌KRAS新药JAB21822客观缓解率高达70%,获批突破性疗法认定

质子治疗肺癌可以有效降低心脏病和肺纤维化等副作用

肺癌2022-12-27
质子治疗肺癌可以有效降低心脏病和肺纤维化等副作用

直播预告|2022年12月22日中国医学科学院肿瘤医院内科专家王燕主任:2022年6大肺癌基因突变靶点新药进展一览

肺癌2022-12-16
直播预告|2022年12月22日中国医学科学院肿瘤医院内科专家王燕主任:2022年6大肺癌基因突变靶点新药进展一览

第二款非小细胞肺癌KRAS G12C突变靶向药Adagrasib(阿达格拉西布)获批上市,本药KRAS G12C临床试验还有机会申请

肺癌2022-12-14
第二款非小细胞肺癌KRAS G12C突变靶向药Adagrasib(阿达格拉西布)获批上市,本药KRAS G12C临床试验还有机会申请

全球第二款肺癌KRAS G12C突变靶向药Adagrasib(MRTX849、阿达格拉西布、Krazati)获批上市

肺癌2022-12-13
全球第二款肺癌KRAS G12C突变靶向药Adagrasib(MRTX849、阿达格拉西布、Krazati)获批上市

靶向联合免疫治疗,Adagrasib联合Keytruda一线治疗KRAS G12突变的肺癌患者疾病控制率高达100%

肺癌2022-12-08
靶向联合免疫治疗,Adagrasib联合Keytruda一线治疗KRAS G12突变的肺癌患者疾病控制率高达100%

质子治疗肺癌,对抗肺癌脑转移、降低心脏病风险、提高总生存率,优势尽显

肺癌2022-12-05
质子治疗肺癌,对抗肺癌脑转移、降低心脏病风险、提高总生存率,优势尽显

肺癌EGFR基因突变有哪些亚型,正在招募的EGFR临床试验有哪些

肺癌2022-12-05
肺癌EGFR基因突变有哪些亚型,正在招募的EGFR临床试验有哪些

肺癌脑转移治疗成功案例,两代靶向药"接力"治疗肺癌脑转移患者缓解已超过3年

肺癌2022-12-05
肺癌脑转移治疗成功案例,两代靶向药"接力"治疗肺癌脑转移患者缓解已超过3年

2022年肺癌新靶向药物,6款新EGFR靶向药攻破EGFR20ins突变的肺癌

肺癌2022-12-02
2022年肺癌新靶向药物,6款新EGFR靶向药攻破EGFR20ins突变的肺癌

肺癌新药,2022年中美两国上市的肺癌新药物汇总

肺癌2022-12-01
肺癌新药,2022年中美两国上市的肺癌新药物汇总

奥希替尼耐药后用什么药代替,最简单的1+1就能对抗耐药吗?来看看这三位患者的案例吧

肺癌2022-12-01
奥希替尼耐药后用什么药代替,最简单的1+1就能对抗耐药吗?来看看这三位患者的案例吧

两款非小细胞肺癌KRAS G12C临床试验招募正在进行中

肺癌2022-12-01
两款非小细胞肺癌KRAS G12C临床试验招募正在进行中

肺癌延长生命和预防复发的方法有哪些

肺癌2022-11-29
肺癌延长生命和预防复发的方法有哪些

KRAS G12C突变靶向药帮助患者从晚期肺癌到术后无残留,更多的KRAS G12C临床试验招募正在进行中

肺癌2022-11-29
KRAS G12C突变靶向药帮助患者从晚期肺癌到术后无残留,更多的KRAS G12C临床试验招募正在进行中

肺癌患者同一MET突变两种异常,新的MET抑制剂疗效显著,肺癌脑转移也能治疗

肺癌2022-11-29
肺癌患者同一MET突变两种异常,新的MET抑制剂疗效显著,肺癌脑转移也能治疗

TIL疗法治疗肺癌成功案例,更多的TIL临床试验招募正在进行中

肺癌2022-11-25
TIL疗法治疗肺癌成功案例,更多的TIL临床试验招募正在进行中

EGFR靶向药,多款国产肺癌新药攻破EGFR钻石突变

肺癌2022-11-25
EGFR靶向药,多款国产肺癌新药攻破EGFR钻石突变

非小细胞肺癌免疫治疗耐药后怎么办,这三个方向都有新发展

肺癌2022-11-15
非小细胞肺癌免疫治疗耐药后怎么办,这三个方向都有新发展

非小细胞肺癌免疫治疗,2022年11月10日FDA批准CTLA-4抑制剂Imjudo联合PD-L1抑制剂Imfinzi与铂类化疗用于治疗非小细胞肺癌

肺癌2022-11-15
非小细胞肺癌免疫治疗,2022年11月10日FDA批准CTLA-4抑制剂Imjudo联合PD-L1抑制剂Imfinzi与铂类化疗用于治疗非小细胞肺癌

中国肺癌靶向治疗和肺癌免疫治疗

肺癌2022-11-11
中国肺癌靶向治疗和肺癌免疫治疗

肺癌质子治疗效果怎么样,来看看这个质子治疗晚期肺癌的案例就知道了

肺癌2022-11-11
肺癌质子治疗效果怎么样,来看看这个质子治疗晚期肺癌的案例就知道了

又一款非小细胞肺癌PD-1抑制剂Libtayo(Cemiplimab-Rwlc、西米普利单抗)获批上市,上市的非小细胞肺癌免疫治疗药物(PD-1/PD-L1)有

肺癌2022-11-10
又一款非小细胞肺癌PD-1抑制剂Libtayo(Cemiplimab-Rwlc、西米普利单抗)获批上市,上市的非小细胞肺癌免疫治疗药物(PD-1/PD-L1)有

肺癌基因检测,常见的肺癌基因突变有哪几种

肺癌2022-11-08
肺癌基因检测,常见的肺癌基因突变有哪几种

2022年11月1日国产PD-1抑制剂斯鲁利单抗(Serplulimab、HLX10、汉斯状、H药)获批用于非小细胞肺癌

肺癌2022-11-04
2022年11月1日国产PD-1抑制剂斯鲁利单抗(Serplulimab、HLX10、汉斯状、H药)获批用于非小细胞肺癌

肝癌为什么容易复发,肝癌预防复发的方法有哪些

肺癌2022-11-04
肝癌为什么容易复发,肝癌预防复发的方法有哪些

2022年中国8大肺癌新药震撼上市,这6类肺癌基因突变的患者迎来重磅新疗法

肺癌2022-11-04
2022年中国8大肺癌新药震撼上市,这6类肺癌基因突变的患者迎来重磅新疗法

非小细胞肺癌免疫治疗,2022年10月31日国产PD-1斯鲁利单抗(汉斯状、H药)获批用于非小细胞肺癌一线治疗

肺癌2022-11-03
非小细胞肺癌免疫治疗,2022年10月31日国产PD-1斯鲁利单抗(汉斯状、H药)获批用于非小细胞肺癌一线治疗

肺癌术后恢复期应注意什么

肺癌2022-11-03
肺癌术后恢复期应注意什么

肺癌都能用免疫治疗吗

肺癌2022-11-03
肺癌都能用免疫治疗吗

抗体偶联ADC新药Telisotuzumab Vedotin(Teliso-V、ABBV-399)联合厄洛替尼(Erlotinib、Tarceva)治疗EGFR耐药的非小细胞肺癌疾病控

肺癌2022-11-03
抗体偶联ADC新药Telisotuzumab Vedotin(Teliso-V、ABBV-399)联合厄洛替尼(Erlotinib、Tarceva)治疗EGFR耐药的非小细胞肺癌疾病控

三款非小细胞肺癌新药Enhertu、布加替尼、劳拉替尼隆重登场

肺癌2022-11-02
三款非小细胞肺癌新药Enhertu、布加替尼、劳拉替尼隆重登场

肺癌基因检测的作用与意义

肺癌2022-11-02
肺癌基因检测的作用与意义

肺癌靶向治疗药物和肺癌免疫治疗药物(PD-1/PD-L1)有哪些

肺癌2022-11-02
肺癌靶向治疗药物和肺癌免疫治疗药物(PD-1/PD-L1)有哪些

得了肺癌一般能活多久?原来肺癌分期对生存期的影响这么大

肺癌2022-11-02
得了肺癌一般能活多久?原来肺癌分期对生存期的影响这么大

恩曲替尼治疗效果,恩曲替尼治疗NTRK融合突变的肺癌患者26天肿瘤缩小47%,NTRK抑制剂的出现让NTRK突变的患者长期生存变成了可能

肺癌2022-10-31
恩曲替尼治疗效果,恩曲替尼治疗NTRK融合突变的肺癌患者26天肿瘤缩小47%,NTRK抑制剂的出现让NTRK突变的患者长期生存变成了可能

2022年已经获批上市的EGFR抑制剂有哪些,EGFR临床试验正在招募的有哪些

肺癌2022-10-31
2022年已经获批上市的EGFR抑制剂有哪些,EGFR临床试验正在招募的有哪些

伏美替尼临床试验,甲磺酸伏美替尼片(艾弗沙、AST2818)临床试验正在招募EGFR外显子20插入突变(EGFR 20ins)的非小细胞肺癌患者

肺癌2022-10-28
伏美替尼临床试验,甲磺酸伏美替尼片(艾弗沙、AST2818)临床试验正在招募EGFR外显子20插入突变(EGFR 20ins)的非小细胞肺癌患者

KRAS G12C临床试验,JAB-21822临床试验正在招募KRAS G12C突变阳性的非小细胞肺癌患者

肺癌2022-10-27
KRAS G12C临床试验,JAB-21822临床试验正在招募KRAS G12C突变阳性的非小细胞肺癌患者

肺癌新药,2022年10大钻石靶点突变31款获批新药信息汇总

肺癌2022-10-26
肺癌新药,2022年10大钻石靶点突变31款获批新药信息汇总

中国药监局授予了PD-1/VEGF双特异性抗体AK112(依沃西、Ivonescimab)用于治疗非小细胞肺癌突破性疗法称号

肺癌2022-10-25
中国药监局授予了PD-1/VEGF双特异性抗体AK112(依沃西、Ivonescimab)用于治疗非小细胞肺癌突破性疗法称号

肺癌免费用药临床招募

肺癌2022-10-21
肺癌免费用药临床招募

肺癌去日本治疗,为什么越来越多的中国肺癌患者去日本接受治疗

肺癌2022-10-19
肺癌去日本治疗,为什么越来越多的中国肺癌患者去日本接受治疗

肺癌kras基因突变怎么治疗,四大KRAS抑制剂来"救命"了

肺癌2022-10-19
肺癌kras基因突变怎么治疗,四大KRAS抑制剂来"救命"了

克唑替尼耐药后吃什么靶向药,2种思路、4款新药,助力患者超长期生存

肺癌2022-10-19
克唑替尼耐药后吃什么靶向药,2种思路、4款新药,助力患者超长期生存

日本肺癌手术专家铃木健司教授简介

肺癌2022-10-18
日本肺癌手术专家铃木健司教授简介

11项EGFR抑制剂的非小细胞肺癌临床试验正在招募患者,奥希替尼耐药、难治、共突变的患者都有机会参加

肺癌2022-10-18
11项EGFR抑制剂的非小细胞肺癌临床试验正在招募患者,奥希替尼耐药、难治、共突变的患者都有机会参加

靶向+免疫治疗,HLX07联合HLX10(斯鲁利单抗)的靶向治疗联合免疫治疗的临床试验正在招募鳞状非小细胞肺癌患者

肺癌2022-10-18
靶向+免疫治疗,HLX07联合HLX10(斯鲁利单抗)的靶向治疗联合免疫治疗的临床试验正在招募鳞状非小细胞肺癌患者

EGFR突变合并MET扩增生存期直接减半?赛沃替尼联合奥希替尼的双靶向治疗方案有望破解这一"难关"

肺癌2022-10-18
EGFR突变合并MET扩增生存期直接减半?赛沃替尼联合奥希替尼的双靶向治疗方案有望破解这一"难关"

HJ891临床试验正在招募KRAS 12C突变的非小细胞肺癌患者

肺癌2022-10-18
HJ891临床试验正在招募KRAS 12C突变的非小细胞肺癌患者

KRAS抑制剂索托拉西布(AMG510)联合SHP2抑制剂BBP-398的用药方案获FDA快速通道指定,多项同类临床试验招募正在进行中

肺癌2022-10-17
KRAS抑制剂索托拉西布(AMG510)联合SHP2抑制剂BBP-398的用药方案获FDA快速通道指定,多项同类临床试验招募正在进行中

口服KRAS新药GDC-6036临床试验正在招募KRAS G12C突变的非小细胞肺癌患者

肺癌2022-10-17
口服KRAS新药GDC-6036临床试验正在招募KRAS G12C突变的非小细胞肺癌患者

FGFR靶向药物SC0011片临床试验正在招募FGF/FGFR异常的非小细胞肺癌患者

肺癌2022-10-17
FGFR靶向药物SC0011片临床试验正在招募FGF/FGFR异常的非小细胞肺癌患者

肺癌第二款KRAS抑制剂Adagrasib(MRTX849、阿达格拉西布)即将上市

肺癌2022-10-14
肺癌第二款KRAS抑制剂Adagrasib(MRTX849、阿达格拉西布)即将上市

ALK/ROS1双靶点抑制剂XZP-3621临床试验正在招募ALK阳性的非小细胞肺癌患者

肺癌2022-10-14
ALK/ROS1双靶点抑制剂XZP-3621临床试验正在招募ALK阳性的非小细胞肺癌患者

GFH925临床试验正在招募KRAS G12C的非小细胞肺癌患者

肺癌2022-10-13
GFH925临床试验正在招募KRAS G12C的非小细胞肺癌患者

新型EGFR/c-MET双特异性抗体药物EMB-01临床试验正在招募非小细胞肺癌患者

肺癌2022-10-12
新型EGFR/c-MET双特异性抗体药物EMB-01临床试验正在招募非小细胞肺癌患者

耐药突变MET治疗的思路是联合用药,5个案例了解新进展

肺癌2022-10-11
耐药突变MET治疗的思路是联合用药,5个案例了解新进展

谷美替尼临床试验正在招募MET扩增的非小细胞肺癌患者

肺癌2022-10-11
谷美替尼临床试验正在招募MET扩增的非小细胞肺癌患者

MET抑制剂赛沃替尼临床试验招募非小细胞肺癌正在进行中

肺癌2022-10-11
MET抑制剂赛沃替尼临床试验招募非小细胞肺癌正在进行中

第二款KRAS基因突变靶向药新药Adagrasib(MRTX849)治疗肺癌近80%的患者肿瘤缩小甚至消失

肺癌2022-10-10
第二款KRAS基因突变靶向药新药Adagrasib(MRTX849)治疗肺癌近80%的患者肿瘤缩小甚至消失

KRAS基因突变治疗,KRAS基因突变用什么药,来看看这个KRAS突变的非小细胞肺腺癌抗癌成功案例

肺癌2022-10-10
KRAS基因突变治疗,KRAS基因突变用什么药,来看看这个KRAS突变的非小细胞肺腺癌抗癌成功案例

国产靶向药MET抑制剂Bozitinib(伯瑞替尼)临床试验正在招募晚期非小细胞肺癌患者

肺癌2022-10-10
国产靶向药MET抑制剂Bozitinib(伯瑞替尼)临床试验正在招募晚期非小细胞肺癌患者

EGFR罕见突变治疗,HTMC0503片临床试验正在招募EGFR罕见突变的非小细胞肺癌患者

肺癌2022-10-10
EGFR罕见突变治疗,HTMC0503片临床试验正在招募EGFR罕见突变的非小细胞肺癌患者

EGFR耐药后策略,第三代EGFR耐药后还有很多新药可以用

肺癌2022-10-09
EGFR耐药后策略,第三代EGFR耐药后还有很多新药可以用

国产第三代EGFR抑制剂阿美替尼(Aumolertinib)超越吉非替尼冲击非小细胞肺癌一线治疗方案

肺癌2022-10-09
国产第三代EGFR抑制剂阿美替尼(Aumolertinib)超越吉非替尼冲击非小细胞肺癌一线治疗方案

第四代EGFR抑制剂H002临床试验正在招募非小细胞肺癌患者

肺癌2022-10-09
第四代EGFR抑制剂H002临床试验正在招募非小细胞肺癌患者

肺结节是肺癌吗,得了肺结节怎么办,来看看这三个小故事你就清楚了

肺癌2022-09-30
肺结节是肺癌吗,得了肺结节怎么办,来看看这三个小故事你就清楚了

KRAS G12C临床试验,国产口服靶向药MRTX849正在招募KRAS G12C突变你的非小细胞肺癌患者

肺癌2022-09-30
KRAS G12C临床试验,国产口服靶向药MRTX849正在招募KRAS G12C突变你的非小细胞肺癌患者

肺癌肿瘤免疫治疗药物(PD-1/PD-L1)有哪些

肺癌2022-09-29
肺癌肿瘤免疫治疗药物(PD-1/PD-L1)有哪些

奥希替尼耐药后怎么办吃什么靶向药,奥希替尼耐药后第四代靶向药物力挽狂澜

肺癌2022-09-28
奥希替尼耐药后怎么办吃什么靶向药,奥希替尼耐药后第四代靶向药物力挽狂澜

肺癌营养支持治疗,如何对肺癌患者进行营养支持治疗

肺癌2022-09-26
肺癌营养支持治疗,如何对肺癌患者进行营养支持治疗

小细胞肺癌免疫治疗效果怎么样

肺癌2022-09-20
小细胞肺癌免疫治疗效果怎么样

国产靶向药EGFR/HER2双靶点抑制剂舒沃替尼(DZD9008、Sunvozertinib)亮相2022年ESMO大会,缓解率达59.8%

肺癌2022-09-20
国产靶向药EGFR/HER2双靶点抑制剂舒沃替尼(DZD9008、Sunvozertinib)亮相2022年ESMO大会,缓解率达59.8%

EGFR治疗,国产抗癌新药帮助肺癌晚期EGFR突变的患者成功抗癌3年

肺癌2022-09-19
EGFR治疗,国产抗癌新药帮助肺癌晚期EGFR突变的患者成功抗癌3年

PDL1高表达好还是不好,7条只有专家知道你却不了解的EGFR外显子20插入(ex20ins)突变非小细胞肺癌治疗经验,快来看看

肺癌2022-09-16
PDL1高表达好还是不好,7条只有专家知道你却不了解的EGFR外显子20插入(ex20ins)突变非小细胞肺癌治疗经验,快来看看

2022年中国三款美国两款肺癌新药震撼上市,另外还有两款治疗肺癌的新药即将获批

肺癌2022-09-16
2022年中国三款美国两款肺癌新药震撼上市,另外还有两款治疗肺癌的新药即将获批

肺癌靶向治疗的副作用有哪些,八大肺癌靶向药物副作用和肺癌靶向药副作用处理方法都在这里了

肺癌2022-09-09
肺癌靶向治疗的副作用有哪些,八大肺癌靶向药物副作用和肺癌靶向药副作用处理方法都在这里了

中国第二款肺癌ROS1阳性靶向药恩曲替尼胶囊(罗圣全、Entrectinib、Rozlytrek)获批上市

肺癌2022-09-09
中国第二款肺癌ROS1阳性靶向药恩曲替尼胶囊(罗圣全、Entrectinib、Rozlytrek)获批上市

口服靶向药拉罗替尼(Larotrectinib)4次治疗晚期非小细胞肺癌肿瘤缩小30%以上

肺癌2022-09-06
口服靶向药拉罗替尼(Larotrectinib)4次治疗晚期非小细胞肺癌肿瘤缩小30%以上

肺癌脑转移新药强效对抗脑转

肺癌2022-09-02
肺癌脑转移新药强效对抗脑转

非小细胞肺癌一线治疗奥希替尼和吉非替尼哪个好,奥希替尼用不用联合化疗,奥希替尼耐药后吃什么靶向药

肺癌2022-09-01
非小细胞肺癌一线治疗奥希替尼和吉非替尼哪个好,奥希替尼用不用联合化疗,奥希替尼耐药后吃什么靶向药

双靶向治疗显著延长非小细胞肺癌患者的无进展生存期达15.4个月

肺癌2022-08-31
双靶向治疗显著延长非小细胞肺癌患者的无进展生存期达15.4个月

FDA授予ROS1抑制剂DS-6051b(他立替尼、Taletrectinib、AB-106)治疗非小细胞肺癌突破性疗法称号

肺癌2022-08-31
FDA授予ROS1抑制剂DS-6051b(他立替尼、Taletrectinib、AB-106)治疗非小细胞肺癌突破性疗法称号

FDA授予PARP抑制剂Senaparib(IMP4297)和替莫唑胺固定剂量组合胶囊治疗小细胞孤儿药称号

肺癌2022-08-31
FDA授予PARP抑制剂Senaparib(IMP4297)和替莫唑胺固定剂量组合胶囊治疗小细胞孤儿药称号

肺癌最新药物,5款重磅肺癌新药疾病控制率高达100%

肺癌2022-08-30
肺癌最新药物,5款重磅肺癌新药疾病控制率高达100%

晚期肺癌放疗有作用吗,放疗对肺癌晚期有效果吗

肺癌2022-08-26
晚期肺癌放疗有作用吗,放疗对肺癌晚期有效果吗

DS-6051b(Taletrectinib/他来替尼/AB-106)中国数据出炉,90%以上患者病灶显著缩小,中国患者再迎肺癌新药

肺癌2022-08-26
DS-6051b(Taletrectinib/他来替尼/AB-106)中国数据出炉,90%以上患者病灶显著缩小,中国患者再迎肺癌新药

早中晚各个阶段的非小细胞肺癌放疗适应症和非小细胞肺癌放疗方案汇总

肺癌2022-08-24
早中晚各个阶段的非小细胞肺癌放疗适应症和非小细胞肺癌放疗方案汇总

已获批的ROS1抑制剂克唑替尼和恩曲替尼强效对抗非小细胞肺癌,耐药后更多的二代ROS1新药临床试验招募正在进行中

肺癌2022-08-24
已获批的ROS1抑制剂克唑替尼和恩曲替尼强效对抗非小细胞肺癌,耐药后更多的二代ROS1新药临床试验招募正在进行中

陆舜教授口头报告KRAS G12C抑制剂D-1553的疾病控制率达91.9%

肺癌2022-08-23
陆舜教授口头报告KRAS G12C抑制剂D-1553的疾病控制率达91.9%

肺癌复发的原因主要是什么,肺癌复发的六大征兆是什么,肺癌预防复发的方法有哪些

肺癌2022-08-23
肺癌复发的原因主要是什么,肺癌复发的六大征兆是什么,肺癌预防复发的方法有哪些

FDA批准首个非小细胞肺癌HER2突变的靶向药物Enhertu(DS-8201a,T-DXd)上市,这些知识点你都知道吗

肺癌2022-08-22
FDA批准首个非小细胞肺癌HER2突变的靶向药物Enhertu(DS-8201a,T-DXd)上市,这些知识点你都知道吗

NK细胞疗法SNK01联合PD-1抑制剂帕博利珠单抗治疗一线治疗失败的非小细胞肺癌患者生存期翻倍

肺癌2022-08-22
NK细胞疗法SNK01联合PD-1抑制剂帕博利珠单抗治疗一线治疗失败的非小细胞肺癌患者生存期翻倍

EGFR靶向药,多款国内外EGFR抑制剂助力攻克非小细胞肺癌罕见的EGFR外显子20插入突变(EGFR ex20in)

肺癌2022-08-18
EGFR靶向药,多款国内外EGFR抑制剂助力攻克非小细胞肺癌罕见的EGFR外显子20插入突变(EGFR ex20in)

肺癌放疗,非小细胞肺癌放疗适应症和小细胞肺癌放疗适应症分别有哪些

肺癌2022-08-17
肺癌放疗,非小细胞肺癌放疗适应症和小细胞肺癌放疗适应症分别有哪些

KRAS G12C抑制剂MRTX849(阿达格拉西布、Adagrasib)治疗非小细胞肺癌2个周期,病灶缩小31%,3个脑转移病灶消失

肺癌2022-08-17
KRAS G12C抑制剂MRTX849(阿达格拉西布、Adagrasib)治疗非小细胞肺癌2个周期,病灶缩小31%,3个脑转移病灶消失

非小细胞肺癌EGFR抑制剂新药舒沃替尼(DZD9008、Sunvozertinib)近50%的患者肿瘤明显缩小

肺癌2022-08-17
非小细胞肺癌EGFR抑制剂新药舒沃替尼(DZD9008、Sunvozertinib)近50%的患者肿瘤明显缩小

非小细胞肺癌KRAS G12C抑制剂GDC-6036客观缓解率53%

肺癌2022-08-17
非小细胞肺癌KRAS G12C抑制剂GDC-6036客观缓解率53%

全球首款非小细胞肺癌HER2阳性靶向药新药Enhertu(DS-8201、德喜曲妥珠单抗)获批上市,国内抗体偶联(ADC)药物Enhertu(DS8201)临床

肺癌2022-08-15
全球首款非小细胞肺癌HER2阳性靶向药新药Enhertu(DS-8201、德喜曲妥珠单抗)获批上市,国内抗体偶联(ADC)药物Enhertu(DS8201)临床

直播预告|全球肿瘤医生网医学总监黄朔:讲解2022年世界肺癌大会上非小细胞肺癌靶向治疗和免疫治疗的新进展

肺癌2022-08-15
直播预告|全球肿瘤医生网医学总监黄朔:讲解2022年世界肺癌大会上非小细胞肺癌靶向治疗和免疫治疗的新进展

Enhertu适应症有肺癌吗,Enhertu(DS-8201)获批新适应症,缓解率58%,成为非小细胞肺癌首款抗体偶联(ADC)药物

肺癌2022-08-15
Enhertu适应症有肺癌吗,Enhertu(DS-8201)获批新适应症,缓解率58%,成为非小细胞肺癌首款抗体偶联(ADC)药物

抗体偶联(ADC)药物Datopotamab Deruxtecan(DS-1062a)一线治疗非小细胞肺癌缓解率50%

肺癌2022-08-15
抗体偶联(ADC)药物Datopotamab Deruxtecan(DS-1062a)一线治疗非小细胞肺癌缓解率50%

速递|FDA授予英派药业PARP抑制剂Senaparib治疗小细胞肺癌的孤儿药资格

肺癌2022-08-12
速递|FDA授予英派药业PARP抑制剂Senaparib治疗小细胞肺癌的孤儿药资格

2022年8月11日首个肺癌HER2靶向药德喜曲妥珠单抗(Enhertu、DS8201、Trastuzumab Deruxtecan、T-DXd)获批上市

肺癌2022-08-12
2022年8月11日首个肺癌HER2靶向药德喜曲妥珠单抗(Enhertu、DS8201、Trastuzumab Deruxtecan、T-DXd)获批上市

国产EGFR抑制剂舒沃替尼(DZD9008、Sunvozertinib)临床试验正在招募非小细胞肺癌患者

肺癌2022-08-12
国产EGFR抑制剂舒沃替尼(DZD9008、Sunvozertinib)临床试验正在招募非小细胞肺癌患者

晚期肺癌靶向治疗的成功率有多少?肺癌晚期吃靶向药可以维持几年

肺癌2022-08-11
晚期肺癌靶向治疗的成功率有多少?肺癌晚期吃靶向药可以维持几年

EGFR靶向药Rybrevant(JNJ6372、Amivantamab-vmjw、阿米万他单抗)临床试验正在招募非小细胞肺癌患者

肺癌2022-08-10
EGFR靶向药Rybrevant(JNJ6372、Amivantamab-vmjw、阿米万他单抗)临床试验正在招募非小细胞肺癌患者

KRASG12C抑制剂索托拉西布(索托雷赛/Sotorasib、AMG510、Lumakras)让晚期肺癌患者重回正常生活

肺癌2022-08-10
KRASG12C抑制剂索托拉西布(索托雷赛/Sotorasib、AMG510、Lumakras)让晚期肺癌患者重回正常生活

奥希替尼耐药后怎么办,第四代EGFR靶向药成为肺癌患者的"续命"新药

肺癌2022-08-10
奥希替尼耐药后怎么办,第四代EGFR靶向药成为肺癌患者的"续命"新药

抗体偶联(ADC)药物临床试验,HER2靶向药Enhertu(DS8201)临床试验正在招募HER2外显子19或20突变的非小细胞肺癌患者

肺癌2022-08-09
抗体偶联(ADC)药物临床试验,HER2靶向药Enhertu(DS8201)临床试验正在招募HER2外显子19或20突变的非小细胞肺癌患者

抗体偶联(ADC)药物临床试验,HER2靶向药A166临床试验正在招募HER2突变的非小细胞肺癌患者

肺癌2022-08-09
抗体偶联(ADC)药物临床试验,HER2靶向药A166临床试验正在招募HER2突变的非小细胞肺癌患者

抗体偶联(ADC)药物临床试验,复星医药HER2靶向药FS-1502临床试验正在招募HER2阳性的非小细胞肺癌患者

肺癌2022-08-09
抗体偶联(ADC)药物临床试验,复星医药HER2靶向药FS-1502临床试验正在招募HER2阳性的非小细胞肺癌患者

什么是肺癌脑转移,为什么肺癌会转移到脑部,肺癌脑转移的症状有哪些,肺癌脑转移怎么治疗

肺癌2022-08-08
什么是肺癌脑转移,为什么肺癌会转移到脑部,肺癌脑转移的症状有哪些,肺癌脑转移怎么治疗

迪哲医药公布舒沃替尼新临床进展数据,客观缓解率(ORR)达到52.4%

肺癌2022-08-08
迪哲医药公布舒沃替尼新临床进展数据,客观缓解率(ORR)达到52.4%

为什么肝癌发现就是晚期,肝癌的早期症状和前兆有哪些,肝癌治疗新技术有哪些

肺癌2022-08-08
为什么肝癌发现就是晚期,肝癌的早期症状和前兆有哪些,肝癌治疗新技术有哪些

奥希替尼耐药后吃什么靶向药,这些新靶向药也许能帮到你

肺癌2022-08-08
奥希替尼耐药后吃什么靶向药,这些新靶向药也许能帮到你

第四代EGFR靶向药DAJH-1050766临床试验正在招募晚期非小细胞肺癌患者

肺癌2022-08-08
第四代EGFR靶向药DAJH-1050766临床试验正在招募晚期非小细胞肺癌患者

KRAS G12C临床试验,益方生物自主研发的KRASG12C抑制剂D1553临床试验正在招募KRAS G12C突变的非小细胞肺癌患者

肺癌2022-08-08
KRAS G12C临床试验,益方生物自主研发的KRASG12C抑制剂D1553临床试验正在招募KRAS G12C突变的非小细胞肺癌患者

KRAS G12C临床试验,加科思自主研发的KRASG12C抑制剂JAB-21822临床试验正在招募KRAS G12C突变的非小细胞肺癌患者

肺癌2022-08-08
KRAS G12C临床试验,加科思自主研发的KRASG12C抑制剂JAB-21822临床试验正在招募KRAS G12C突变的非小细胞肺癌患者

卡马替尼(Tabrecta、Capmatinib)临床试验正在招募MET外显子14跳跃突变的非小细胞肺癌患者

肺癌2022-08-05
卡马替尼(Tabrecta、Capmatinib)临床试验正在招募MET外显子14跳跃突变的非小细胞肺癌患者

谷美替尼临床试验正在招募MET外显子14跳跃突变的非小细胞肺癌的患者

肺癌2022-08-05
谷美替尼临床试验正在招募MET外显子14跳跃突变的非小细胞肺癌的患者

国产cMET抑制剂GST-HG161临床试验正在招募MET外显子14跳跃突变或MET扩增或c-MET过表达的非小细胞肺癌患者

肺癌2022-08-05
国产cMET抑制剂GST-HG161临床试验正在招募MET外显子14跳跃突变或MET扩增或c-MET过表达的非小细胞肺癌患者

ALK基因突变靶向药物有哪些,ALK抑制剂CT-707临床试验正在招募ALK突变的非小细胞肺癌患者

肺癌2022-08-04
ALK基因突变靶向药物有哪些,ALK抑制剂CT-707临床试验正在招募ALK突变的非小细胞肺癌患者

MET抑制剂赛沃替尼(Savolitinib)临床试验正在招募MET外显子14跳跃突变的非小细胞肺癌患者

肺癌2022-08-04
MET抑制剂赛沃替尼(Savolitinib)临床试验正在招募MET外显子14跳跃突变的非小细胞肺癌患者

国产MET抑制剂Bozitinib(伯瑞替尼)临床试验正在招募MET扩增阳性的非小细胞肺癌患者

肺癌2022-08-04
国产MET抑制剂Bozitinib(伯瑞替尼)临床试验正在招募MET扩增阳性的非小细胞肺癌患者

肺癌新疗法,国产CAR-T疗法、PD-1抗体联合CIK治疗、肺癌疫苗解决耐药,众多肺癌前沿疗法一网打尽

肺癌2022-08-03
肺癌新疗法,国产CAR-T疗法、PD-1抗体联合CIK治疗、肺癌疫苗解决耐药,众多肺癌前沿疗法一网打尽

非小细胞肺癌靶向治疗,靶向治疗新时代生物导弹技术抗体偶联(ADC)药物席卷而来

肺癌2022-08-03
非小细胞肺癌靶向治疗,靶向治疗新时代生物导弹技术抗体偶联(ADC)药物席卷而来

新一代NTRK/ROS1抑制剂HG030临床试验正在招募ROS1阳性的非小细胞肺癌患者

肺癌2022-08-03
新一代NTRK/ROS1抑制剂HG030临床试验正在招募ROS1阳性的非小细胞肺癌患者

RET临床试验,RET抑制剂SY5007正在招募RET阳性的非小细胞肺癌患者

肺癌2022-08-03
RET临床试验,RET抑制剂SY5007正在招募RET阳性的非小细胞肺癌患者

RET临床试验,RET抑制剂KL590586正在招募RET阳性的非小细胞肺癌患者

肺癌2022-08-03
RET临床试验,RET抑制剂KL590586正在招募RET阳性的非小细胞肺癌患者

TPX-0005(瑞波替尼、Repotrectinib)临床试验正在招募ROS1阳性的非小细胞肺癌患者

肺癌2022-08-02
TPX-0005(瑞波替尼、Repotrectinib)临床试验正在招募ROS1阳性的非小细胞肺癌患者

新一代ROS1/ALK双靶点抑制剂复瑞替尼(SAF-189s)临床试验招募ROS1阳性的非小细胞肺癌患者正在进行中

肺癌2022-08-02
新一代ROS1/ALK双靶点抑制剂复瑞替尼(SAF-189s)临床试验招募ROS1阳性的非小细胞肺癌患者正在进行中

ROS1阳性靶向药,新一代NTRK/ROS1双靶点抑制剂XZP-5955临床试验招募ROS1阳性的非小细胞肺癌患者正在进行中

肺癌2022-08-02
ROS1阳性靶向药,新一代NTRK/ROS1双靶点抑制剂XZP-5955临床试验招募ROS1阳性的非小细胞肺癌患者正在进行中

奥希替尼耐药了还有什么药可用,10款EGFR临床试验新药招募非小细胞肺癌患者的活动正在进行中

肺癌2022-08-01
奥希替尼耐药了还有什么药可用,10款EGFR临床试验新药招募非小细胞肺癌患者的活动正在进行中

NTRK/ROS1双靶点抑制剂恩曲替尼(Entrectinib、Rozlytrek)临床试验招募非小细胞肺癌的患者正在进行中

肺癌2022-08-01
NTRK/ROS1双靶点抑制剂恩曲替尼(Entrectinib、Rozlytrek)临床试验招募非小细胞肺癌的患者正在进行中

肺癌第四代靶向药有哪些

肺癌2022-07-29
肺癌第四代靶向药有哪些

EGFR/c-MET双特异性抗体EMB-01临床试验招募非小细胞肺癌患者正在进行中

肺癌2022-07-29
EGFR/c-MET双特异性抗体EMB-01临床试验招募非小细胞肺癌患者正在进行中

EGFR罕见突变抑制剂HTMC0503片临床试验招募非小细胞肺癌患者正在进行中

肺癌2022-07-29
EGFR罕见突变抑制剂HTMC0503片临床试验招募非小细胞肺癌患者正在进行中

EGFR抑制剂苏特替尼临床试验招募非小细胞肺癌患者正在进行中

肺癌2022-07-29
EGFR抑制剂苏特替尼临床试验招募非小细胞肺癌患者正在进行中

新型EGFR/HER2 ex20ins抑制剂舒沃替尼(DZD9008)临床试验招募正在进行中

肺癌2022-07-28
新型EGFR/HER2 ex20ins抑制剂舒沃替尼(DZD9008)临床试验招募正在进行中

晚期肺癌抗癌成功案例,EGFR罕见突变的患者用国产第三代EGFR抑制剂甲磺酸伏美替尼(艾弗沙、AST2818)治疗已经成功抗癌3年

肺癌2022-07-28
晚期肺癌抗癌成功案例,EGFR罕见突变的患者用国产第三代EGFR抑制剂甲磺酸伏美替尼(艾弗沙、AST2818)治疗已经成功抗癌3年

EGFR-TKI靶向药JMT101治疗非小细胞肺癌EGFR20外显子(ex20ins)突变的临床试验招募正在进行中

肺癌2022-07-27
EGFR-TKI靶向药JMT101治疗非小细胞肺癌EGFR20外显子(ex20ins)突变的临床试验招募正在进行中

首款上市的非小细胞肺癌EGFR外显子20插入(ex20ins)突变靶向药Amivantamab(JNJ-6372、阿米万他单抗)临床试验招募正在进行中

肺癌2022-07-27
首款上市的非小细胞肺癌EGFR外显子20插入(ex20ins)突变靶向药Amivantamab(JNJ-6372、阿米万他单抗)临床试验招募正在进行中

双抗靶向药,EGFR/MET双抗治疗新药物TAK-788(莫博替尼、Mobocertinib)临床试验正在招募非小细胞肺癌患者

肺癌2022-07-27
双抗靶向药,EGFR/MET双抗治疗新药物TAK-788(莫博替尼、Mobocertinib)临床试验正在招募非小细胞肺癌患者

EGFR外显子20插入(ex20ins)所有患者病灶都缩小了,第三代EGFR抑制剂伏美替尼临床试验招募正在进行中

肺癌2022-07-26
EGFR外显子20插入(ex20ins)所有患者病灶都缩小了,第三代EGFR抑制剂伏美替尼临床试验招募正在进行中

EGFR临床试验,非小细胞肺癌EGFR外显子20插入,不论是否做过其它治疗,都有机会参加临床试验

肺癌2022-07-21
EGFR临床试验,非小细胞肺癌EGFR外显子20插入,不论是否做过其它治疗,都有机会参加临床试验

国产第三代EGFR抑制剂甲磺酸伏美替尼片(艾弗沙、AST2818)治疗后100%的患者肿瘤缩小,伏美替尼临床试验招募还在进行中

肺癌2022-07-21
国产第三代EGFR抑制剂甲磺酸伏美替尼片(艾弗沙、AST2818)治疗后100%的患者肿瘤缩小,伏美替尼临床试验招募还在进行中

基石药业RET抑制剂普拉替尼胶囊(Gavreto、普吉华、BLU-667)在中国香港上市

肺癌2022-07-20
基石药业RET抑制剂普拉替尼胶囊(Gavreto、普吉华、BLU-667)在中国香港上市

非小细胞肺癌HER2靶向药有哪些,更多的HER2临床试验招募正在进行中

肺癌2022-07-19
非小细胞肺癌HER2靶向药有哪些,更多的HER2临床试验招募正在进行中

截止到2022年已上市的肺癌靶向药物有哪些、肺癌免疫药物有哪些

肺癌2022-07-15
截止到2022年已上市的肺癌靶向药物有哪些、肺癌免疫药物有哪些

为什么中国人容易得肺癌,肺癌的早期症状有哪些

肺癌2022-07-15
为什么中国人容易得肺癌,肺癌的早期症状有哪些

高龄肺癌脑转移治疗成功案例,85岁高龄的肺癌脑转移患者经过克唑替尼序贯恩曲替尼治疗病灶完全消失

肺癌2022-07-14
高龄肺癌脑转移治疗成功案例,85岁高龄的肺癌脑转移患者经过克唑替尼序贯恩曲替尼治疗病灶完全消失

先声药业引进的CDK4/6抑制剂注射用曲拉西利(Trilaciclib)获批用于广泛期小细胞肺癌降低化疗引起骨髓抑制的发生率

肺癌2022-07-13
先声药业引进的CDK4/6抑制剂注射用曲拉西利(Trilaciclib)获批用于广泛期小细胞肺癌降低化疗引起骨髓抑制的发生率

哪些非小细胞肺癌患者需要重点做ALK基因检测,确诊ALK阳性后首先用的ALK阳性靶向药是什么,耐药或脑转移ALK阳性用什么药

肺癌2022-07-13
哪些非小细胞肺癌患者需要重点做ALK基因检测,确诊ALK阳性后首先用的ALK阳性靶向药是什么,耐药或脑转移ALK阳性用什么药

肺癌第四代ALK抑制剂TPX-0131和NUV-655为耐药患者带来新了的希望

肺癌2022-07-12
肺癌第四代ALK抑制剂TPX-0131和NUV-655为耐药患者带来新了的希望

治疗晚期肺腺癌75个肿瘤病灶治疗6周迅速消失的硫酸拉罗替尼胶囊(维泰凯、Larotrectinib)价格是多少钱

肺癌2022-07-12
治疗晚期肺腺癌75个肿瘤病灶治疗6周迅速消失的硫酸拉罗替尼胶囊(维泰凯、Larotrectinib)价格是多少钱

非小细胞肺癌EGFR治疗,EGFR基因突变检测怎么做,EGFR基因突变怎么治疗,EGFR耐药后如何治疗

肺癌2022-07-12
非小细胞肺癌EGFR治疗,EGFR基因突变检测怎么做,EGFR基因突变怎么治疗,EGFR耐药后如何治疗

NK细胞疗法治疗肺癌的新研究

肺癌2022-07-11
NK细胞疗法治疗肺癌的新研究

肺腺癌怎么治疗,看看这位肺里有超过100个肺癌病灶的患者可能用到的治疗方式

肺癌2022-07-11
肺腺癌怎么治疗,看看这位肺里有超过100个肺癌病灶的患者可能用到的治疗方式

两款肺癌ALK抑制剂布格替尼(安伯瑞、Brigatinib、布加替尼)和洛拉替尼(劳拉替尼)在国内上市,更多的ALK靶向药物还在路上

肺癌2022-07-06
两款肺癌ALK抑制剂布格替尼(安伯瑞、Brigatinib、布加替尼)和洛拉替尼(劳拉替尼)在国内上市,更多的ALK靶向药物还在路上

免疫+靶向治疗,一线无化疗用免疫加靶向治疗也能无癌超2年,这类免疫治疗联合靶向治疗的非小细胞肺癌临床试验正在招募患者

肺癌2022-07-06
免疫+靶向治疗,一线无化疗用免疫加靶向治疗也能无癌超2年,这类免疫治疗联合靶向治疗的非小细胞肺癌临床试验正在招募患者

非小细胞肺癌基因突变类型有哪些

肺癌2022-07-05
非小细胞肺癌基因突变类型有哪些

肺癌新药,第四代EGFR抑制剂BLU-945临床试验在中国获批

肺癌2022-07-04
肺癌新药,第四代EGFR抑制剂BLU-945临床试验在中国获批

EGFR-TKI靶向药,艾力斯医药EGFR-TKI抑制剂甲磺酸伏美替尼片(艾弗沙片)一线治疗成人局部晚期或转移性非小细胞肺癌适应症获批

肺癌2022-07-01
EGFR-TKI靶向药,艾力斯医药EGFR-TKI抑制剂甲磺酸伏美替尼片(艾弗沙片)一线治疗成人局部晚期或转移性非小细胞肺癌适应症获批

奥希替尼和化疗耐药怎么办,EGFR/MET双抗靶向药物Rybrevant联合第三代EGFR抑制剂Lazertinib的双靶向治疗,76%的患者疾病稳定控制

肺癌2022-06-28
奥希替尼和化疗耐药怎么办,EGFR/MET双抗靶向药物Rybrevant联合第三代EGFR抑制剂Lazertinib的双靶向治疗,76%的患者疾病稳定控制

国产EGFR靶向药物,第三代EGFR抑制剂阿美替尼将为英国肺癌患者带来一线及耐药治疗的新选择

肺癌2022-06-24
国产EGFR靶向药物,第三代EGFR抑制剂阿美替尼将为英国肺癌患者带来一线及耐药治疗的新选择

EGFR基因突变靶向药,国产创新药第三代EGFR抑制剂ASK120067(Limertinib、ASK-120067)临床研究结果公布

肺癌2022-06-21
EGFR基因突变靶向药,国产创新药第三代EGFR抑制剂ASK120067(Limertinib、ASK-120067)临床研究结果公布

抗体偶联(ADC)药物Enhertu(DS-8201、T-DXd、Trastuzumab Deruxtecan)登录中国,HER2靶点突变的非小细胞肺癌患者快来申请临床试验

肺癌2022-06-21
抗体偶联(ADC)药物Enhertu(DS-8201、T-DXd、Trastuzumab Deruxtecan)登录中国,HER2靶点突变的非小细胞肺癌患者快来申请临床试验

盘点|7大靶点的非小细胞肺癌靶向新药纵览

肺癌2022-06-20
盘点|7大靶点的非小细胞肺癌靶向新药纵览

晚期肺癌新药,第二代ALK/ROS1/TRK多靶点抑制剂TPX0005(Repotrectinib、瑞波替尼)治疗后91%的晚期肺癌患者肿瘤缩小

肺癌2022-06-14
晚期肺癌新药,第二代ALK/ROS1/TRK多靶点抑制剂TPX0005(Repotrectinib、瑞波替尼)治疗后91%的晚期肺癌患者肿瘤缩小

非小细胞肺癌EGFR酪氨酸激酶抑制剂CLN-081生存期再迎新突破,持续缓解最长超过21个月

肺癌2022-06-13
非小细胞肺癌EGFR酪氨酸激酶抑制剂CLN-081生存期再迎新突破,持续缓解最长超过21个月

2022年ASC0大会,十大肺癌靶向治疗和免疫治疗新进展、新消息、新信息

肺癌2022-06-13
2022年ASC0大会,十大肺癌靶向治疗和免疫治疗新进展、新消息、新信息

全球第二款KRAS G12C抑制剂Adagrasib(MRTX849、阿达格拉西布)对肺癌PD-1耐药、脑转移扔有效

肺癌2022-06-10
全球第二款KRAS G12C抑制剂Adagrasib(MRTX849、阿达格拉西布)对肺癌PD-1耐药、脑转移扔有效

直播预告|全球肿瘤医生网医学总监讲解2022年ASCO大会非小细胞肺癌靶向治疗和免疫治疗新进展

肺癌2022-06-09
直播预告|全球肿瘤医生网医学总监讲解2022年ASCO大会非小细胞肺癌靶向治疗和免疫治疗新进展

Mobocertinib(莫博替尼、TAK-788)治疗脑转移的新数据公布

肺癌2022-06-08
Mobocertinib(莫博替尼、TAK-788)治疗脑转移的新数据公布

EGFR靶向药物CLN-081为多种治疗失败后的晚期肺癌带来新选择

肺癌2022-06-07
EGFR靶向药物CLN-081为多种治疗失败后的晚期肺癌带来新选择

肺癌基因检测,充分发挥基因检测价值,全面助力肺癌精准诊断

肺癌2022-06-06
肺癌基因检测,充分发挥基因检测价值,全面助力肺癌精准诊断

强效KRAS抑制剂Lumakras让晚期肺癌患者重回正常生活,更多的KRAS G12C临床试验招募正在进行中

肺癌2022-06-06
强效KRAS抑制剂Lumakras让晚期肺癌患者重回正常生活,更多的KRAS G12C临床试验招募正在进行中

MET基因突变是什么意思,晚期肺癌一定要关注MET基因突变,酪氨酸激酶受体抑制剂(MET靶向药物)有哪些

肺癌2022-06-02
MET基因突变是什么意思,晚期肺癌一定要关注MET基因突变,酪氨酸激酶受体抑制剂(MET靶向药物)有哪些

EGFR基因突变的肺腺癌抗癌成功案例

肺癌2022-06-01
EGFR基因突变的肺腺癌抗癌成功案例

EGFR基因突变靶向药,第三代EGFR抑制剂几乎"倍杀"一代EGFR抑制剂,三代药正在崛起

肺癌2022-06-01
EGFR基因突变靶向药,第三代EGFR抑制剂几乎"倍杀"一代EGFR抑制剂,三代药正在崛起

全球第二款KRAS抑制剂MRTX849(Adagrasib、阿达格拉西布)治疗非小细胞肺癌疾病控制率80%,有望上市

肺癌2022-05-31
全球第二款KRAS抑制剂MRTX849(Adagrasib、阿达格拉西布)治疗非小细胞肺癌疾病控制率80%,有望上市

2022年ASCO大会肺癌新药新消息,十大肺癌靶向治疗和免疫治疗重磅进展抢先看

肺癌2022-05-31
2022年ASCO大会肺癌新药新消息,十大肺癌靶向治疗和免疫治疗重磅进展抢先看

晚期肺癌基因检测存在KRASG12C基因突变,KRAS G12C抑制剂索托拉西布(AMG510、Lumakras)让患者重回正常生活

肺癌2022-05-26
晚期肺癌基因检测存在KRASG12C基因突变,KRAS G12C抑制剂索托拉西布(AMG510、Lumakras)让患者重回正常生活

EGFR基因突变靶向药,七款新的非小细胞肺癌EGFR抑制剂临床试验助患者攻破难治型突变

肺癌2022-05-25
EGFR基因突变靶向药,七款新的非小细胞肺癌EGFR抑制剂临床试验助患者攻破难治型突变

不吸烟的转移性肺腺癌怎么治疗效果更好

肺癌2022-05-24
不吸烟的转移性肺腺癌怎么治疗效果更好

肺癌NTRK基因突变靶向药盐酸拉罗替尼胶囊(larotrectinib、LOXO101)让患者的肿瘤完全缓解,拉罗替尼价格、费用、多少钱

肺癌2022-05-24
肺癌NTRK基因突变靶向药盐酸拉罗替尼胶囊(larotrectinib、LOXO101)让患者的肿瘤完全缓解,拉罗替尼价格、费用、多少钱

非小细胞肺癌RET基因突变和RET抑制剂新药应当引起患者的重视

肺癌2022-05-23
非小细胞肺癌RET基因突变和RET抑制剂新药应当引起患者的重视

ROS1抑制剂助晚期肺癌抗癌成功案例,钻石突变ROS1新药临床试验招募正在进行中

肺癌2022-05-20
ROS1抑制剂助晚期肺癌抗癌成功案例,钻石突变ROS1新药临床试验招募正在进行中

肺癌靶向联合免疫疗法,KRAS G12C抑制剂联合PD-1疾病控制率100%,更多的KRAS G12C临床试验招募正在进行中

肺癌2022-05-20
肺癌靶向联合免疫疗法,KRAS G12C抑制剂联合PD-1疾病控制率100%,更多的KRAS G12C临床试验招募正在进行中

拉罗替尼(维泰凯)治疗晚期肺癌6个月病灶消失,硫酸拉罗替尼胶囊价格、费用、多少钱,拉罗替尼和更多的NTRK临床试验招募正在进行中

肺癌2022-05-20
拉罗替尼(维泰凯)治疗晚期肺癌6个月病灶消失,硫酸拉罗替尼胶囊价格、费用、多少钱,拉罗替尼和更多的NTRK临床试验招募正在进行中

晚期肺癌抗癌成功案例,新型抗肺癌新药让两位"特殊"的患者重获新生

肺癌2022-05-19
晚期肺癌抗癌成功案例,新型抗肺癌新药让两位"特殊"的患者重获新生

肺癌靶向治疗让肺癌晚期且全身多处转移的患者与癌共存7年甚至16年之多,多款肺癌靶向药为患者带来更多长生存惊喜

肺癌2022-05-19
肺癌靶向治疗让肺癌晚期且全身多处转移的患者与癌共存7年甚至16年之多,多款肺癌靶向药为患者带来更多长生存惊喜

NTRK抑制剂,病灶完全消失!NTRK基因突变是肺癌当之无愧的钻石基因突变,无癌生存可近3年

肺癌2022-05-18
NTRK抑制剂,病灶完全消失!NTRK基因突变是肺癌当之无愧的钻石基因突变,无癌生存可近3年

奥希替尼耐药的原因,奥希替尼耐药的原因有哪些,奥希替尼为什么会耐药,9291耐药后怎么办,奥希替尼耐药后怎么办,奥希替尼耐药后用

肺癌2022-05-17
奥希替尼耐药的原因,奥希替尼耐药的原因有哪些,奥希替尼为什么会耐药,9291耐药后怎么办,奥希替尼耐药后怎么办,奥希替尼耐药后用

肺癌需要花费多少钱,肺癌的治疗费用总共大概多少

肺癌2022-05-13
肺癌需要花费多少钱,肺癌的治疗费用总共大概多少

多靶点抗癌抗肿瘤药物TPX-0005(瑞波替尼、Repotrectinib)获FDA授予第三项突破性疗法认定,用于治疗ROS1阳性转移性非小细胞肺癌

肺癌2022-05-12
多靶点抗癌抗肿瘤药物TPX-0005(瑞波替尼、Repotrectinib)获FDA授予第三项突破性疗法认定,用于治疗ROS1阳性转移性非小细胞肺癌

速递|TPX-0005(瑞波替尼、Repotrectinib)再获FDA授予突破性疗法称号,用于治疗ROS1阳性的转移性非小细胞肺癌

肺癌2022-05-12
速递|TPX-0005(瑞波替尼、Repotrectinib)再获FDA授予突破性疗法称号,用于治疗ROS1阳性的转移性非小细胞肺癌

非小细胞肺癌EGFR20外显子插入突变(EGFR ex20ins)的患者无进展生存期可以多延长半年

肺癌2022-05-12
非小细胞肺癌EGFR20外显子插入突变(EGFR ex20ins)的患者无进展生存期可以多延长半年

耐药突变治疗案例,IV期非小细胞肺癌耐药基因突变ROS1 G2032R靶向新药治疗缓解率可以达到59%

肺癌2022-05-11
耐药突变治疗案例,IV期非小细胞肺癌耐药基因突变ROS1 G2032R靶向新药治疗缓解率可以达到59%

30%的非小细胞肺癌患者都在用EGFR基因突变靶向药物,那么EGFR靶向药有哪些呢

肺癌2022-05-10
30%的非小细胞肺癌患者都在用EGFR基因突变靶向药物,那么EGFR靶向药有哪些呢

TPX-0005(瑞波替尼)治疗非小细胞肺癌的新数据公开,91%的患者都缓解了

肺癌2022-05-09
TPX-0005(瑞波替尼)治疗非小细胞肺癌的新数据公开,91%的患者都缓解了

肺癌为什么会脑转移,肺癌脑转移的症状表现有哪些,肺癌脑转移怎么治疗、如何治疗

肺癌2022-05-07
肺癌为什么会脑转移,肺癌脑转移的症状表现有哪些,肺癌脑转移怎么治疗、如何治疗

肺癌kras抑制剂有哪些,正在招募的kras临床试验有哪些

肺癌2022-05-07
肺癌kras抑制剂有哪些,正在招募的kras临床试验有哪些

新一代肺癌ROS1抑制剂TPX-0005首次公布中国数据,客观缓解率高达91%

肺癌2022-05-06
新一代肺癌ROS1抑制剂TPX-0005首次公布中国数据,客观缓解率高达91%

速递|第三代ALK抑制剂劳拉替尼治疗非小细胞肺癌在中国获批上市,更多的ALK突变靶向药临床试验招募正在进行中

肺癌2022-05-05
速递|第三代ALK抑制剂劳拉替尼治疗非小细胞肺癌在中国获批上市,更多的ALK突变靶向药临床试验招募正在进行中

速递|免疫治疗(pd1/dpl1)耐药后怎么办,有药了,非小细胞肺癌新药CTLA-4单抗ONC-392获FDA快速通道指定

肺癌2022-04-28
速递|免疫治疗(pd1/dpl1)耐药后怎么办,有药了,非小细胞肺癌新药CTLA-4单抗ONC-392获FDA快速通道指定

欧盟推荐MET靶点抑制剂卡马替尼(Tabrecta)上市,MET外显子14(ex14)跳跃突变非小细胞肺癌临床试验招募正在进行中

肺癌2022-04-25
欧盟推荐MET靶点抑制剂卡马替尼(Tabrecta)上市,MET外显子14(ex14)跳跃突变非小细胞肺癌临床试验招募正在进行中

2022年版中国临床肿瘤学会(CSCO)非小细胞肺癌治疗指南出炉

肺癌2022-04-24
2022年版中国临床肿瘤学会(CSCO)非小细胞肺癌治疗指南出炉

靶向ALK/ROS1/TRK的第二代广谱抗癌药TPX-0005新顶线数据公布,ROS1阳性的肺癌患者迎来新的希望

肺癌2022-04-24
靶向ALK/ROS1/TRK的第二代广谱抗癌药TPX-0005新顶线数据公布,ROS1阳性的肺癌患者迎来新的希望

速递|国产PD-1特瑞普利单抗冲击小细胞肺癌一线治疗方案,特瑞普利单抗适应症有哪些,特瑞普利单抗医保报销后价格是多少钱

肺癌2022-04-24
速递|国产PD-1特瑞普利单抗冲击小细胞肺癌一线治疗方案,特瑞普利单抗适应症有哪些,特瑞普利单抗医保报销后价格是多少钱

国产三代EGFR抑制剂伏美替尼全民超越吉非替尼,伏美替尼临床试验招募还在进行中

肺癌2022-04-22
国产三代EGFR抑制剂伏美替尼全民超越吉非替尼,伏美替尼临床试验招募还在进行中

速递|FDA授予Enhertu(DS-8201,Fam-trastuzumab deruxtecan-nxki)治疗HER2突变的非小细胞肺癌优先审查资格

肺癌2022-04-21
速递|FDA授予Enhertu(DS-8201,Fam-trastuzumab deruxtecan-nxki)治疗HER2突变的非小细胞肺癌优先审查资格

非小细胞肺癌抗癌成功案例,来看看他们的他们的共同特点-EGFR抑制剂序贯治疗

肺癌2022-04-20
非小细胞肺癌抗癌成功案例,来看看他们的他们的共同特点-EGFR抑制剂序贯治疗

国产MET靶点抑制剂谷美替尼片疗效再传捷报,缓解率60.9%

肺癌2022-04-18
国产MET靶点抑制剂谷美替尼片疗效再传捷报,缓解率60.9%

MET是什么,MET靶点抑制剂谷美替尼片疗效数据更新,缓解率60.9%,更多的同类靶向药物临床试验招募正在进行中

肺癌2022-04-18
MET是什么,MET靶点抑制剂谷美替尼片疗效数据更新,缓解率60.9%,更多的同类靶向药物临床试验招募正在进行中

广谱抗癌药ROS1抑制剂瑞波替尼(Repotrectinib、TPX-0005)治疗ROS1阳性肺癌客观缓解率79%

肺癌2022-04-15
广谱抗癌药ROS1抑制剂瑞波替尼(Repotrectinib、TPX-0005)治疗ROS1阳性肺癌客观缓解率79%

国产PD-1斯鲁利单抗注射液(汉斯状、H药、Serplulimab)有望成为国产首款小细胞肺癌一线免疫治疗药物

肺癌2022-04-13
国产PD-1斯鲁利单抗注射液(汉斯状、H药、Serplulimab)有望成为国产首款小细胞肺癌一线免疫治疗药物

EGFR外显子20插入突变(EGFR ex20ins)的非小细胞肺癌怎样治疗能打破短生存期的"魔咒"

肺癌2022-04-13
EGFR外显子20插入突变(EGFR ex20ins)的非小细胞肺癌怎样治疗能打破短生存期的"魔咒"

速递|第七款国产PD-1斯鲁利单抗注射液(Serplulimab、汉斯状)一线治疗小细胞肺癌已经提交上市申请

肺癌2022-04-13
速递|第七款国产PD-1斯鲁利单抗注射液(Serplulimab、汉斯状)一线治疗小细胞肺癌已经提交上市申请

广谱抗癌药恩曲替尼(Entrectinib)治疗ROS1突变的肺癌在中国申报上市,更多的ROS1抑制剂临床试验招募正在进行中

肺癌2022-04-12
广谱抗癌药恩曲替尼(Entrectinib)治疗ROS1突变的肺癌在中国申报上市,更多的ROS1抑制剂临床试验招募正在进行中

索托拉西布(Sotorasib、AMG510)治疗KRAS突变的非小细胞肺癌32.5%的患者生存超过两年

肺癌2022-04-12
索托拉西布(Sotorasib、AMG510)治疗KRAS突变的非小细胞肺癌32.5%的患者生存超过两年

索托拉西布(Sotorasib、AMG510)治疗KRAS突变的肺癌患者生存率翻倍

肺癌2022-04-12
索托拉西布(Sotorasib、AMG510)治疗KRAS突变的肺癌患者生存率翻倍

首款不限癌种的抗癌药国产PD-1斯鲁利单抗(汉斯状、H药)获美国FDA小细胞肺癌孤儿药资格认定

肺癌2022-04-11
首款不限癌种的抗癌药国产PD-1斯鲁利单抗(汉斯状、H药)获美国FDA小细胞肺癌孤儿药资格认定

速递|国产PD-1斯鲁利单抗(Serplulimab)获美国FDA授予小细胞肺癌孤儿药资格

肺癌2022-04-11
速递|国产PD-1斯鲁利单抗(Serplulimab)获美国FDA授予小细胞肺癌孤儿药资格

非小细胞肺癌靶向药物临床试验,EGFR 20号外显子插入突变(EGFR ex20ins)临床试验招募正在进行中

肺癌2022-04-11
非小细胞肺癌靶向药物临床试验,EGFR 20号外显子插入突变(EGFR ex20ins)临床试验招募正在进行中

非小细胞肺癌ROS1抑制剂Taletrectinib(AB-106)临床试验招募患者正在进行中

肺癌2022-04-11
非小细胞肺癌ROS1抑制剂Taletrectinib(AB-106)临床试验招募患者正在进行中

非小细胞肺癌靶向药物临床试验,MET靶点抑制剂临床试验招募正在进行中

肺癌2022-04-11
非小细胞肺癌靶向药物临床试验,MET靶点抑制剂临床试验招募正在进行中

国产KRAS G12C突变靶向药JS116胶囊临床试验招募获批

肺癌2022-04-07
国产KRAS G12C突变靶向药JS116胶囊临床试验招募获批

MET抑制剂缓解率达到54%,持续32.7个月!非小细胞肺癌MET外显子14跳跃突变靶向药II期临床试验正在招募中

肺癌2022-04-07
MET抑制剂缓解率达到54%,持续32.7个月!非小细胞肺癌MET外显子14跳跃突变靶向药II期临床试验正在招募中

细胞免疫疗法,细胞免疫治疗肺癌的案例分析

肺癌2022-04-06
细胞免疫疗法,细胞免疫治疗肺癌的案例分析

肺癌RET抑制剂塞尔帕替尼(Selpercatinib、LOXO292、Retevmo)客观缓解率84.1%,刷新患者生存期

肺癌2022-04-06
肺癌RET抑制剂塞尔帕替尼(Selpercatinib、LOXO292、Retevmo)客观缓解率84.1%,刷新患者生存期

非小细胞肺癌新药物,非小细胞肺癌新靶向药物,非小细胞肺癌靶向药临床试验

肺癌2022-03-31
非小细胞肺癌新药物,非小细胞肺癌新靶向药物,非小细胞肺癌靶向药临床试验

钻石基因突变是什么意思,肺癌钻石突变靶向药,NTRK靶向药拉罗替尼帮助患者无进展生存近3年

肺癌2022-03-29
钻石基因突变是什么意思,肺癌钻石突变靶向药,NTRK靶向药拉罗替尼帮助患者无进展生存近3年

肺癌临床试验,七大靶点,37款肺癌新药,肺癌免费用药、免费治疗信息速看

肺癌2022-03-28
肺癌临床试验,七大靶点,37款肺癌新药,肺癌免费用药、免费治疗信息速看

肺癌靶向治疗效果怎么样,靶向药物治疗效果怎么样,靶向治疗效果如何、好不好,肺癌靶向治疗临床试验招募正在进行中

肺癌2022-03-28
肺癌靶向治疗效果怎么样,靶向药物治疗效果怎么样,靶向治疗效果如何、好不好,肺癌靶向治疗临床试验招募正在进行中

小细胞肺癌抗癌成功案例,小细胞肺癌新药、新疗法和小细胞肺癌临床试验有哪些

肺癌2022-03-25
小细胞肺癌抗癌成功案例,小细胞肺癌新药、新疗法和小细胞肺癌临床试验有哪些

晚期转移性肺癌抗癌成功案例,EGFR靶向药帮助患者生存11年,更多EGFR抑制剂临床试验招募正在进行中

肺癌2022-03-24
晚期转移性肺癌抗癌成功案例,EGFR靶向药帮助患者生存11年,更多EGFR抑制剂临床试验招募正在进行中

肺癌靶向治疗,ALK突变靶向药物有哪些,肺癌靶向治疗临床试验招募正在进行中

肺癌2022-03-23
肺癌靶向治疗,ALK突变靶向药物有哪些,肺癌靶向治疗临床试验招募正在进行中

新一代同时靶向ROS1和NTRK的双靶点药物他雷替尼(Taletrectinib、AB106)在中国获批突破性疗法

肺癌2022-03-21
新一代同时靶向ROS1和NTRK的双靶点药物他雷替尼(Taletrectinib、AB106)在中国获批突破性疗法

早期肺癌如何预防复发,早期肺癌术后免疫辅助治疗可以降低24%的死亡风险

肺癌2022-03-21
早期肺癌如何预防复发,早期肺癌术后免疫辅助治疗可以降低24%的死亡风险

晚期肺癌耐药怎么办,肺癌耐药后如何治疗,肺癌耐药后还有药吗

肺癌2022-03-17
晚期肺癌耐药怎么办,肺癌耐药后如何治疗,肺癌耐药后还有药吗

免疫疗法治疗肺癌,九大肺癌免疫治疗(PD-1/PD-L1)治疗药物为肺癌患者开启长存之门

肺癌2022-03-17
免疫疗法治疗肺癌,九大肺癌免疫治疗(PD-1/PD-L1)治疗药物为肺癌患者开启长存之门

2022年肺癌临床试验,RET基因是什么,非小细胞肺癌RET抑制剂新药临床试验招募信息汇总

肺癌2022-03-16
2022年肺癌临床试验,RET基因是什么,非小细胞肺癌RET抑制剂新药临床试验招募信息汇总

肺上面有结节怎么办,肺部查出结节怎么办,肺部长了小结节怎么办

肺癌2022-03-15
肺上面有结节怎么办,肺部查出结节怎么办,肺部长了小结节怎么办

什么是肺结节,肺有结节是什么意思,肺结节恶性概率是多少

肺癌2022-03-15
什么是肺结节,肺有结节是什么意思,肺结节恶性概率是多少

非小细胞肺癌EGFR外显子20插入突变(EGFR ex20ins)治疗效果不佳,新药临床试验帮助患者快速达到临床缓解

肺癌2022-03-15
非小细胞肺癌EGFR外显子20插入突变(EGFR ex20ins)治疗效果不佳,新药临床试验帮助患者快速达到临床缓解

什么是肺结节,肺部实性结节是什么意思,肺部磨玻璃样结节是怎么回事,肺磨玻璃微小结节怎么办

肺癌2022-03-14
什么是肺结节,肺部实性结节是什么意思,肺部磨玻璃样结节是怎么回事,肺磨玻璃微小结节怎么办

CT显示肺部有结节是怎么回事,肺部CT有结节严重吗,肺部有结节怎么办?

肺癌2022-03-14
CT显示肺部有结节是怎么回事,肺部CT有结节严重吗,肺部有结节怎么办?

肺有结节怎么办,肺部长结节什么原因造成的,肺多发结节良恶区别,肺长结节怎么判断良恶性

肺癌2022-03-14
肺有结节怎么办,肺部长结节什么原因造成的,肺多发结节良恶区别,肺长结节怎么判断良恶性

非小细胞肺癌新药临床试验,这部分非小细胞肺癌患者,一定要尝试临床试验

肺癌2022-03-14
非小细胞肺癌新药临床试验,这部分非小细胞肺癌患者,一定要尝试临床试验

肺部有结节是怎么回事?要紧吗?

肺癌2022-03-11
肺部有结节是怎么回事?要紧吗?

奥希替尼为什么会耐药、原因有哪些,奥希替尼耐药后还有药吗,奥希替尼耐药后用什么药,奥希替尼(AZD9291)耐药后怎么办

肺癌2022-03-11
奥希替尼为什么会耐药、原因有哪些,奥希替尼耐药后还有药吗,奥希替尼耐药后用什么药,奥希替尼(AZD9291)耐药后怎么办

肺癌临床试验,KRAS是什么,肺癌KRAS基因突变靶向药物、抑制剂,KRAS G12C突变靶向药和KRAS G12D靶向药新药有哪些

肺癌2022-03-11
肺癌临床试验,KRAS是什么,肺癌KRAS基因突变靶向药物、抑制剂,KRAS G12C突变靶向药和KRAS G12D靶向药新药有哪些

肺癌临床试验,2022年3月肺癌C-MET抑制剂新药临床试验招募信息汇总

肺癌2022-03-11
肺癌临床试验,2022年3月肺癌C-MET抑制剂新药临床试验招募信息汇总

肺部孤立性结节是什么意思,肺孤立性结节一般是严重吗,肺部孤立性结节怎么办

肺癌2022-03-09
肺部孤立性结节是什么意思,肺孤立性结节一般是严重吗,肺部孤立性结节怎么办

肺部微小结节怎么办,如何判断肺结节是良性还是恶性

肺癌2022-03-07
肺部微小结节怎么办,如何判断肺结节是良性还是恶性

肺多发小结节是怎么回事,肺上结节是什么原因引起的,肺部有小结节该怎么办

肺癌2022-03-07
肺多发小结节是怎么回事,肺上结节是什么原因引起的,肺部有小结节该怎么办

肺癌早筛,肺有结节怎么办,肺癌甲基化基因检测产品-艾肺明有效弥补了传统肺癌早期检测应用不足的缺陷

肺癌2022-03-07
肺癌早筛,肺有结节怎么办,肺癌甲基化基因检测产品-艾肺明有效弥补了传统肺癌早期检测应用不足的缺陷

肺癌治疗新药新疗法必不可少,晚期肺癌治疗案例分析

肺癌2022-03-04
肺癌治疗新药新疗法必不可少,晚期肺癌治疗案例分析

抑制MET突变又高效抗肺癌脑转移靶向药,赛沃替尼(沃利替尼)、卡马替尼,Tepmetko(特泊替尼)强势崛起

肺癌2022-03-03
抑制MET突变又高效抗肺癌脑转移靶向药,赛沃替尼(沃利替尼)、卡马替尼,Tepmetko(特泊替尼)强势崛起

晚期肺癌抗癌成功案例,选择正确的肺癌治疗方案可以让患者生存时间更长

肺癌2022-03-03
晚期肺癌抗癌成功案例,选择正确的肺癌治疗方案可以让患者生存时间更长

ROS1/NTRK双靶点抑制剂他雷替尼(Taletrectinib、AB-106)在中国被评为突破性疗法,可以有效突破非小细胞肺癌靶向治疗耐药的问题

肺癌2022-03-03
ROS1/NTRK双靶点抑制剂他雷替尼(Taletrectinib、AB-106)在中国被评为突破性疗法,可以有效突破非小细胞肺癌靶向治疗耐药的问题

革命性广谱抗癌药物拉罗替尼(Larotrectinib)为肺癌NTRK阳性的患者带来福音

肺癌2022-03-03
革命性广谱抗癌药物拉罗替尼(Larotrectinib)为肺癌NTRK阳性的患者带来福音

ROS1临床试验,2022年3月ROS1阳性肺癌临床试验招募信息汇总

肺癌2022-03-03
ROS1临床试验,2022年3月ROS1阳性肺癌临床试验招募信息汇总

肺癌早筛,CTDNA甲基化检测无创早筛检测肺部疾病

肺癌2022-03-02
肺癌早筛,CTDNA甲基化检测无创早筛检测肺部疾病

2022年3月非小细胞肺癌ALK临床试验招募信息汇总

肺癌2022-03-01
2022年3月非小细胞肺癌ALK临床试验招募信息汇总

2022年3月非小细胞肺癌EGFR临床试验招募信息汇总

肺癌2022-03-01
2022年3月非小细胞肺癌EGFR临床试验招募信息汇总

奥希替尼(AZD9291)耐药后怎么办,众多肿瘤靶向新药临床试验或许可以打破困境

肺癌2022-02-28
奥希替尼(AZD9291)耐药后怎么办,众多肿瘤靶向新药临床试验或许可以打破困境

什么是肺结节,判断良恶性的肺结节检查、检测技术有哪些

肺癌2022-02-24
什么是肺结节,判断良恶性的肺结节检查、检测技术有哪些

肺癌免费治疗,明星抗癌药,MET14外显子跳跃突变靶向药Savolitinib(赛沃替尼)临床试验招募正在进行中

肺癌2022-02-24
肺癌免费治疗,明星抗癌药,MET14外显子跳跃突变靶向药Savolitinib(赛沃替尼)临床试验招募正在进行中

新一代靶向药,不限癌种的抗癌药,广谱抗癌药物TPX-0005(Repotrectinib、瑞波替尼)在中国获得非小细胞肺癌突破性治疗认定

肺癌2022-02-23
新一代靶向药,不限癌种的抗癌药,广谱抗癌药物TPX-0005(Repotrectinib、瑞波替尼)在中国获得非小细胞肺癌突破性治疗认定

肺癌放疗效果怎么样,肺癌放疗效果好吗

肺癌2022-02-22
肺癌放疗效果怎么样,肺癌放疗效果好吗

KRAS突变靶向药物,全球第二款非小细胞肺癌KRAS抑制剂Adagrasib(MRTX849)有望上市

肺癌2022-02-17
KRAS突变靶向药物,全球第二款非小细胞肺癌KRAS抑制剂Adagrasib(MRTX849)有望上市

FDA已经接受了第二款KRAS突变靶向药Adagrasib(MRTX849)的肺癌新药申请,国内患者可申请参加KRAS抑制剂Adagrasib临床试验

肺癌2022-02-17
FDA已经接受了第二款KRAS突变靶向药Adagrasib(MRTX849)的肺癌新药申请,国内患者可申请参加KRAS抑制剂Adagrasib临床试验

树突细胞疗法联合化疗一线治疗晚期非小细胞肺癌总缓解率大幅提升

肺癌2022-02-16
树突细胞疗法联合化疗一线治疗晚期非小细胞肺癌总缓解率大幅提升

速递|FDA接受靶向EGFR/HER2的双靶点药物波齐替尼(Poziotinib)用于治疗HER2外显子20插入突变的局部晚期或转移性非小细胞肺癌的新

肺癌2022-02-16
速递|FDA接受靶向EGFR/HER2的双靶点药物波齐替尼(Poziotinib)用于治疗HER2外显子20插入突变的局部晚期或转移性非小细胞肺癌的新

肺癌靶向药为什么会出现耐药的原因有哪些,怎么样判断靶向药耐药,如何判断靶向药是否耐药,靶向治疗靶向药耐药后怎么办

肺癌2022-02-14
肺癌靶向药为什么会出现耐药的原因有哪些,怎么样判断靶向药耐药,如何判断靶向药是否耐药,靶向治疗靶向药耐药后怎么办

肺癌新辅助免疫治疗被证明是安全有效的

肺癌2022-02-14
肺癌新辅助免疫治疗被证明是安全有效的

肺癌手术后复发的原因有哪些,肺癌复发的类型有哪些,肺癌多长时间会复发,肺癌复发怎么治疗,肺癌怎样避免复发

肺癌2022-02-14
肺癌手术后复发的原因有哪些,肺癌复发的类型有哪些,肺癌多长时间会复发,肺癌复发怎么治疗,肺癌怎样避免复发

肺癌免疫治疗,免疫疗法的进步推动了肺癌治疗的进展

肺癌2022-02-14
肺癌免疫治疗,免疫疗法的进步推动了肺癌治疗的进展

肺癌HER2突变靶向药,抗体偶联(ADC)药物为难治性肺癌患者带来希望

肺癌2022-02-14
肺癌HER2突变靶向药,抗体偶联(ADC)药物为难治性肺癌患者带来希望

肺癌靶向治疗,肺癌EGFR20外显子突变不同治疗方案及EGFR20外显子突变靶向药新药治疗数据对比

肺癌2022-02-14
肺癌靶向治疗,肺癌EGFR20外显子突变不同治疗方案及EGFR20外显子突变靶向药新药治疗数据对比

克唑替尼耐药后怎么办,肺癌脑转移用什么药治疗

肺癌2022-01-26
克唑替尼耐药后怎么办,肺癌脑转移用什么药治疗

晚期肺癌抗癌成功案例,肺癌免疫治疗让四期肺癌患者肿瘤几乎消失

肺癌2022-01-24
晚期肺癌抗癌成功案例,肺癌免疫治疗让四期肺癌患者肿瘤几乎消失

2022年非小细胞肺癌新药新方案和非小细胞肺癌临床试验招募有哪些

肺癌2022-01-24
2022年非小细胞肺癌新药新方案和非小细胞肺癌临床试验招募有哪些

权威的日本肺癌专家推荐

肺癌2022-01-21
权威的日本肺癌专家推荐

速递|FDA接受PD-1抑制剂Cemiplimab-rwlc(Libtayo、西米普利单抗)联合化疗一线治疗非小细胞肺癌适应症的申请

肺癌2022-01-21
速递|FDA接受PD-1抑制剂Cemiplimab-rwlc(Libtayo、西米普利单抗)联合化疗一线治疗非小细胞肺癌适应症的申请

科学家发现潜在可用于肺癌诊断和治疗的新靶点-LCDR(溶酶体细胞死亡调节因子)

肺癌2022-01-19
科学家发现潜在可用于肺癌诊断和治疗的新靶点-LCDR(溶酶体细胞死亡调节因子)

日本肺癌5年生存率高达32.9%,日本肺癌治疗方案有哪些,日本肺癌医院和日本肺癌专家推荐

肺癌2022-01-18
日本肺癌5年生存率高达32.9%,日本肺癌治疗方案有哪些,日本肺癌医院和日本肺癌专家推荐

丹娜法伯癌症中心新研究:免疫联合疗法能使对单一非小细胞肺癌免疫治疗耐药后的患者受益

肺癌2022-01-18
丹娜法伯癌症中心新研究:免疫联合疗法能使对单一非小细胞肺癌免疫治疗耐药后的患者受益

PD-L1抑制剂舒格利单抗(Sugemalimab)临床试验疗效优异,有可能直接写入中国非小细胞肺癌诊疗指南

肺癌2022-01-18
PD-L1抑制剂舒格利单抗(Sugemalimab)临床试验疗效优异,有可能直接写入中国非小细胞肺癌诊疗指南

树突细胞疫苗联合化疗一线治疗晚期非小细胞肺癌总缓解率大幅提升

肺癌2022-01-14
树突细胞疫苗联合化疗一线治疗晚期非小细胞肺癌总缓解率大幅提升

FDA授予肺癌抗体偶联药物AbbVie(Telisotuzumab vedotin)突破性疗法认定

肺癌2022-01-11
FDA授予肺癌抗体偶联药物AbbVie(Telisotuzumab vedotin)突破性疗法认定

新泛突变EGFR靶向药物TAS6417(CLN-081)获FDA突破性疗法指定

肺癌2022-01-07
新泛突变EGFR靶向药物TAS6417(CLN-081)获FDA突破性疗法指定

速递|奥希替尼耐药怎么办,HER3靶向药抗体-药物偶联物(ADC药物)U3-1402获FDA突破性疗法指定

肺癌2021-12-28
速递|奥希替尼耐药怎么办,HER3靶向药抗体-药物偶联物(ADC药物)U3-1402获FDA突破性疗法指定

非小细胞肺癌基因突变概率和相应的新非小细胞肺癌靶向药物

肺癌2021-12-27
非小细胞肺癌基因突变概率和相应的新非小细胞肺癌靶向药物

斯鲁利单抗临床试验成功,首款小细胞肺癌一线免疫治疗(PD-1)药物或将到来

肺癌2021-12-27
斯鲁利单抗临床试验成功,首款小细胞肺癌一线免疫治疗(PD-1)药物或将到来

肺腺癌KRAS G12C抑制剂Sotorasib(AMG-510)拯救了全身广泛转移和免疫治疗耐药的患者

肺癌2021-12-27
肺腺癌KRAS G12C抑制剂Sotorasib(AMG-510)拯救了全身广泛转移和免疫治疗耐药的患者

肺癌序贯治疗,肺癌靶向治疗副作用大,换同代靶向药物也能平安缓解

肺癌2021-12-27
肺癌序贯治疗,肺癌靶向治疗副作用大,换同代靶向药物也能平安缓解

晚期肺癌如何治疗,晚期肺癌靶向治疗、细胞免疫治疗和质子治疗帮助患者延长生存期预防复发

肺癌2021-12-27
晚期肺癌如何治疗,晚期肺癌靶向治疗、细胞免疫治疗和质子治疗帮助患者延长生存期预防复发

抗癌学院|直播预告:全球肿瘤医生网医学总监黄朔讲解ALK阳性和ROS1阳性的非小细胞肺癌新药有哪些

肺癌2021-12-16
抗癌学院|直播预告:全球肿瘤医生网医学总监黄朔讲解ALK阳性和ROS1阳性的非小细胞肺癌新药有哪些

肺腺癌软脑膜转移治疗案例,MET抑制剂三线治疗帮助患者从卧床难起到基本自理

肺癌2021-12-15
肺腺癌软脑膜转移治疗案例,MET抑制剂三线治疗帮助患者从卧床难起到基本自理

第三代EGFR靶向药奥希替尼耐药后怎么办,奥希替尼耐药后吃什么药,奥希替尼耐药后用什么药

肺癌2021-12-14
第三代EGFR靶向药奥希替尼耐药后怎么办,奥希替尼耐药后吃什么药,奥希替尼耐药后用什么药

肺癌双基因突变选对方案能长期获益,两个基因突变的肺癌患者的治疗更要注意

肺癌2021-12-13
肺癌双基因突变选对方案能长期获益,两个基因突变的肺癌患者的治疗更要注意

获批上市的肺癌药物有哪些,获批上市的非小细胞肺癌药物有哪些,获批上市的小细胞肺癌药物有哪些

肺癌2021-12-10
获批上市的肺癌药物有哪些,获批上市的非小细胞肺癌药物有哪些,获批上市的小细胞肺癌药物有哪些

速递|EGFR/HER2双靶点抑制剂波齐替尼(Poziotinib)治疗HER2非小细胞肺癌适应症已经提交FDA申请

肺癌2021-12-10
速递|EGFR/HER2双靶点抑制剂波齐替尼(Poziotinib)治疗HER2非小细胞肺癌适应症已经提交FDA申请

肺癌免疫治疗和靶向治疗哪个好,靶向治疗好还是免疫治疗好来看看这个案例

肺癌2021-12-08
肺癌免疫治疗和靶向治疗哪个好,靶向治疗好还是免疫治疗好来看看这个案例

癌症肿瘤检查,有必要做基因检测吗,重要且需要优先检测的肺癌基因突变靶点有哪些

肺癌2021-12-07
癌症肿瘤检查,有必要做基因检测吗,重要且需要优先检测的肺癌基因突变靶点有哪些

多处肺癌脑转移靶向药物治疗两个月后完全缓解,更多MET突变靶向药临床试验招募正在进行中

肺癌2021-12-07
多处肺癌脑转移靶向药物治疗两个月后完全缓解,更多MET突变靶向药临床试验招募正在进行中

EGFR ex20ins(20号外显子插入突变)临床试验招募正在进行中

肺癌2021-12-06
EGFR ex20ins(20号外显子插入突变)临床试验招募正在进行中

抗癌学院|直播预告:全球肿瘤医生网医学总监黄朔讲解非小细胞肺癌EGFR靶向药物有哪些和EGFR靶向药物研发最新进展

肺癌2021-12-03
抗癌学院|直播预告:全球肿瘤医生网医学总监黄朔讲解非小细胞肺癌EGFR靶向药物有哪些和EGFR靶向药物研发最新进展

肺癌脑转移治疗,肺癌脑转移的概率是多少,肺癌脑转移靶向药物有哪些

肺癌2021-12-03
肺癌脑转移治疗,肺癌脑转移的概率是多少,肺癌脑转移靶向药物有哪些

肺癌MET药物,MET突变靶向药高效抗脑转,多款MET靶向药临床试验招募正在进行中

肺癌2021-11-30
肺癌MET药物,MET突变靶向药高效抗脑转,多款MET靶向药临床试验招募正在进行中

肺癌去美国看病,美国肺癌专家Alice T. Shaw博士和麻省总医院(马萨诸塞州总医院)简介

肺癌2021-11-29
肺癌去美国看病,美国肺癌专家Alice T. Shaw博士和麻省总医院(马萨诸塞州总医院)简介

肺癌会诊案例,国际会诊流程是什么,著名的国际肺癌专家有哪些

肺癌2021-11-25
肺癌会诊案例,国际会诊流程是什么,著名的国际肺癌专家有哪些

肺癌放疗选质子治疗,比普通放疗效果提升20%,全球主要的质子重离子肿瘤医院简介

肺癌2021-11-23
肺癌放疗选质子治疗,比普通放疗效果提升20%,全球主要的质子重离子肿瘤医院简介

肺癌国际会诊,美国、日本、中国肺癌医院排名,美国、日本肺癌专家推荐

肺癌2021-11-22
肺癌国际会诊,美国、日本、中国肺癌医院排名,美国、日本肺癌专家推荐

肺癌NK细胞疗法治疗,自体NK细胞疗法SNK01联合PD-1帕博利珠单抗(Pembrolizumab、Keytruda)效果倍增

肺癌2021-11-22
肺癌NK细胞疗法治疗,自体NK细胞疗法SNK01联合PD-1帕博利珠单抗(Pembrolizumab、Keytruda)效果倍增

日本治疗肺癌最好的医院,日本肺癌医院排名,日本肺癌专家有哪些

肺癌2021-11-19
日本治疗肺癌最好的医院,日本肺癌医院排名,日本肺癌专家有哪些

2021年中国肺癌医院排名,国内治疗肺癌最好的医院,中国国内排名前十的肺癌医院

肺癌2021-11-18
2021年中国肺癌医院排名,国内治疗肺癌最好的医院,中国国内排名前十的肺癌医院

国际肺癌日|非小细胞肺癌怎样治疗,国内外非小细胞肺癌专家和非小细胞肺癌新药有哪些,如何预防非小细胞肺癌复发转移

肺癌2021-11-18
国际肺癌日|非小细胞肺癌怎样治疗,国内外非小细胞肺癌专家和非小细胞肺癌新药有哪些,如何预防非小细胞肺癌复发转移

美国肺癌专家会诊,美国肺癌专家排名

肺癌2021-11-17
美国肺癌专家会诊,美国肺癌专家排名

肺癌能活多久,得了肺癌能活多长时间,不同分期阶段的肺癌生存率,美国治疗肺癌最好的医院

肺癌2021-11-16
肺癌能活多久,得了肺癌能活多长时间,不同分期阶段的肺癌生存率,美国治疗肺癌最好的医院

KRAS基因突变靶向药,KRAS抑制剂Sotorasib(AMG-510)在欧盟获批上市,更多的KRAS临床试验招募正在进行中

肺癌2021-11-16
KRAS基因突变靶向药,KRAS抑制剂Sotorasib(AMG-510)在欧盟获批上市,更多的KRAS临床试验招募正在进行中

肺癌为什么要做基因检测,肺癌基因检测有用吗,肺癌基因检测费用、价格、多少钱,肺癌靶向治疗方案有哪些

肺癌2021-11-12
肺癌为什么要做基因检测,肺癌基因检测有用吗,肺癌基因检测费用、价格、多少钱,肺癌靶向治疗方案有哪些

广谱抗癌药物,靶向NTRK/ROS1/ALK的多靶点抑制剂恩曲替尼(Entrectinib)让患者全身肿瘤缩小77%,NTRK检测怎么做

肺癌2021-11-12
广谱抗癌药物,靶向NTRK/ROS1/ALK的多靶点抑制剂恩曲替尼(Entrectinib)让患者全身肿瘤缩小77%,NTRK检测怎么做

看美国MD安德森癌症中心治疗肺癌成功案例,足不出国就可以享受美国肺癌专家会诊

肺癌2021-11-11
看美国MD安德森癌症中心治疗肺癌成功案例,足不出国就可以享受美国肺癌专家会诊

KRAS基因突变靶向药,KRAS G12c抑制剂MRTX849联合PD-1治疗肺癌数据优异,更多的KRAS临床试验招募正在进行中

肺癌2021-11-11
KRAS基因突变靶向药,KRAS G12c抑制剂MRTX849联合PD-1治疗肺癌数据优异,更多的KRAS临床试验招募正在进行中

奥希替尼耐药怎么办,EGFR TKI治疗后出现的RET基因突变融合是什么,已经上市的和在研的RET抑制剂有哪些

肺癌2021-11-10
奥希替尼耐药怎么办,EGFR TKI治疗后出现的RET基因突变融合是什么,已经上市的和在研的RET抑制剂有哪些

肺癌美国专家会诊,从"抗肺结核"到"抗肺癌",多亏他们幸遇良医

肺癌2021-11-09
肺癌美国专家会诊,从"抗肺结核"到"抗肺癌",多亏他们幸遇良医

直播预告|肺癌放疗,关于新治疗时代下肺癌放射治疗地位的思考

肺癌2021-11-09
直播预告|肺癌放疗,关于新治疗时代下肺癌放射治疗地位的思考

放疗有哪些,2021年11月16日第一期精准放疗"轻问诊"-肺癌放疗科普+义诊答疑直播预告

肺癌2021-11-08
放疗有哪些,2021年11月16日第一期精准放疗"轻问诊"-肺癌放疗科普+义诊答疑直播预告

非小细胞肺癌不能做手术怎么办,派姆单抗联合放化疗,缓解率超过70%

肺癌2021-11-05
非小细胞肺癌不能做手术怎么办,派姆单抗联合放化疗,缓解率超过70%

KRAS是什么,获批的KRAS基因突变靶向药有哪些,最新的KRAS抑制剂和KRAS临床试验有哪些

肺癌2021-11-02
KRAS是什么,获批的KRAS基因突变靶向药有哪些,最新的KRAS抑制剂和KRAS临床试验有哪些

NCCN肺癌筛查指南之肺腺癌筛查指南

肺癌2021-11-01
NCCN肺癌筛查指南之肺腺癌筛查指南

早期非小细胞肺癌有必要做基因检测吗?辅助和新辅助免疫治疗、靶向治疗有助于提高手术治疗效果

肺癌2021-10-28
早期非小细胞肺癌有必要做基因检测吗?辅助和新辅助免疫治疗、靶向治疗有助于提高手术治疗效果

KRAS基因突变靶向药物Sotorasib(AMG-510)让晚期肺癌患者重回正常生活,更多的KRAS抑制剂临床试验招募正在进行中

肺癌2021-10-28
KRAS基因突变靶向药物Sotorasib(AMG-510)让晚期肺癌患者重回正常生活,更多的KRAS抑制剂临床试验招募正在进行中

奥希替尼(Osimertinib、Tagrisso)作为EGFR突变的非小细胞肺癌新辅助治疗方案,病理完全缓解率69%

肺癌2021-10-27
奥希替尼(Osimertinib、Tagrisso)作为EGFR突变的非小细胞肺癌新辅助治疗方案,病理完全缓解率69%

MET是什么,MET抑制剂、MET基因突变靶向药有哪些,MET临床试验有哪些

肺癌2021-10-27
MET是什么,MET抑制剂、MET基因突变靶向药有哪些,MET临床试验有哪些

靶向药奥希替尼耐药后怎么办,双抗药物Rybrevant(JNJ6372)临床试验招募正在进行中

肺癌2021-10-26
靶向药奥希替尼耐药后怎么办,双抗药物Rybrevant(JNJ6372)临床试验招募正在进行中

克唑替尼耐药后怎么办,12款ROS1和ALK突变新药打破僵局,为克唑替尼耐药患者保驾护航

肺癌2021-10-25
克唑替尼耐药后怎么办,12款ROS1和ALK突变新药打破僵局,为克唑替尼耐药患者保驾护航

克唑替尼耐药后怎么办、吃什么药,美国FDA获批上市的ROS1抑制剂有哪些,ROS1新药有哪些

肺癌2021-10-22
克唑替尼耐药后怎么办、吃什么药,美国FDA获批上市的ROS1抑制剂有哪些,ROS1新药有哪些

非小细胞肺癌最新第四代靶向药ALK基因突变靶向药物有哪些

肺癌2021-10-21
非小细胞肺癌最新第四代靶向药ALK基因突变靶向药物有哪些

非小细胞肺癌EGFR基因突变靶向药物有哪些,全球非小细胞肺癌EGFR新药研发进展一览

肺癌2021-10-19
非小细胞肺癌EGFR基因突变靶向药物有哪些,全球非小细胞肺癌EGFR新药研发进展一览

速递|阿替利珠单抗(Tecentriq)获批非小细胞肺癌辅助治疗的适应症

肺癌2021-10-19
速递|阿替利珠单抗(Tecentriq)获批非小细胞肺癌辅助治疗的适应症

收藏|2021年最新29款非小细胞肺癌靶向治疗药物和非小细胞肺癌免疫治疗(PD-1/PD-L1)药物信息大全

肺癌2021-10-14
收藏|2021年最新29款非小细胞肺癌靶向治疗药物和非小细胞肺癌免疫治疗(PD-1/PD-L1)药物信息大全

导致肺癌的因素有哪些,如何预防肺癌

肺癌2021-10-12
导致肺癌的因素有哪些,如何预防肺癌

第三代EGFR抑制剂伏美替尼(Furmonertinib)在EGFR外显子20插入突变(ex20ins)的治疗上比奥希替尼更强

肺癌2021-10-12
第三代EGFR抑制剂伏美替尼(Furmonertinib)在EGFR外显子20插入突变(ex20ins)的治疗上比奥希替尼更强

肺癌可以治好吗?一文了解肺癌能不能治愈

肺癌2021-09-28
肺癌可以治好吗?一文了解肺癌能不能治愈

肺癌脑转移如何治疗,治疗脑转移的靶向药有哪些

肺癌2021-09-28
肺癌脑转移如何治疗,治疗脑转移的靶向药有哪些

EGFR突变的非小细胞肺癌脑转移怎么办?怎么治疗复发风险小?复发后脑转移治疗方案怎么选?

肺癌2021-09-26
EGFR突变的非小细胞肺癌脑转移怎么办?怎么治疗复发风险小?复发后脑转移治疗方案怎么选?

RET抑制剂让非小细胞肺癌靶向治疗覆盖更加全面,更多RET临床试验招募正在进行中

肺癌2021-09-24
RET抑制剂让非小细胞肺癌靶向治疗覆盖更加全面,更多RET临床试验招募正在进行中

非小细胞肺癌难治型或奥希替尼耐药怎么办,多款第三代EGFR抑制剂群星闪耀

肺癌2021-09-23
非小细胞肺癌难治型或奥希替尼耐药怎么办,多款第三代EGFR抑制剂群星闪耀

2021年欧洲肿瘤医学协会(ESMO)大会:肺癌治疗最新进展、新消息、最新信息

肺癌2021-09-23
2021年欧洲肿瘤医学协会(ESMO)大会:肺癌治疗最新进展、新消息、最新信息

2021年ESMO大会|肺癌免疫治疗(PD1)耐药后怎么办,肺癌疫苗TedopiIII期试验数据公布,为患者带来新希望

肺癌2021-09-22
2021年ESMO大会|肺癌免疫治疗(PD1)耐药后怎么办,肺癌疫苗TedopiIII期试验数据公布,为患者带来新希望

2021年非小细胞肺癌新药,非小细胞肺癌靶向药物新药有哪些

肺癌2021-09-17
2021年非小细胞肺癌新药,非小细胞肺癌靶向药物新药有哪些

肺癌EGFR抑制剂,肺癌EGFR 20ins变第二款靶向药Mobocertinib(中文名莫博替尼、TAK-788、Exkivity)获批上市

肺癌2021-09-17
肺癌EGFR抑制剂,肺癌EGFR 20ins变第二款靶向药Mobocertinib(中文名莫博替尼、TAK-788、Exkivity)获批上市

2021年世界肺癌大会第一天|EGFR、RET、KRAS三大靶点肺癌靶向药最新进展速递

肺癌2021-09-10
2021年世界肺癌大会第一天|EGFR、RET、KRAS三大靶点肺癌靶向药最新进展速递

2021年全国临床肿瘤学大会(CSCO)肺癌治疗最新进展、最新消息、最新信息

肺癌2021-09-09
2021年全国临床肿瘤学大会(CSCO)肺癌治疗最新进展、最新消息、最新信息

胸腺肽对肺癌患者有益吗,肺癌患者有必要打胸腺肽吗

肺癌2021-09-07
胸腺肽对肺癌患者有益吗,肺癌患者有必要打胸腺肽吗

2021年世界肺癌大会(WCLC)精彩预告,肺癌靶向治疗、免疫治疗最新进展速递

肺癌2021-09-06
2021年世界肺癌大会(WCLC)精彩预告,肺癌靶向治疗、免疫治疗最新进展速递

肺癌患者病人饮食,肺癌病人患者吃什么好

肺癌2021-08-27
肺癌患者病人饮食,肺癌病人患者吃什么好

肺癌脑转移治疗,肺癌脑转移怎么办,肺癌脑转移没有基因突变怎么治疗,免疫+放疗组合来了

肺癌2021-08-27
肺癌脑转移治疗,肺癌脑转移怎么办,肺癌脑转移没有基因突变怎么治疗,免疫+放疗组合来了

非小细胞肺癌靶向治疗案例,靶向治疗效果怎么样和有没有选对治疗方案关系很大

肺癌2021-08-26
非小细胞肺癌靶向治疗案例,靶向治疗效果怎么样和有没有选对治疗方案关系很大

特瑞普利单抗疗效中期数据更新,无进展生存期延长一半,冲击非小细胞肺癌一线免疫治疗

肺癌2021-08-24
特瑞普利单抗疗效中期数据更新,无进展生存期延长一半,冲击非小细胞肺癌一线免疫治疗

肺癌细胞免疫治疗,TIL细胞疗法让晚期肺癌患者已无癌三年

肺癌2021-08-20
肺癌细胞免疫治疗,TIL细胞疗法让晚期肺癌患者已无癌三年

全球第七款广谱抗癌药Jemperli(Dostarlimab-gxly)获批,其他FDA获批的广谱抗肿瘤药物有哪些

肺癌2021-08-19
全球第七款广谱抗癌药Jemperli(Dostarlimab-gxly)获批,其他FDA获批的广谱抗肿瘤药物有哪些

肺癌靶向治疗,多款中国国产肺癌靶向药物疗效喜人,开启肺癌不化疗治疗的时代

肺癌2021-08-19
肺癌靶向治疗,多款中国国产肺癌靶向药物疗效喜人,开启肺癌不化疗治疗的时代

肺癌靶向治疗成功案例,肺癌靶向治疗效果怎么样,检测出了基因突变选对了药,肺癌并没那么可怕

肺癌2021-08-18
肺癌靶向治疗成功案例,肺癌靶向治疗效果怎么样,检测出了基因突变选对了药,肺癌并没那么可怕

肺癌脑转移治疗,肺癌脑转移不一定就要等死,电场治疗、靶向治疗、质子治疗,总有一款您能用到

肺癌2021-08-18
肺癌脑转移治疗,肺癌脑转移不一定就要等死,电场治疗、靶向治疗、质子治疗,总有一款您能用到

晚期肺癌免疫治疗(PD-1)耐药怎么办,TIL细胞疗法联合PD-1扔能完全缓解

肺癌2021-08-17
晚期肺癌免疫治疗(PD-1)耐药怎么办,TIL细胞疗法联合PD-1扔能完全缓解

肺癌脑转移新疗法、新技术,再鼎医药电场疗法治疗肺癌脑转移的III期临床试验招募已经开启

肺癌2021-08-13
肺癌脑转移新疗法、新技术,再鼎医药电场疗法治疗肺癌脑转移的III期临床试验招募已经开启

转移性晚期非小细胞肺癌抗癌成功案例,肺癌靶向治疗帮助患者成功抗癌十年

肺癌2021-08-12
转移性晚期非小细胞肺癌抗癌成功案例,肺癌靶向治疗帮助患者成功抗癌十年

肺癌EGFR-TKI靶向药Nazartinib(纳扎替尼、EGF816)的疗效及安全性

肺癌2021-08-10
肺癌EGFR-TKI靶向药Nazartinib(纳扎替尼、EGF816)的疗效及安全性

肺癌T790M突变靶向药Olmutinib(中文名奥莫替尼、HM61713)的二期临床试验结果

肺癌2021-08-10
肺癌T790M突变靶向药Olmutinib(中文名奥莫替尼、HM61713)的二期临床试验结果

非小细胞肺癌第三代EGFR突变靶向药Lazertinib(中文名拉泽替尼、LECLAZA、YH25448)中文说明书

肺癌2021-08-10
非小细胞肺癌第三代EGFR突变靶向药Lazertinib(中文名拉泽替尼、LECLAZA、YH25448)中文说明书

2021年十大肺癌基因突变靶点及对应的肺癌靶向药物和肺癌靶向治疗方案最新盘点

肺癌2021-08-10
2021年十大肺癌基因突变靶点及对应的肺癌靶向药物和肺癌靶向治疗方案最新盘点

肺癌新药新疗法,免疫疗法、靶向治疗药物、抗体偶联(ADC)药物谁能先胜出

肺癌2021-08-09
肺癌新药新疗法,免疫疗法、靶向治疗药物、抗体偶联(ADC)药物谁能先胜出

非小细胞肺癌分类,非小细胞肺癌有哪些类型,什么是基因突变,非小细胞肺癌基因突变有哪些,非小细胞肺癌靶向治疗药物有哪些

肺癌2021-08-09
非小细胞肺癌分类,非小细胞肺癌有哪些类型,什么是基因突变,非小细胞肺癌基因突变有哪些,非小细胞肺癌靶向治疗药物有哪些

速递|肺癌辅助免疫治疗,2021年8月3日FDA授予阿替利珠单抗(Tecentriq)作为非小细胞肺癌手术或铂类化疗后的辅助治疗方案优先审查资

肺癌2021-08-05
速递|肺癌辅助免疫治疗,2021年8月3日FDA授予阿替利珠单抗(Tecentriq)作为非小细胞肺癌手术或铂类化疗后的辅助治疗方案优先审查资

2021年肺癌新药,五大肺癌突变靶点十大肺癌靶向药物成为突破性肺癌新疗法

肺癌2021-08-05
2021年肺癌新药,五大肺癌突变靶点十大肺癌靶向药物成为突破性肺癌新疗法

肺癌KRAS突变靶向药,KRAS G12C抑制剂Sotorasib(Lumakras、AMG-510)使患者肿瘤缩小50%,国产KRAS G12C抑制剂D-1553临床试验招募正

肺癌2021-08-04
肺癌KRAS突变靶向药,KRAS G12C抑制剂Sotorasib(Lumakras、AMG-510)使患者肿瘤缩小50%,国产KRAS G12C抑制剂D-1553临床试验招募正

非小细胞肺癌免疫治疗,只要五道题就能告诉您非小细胞肺癌免疫(PD-1/PD-L1)抑制剂什么时候用最合适

肺癌2021-07-28
非小细胞肺癌免疫治疗,只要五道题就能告诉您非小细胞肺癌免疫(PD-1/PD-L1)抑制剂什么时候用最合适

肺癌脑转移治疗,肺癌脑转移怎么办,肺癌脑转移不等于死亡通知书,选对方案或许连放疗都不用做

肺癌2021-07-27
肺癌脑转移治疗,肺癌脑转移怎么办,肺癌脑转移不等于死亡通知书,选对方案或许连放疗都不用做

非小细胞肺癌七大靶点,KRAS G12C、EGFR外显子20插入突变(ex20ins)、EGFR敏感突变、ALK、RET、MET外显子14跳跃突变(MET ex14)及免

肺癌2021-07-27
非小细胞肺癌七大靶点,KRAS G12C、EGFR外显子20插入突变(ex20ins)、EGFR敏感突变、ALK、RET、MET外显子14跳跃突变(MET ex14)及免

肺癌靶向治疗,肺癌靶向药物有哪些,肺癌基因突变靶点NTRK、EGFR、MET、KRAS一网打尽,肺癌靶向药物临床试验招募进行中

肺癌2021-07-27
肺癌靶向治疗,肺癌靶向药物有哪些,肺癌基因突变靶点NTRK、EGFR、MET、KRAS一网打尽,肺癌靶向药物临床试验招募进行中

肺癌脑转移靶向药有哪些.肺癌脑转移治疗有新药了

肺癌2021-07-27
肺癌脑转移靶向药有哪些.肺癌脑转移治疗有新药了

肺癌化疗和免疫治疗耐药怎么办,两款肺癌靶向药物Selpercatinib和Pralsetinib力挽狂澜

肺癌2021-07-23
肺癌化疗和免疫治疗耐药怎么办,两款肺癌靶向药物Selpercatinib和Pralsetinib力挽狂澜

两大ROS1基因突变靶向药TPX-0005(Repotrectinib、瑞波替尼)和Taletrectinib(DS-6051b/AB-106),为ROS1阳性肺癌患者迎来春天

肺癌2021-07-22
两大ROS1基因突变靶向药TPX-0005(Repotrectinib、瑞波替尼)和Taletrectinib(DS-6051b/AB-106),为ROS1阳性肺癌患者迎来春天

MET抑制剂,MET是什么意思,肺癌MET异常怎么治疗,MET靶向药物临床试验招募进行中

肺癌2021-07-21
MET抑制剂,MET是什么意思,肺癌MET异常怎么治疗,MET靶向药物临床试验招募进行中

肺癌KRAS G12C抑制剂Sotorasib(Lumakras、AMG-510)让患者找回抗癌的希望

肺癌2021-07-19
肺癌KRAS G12C抑制剂Sotorasib(Lumakras、AMG-510)让患者找回抗癌的希望

小细胞肺癌免疫治疗,中国药监局(NMPA)批准德瓦鲁单抗(I药)作为小细胞肺癌一线治疗方案上市

肺癌2021-07-19
小细胞肺癌免疫治疗,中国药监局(NMPA)批准德瓦鲁单抗(I药)作为小细胞肺癌一线治疗方案上市

北京放疗医院,北京丰台右安门医院申戈主任讲解什么是肺癌放疗,肺癌放疗有哪些分类

肺癌2021-07-16
北京放疗医院,北京丰台右安门医院申戈主任讲解什么是肺癌放疗,肺癌放疗有哪些分类

非小细胞肺癌序贯治疗,EGFR抑制剂让患者仍然有生存下去的希望

肺癌2021-07-16
非小细胞肺癌序贯治疗,EGFR抑制剂让患者仍然有生存下去的希望

肺癌脑转移治疗,肺癌脑转移新药新技术帮助肺癌患者克服脑转移

肺癌2021-07-16
肺癌脑转移治疗,肺癌脑转移新药新技术帮助肺癌患者克服脑转移

数十万肺癌患者期待的MET抑制剂,带来数倍的疗效提升

肺癌2021-07-15
数十万肺癌患者期待的MET抑制剂,带来数倍的疗效提升

KRAS基因突变是什么意思,KRAS突变靶向药物有哪些,KRAS临床试验招募

肺癌2021-07-13
KRAS基因突变是什么意思,KRAS突变靶向药物有哪些,KRAS临床试验招募

肺癌不想化疗怎么办,肺癌靶向治疗和肺癌免疫治疗让肺癌逐步成为慢性病

肺癌2021-07-12
肺癌不想化疗怎么办,肺癌靶向治疗和肺癌免疫治疗让肺癌逐步成为慢性病

复发率高达55%的肺癌如何预防复发,6个方法降低肺癌复发风险

肺癌2021-07-05
复发率高达55%的肺癌如何预防复发,6个方法降低肺癌复发风险

肺癌治疗成功案例:TILs细胞免疫疗法给肺癌患者带来新希望

肺癌2021-07-05
肺癌治疗成功案例:TILs细胞免疫疗法给肺癌患者带来新希望

肺癌免疫治疗(PD1)耐药后怎么办,TILs细胞免疫疗法有望破解PD-1耐药难题

肺癌2021-07-05
肺癌免疫治疗(PD1)耐药后怎么办,TILs细胞免疫疗法有望破解PD-1耐药难题

全球首款KRAS靶向药物,Kras G12C抑制剂Sotorasib(Lumakras中文名索托拉西布)获批上市

肺癌2021-07-02
全球首款KRAS靶向药物,Kras G12C抑制剂Sotorasib(Lumakras中文名索托拉西布)获批上市

中国国产第三代EGFR抑制剂伏美替尼(艾氟替尼)EGFR T790M突变阳性获批上市,EGFR ex20ins突变临床试验招募正在进行中

肺癌2021-07-02
中国国产第三代EGFR抑制剂伏美替尼(艾氟替尼)EGFR T790M突变阳性获批上市,EGFR ex20ins突变临床试验招募正在进行中

2021年非小细胞肺癌CSCO指南(患者版),非小细胞肺癌靶向治疗方案及靶点解读

肺癌2021-07-01
2021年非小细胞肺癌CSCO指南(患者版),非小细胞肺癌靶向治疗方案及靶点解读

肺癌术后预防复发,肺癌如何预防复发,肺癌怎么样预防复发,这五点至关重要

肺癌2021-07-01
肺癌术后预防复发,肺癌如何预防复发,肺癌怎么样预防复发,这五点至关重要

肺癌手术后如何提高免疫力,肺癌手术后怎么提高免疫力,肺癌手术后怎样提高免疫力

肺癌2021-06-29
肺癌手术后如何提高免疫力,肺癌手术后怎么提高免疫力,肺癌手术后怎样提高免疫力

非小细胞肺癌Kras G12C抑制剂Adagrasib(MRTX849)抑制剂获得突破性指定

肺癌2021-06-29
非小细胞肺癌Kras G12C抑制剂Adagrasib(MRTX849)抑制剂获得突破性指定

肺癌益生菌补充剂,益生菌食品,补充益生菌的食物、含有益生菌的食品食物有哪些,放化疗不能吃什么

肺癌2021-06-28
肺癌益生菌补充剂,益生菌食品,补充益生菌的食物、含有益生菌的食品食物有哪些,放化疗不能吃什么

肺癌四期还有救吗,肺癌4期怎么治疗,肺癌Ⅳ期只能等死吗,不,肿瘤TIL疗法可以帮患者延长生存期

肺癌2021-06-25
肺癌四期还有救吗,肺癌4期怎么治疗,肺癌Ⅳ期只能等死吗,不,肿瘤TIL疗法可以帮患者延长生存期

中国首款MET抑制剂,MET靶向药物赛沃替尼片(曾用名:沃利替尼片)获批上市

肺癌2021-06-25
中国首款MET抑制剂,MET靶向药物赛沃替尼片(曾用名:沃利替尼片)获批上市

肺癌精准治疗,新型抗癌药拉罗替尼(Vitrakvi)让四期肺癌患者成功摆脱癌症

肺癌2021-06-25
肺癌精准治疗,新型抗癌药拉罗替尼(Vitrakvi)让四期肺癌患者成功摆脱癌症

中国首款MET抑制剂(MET靶向药物)沃利替尼获批上市,用于治疗MET外显子14跳跃突变阳性的局部晚期或转移性非小细胞肺癌患者

肺癌2021-06-24
中国首款MET抑制剂(MET靶向药物)沃利替尼获批上市,用于治疗MET外显子14跳跃突变阳性的局部晚期或转移性非小细胞肺癌患者

PD-1抑制剂替雷利珠单抗(百泽安、Tislelizumab,BGB-A317)适应症达到了非驱动基因突变的非小细胞肺癌一线治疗适应症全覆盖

肺癌2021-06-24
PD-1抑制剂替雷利珠单抗(百泽安、Tislelizumab,BGB-A317)适应症达到了非驱动基因突变的非小细胞肺癌一线治疗适应症全覆盖

小细胞肺癌靶向治疗效果怎么样,AMG757疗效疾病控制率37%

肺癌2021-06-23
小细胞肺癌靶向治疗效果怎么样,AMG757疗效疾病控制率37%

快速十问十答!让患者读懂癌症诊疗指南,告诉患者非小细胞肺癌治疗方案怎么选

肺癌2021-06-23
快速十问十答!让患者读懂癌症诊疗指南,告诉患者非小细胞肺癌治疗方案怎么选

2021年V5版非小细胞肺癌NCCN指南,非小细胞肺癌靶向治疗方案和非小细胞肺癌免疫治疗方案新鲜出炉

肺癌2021-06-23
2021年V5版非小细胞肺癌NCCN指南,非小细胞肺癌靶向治疗方案和非小细胞肺癌免疫治疗方案新鲜出炉

常见的非小细胞肺癌靶向药物有哪些

肺癌2021-06-21
常见的非小细胞肺癌靶向药物有哪些

靶向PD-L1靶点的PD-L1-CAR-T细胞免疫疗法为85%的非小细胞肺癌患者带来新希望

肺癌2021-06-16
靶向PD-L1靶点的PD-L1-CAR-T细胞免疫疗法为85%的非小细胞肺癌患者带来新希望

肺癌饮食营养,肺癌病人吃什么好,肺癌患者需要补充哪些营养,肺癌治疗副作用的处理方法

肺癌2021-06-16
肺癌饮食营养,肺癌病人吃什么好,肺癌患者需要补充哪些营养,肺癌治疗副作用的处理方法

2021年ASCO大会|十大非小细胞肺癌靶点,非小细胞肺癌靶向治疗及靶向药物最新进展、最新消息、最新信息成果纵览

肺癌2021-06-15
2021年ASCO大会|十大非小细胞肺癌靶点,非小细胞肺癌靶向治疗及靶向药物最新进展、最新消息、最新信息成果纵览

非小细胞肺癌RET抑制剂,RET靶向药Selpercatinib(塞尔帕替尼)后线方案的疗效竟比前线方案还好

肺癌2021-06-15
非小细胞肺癌RET抑制剂,RET靶向药Selpercatinib(塞尔帕替尼)后线方案的疗效竟比前线方案还好

Kras G12C抑制剂Sotorasib(索托拉西)可以有效对抗肺癌Kras基因突变

肺癌2021-06-15
Kras G12C抑制剂Sotorasib(索托拉西)可以有效对抗肺癌Kras基因突变

局部晚期非小细胞肺癌质子治疗,有助于降低LA-NSCLC患者的心脏病风险

肺癌2021-06-11
局部晚期非小细胞肺癌质子治疗,有助于降低LA-NSCLC患者的心脏病风险

87%的肿瘤患者营养不良,肺癌患者病人怎么吃,肺癌病人患者吃什么好,肺癌患者饮食原则

肺癌2021-06-11
87%的肿瘤患者营养不良,肺癌患者病人怎么吃,肺癌病人患者吃什么好,肺癌患者饮食原则

2021年ASCO大会:第三代国产EGFR抑制剂阿美替尼治疗效果超越吉非替尼,冲击非小细胞肺癌一线治疗

肺癌2021-06-08
2021年ASCO大会:第三代国产EGFR抑制剂阿美替尼治疗效果超越吉非替尼,冲击非小细胞肺癌一线治疗

靶向肺癌EGFR外显子20插入(ex20ins)突变的EGFR抑制剂Mobocertinib(TAK-788)最新数据公开

肺癌2021-06-08
靶向肺癌EGFR外显子20插入(ex20ins)突变的EGFR抑制剂Mobocertinib(TAK-788)最新数据公开

美国著名癌症医院及九位著名美国肺癌专家最擅长的领域盘点

肺癌2021-06-07
美国著名癌症医院及九位著名美国肺癌专家最擅长的领域盘点

2021年ASCO会议即将开幕,肺癌治疗最新进展、最新消息、最新信息、最新研究抢先看

肺癌2021-06-07
2021年ASCO会议即将开幕,肺癌治疗最新进展、最新消息、最新信息、最新研究抢先看

速递|国产肿瘤免疫治疗药物达伯舒(信迪利单抗、Sintilimab、TYVYT)被中国国家药品监督管理局(NMPA)批准用于各类晚期非小细胞肺鳞

肺癌2021-06-07
速递|国产肿瘤免疫治疗药物达伯舒(信迪利单抗、Sintilimab、TYVYT)被中国国家药品监督管理局(NMPA)批准用于各类晚期非小细胞肺鳞

什么是免疫治疗,免疫疗法可以治疗哪些肿瘤,FDA批准的非小细胞肺癌免疫治疗你了解多少

肺癌2021-06-03
什么是免疫治疗,免疫疗法可以治疗哪些肿瘤,FDA批准的非小细胞肺癌免疫治疗你了解多少

中国首位肺癌脑转移患者成功入组电场疗法,更多肿瘤电场治疗临床试验招募进行中

肺癌2021-05-26
中国首位肺癌脑转移患者成功入组电场疗法,更多肿瘤电场治疗临床试验招募进行中

非小细胞肺癌新药,靶向EGFR20外显子插入突变的EGFR靶向药JNJ6372(Rybrevant、Amivantamab-vmjw)获FDA批准上市

肺癌2021-05-25
非小细胞肺癌新药,靶向EGFR20外显子插入突变的EGFR靶向药JNJ6372(Rybrevant、Amivantamab-vmjw)获FDA批准上市

不抽烟也会得肺癌吗,贝壳创始人左晖为什么不吸烟也会得肺癌

肺癌2021-05-24
不抽烟也会得肺癌吗,贝壳创始人左晖为什么不吸烟也会得肺癌

晚期肺癌没有基因突变,不想化疗,TIL免疫治疗给晚期转移性肺癌患者带来新的选择

肺癌2021-05-24
晚期肺癌没有基因突变,不想化疗,TIL免疫治疗给晚期转移性肺癌患者带来新的选择

非小细胞肺癌新药,FDA重磅宣布非小细胞肺癌EGFR20外显子插入突变的EGFR靶向药JNJ6372(Rybrevant、Amivantamab-vmjw)获批上市

肺癌2021-05-24
非小细胞肺癌新药,FDA重磅宣布非小细胞肺癌EGFR20外显子插入突变的EGFR靶向药JNJ6372(Rybrevant、Amivantamab-vmjw)获批上市

2021年非小细胞肺癌CSCO指南,非小细胞肺癌最新治疗方案

肺癌2021-05-21
2021年非小细胞肺癌CSCO指南,非小细胞肺癌最新治疗方案

FDA已经开始对信达生物的信迪利单抗联合培美曲塞及铂类化疗作为非鳞非小细胞肺癌一线治疗方案的审查

肺癌2021-05-20
FDA已经开始对信达生物的信迪利单抗联合培美曲塞及铂类化疗作为非鳞非小细胞肺癌一线治疗方案的审查

2021年肺癌新药,抗肺癌新药有哪些,肺癌最新药物汇总

肺癌2021-05-19
2021年肺癌新药,抗肺癌新药有哪些,肺癌最新药物汇总

晚期肺癌用PD-1无效怎么办,广谱抗癌药Vitrakvi(larotrectinib、拉罗替尼)迅速清退肿瘤

肺癌2021-05-19
晚期肺癌用PD-1无效怎么办,广谱抗癌药Vitrakvi(larotrectinib、拉罗替尼)迅速清退肿瘤

肿瘤浸润淋巴细胞疗法冲击非小细胞肺癌二线治疗方案

肺癌2021-05-14
肿瘤浸润淋巴细胞疗法冲击非小细胞肺癌二线治疗方案

非小细胞肺癌靶向治疗,非小细胞肺癌靶向药物为最难治的这部分非小细胞肺癌患者提供了"特效药"

肺癌2021-05-12
非小细胞肺癌靶向治疗,非小细胞肺癌靶向药物为最难治的这部分非小细胞肺癌患者提供了"特效药"

2021年非小细胞肺癌临床试验有哪些及非小细胞肺癌分类类型、靶向治疗

肺癌2021-05-11
2021年非小细胞肺癌临床试验有哪些及非小细胞肺癌分类类型、靶向治疗

肺癌质子放疗,肺癌质子治疗的优势和好处,肺癌质子治疗适应症

肺癌2021-05-10
肺癌质子放疗,肺癌质子治疗的优势和好处,肺癌质子治疗适应症

2021年最新20款肺癌靶向新药物临床试验招募,肺癌免费用药免费治疗为晚期患者带来长生存希望

肺癌2021-05-07
2021年最新20款肺癌靶向新药物临床试验招募,肺癌免费用药免费治疗为晚期患者带来长生存希望

速递|肺癌新药,非小细胞肺癌EGFR20外显子插入突变(ex20ins)靶向药Mobocertinib(TAK788)获优先审查资格

肺癌2021-04-30
速递|肺癌新药,非小细胞肺癌EGFR20外显子插入突变(ex20ins)靶向药Mobocertinib(TAK788)获优先审查资格

晚期肺癌PD1耐药后怎么办,PD-1耐药后肿瘤TIL疗法持续发力实体瘤

肺癌2021-04-26
晚期肺癌PD1耐药后怎么办,PD-1耐药后肿瘤TIL疗法持续发力实体瘤

肿瘤生物细胞免疫疗法让肺癌患者重获新生

肺癌2021-04-21
肿瘤生物细胞免疫疗法让肺癌患者重获新生

6大肺癌靶点,多款非小细胞肺癌药物临床试验招募进行中

肺癌2021-04-21
6大肺癌靶点,多款非小细胞肺癌药物临床试验招募进行中

速递|中国国家药监局批准奥希替尼新适应症作为EGFR19外显子缺失或外显子21突变的早期术后非小细胞肺癌辅助治疗药物上市

肺癌2021-04-16
速递|中国国家药监局批准奥希替尼新适应症作为EGFR19外显子缺失或外显子21突变的早期术后非小细胞肺癌辅助治疗药物上市

肺癌电场疗法,抗癌"黑科技"电场治疗肺癌

肺癌2021-04-16
肺癌电场疗法,抗癌"黑科技"电场治疗肺癌

新型c-MET靶点突变抗体偶联ADC药物Telisotuzumab Vedotin(ABBV-399)最新研究数据经治患者缓解率最高53.8%

肺癌2021-04-15
新型c-MET靶点突变抗体偶联ADC药物Telisotuzumab Vedotin(ABBV-399)最新研究数据经治患者缓解率最高53.8%

肺癌新药,中国国产第三代egfr抑制剂靶向药D-0316疾病控制率95.2%

肺癌2021-04-14
肺癌新药,中国国产第三代egfr抑制剂靶向药D-0316疾病控制率95.2%

2021年4月15日第27届全国肿瘤防治宣传周第三弹,北京大学肿瘤医院胸部肿瘤内一科赵军主任聊聊肺基因检测和肺癌靶向治疗那些事儿

肺癌2021-04-13
2021年4月15日第27届全国肿瘤防治宣传周第三弹,北京大学肿瘤医院胸部肿瘤内一科赵军主任聊聊肺基因检测和肺癌靶向治疗那些事儿

非小细胞肺癌免疫治疗联合化疗,纳武利尤单抗联合化疗助力非小细胞肺癌治疗

肺癌2021-04-13
非小细胞肺癌免疫治疗联合化疗,纳武利尤单抗联合化疗助力非小细胞肺癌治疗

质子治疗肺癌的优势,质子放射治疗肺癌已被证明在特发性肺纤维化IPF患者中治疗是安全的

肺癌2021-04-13
质子治疗肺癌的优势,质子放射治疗肺癌已被证明在特发性肺纤维化IPF患者中治疗是安全的

小细胞肺癌化疗、小细胞肺癌靶向治疗、小细胞肺癌免疫治疗三点开花,精准治疗点燃希望的火种

肺癌2021-04-09
小细胞肺癌化疗、小细胞肺癌靶向治疗、小细胞肺癌免疫治疗三点开花,精准治疗点燃希望的火种

非小细胞肺癌新药波齐替尼(Poziotinib)两种不同量用药方案论证临床试验安全性和临床试验的意义

肺癌2021-04-07
非小细胞肺癌新药波齐替尼(Poziotinib)两种不同量用药方案论证临床试验安全性和临床试验的意义

肺癌RET突变靶向药,三项重磅RET靶向药研究,见证RET非小细胞肺癌疗效的巨大变革

肺癌2021-03-31
肺癌RET突变靶向药,三项重磅RET靶向药研究,见证RET非小细胞肺癌疗效的巨大变革

非小细胞肺癌新药,非小细胞肺癌EGFR抑制剂,EGFR难治亚型EGFR20外显子插入突变即将迎来新药

肺癌2021-03-31
非小细胞肺癌新药,非小细胞肺癌EGFR抑制剂,EGFR难治亚型EGFR20外显子插入突变即将迎来新药

肺癌放疗选择质子治疗的优势是更精确、辐射少、心脏病发生风险小

肺癌2021-03-31
肺癌放疗选择质子治疗的优势是更精确、辐射少、心脏病发生风险小

非小细胞肺癌双免疫治疗"O药联合Y药"最新研究结果公开

肺癌2021-03-29
非小细胞肺癌双免疫治疗"O药联合Y药"最新研究结果公开

肺癌新Kras靶向药物MRTX849(Adagrasib)公开疗效数据

肺癌2021-03-29
肺癌新Kras靶向药物MRTX849(Adagrasib)公开疗效数据

肺癌脑转移怎么办,肺癌脑转移怎么治疗,肺癌脑转移如何治疗,肺癌脑转移靶向药,治疗肺癌脑转移的药物

肺癌2021-03-26
肺癌脑转移怎么办,肺癌脑转移怎么治疗,肺癌脑转移如何治疗,肺癌脑转移靶向药,治疗肺癌脑转移的药物

喜讯!国内首款RET抑制剂,RET靶向药普拉替尼(Pralsetinib)获批上市

肺癌2021-03-26
喜讯!国内首款RET抑制剂,RET靶向药普拉替尼(Pralsetinib)获批上市

肺癌热门临床新药

肺癌2021-03-24
肺癌热门临床新药

小细胞肺癌没有基因突变没有靶向药可以用怎么办?小细胞肺癌新药新疗法,小细胞肺癌化疗药和小细胞肺癌PD1免疫治疗"力挽狂澜"

肺癌2021-03-22
小细胞肺癌没有基因突变没有靶向药可以用怎么办?小细胞肺癌新药新疗法,小细胞肺癌化疗药和小细胞肺癌PD1免疫治疗"力挽狂澜"

NTRK靶向药Vitrakvi(larotrectinib、拉罗替尼)为肺癌患者带来长生存希望

肺癌2021-03-18
NTRK靶向药Vitrakvi(larotrectinib、拉罗替尼)为肺癌患者带来长生存希望

第三代EGFR抑制剂奥希替尼3项重磅研究领读及肺癌临床试验招募信息

肺癌2021-03-17
第三代EGFR抑制剂奥希替尼3项重磅研究领读及肺癌临床试验招募信息

肺癌脑转移放疗,质子治疗肺癌脑转移更具优势

肺癌2021-03-17
肺癌脑转移放疗,质子治疗肺癌脑转移更具优势

直播预告|非小细胞肺癌最新消息、最新进展与最新研究方向

肺癌2021-03-16
直播预告|非小细胞肺癌最新消息、最新进展与最新研究方向

4款EGFR20外显子插入突变肺癌新药,肺癌靶向新药,新肺癌靶向药物打破"难治"困境

肺癌2021-03-11
4款EGFR20外显子插入突变肺癌新药,肺癌靶向新药,新肺癌靶向药物打破"难治"困境

肿瘤浸润的淋巴细胞TIL疗法治疗肺癌大获成功,中国超级TIL成功研发

肺癌2021-03-11
肿瘤浸润的淋巴细胞TIL疗法治疗肺癌大获成功,中国超级TIL成功研发

直播预告|山东淄博万杰肿瘤医院张建光主任深入解读肺癌质子治疗适应症等肺癌质子治疗方案

肺癌2021-03-09
直播预告|山东淄博万杰肿瘤医院张建光主任深入解读肺癌质子治疗适应症等肺癌质子治疗方案

肺癌不化疗,非小细胞肺癌免疫治疗最新进展纵览

肺癌2021-03-08
肺癌不化疗,非小细胞肺癌免疫治疗最新进展纵览

FDA批准第三代ALK基因突变靶向药物劳拉替尼(Lorbrena)用于非小细胞肺癌一线治疗

肺癌2021-03-05
FDA批准第三代ALK基因突变靶向药物劳拉替尼(Lorbrena)用于非小细胞肺癌一线治疗

第三代ALK基因突变靶向药物劳拉替尼(Lorbrena、Lorlatinib)获得FDA批准用于非小细胞肺癌一线治疗

肺癌2021-03-05
第三代ALK基因突变靶向药物劳拉替尼(Lorbrena、Lorlatinib)获得FDA批准用于非小细胞肺癌一线治疗

非小细胞肺癌基因突变及对应的非小细胞肺癌靶向药物速查手册

肺癌2021-03-04
非小细胞肺癌基因突变及对应的非小细胞肺癌靶向药物速查手册

肺癌新药,肺癌靶向新药,肺癌免疫(PD-1)新药

肺癌2021-02-26
肺癌新药,肺癌靶向新药,肺癌免疫(PD-1)新药

2021年五款抗肺癌新药,肺癌最新药物,治疗肺癌的最新药物重磅登场

肺癌2021-02-26
2021年五款抗肺癌新药,肺癌最新药物,治疗肺癌的最新药物重磅登场

ALK阳性肺癌靶向药物,肺癌ALK阳性靶向药,肺癌ALK基因突变靶向药物克唑替尼不负众望

肺癌2021-02-24
ALK阳性肺癌靶向药物,肺癌ALK阳性靶向药,肺癌ALK基因突变靶向药物克唑替尼不负众望

肺癌脑转移怎么治疗,肺癌脑转移怎么办,肺癌脑转移药物,肺癌脑转移的治疗,肺癌脑转移如何治疗

肺癌2021-02-24
肺癌脑转移怎么治疗,肺癌脑转移怎么办,肺癌脑转移药物,肺癌脑转移的治疗,肺癌脑转移如何治疗

速递|肺癌免疫治疗药物Cemiplimab(Libtayo、西米普利单抗)获得FDA批准用于肺癌一线治疗方案

肺癌2021-02-24
速递|肺癌免疫治疗药物Cemiplimab(Libtayo、西米普利单抗)获得FDA批准用于肺癌一线治疗方案

非小细胞肺癌新药,第五款非小细胞肺癌PD1免疫疗法治疗药物Cemiplimab(Libtayo、西米普利单抗)获批一线

肺癌2021-02-24
非小细胞肺癌新药,第五款非小细胞肺癌PD1免疫疗法治疗药物Cemiplimab(Libtayo、西米普利单抗)获批一线

EGFR基因突变肺癌靶向药耐药治疗患者首选T790M突变靶向药奥希替尼

肺癌2021-02-23
EGFR基因突变肺癌靶向药耐药治疗患者首选T790M突变靶向药奥希替尼

两款肺癌c-MET抑制剂,酪氨酸激酶受体抑制剂沃利替尼和Bozitinib(伯瑞替尼)为患者带来数倍的疗效提升

肺癌2021-02-23
两款肺癌c-MET抑制剂,酪氨酸激酶受体抑制剂沃利替尼和Bozitinib(伯瑞替尼)为患者带来数倍的疗效提升

肺癌双免疫治疗、免疫联合化疗治疗肺癌、免疫联合抗血管生成治疗肺癌、免疫联合抗血管生成再联合化疗等联合疗法打破肺癌PD-L1低

肺癌2021-02-22
肺癌双免疫治疗、免疫联合化疗治疗肺癌、免疫联合抗血管生成治疗肺癌、免疫联合抗血管生成再联合化疗等联合疗法打破肺癌PD-L1低

肺癌免疫疗法,第五款肺癌免疫(PD1)治疗药物,肺癌免疫抑制剂Cemiplimab(Libtayo)即将上市

肺癌2021-02-20
肺癌免疫疗法,第五款肺癌免疫(PD1)治疗药物,肺癌免疫抑制剂Cemiplimab(Libtayo)即将上市

速递|非小细胞肺癌Kras突变靶向药,KRAS G12C抑制剂Sotorasib(AMG510)接受FDA优先审查

肺癌2021-02-19
速递|非小细胞肺癌Kras突变靶向药,KRAS G12C抑制剂Sotorasib(AMG510)接受FDA优先审查

肺癌放疗,质子治疗成为晚期肺癌患者的新选择,接受36天质子治疗,让他再次感受轻松呼吸

肺癌2021-02-19
肺癌放疗,质子治疗成为晚期肺癌患者的新选择,接受36天质子治疗,让他再次感受轻松呼吸

癌症肿瘤联合治疗,靶向联合化疗和抗血管生成等多款联合疗法冲击肺癌治疗一线方案

肺癌2021-02-18
癌症肿瘤联合治疗,靶向联合化疗和抗血管生成等多款联合疗法冲击肺癌治疗一线方案

HER2抑制剂,七款非小细胞肺癌HER2靶向药历时九年,缓解率终于达成了从13%到62%的飞跃

肺癌2021-02-18
HER2抑制剂,七款非小细胞肺癌HER2靶向药历时九年,缓解率终于达成了从13%到62%的飞跃

晚期肺癌全身转移、全身多处转移靶向药治疗让患者带瘤生存16年

肺癌2021-02-18
晚期肺癌全身转移、全身多处转移靶向药治疗让患者带瘤生存16年

肺癌HER2突变靶向药,抗体-药物偶联ADC药物Enhertu(DS-8201,fam-trastuzumab Deruxtecan-nxki)再次取得突破

肺癌2021-02-08
肺癌HER2突变靶向药,抗体-药物偶联ADC药物Enhertu(DS-8201,fam-trastuzumab Deruxtecan-nxki)再次取得突破

肺癌ALK靶向药物,肺癌ALK抑制剂,劳拉替尼进军肺癌一线治疗,即将上市

肺癌2021-02-07
肺癌ALK靶向药物,肺癌ALK抑制剂,劳拉替尼进军肺癌一线治疗,即将上市

基因小课|肺癌最重要的靶向标志物酪氨酸激酶受体EGFR突变,EGFR基因突变,EGFR突变基因

肺癌2021-02-07
基因小课|肺癌最重要的靶向标志物酪氨酸激酶受体EGFR突变,EGFR基因突变,EGFR突变基因

2021年"癌"在脚下-肺癌新药,肺癌多学科会诊费用多少钱?肺癌国际专家会诊(方舟计划)活动价格优惠

肺癌2021-02-05
2021年"癌"在脚下-肺癌新药,肺癌多学科会诊费用多少钱?肺癌国际专家会诊(方舟计划)活动价格优惠

速递|FDA加速批准肺癌新药Tepmetko(特普替尼)上市

肺癌2021-02-05
速递|FDA加速批准肺癌新药Tepmetko(特普替尼)上市

2021年2月4日世界肺癌日义诊|中日医院联合和睦家医院举办肺结节,肺癌多学科会诊大型爱心义诊活动

肺癌2021-02-04
2021年2月4日世界肺癌日义诊|中日医院联合和睦家医院举办肺结节,肺癌多学科会诊大型爱心义诊活动

肺癌奥希替尼耐药怎么办,靶向药奥希替尼耐药后怎么办

肺癌2021-02-03
肺癌奥希替尼耐药怎么办,靶向药奥希替尼耐药后怎么办

世界肺癌大会(WCLC)|两大国产抗癌药物、12项研究结果公开,中国肺癌患者生存获益全面提升

肺癌2021-02-02
世界肺癌大会(WCLC)|两大国产抗癌药物、12项研究结果公开,中国肺癌患者生存获益全面提升

小细胞肺癌免疫联合化疗改写小细胞肺癌维持治疗患者的生存期

肺癌2021-02-02
小细胞肺癌免疫联合化疗改写小细胞肺癌维持治疗患者的生存期

肺癌脑转移怎么治疗,小细胞肺癌脑转移治疗,非小细胞肺癌脑转移治疗,肺癌脑转移治疗方案

肺癌2021-02-01
肺癌脑转移怎么治疗,小细胞肺癌脑转移治疗,非小细胞肺癌脑转移治疗,肺癌脑转移治疗方案

肺癌脑转移怎么治疗,肺癌脑转移靶向治疗,肺癌脑转移靶向药新药帮助患者脑部病灶完全消失

肺癌2021-01-29
肺癌脑转移怎么治疗,肺癌脑转移靶向治疗,肺癌脑转移靶向药新药帮助患者脑部病灶完全消失

肺癌的综合治疗,肺癌治疗根治性手术是第一原则,肺癌综合治疗可延长生存期

肺癌2021-01-28
肺癌的综合治疗,肺癌治疗根治性手术是第一原则,肺癌综合治疗可延长生存期

WCLC前瞻|2021年世界肺癌大会(WCLC)第二代NTRK抑制剂TPX-0005初步结果公开,缓解率91%、无进展生存24.6个月

肺癌2021-01-27
WCLC前瞻|2021年世界肺癌大会(WCLC)第二代NTRK抑制剂TPX-0005初步结果公开,缓解率91%、无进展生存24.6个月

WCLC前瞻|2021年世界肺癌大会(WCLC)肺癌酪氨酸激酶受体(MET、C-MET)抑制剂和肺癌临床试验给患者带来全新的希望

肺癌2021-01-27
WCLC前瞻|2021年世界肺癌大会(WCLC)肺癌酪氨酸激酶受体(MET、C-MET)抑制剂和肺癌临床试验给患者带来全新的希望

肺癌NTRK融合基因,NTRK融合突变靶向药Vitrakvi(Larotrectinib、拉罗替尼)让患者三年无癌

肺癌2021-01-27
肺癌NTRK融合基因,NTRK融合突变靶向药Vitrakvi(Larotrectinib、拉罗替尼)让患者三年无癌

WCLC前瞻|世界肺癌大会(WCLC)EGFR外显子20插入突变(EGFR ex20ins)型患者即将迎来新药

肺癌2021-01-26
WCLC前瞻|世界肺癌大会(WCLC)EGFR外显子20插入突变(EGFR ex20ins)型患者即将迎来新药

WCLC前瞻|世界肺癌大会(WCLC)Pralsetinib(Gavreto)治疗中国患者最新疗效公开

肺癌2021-01-26
WCLC前瞻|世界肺癌大会(WCLC)Pralsetinib(Gavreto)治疗中国患者最新疗效公开

肺癌EGFR耐药怎么办,MET抑制剂,MET靶向药物"明星"闪亮登场,打破肺癌患者EGFR突变耐药困境

肺癌2021-01-25
肺癌EGFR耐药怎么办,MET抑制剂,MET靶向药物"明星"闪亮登场,打破肺癌患者EGFR突变耐药困境

直播预告|肺癌治疗新进展详析及肺癌临床试验

肺癌2021-01-21
直播预告|肺癌治疗新进展详析及肺癌临床试验

2021年进入医保的肺癌靶向药有哪些,肺癌医保靶向药最近加入7款,肺癌靶向药医保降幅60%

肺癌2021-01-20
2021年进入医保的肺癌靶向药有哪些,肺癌医保靶向药最近加入7款,肺癌靶向药医保降幅60%

国产免疫治疗药物,两款国产肺癌免疫治疗药物进军一线肺癌免疫治疗方案

肺癌2021-01-18
国产免疫治疗药物,两款国产肺癌免疫治疗药物进军一线肺癌免疫治疗方案

速递|肺鳞癌免疫治疗药物替雷利珠单抗(百泽安、Tislelizumab、BGB-A317)在中国获批肺鳞癌一线治疗方案

肺癌2021-01-18
速递|肺鳞癌免疫治疗药物替雷利珠单抗(百泽安、Tislelizumab、BGB-A317)在中国获批肺鳞癌一线治疗方案

速递|肺鳞癌免疫治疗,国产肺鳞癌免疫治疗药物信迪利单抗(达伯舒、Sintilimab、TYVYT)冲击肺鳞癌二线治疗方案

肺癌2021-01-18
速递|肺鳞癌免疫治疗,国产肺鳞癌免疫治疗药物信迪利单抗(达伯舒、Sintilimab、TYVYT)冲击肺鳞癌二线治疗方案

直播预告|肺癌新药及肺癌临床试验招募

肺癌2021-01-14
直播预告|肺癌新药及肺癌临床试验招募

直播预告|近70%的肺癌患者需要精准放疗,如何肺癌精准放疗技术?望周知!

肺癌2021-01-11
直播预告|近70%的肺癌患者需要精准放疗,如何肺癌精准放疗技术?望周知!

双免疫联合疗法治疗,FDA指定新双免疫疗法作为新的非小细胞肺癌治疗方案

肺癌2021-01-08
双免疫联合疗法治疗,FDA指定新双免疫疗法作为新的非小细胞肺癌治疗方案

新型肺癌疫苗Tedopi疫苗(Atalante 1)Ⅲ期临床试验数据公布,竟能破解PD-1耐药

肺癌2021-01-08
新型肺癌疫苗Tedopi疫苗(Atalante 1)Ⅲ期临床试验数据公布,竟能破解PD-1耐药

两款肺癌新药申请欧盟上市,肺癌新靶点治疗肺癌的最新药物井喷涌现,治疗肺癌的新药让"无药可用"有望成为历史

肺癌2021-01-06
两款肺癌新药申请欧盟上市,肺癌新靶点治疗肺癌的最新药物井喷涌现,治疗肺癌的新药让"无药可用"有望成为历史

肺癌脑转移怎么治疗,肺癌新药Vitrakvi(拉罗替尼)挑战转移性非小细胞肺癌一线治疗方案

肺癌2021-01-06
肺癌脑转移怎么治疗,肺癌新药Vitrakvi(拉罗替尼)挑战转移性非小细胞肺癌一线治疗方案

纳武单抗和ROVA-T效果不佳,小细胞肺癌怎么治疗

肺癌2021-01-04
纳武单抗和ROVA-T效果不佳,小细胞肺癌怎么治疗

肺癌新药,国产肺癌罕见基因突变新靶向药TAK-788(Mobocertinib)重磅来袭

肺癌2020-12-30
肺癌新药,国产肺癌罕见基因突变新靶向药TAK-788(Mobocertinib)重磅来袭

肺癌靶向药治疗效果,肺癌靶向治疗效果,肺癌靶向药疗效,肺癌靶向药效果

肺癌2020-12-25
肺癌靶向药治疗效果,肺癌靶向治疗效果,肺癌靶向药疗效,肺癌靶向药效果

肺癌新型免疫治疗,新型免疫疗法肿瘤浸润淋巴细胞(TILs)疗法帮助患者7个病灶消灭6个

肺癌2020-12-24
肺癌新型免疫治疗,新型免疫疗法肿瘤浸润淋巴细胞(TILs)疗法帮助患者7个病灶消灭6个

2020年非小细胞肺癌EGFR基因突变靶向药物、靶向联合疗法治疗、序贯疗法治疗最新进展盘点

肺癌2020-12-24
2020年非小细胞肺癌EGFR基因突变靶向药物、靶向联合疗法治疗、序贯疗法治疗最新进展盘点

速递|FDA批准奥希替尼成为非小细胞肺癌术后辅助治疗方案

肺癌2020-12-21
速递|FDA批准奥希替尼成为非小细胞肺癌术后辅助治疗方案

肺癌临床试验,非小细胞肺癌治疗又添"新兵",肺癌新药申请已经提交FDA审批

肺癌2020-12-21
肺癌临床试验,非小细胞肺癌治疗又添"新兵",肺癌新药申请已经提交FDA审批

肺癌临床试验,六大肺癌基因靶点,十一款肺癌新药拯救晚期肺癌患者

肺癌2020-12-18
肺癌临床试验,六大肺癌基因靶点,十一款肺癌新药拯救晚期肺癌患者

2021年肺癌新药,两款肺癌最新药物Cemiplimab(Libtayo)、Tepotinib即将上市

肺癌2020-12-17
2021年肺癌新药,两款肺癌最新药物Cemiplimab(Libtayo)、Tepotinib即将上市

肺癌免疫疗法,肺癌免疫治疗(PD-1/PD-L1)药物有哪些

肺癌2020-12-15
肺癌免疫疗法,肺癌免疫治疗(PD-1/PD-L1)药物有哪些

直播预告|肺癌精准诊疗的关键问题

肺癌2020-12-14
直播预告|肺癌精准诊疗的关键问题

双免疫联合疗法,双免疫治疗,双免疫疗法O药+Y药组合写入最新非小细胞肺癌治疗指南

肺癌2020-12-14
双免疫联合疗法,双免疫治疗,双免疫疗法O药+Y药组合写入最新非小细胞肺癌治疗指南

肺癌靶点及肺癌靶向药有哪些,肺癌靶向新药研究进展

肺癌2020-12-14
肺癌靶点及肺癌靶向药有哪些,肺癌靶向新药研究进展

肺癌精准放疗,质子治疗挽救晚期肺癌患者的生命

肺癌2020-12-14
肺癌精准放疗,质子治疗挽救晚期肺癌患者的生命

直播预告|肺癌最新进展,非小细胞肺癌治疗最新进展与方向

肺癌2020-12-14
直播预告|肺癌最新进展,非小细胞肺癌治疗最新进展与方向

肺癌术后治疗,肺癌术后辅助治疗,肺癌手术后治疗,肺癌手术后怎么治疗

肺癌2020-12-11
肺癌术后治疗,肺癌术后辅助治疗,肺癌手术后治疗,肺癌手术后怎么治疗

2021年即将上市的肺癌最新药物,治疗肺癌的最新药物,治疗肺癌的新药,肺癌治疗新药名单出炉

肺癌2020-12-11
2021年即将上市的肺癌最新药物,治疗肺癌的最新药物,治疗肺癌的新药,肺癌治疗新药名单出炉

抗癌新药速递|非小细胞肺癌钻石突变靶向药,ROS1基因突变靶向药物抑制剂Repotrectinib(TPX-0005)获突破性疗法指定

肺癌2020-12-10
抗癌新药速递|非小细胞肺癌钻石突变靶向药,ROS1基因突变靶向药物抑制剂Repotrectinib(TPX-0005)获突破性疗法指定

抗癌新药速递|非小细胞肺癌首款KRAS靶向药新药AMG510(Sotorasib)疾病控制率88.1%

肺癌2020-12-10
抗癌新药速递|非小细胞肺癌首款KRAS靶向药新药AMG510(Sotorasib)疾病控制率88.1%

肺癌免疫联合疗法,免疫治疗联合靶向治疗,靶向治疗联合免疫治疗帮助患者告别化疗时代

肺癌2020-12-09
肺癌免疫联合疗法,免疫治疗联合靶向治疗,靶向治疗联合免疫治疗帮助患者告别化疗时代

直播预告|非小细胞肺癌罕见基因突变治疗新进展

肺癌2020-12-08
直播预告|非小细胞肺癌罕见基因突变治疗新进展

展望2021年肺癌新药,小细胞肺癌新药,非小细胞肺癌新药抢先看

肺癌2020-12-04
展望2021年肺癌新药,小细胞肺癌新药,非小细胞肺癌新药抢先看

肺癌新疗法,肺癌新技术,首位接受新型细胞免疫疗法TILs治疗的晚期肺癌患者,如今已重回正常生活

肺癌2020-12-03
肺癌新疗法,肺癌新技术,首位接受新型细胞免疫疗法TILs治疗的晚期肺癌患者,如今已重回正常生活

2020年上市的肺癌新药,小细胞肺癌新药,非小细胞肺癌新药年终大盘点

肺癌2020-12-02
2020年上市的肺癌新药,小细胞肺癌新药,非小细胞肺癌新药年终大盘点

2021年最新肺癌NCCN指南,肺癌治疗指南,肺癌最新治疗方案,肺癌新靶向药层出不穷

肺癌2020-12-02
2021年最新肺癌NCCN指南,肺癌治疗指南,肺癌最新治疗方案,肺癌新靶向药层出不穷

直播预告|肺癌靶向治疗耐药后怎么治疗,如何选择治疗方案

肺癌2020-12-02
直播预告|肺癌靶向治疗耐药后怎么治疗,如何选择治疗方案

2021年最新非小细胞肺癌治疗方案,非小细胞肺癌NCCN治疗指南,肺癌靶向治疗方案,肺癌最新治疗方案

肺癌2020-12-02
2021年最新非小细胞肺癌治疗方案,非小细胞肺癌NCCN治疗指南,肺癌靶向治疗方案,肺癌最新治疗方案

MET抑制剂,c-MET抑制剂,MET基因突变靶向药物,c-MET突变靶向药物,MET扩增靶向药物抑制剂,c-MET扩增靶向药,MET过表达靶向药有哪些

肺癌2020-11-20
MET抑制剂,c-MET抑制剂,MET基因突变靶向药物,c-MET突变靶向药物,MET扩增靶向药物抑制剂,c-MET扩增靶向药,MET过表达靶向药有哪些

好药鉴赏|肺癌序贯治疗,肺癌钻石靶点ROS1/ALK基因突变靶向药物克唑替尼(Crizotinib、Xalkori)序贯治疗无进展生存期接近3年

肺癌2020-11-20
好药鉴赏|肺癌序贯治疗,肺癌钻石靶点ROS1/ALK基因突变靶向药物克唑替尼(Crizotinib、Xalkori)序贯治疗无进展生存期接近3年

早期肺癌术后辅助治疗,肺癌辅助治疗药物奥希替尼获FDA优先审查

肺癌2020-11-20
早期肺癌术后辅助治疗,肺癌辅助治疗药物奥希替尼获FDA优先审查

肺癌脑转移的治疗,肺癌脑转移怎么办,肺癌脑转移怎么治疗,肺癌脑转移的治疗方案

肺癌2020-11-19
肺癌脑转移的治疗,肺癌脑转移怎么办,肺癌脑转移怎么治疗,肺癌脑转移的治疗方案

肺癌新药,第五款非小细胞肺癌免疫治疗药物Cemiplimab(Libtayo)显著改善晚期患者生存率

肺癌2020-11-19
肺癌新药,第五款非小细胞肺癌免疫治疗药物Cemiplimab(Libtayo)显著改善晚期患者生存率

肺癌罕见靶点RET基因融合突变靶向药Selpercatinib和Pralsetinib已上市,HA121-28临床试验招募中

肺癌2020-11-18
肺癌罕见靶点RET基因融合突变靶向药Selpercatinib和Pralsetinib已上市,HA121-28临床试验招募中

肺癌晚期怎么延长生命,肺癌晚期怎么延长寿命,肺癌晚期怎样延长生命

肺癌2020-11-17
肺癌晚期怎么延长生命,肺癌晚期怎么延长寿命,肺癌晚期怎样延长生命

非小细胞肺癌免疫联合疗法,NK细胞免疫疗法联合PD-1/L-1有效抑制肿瘤生长

肺癌2020-11-16
非小细胞肺癌免疫联合疗法,NK细胞免疫疗法联合PD-1/L-1有效抑制肿瘤生长

小细胞肺癌治疗最新进展、最新消息,小细胞肺癌免疫治疗最新突破,小细胞肺癌免疫疗法治疗效果

肺癌2020-11-13
小细胞肺癌治疗最新进展、最新消息,小细胞肺癌免疫治疗最新突破,小细胞肺癌免疫疗法治疗效果

肺癌骨转移怎么治疗,肺癌骨转移的治疗,肺癌骨转移如何治疗,肺癌骨转移疼痛怎么办

肺癌2020-11-12
肺癌骨转移怎么治疗,肺癌骨转移的治疗,肺癌骨转移如何治疗,肺癌骨转移疼痛怎么办

靶向三大新兴肺癌靶点RET、MET、NTRK的肺癌靶向新药上市,为患者点亮希望

肺癌2020-11-11
靶向三大新兴肺癌靶点RET、MET、NTRK的肺癌靶向新药上市,为患者点亮希望

肺癌脑转移怎么办,肺癌脑转移怎么治疗,两款肺癌脑转移药物让患者脑部病灶全部消失

肺癌2020-11-10
肺癌脑转移怎么办,肺癌脑转移怎么治疗,两款肺癌脑转移药物让患者脑部病灶全部消失

肺癌罕见靶点基因突变,EGFR20号(20ins)外显子插入突变靶向药新药TAK-788(Mobocertinib)重磅来袭

肺癌2020-11-06
肺癌罕见靶点基因突变,EGFR20号(20ins)外显子插入突变靶向药新药TAK-788(Mobocertinib)重磅来袭

肺癌质子治疗有助于降低肺癌放疗患者患心脏病的风险

肺癌2020-11-06
肺癌质子治疗有助于降低肺癌放疗患者患心脏病的风险

直播预告|晚期非小细胞肺癌精准治疗临床诊疗进展

肺癌2020-11-06
直播预告|晚期非小细胞肺癌精准治疗临床诊疗进展

直播预告|非小细胞肺癌精准治疗,"治愈"会呼吸的痛

肺癌2020-11-05
直播预告|非小细胞肺癌精准治疗,"治愈"会呼吸的痛

"抗癌方舟援助计划"-肺癌临床试验招募,肺癌新药临床试验招募,十一款肺癌靶向新药为晚期患者再续生命

肺癌2020-11-05
"抗癌方舟援助计划"-肺癌临床试验招募,肺癌新药临床试验招募,十一款肺癌靶向新药为晚期患者再续生命

直播预告|非小细胞肺癌罕见靶点基因突变靶向治疗前进之路

肺癌2020-11-04
直播预告|非小细胞肺癌罕见靶点基因突变靶向治疗前进之路

肺癌低剂量CT检查,LDCT检查将提高患者生存率

肺癌2020-11-03
肺癌低剂量CT检查,LDCT检查将提高患者生存率

非小细胞肺癌免疫治疗药物新药西米普利单抗(Cemiplimab、Libtayo)获FDA优先审查资格

肺癌2020-11-02
非小细胞肺癌免疫治疗药物新药西米普利单抗(Cemiplimab、Libtayo)获FDA优先审查资格

肺癌免疫治疗临床试验的"超级应答者"

肺癌2020-10-29
肺癌免疫治疗临床试验的"超级应答者"

肺癌免疫治疗临床试验成功案例

肺癌2020-10-29
肺癌免疫治疗临床试验成功案例

肺癌免疫治疗,程颖教授分享绍2020CSCO大会肺癌的免疫治疗重点报告

肺癌2020-10-29
肺癌免疫治疗,程颖教授分享绍2020CSCO大会肺癌的免疫治疗重点报告

肺癌的免疫治疗,肺癌大咖·苗立云:解惑肺癌免疫治疗的常见问题

肺癌2020-10-29
肺癌的免疫治疗,肺癌大咖·苗立云:解惑肺癌免疫治疗的常见问题

肺癌脑转移治疗,肺癌脑转移怎么治疗,肺癌脑转移的治疗方案,肺癌脑转移治疗方案

肺癌2020-10-29
肺癌脑转移治疗,肺癌脑转移怎么治疗,肺癌脑转移的治疗方案,肺癌脑转移治疗方案

6大肺癌靶点,9大肺癌靶向新药让生存期强势逆转

肺癌2020-10-28
6大肺癌靶点,9大肺癌靶向新药让生存期强势逆转

肺癌疫苗,通用型肿瘤疫苗UV1疫苗横空出世

肺癌2020-10-26
肺癌疫苗,通用型肿瘤疫苗UV1疫苗横空出世

RET抑制剂Selpercatinib肺癌临床试验大多数RET融合患者都有持久的反应

肺癌2020-10-23
RET抑制剂Selpercatinib肺癌临床试验大多数RET融合患者都有持久的反应

ALK阳性非小细胞肺癌新药恩沙替尼可以改善患者的无进展生存期

肺癌2020-10-23
ALK阳性非小细胞肺癌新药恩沙替尼可以改善患者的无进展生存期

克唑替尼耐药后怎么办,克唑替尼耐药后吃什么药,克唑替尼耐药后吃什么

肺癌2020-10-23
克唑替尼耐药后怎么办,克唑替尼耐药后吃什么药,克唑替尼耐药后吃什么

肺鳞癌二线治疗新药阿法替尼真实世界数据公开!中位治疗时间7.3个月

肺癌2020-10-23
肺鳞癌二线治疗新药阿法替尼真实世界数据公开!中位治疗时间7.3个月

肺癌辅助治疗,FDA优先审查奥希替尼用于肺癌术后辅助治疗,复发风险降低83%

肺癌2020-10-23
肺癌辅助治疗,FDA优先审查奥希替尼用于肺癌术后辅助治疗,复发风险降低83%

EGFR阳性早期非小细胞肺癌辅助治疗新药奥希替尼获FDA优先审批资格

肺癌2020-10-22
EGFR阳性早期非小细胞肺癌辅助治疗新药奥希替尼获FDA优先审批资格

非小细胞肺癌新靶点新靶向药,KEAP1/NRF2基因突变靶向药物Telaglenastat(替拉格司他)重磅来袭

肺癌2020-10-22
非小细胞肺癌新靶点新靶向药,KEAP1/NRF2基因突变靶向药物Telaglenastat(替拉格司他)重磅来袭

非小细胞肺癌免疫联合治疗,免疫治疗联合化疗,双免疫治疗,双免疫疗法,免疫联合抗血管生成

肺癌2020-10-22
非小细胞肺癌免疫联合治疗,免疫治疗联合化疗,双免疫治疗,双免疫疗法,免疫联合抗血管生成

第二代ROS1/NTRK双靶点抑制剂,Talectrectinib(DS-6051b)数据公布,AB-106临床试验招募中

肺癌2020-10-21
第二代ROS1/NTRK双靶点抑制剂,Talectrectinib(DS-6051b)数据公布,AB-106临床试验招募中

非小细胞肺癌放疗,非小细胞肺癌放疗原则、种类、现状和未来展望

肺癌2020-10-21
非小细胞肺癌放疗,非小细胞肺癌放疗原则、种类、现状和未来展望

直播预告|肺癌讲座+肺癌专家咨询,专家揭秘肺癌质子治疗的优势与适应症

肺癌2020-10-20
直播预告|肺癌讲座+肺癌专家咨询,专家揭秘肺癌质子治疗的优势与适应症

肺癌晚期临床试验,晚期肺肿瘤临床试验进行中,七款药物免费用

肺癌2020-10-19
肺癌晚期临床试验,晚期肺肿瘤临床试验进行中,七款药物免费用

恩曲替尼有望成为非小细胞肺癌ROS1基因融合突变患者的选择

肺癌2020-10-16
恩曲替尼有望成为非小细胞肺癌ROS1基因融合突变患者的选择

针对METex14基因突变的转移性非小细胞肺癌新药Tepotinib(替坡替尼)获FDA优先审查

肺癌2020-10-16
针对METex14基因突变的转移性非小细胞肺癌新药Tepotinib(替坡替尼)获FDA优先审查

直播预告|肺癌罕见基因突变RET基因融合突变的意义,RET抑制剂,RET基因突变靶向药

肺癌2020-10-16
直播预告|肺癌罕见基因突变RET基因融合突变的意义,RET抑制剂,RET基因突变靶向药

肺癌可以不化疗吗,非小细胞肺癌一线治疗用帕博利珠单抗疗效远胜化疗

肺癌2020-10-16
肺癌可以不化疗吗,非小细胞肺癌一线治疗用帕博利珠单抗疗效远胜化疗

直播预告|从非小细胞肺癌基因突变起航,通过非小细胞肺癌临床试验寻找属于患者自己的"幸运药"

肺癌2020-10-14
直播预告|从非小细胞肺癌基因突变起航,通过非小细胞肺癌临床试验寻找属于患者自己的"幸运药"

非小细胞肺癌新药,第三代EGFR抑制剂RX518(CK-101)临床试验招募进行中

肺癌2020-10-14
非小细胞肺癌新药,第三代EGFR抑制剂RX518(CK-101)临床试验招募进行中

"为癌而战"直播视频回放|非小细胞肺癌治疗难题解读

肺癌2020-10-14
"为癌而战"直播视频回放|非小细胞肺癌治疗难题解读

非小细胞肺癌靶向药新药,KRAS G12C突变靶向药AMG510(Sotorasib)潜力无限

肺癌2020-10-13
非小细胞肺癌靶向药新药,KRAS G12C突变靶向药AMG510(Sotorasib)潜力无限

国内首个非小细胞肺癌MET抑制剂沃利替尼即将上市,c-MET抑制剂PLB-1001临床试验招募中

肺癌2020-10-13
国内首个非小细胞肺癌MET抑制剂沃利替尼即将上市,c-MET抑制剂PLB-1001临床试验招募中

9291耐药后还有药吗,AZD9291耐药后还有药吗,多款新型靶向药齐上阵效果惊艳

肺癌2020-10-13
9291耐药后还有药吗,AZD9291耐药后还有药吗,多款新型靶向药齐上阵效果惊艳

史无前例:肺癌新辅助治疗,肺癌新辅助免疫治疗药物O药显著改善患者生存情况

肺癌2020-10-12
史无前例:肺癌新辅助治疗,肺癌新辅助免疫治疗药物O药显著改善患者生存情况

RET抑制剂,RET基因突变靶向药,两款非小细胞肺癌新药Retevmo和Gavreto震撼上市

肺癌2020-10-12
RET抑制剂,RET基因突变靶向药,两款非小细胞肺癌新药Retevmo和Gavreto震撼上市

专家视点|晚期肺癌治疗方案,晚期肺癌免疫治疗药物帕博利珠单抗已成为晚期鳞状非小细胞肺癌治疗方案的标准

肺癌2020-10-12
专家视点|晚期肺癌治疗方案,晚期肺癌免疫治疗药物帕博利珠单抗已成为晚期鳞状非小细胞肺癌治疗方案的标准

2020年上市的肺癌新药,肺癌靶向药新药和肺癌免疫治疗药物新药患者一定要知道

肺癌2020-10-10
2020年上市的肺癌新药,肺癌靶向药新药和肺癌免疫治疗药物新药患者一定要知道

非小细胞肺癌靶向药新药,KRAS G12C突变靶向药AMG510(Sotorasib)Ⅱ期临床数据公开整体缓解率32.2%

肺癌2020-10-10
非小细胞肺癌靶向药新药,KRAS G12C突变靶向药AMG510(Sotorasib)Ⅱ期临床数据公开整体缓解率32.2%

非小细胞肺癌EGFR基因突变靶向药Mobocertinib(TAK-788)缓解率43%

肺癌2020-10-10
非小细胞肺癌EGFR基因突变靶向药Mobocertinib(TAK-788)缓解率43%

2020年ESMO大会非小细胞肺癌免疫治疗药物新药Cemiplimab(Libtayo、Libtayo、西米普利单抗)取代化疗一线地位再添力证

肺癌2020-09-30
2020年ESMO大会非小细胞肺癌免疫治疗药物新药Cemiplimab(Libtayo、Libtayo、西米普利单抗)取代化疗一线地位再添力证

肺癌新药,全球肺癌靶向药物再掀风暴,众多新肺癌治疗方案让逆转生存期不再奢谈

肺癌2020-09-30
肺癌新药,全球肺癌靶向药物再掀风暴,众多新肺癌治疗方案让逆转生存期不再奢谈

非小细胞肺癌Kras基因突变的治疗,Kras突变靶向药,kras抑制剂(AMG510、Sotorasib)末线治疗缓解率32.2%

肺癌2020-09-29
非小细胞肺癌Kras基因突变的治疗,Kras突变靶向药,kras抑制剂(AMG510、Sotorasib)末线治疗缓解率32.2%

非小细胞肺癌MET-14外显子跳跃突变MET靶向药物卡马替尼患者长期获益,C-MET抑制剂伯瑞替尼临床试验招募进行中

肺癌2020-09-29
非小细胞肺癌MET-14外显子跳跃突变MET靶向药物卡马替尼患者长期获益,C-MET抑制剂伯瑞替尼临床试验招募进行中

非小细胞肺癌免疫治疗法,非小细胞肺癌用免疫治疗效果怎么样,非小细胞肺癌免疫治疗药物帕博利珠单抗治疗效果远胜化疗

肺癌2020-09-27
非小细胞肺癌免疫治疗法,非小细胞肺癌用免疫治疗效果怎么样,非小细胞肺癌免疫治疗药物帕博利珠单抗治疗效果远胜化疗

2020年ESMO大会一款非小细胞肺癌靶向药物,两个肺癌治疗新方法缓解率最高达77.1%

肺癌2020-09-25
2020年ESMO大会一款非小细胞肺癌靶向药物,两个肺癌治疗新方法缓解率最高达77.1%

肺癌奥西替尼中枢神经系统复发率降低10倍,奥希替尼仿制药临床试验进行中

肺癌2020-09-24
肺癌奥西替尼中枢神经系统复发率降低10倍,奥希替尼仿制药临床试验进行中

奥西替尼(AZD9291)耐药后还有药吗,Amivantamab(JNJ-6372,JNJ-61186372)闪耀2020年EMSO大会

肺癌2020-09-24
奥西替尼(AZD9291)耐药后还有药吗,Amivantamab(JNJ-6372,JNJ-61186372)闪耀2020年EMSO大会

为癌而战|非小细胞肺癌在线医生免费咨询,肺癌专家咨询,湖南省肿瘤医院肿瘤内科蒲兴祥主任医师

肺癌2020-09-24
为癌而战|非小细胞肺癌在线医生免费咨询,肺癌专家咨询,湖南省肿瘤医院肿瘤内科蒲兴祥主任医师

为癌而战|肺癌在线医生免费咨询,肺癌专家咨询,中国医学科学院肿瘤医院段建春副主任医师

肺癌2020-09-24
为癌而战|肺癌在线医生免费咨询,肺癌专家咨询,中国医学科学院肿瘤医院段建春副主任医师

国产靶向药物崛起,5款国产肺癌靶向药全面覆盖4大肺癌靶点

肺癌2020-09-23
国产靶向药物崛起,5款国产肺癌靶向药全面覆盖4大肺癌靶点

非小细胞肺癌新辅助治疗,肺癌新辅助免疫治疗

肺癌2020-09-23
非小细胞肺癌新辅助治疗,肺癌新辅助免疫治疗

肺癌国产靶向药,肺癌治疗新方法,肺癌新靶向药物,肺癌新疗法,肺癌治疗新技术

肺癌2020-09-18
肺癌国产靶向药,肺癌治疗新方法,肺癌新靶向药物,肺癌新疗法,肺癌治疗新技术

奥西替尼耐药后怎么办,AZD9291/泰瑞沙/阿西替尼耐药后吃什么药

肺癌2020-09-17
奥西替尼耐药后怎么办,AZD9291/泰瑞沙/阿西替尼耐药后吃什么药

奥西替尼耐药后怎么办,AZD9291/泰瑞沙/阿西替尼耐药后吃什么药

肺癌2020-09-17
奥西替尼耐药后怎么办,AZD9291/泰瑞沙/阿西替尼耐药后吃什么药

靶向药奥希替尼耐药后怎么办,AZD9291/泰瑞莎/奥希替尼耐药怎么办

肺癌2020-09-17
靶向药奥希替尼耐药后怎么办,AZD9291/泰瑞莎/奥希替尼耐药怎么办

AZD9291耐药后治疗方案,9291耐药后还有药吗,靶向药AZD9291耐药后怎么办吃什么

肺癌2020-09-17
AZD9291耐药后治疗方案,9291耐药后还有药吗,靶向药AZD9291耐药后怎么办吃什么

非小细胞肺癌免疫治疗药物,肺癌免疫检查点抑制剂(PD-1)帕博利珠单抗(Pembrolizumab、Keytruda)如何提高治疗效果

肺癌2020-09-17
非小细胞肺癌免疫治疗药物,肺癌免疫检查点抑制剂(PD-1)帕博利珠单抗(Pembrolizumab、Keytruda)如何提高治疗效果

非小细胞肺癌TIL细胞免疫疗法再现持久的抗肿瘤活性

肺癌2020-09-16
非小细胞肺癌TIL细胞免疫疗法再现持久的抗肿瘤活性

肺癌ROS1突变靶向药劳拉替尼临床试验招募进行中

肺癌2020-09-16
肺癌ROS1突变靶向药劳拉替尼临床试验招募进行中

肺癌类器官培养被哈佛医学院力推,3D类器官为为拓展肺癌早期治疗方法奠定基础

肺癌2020-09-16
肺癌类器官培养被哈佛医学院力推,3D类器官为为拓展肺癌早期治疗方法奠定基础

肺癌靶向基因检测可以指导70%的非小细胞肺癌靶向治疗

肺癌2020-09-15
肺癌靶向基因检测可以指导70%的非小细胞肺癌靶向治疗

非小细胞肺癌CAR-T细胞免疫疗法强特异性靶点LunX靶点被发现,CAR-LunX-T细胞治疗取得重大进展

肺癌2020-09-15
非小细胞肺癌CAR-T细胞免疫疗法强特异性靶点LunX靶点被发现,CAR-LunX-T细胞治疗取得重大进展

专家视点|方勇教授讲晚期非小细胞肺癌ROS1阳性基因突变及ROS1基因突变靶向药物

肺癌2020-09-14
专家视点|方勇教授讲晚期非小细胞肺癌ROS1阳性基因突变及ROS1基因突变靶向药物

晚期非小细胞肺癌双免疫疗法,双免疫治疗联合化疗,纳武单抗-伊匹单抗-化疗组合疗效显著

肺癌2020-09-10
晚期非小细胞肺癌双免疫疗法,双免疫治疗联合化疗,纳武单抗-伊匹单抗-化疗组合疗效显著

2020年ESMO大会肺癌新药,肺癌最新疗法,肺癌最新药物,肺癌新方法值得期待的研究有哪些

肺癌2020-09-10
2020年ESMO大会肺癌新药,肺癌最新疗法,肺癌最新药物,肺癌新方法值得期待的研究有哪些

美国肺癌治疗新方法,肺癌新疗法Novocure同默沙东共同测试电场疗法联合派姆单抗在肺癌中的作用

肺癌2020-09-09
美国肺癌治疗新方法,肺癌新疗法Novocure同默沙东共同测试电场疗法联合派姆单抗在肺癌中的作用

肺癌国产靶向药,EGFR20外显子突变靶向药JMT101临床试验招募进行中

肺癌2020-09-08
肺癌国产靶向药,EGFR20外显子突变靶向药JMT101临床试验招募进行中

非小细胞肺癌新药,RET抑制剂,RET基因突变靶向药Retevmo(LOXO-292、Selpercatinib、塞尔帕替尼)解决两大治疗难题

肺癌2020-09-08
非小细胞肺癌新药,RET抑制剂,RET基因突变靶向药Retevmo(LOXO-292、Selpercatinib、塞尔帕替尼)解决两大治疗难题

肺癌晚期治疗,晚期肺癌生存期3个月到4年的跨度,中间到底差了什么

肺癌2020-09-08
肺癌晚期治疗,晚期肺癌生存期3个月到4年的跨度,中间到底差了什么

两款非小细胞肺癌MET抑制剂,MET基因突变靶向药卡马替尼(Capmatinib、Tabrecta)和特泊替尼(Tabrecta)获批上市,伯瑞替尼临床试验招

肺癌2020-09-07
两款非小细胞肺癌MET抑制剂,MET基因突变靶向药卡马替尼(Capmatinib、Tabrecta)和特泊替尼(Tabrecta)获批上市,伯瑞替尼临床试验招

小细胞肺癌治疗方案,小细胞肺癌化疗方案,小细胞肺癌靶向药物有哪些,小细胞肺癌免疫治疗药物有哪些

肺癌2020-09-07
小细胞肺癌治疗方案,小细胞肺癌化疗方案,小细胞肺癌靶向药物有哪些,小细胞肺癌免疫治疗药物有哪些

什么是EGFR基因突变,非小细胞肺癌第一、二、三、四代EGFR抑制剂EGFR靶向药物分别有哪些

肺癌2020-09-07
什么是EGFR基因突变,非小细胞肺癌第一、二、三、四代EGFR抑制剂EGFR靶向药物分别有哪些

5款国产肺癌靶向药全面覆盖4大肺癌靶点

肺癌2020-09-03
5款国产肺癌靶向药全面覆盖4大肺癌靶点

美国肺癌死亡率降低和肺癌基因检测、肺癌靶向药物、肺癌免疫治疗药物有关

肺癌2020-09-02
美国肺癌死亡率降低和肺癌基因检测、肺癌靶向药物、肺癌免疫治疗药物有关

国内c-MET抑制剂特泊替尼(Tepotinib)和卡马替尼(Capmatinib、Tabrecta)已上市,沃利替尼即将上市,伯瑞替尼临床试验进行中

肺癌2020-08-31
国内c-MET抑制剂特泊替尼(Tepotinib)和卡马替尼(Capmatinib、Tabrecta)已上市,沃利替尼即将上市,伯瑞替尼临床试验进行中

c-MET抑制剂Tepotinib(Tepmetko、特泊替尼)获得FDA优先审查资格

肺癌2020-08-27
c-MET抑制剂Tepotinib(Tepmetko、特泊替尼)获得FDA优先审查资格

聚焦肺癌罕见突变及肺癌罕见基因突变靶向药物

肺癌2020-08-27
聚焦肺癌罕见突变及肺癌罕见基因突变靶向药物

肺癌ALK阳性靶向药,肺癌ALK基因突变靶向药物劳拉替尼(Lorlatinib)"后来居上"

肺癌2020-08-26
肺癌ALK阳性靶向药,肺癌ALK基因突变靶向药物劳拉替尼(Lorlatinib)"后来居上"

小细胞肺癌细胞免疫治疗,小细胞肺癌细胞免疫疗法

肺癌2020-08-25
小细胞肺癌细胞免疫治疗,小细胞肺癌细胞免疫疗法

肺癌药物靶点,肺癌靶向药物,肺癌的靶向药物有哪些,患者该如何挑选呢

肺癌2020-08-25
肺癌药物靶点,肺癌靶向药物,肺癌的靶向药物有哪些,患者该如何挑选呢

肺癌EGFR基因突变靶向药物,EGFR-TKI药物,EGFR-TKI靶向药,多款EGFR-TKI联合用药方案出炉

肺癌2020-08-24
肺癌EGFR基因突变靶向药物,EGFR-TKI药物,EGFR-TKI靶向药,多款EGFR-TKI联合用药方案出炉

国产靶向药,国产第二代alk抑制剂CT-707为非小细胞肺癌带来全新希望

肺癌2020-08-24
国产靶向药,国产第二代alk抑制剂CT-707为非小细胞肺癌带来全新希望

非小细胞肺癌c-MET抑制剂伯瑞替尼临床试验和谷美替尼(SCC244)临床试验招募进行中

肺癌2020-08-24
非小细胞肺癌c-MET抑制剂伯瑞替尼临床试验和谷美替尼(SCC244)临床试验招募进行中

第二代ALK抑制剂,二代ROS1抑制剂,二代TRK抑制剂,Repotrectinib(洛普替尼、TPX-0005、瑞波替尼)

肺癌2020-08-24
第二代ALK抑制剂,二代ROS1抑制剂,二代TRK抑制剂,Repotrectinib(洛普替尼、TPX-0005、瑞波替尼)

小细胞肺癌的免疫治疗,小细胞肺癌免疫疗法,小细胞肺癌免疫治疗药物

肺癌2020-08-21
小细胞肺癌的免疫治疗,小细胞肺癌免疫疗法,小细胞肺癌免疫治疗药物

肺癌免疫治疗效果如何,肺癌免疫治疗效果怎么样,肺癌免疫治疗疗效

肺癌2020-08-20
肺癌免疫治疗效果如何,肺癌免疫治疗效果怎么样,肺癌免疫治疗疗效

肺癌的免疫治疗,肺癌的免疫疗法,肺癌免疫治疗药物有哪些

肺癌2020-08-20
肺癌的免疫治疗,肺癌的免疫疗法,肺癌免疫治疗药物有哪些

2020年肺癌四大免疫治疗(PD-1/PD-L1)治疗药物K药(Keytruda)、O药(Opdivo)、T药(Tecentriq)、I药(Imfinzi)用药信息汇总

肺癌2020-08-20
2020年肺癌四大免疫治疗(PD-1/PD-L1)治疗药物K药(Keytruda)、O药(Opdivo)、T药(Tecentriq)、I药(Imfinzi)用药信息汇总

非小细胞肺癌EGFR外显子20插入突变靶向药JMT-101临床试验招募中

肺癌2020-08-19
非小细胞肺癌EGFR外显子20插入突变靶向药JMT-101临床试验招募中

晚期非小细胞肺癌国产PD-L1(CS1001)联合化疗展现出明显益处

肺癌2020-08-14
晚期非小细胞肺癌国产PD-L1(CS1001)联合化疗展现出明显益处

肺癌新药,肺癌RET基因突变靶向药Pralsetinib(BLU-667、普雷西替尼)为何能成为"黑马"

肺癌2020-08-14
肺癌新药,肺癌RET基因突变靶向药Pralsetinib(BLU-667、普雷西替尼)为何能成为"黑马"

肺癌脑转移靶向药物,ROS1抑制剂,ROS1突变靶向药新药TQ-B3101

肺癌2020-08-14
肺癌脑转移靶向药物,ROS1抑制剂,ROS1突变靶向药新药TQ-B3101

非小细胞肺癌EGFR阳性双靶向治疗阿法替尼+奥希替尼序贯治疗现实世界疗效大数据更新

肺癌2020-08-13
非小细胞肺癌EGFR阳性双靶向治疗阿法替尼+奥希替尼序贯治疗现实世界疗效大数据更新

非小细胞肺癌钻石突变靶向药ALK二代靶向药恩沙替尼(Ensartinib、贝美纳)实验数据更新

肺癌2020-08-13
非小细胞肺癌钻石突变靶向药ALK二代靶向药恩沙替尼(Ensartinib、贝美纳)实验数据更新

信迪利单抗(达伯舒)冲击非小细胞肺癌一线治疗方案,信迪利单抗(达伯舒)临床试验进行中

肺癌2020-08-13
信迪利单抗(达伯舒)冲击非小细胞肺癌一线治疗方案,信迪利单抗(达伯舒)临床试验进行中

非小细胞肺癌靶向药物,钻石突变靶向药,第三代ALK抑制剂劳拉替尼(Lorlatinib、Lorbrena)进军一线治疗

肺癌2020-08-12
非小细胞肺癌靶向药物,钻石突变靶向药,第三代ALK抑制剂劳拉替尼(Lorlatinib、Lorbrena)进军一线治疗

非小细胞肺癌放疗,非小细胞肺癌放射治疗

肺癌2020-08-11
非小细胞肺癌放疗,非小细胞肺癌放射治疗

肺癌质子治疗案例,肺癌质子治疗成功案例,13年无癌幸存者的肺癌治疗故事

肺癌2020-08-10
肺癌质子治疗案例,肺癌质子治疗成功案例,13年无癌幸存者的肺癌治疗故事

非小细胞肺癌EGFR基因突变靶向药,国产非小细胞肺癌靶向药新药JMT-101临床试验进行中

肺癌2020-08-05
非小细胞肺癌EGFR基因突变靶向药,国产非小细胞肺癌靶向药新药JMT-101临床试验进行中

非小细胞肺癌MET抑制剂,MET靶向药沃利替尼获药监局优先审批;伯瑞替尼临床试验招募中

肺癌2020-07-30
非小细胞肺癌MET抑制剂,MET靶向药沃利替尼获药监局优先审批;伯瑞替尼临床试验招募中

肺癌细胞免疫治疗,晚期肺癌NK细胞免疫疗法治疗效果势不可挡

肺癌2020-07-30
肺癌细胞免疫治疗,晚期肺癌NK细胞免疫疗法治疗效果势不可挡

肺癌PD-1耐药后怎么办,肿瘤浸润淋巴细胞TIL疗法剑指晚期肺癌

肺癌2020-07-28
肺癌PD-1耐药后怎么办,肿瘤浸润淋巴细胞TIL疗法剑指晚期肺癌

多款肺癌国产抗癌药物,国产靶向药物,国产抗肿瘤药物疗效喜人

肺癌2020-07-22
多款肺癌国产抗癌药物,国产靶向药物,国产抗肿瘤药物疗效喜人

阿昔替尼耐药后还有办法吗,靶向药AZD9291/泰瑞沙/阿昔替尼耐药后怎么办

肺癌2020-07-20
阿昔替尼耐药后还有办法吗,靶向药AZD9291/泰瑞沙/阿昔替尼耐药后怎么办

奥西替尼耐药后怎么办,AZD9291/泰瑞沙/阿西替尼耐药后吃什么药

肺癌2020-07-20
奥西替尼耐药后怎么办,AZD9291/泰瑞沙/阿西替尼耐药后吃什么药

靶向药奥希替尼耐药后怎么办,AZD9291/泰瑞莎/奥希替尼耐药怎么办

肺癌2020-07-20
靶向药奥希替尼耐药后怎么办,AZD9291/泰瑞莎/奥希替尼耐药怎么办

AZD9291耐药后治疗方案,9291耐药后还有药吗,靶向药AZD9291耐药后怎么办吃什么

肺癌2020-07-20
AZD9291耐药后治疗方案,9291耐药后还有药吗,靶向药AZD9291耐药后怎么办吃什么

非小细胞肺癌靶向药新药,非小细胞肺癌EGFR外显子20插入突变基因突变靶向药新药及临床试验汇总

肺癌2020-07-17
非小细胞肺癌靶向药新药,非小细胞肺癌EGFR外显子20插入突变基因突变靶向药新药及临床试验汇总

中国自主研发广谱抗癌新药,EGFR基因突变靶向药JMT101临床试验招募中

肺癌2020-07-09
中国自主研发广谱抗癌新药,EGFR基因突变靶向药JMT101临床试验招募中

中心型肺癌放疗,中心型肺癌质子放疗,中心型肺癌质子治疗

肺癌2020-07-06
中心型肺癌放疗,中心型肺癌质子放疗,中心型肺癌质子治疗

小细胞肺癌治疗,多款小细胞肺癌药物,小细胞肺癌免疫治疗药物为患者迎来一线生机

肺癌2020-07-03
小细胞肺癌治疗,多款小细胞肺癌药物,小细胞肺癌免疫治疗药物为患者迎来一线生机

FDA接受抗癌新药,RET抑制剂,RET基因突变靶向药,RET靶向药Pralsetinib(中文名帕拉西替尼)上市申请

肺癌2020-07-03
FDA接受抗癌新药,RET抑制剂,RET基因突变靶向药,RET靶向药Pralsetinib(中文名帕拉西替尼)上市申请

非小细胞肺癌靶向药,ROS1突变靶向药,ROS1抑制剂新药TQ-B3101临床试验志愿者招募进行中

肺癌2020-07-02
非小细胞肺癌靶向药,ROS1突变靶向药,ROS1抑制剂新药TQ-B3101临床试验志愿者招募进行中

非小细胞肺癌放疗,非小细胞肺癌放射治疗的破局之战

肺癌2020-07-01
非小细胞肺癌放疗,非小细胞肺癌放射治疗的破局之战

陈明教授:小细胞肺癌放疗联合免疫治疗,值得期待的新策略

肺癌2020-06-29
陈明教授:小细胞肺癌放疗联合免疫治疗,值得期待的新策略

肺癌脑转移放疗,大分割放疗无进展生存肺癌脑转移瘤患者

肺癌2020-06-29
肺癌脑转移放疗,大分割放疗无进展生存肺癌脑转移瘤患者

肺癌药物靶点,肺癌的靶向药物有哪些,肺癌免疫治疗药物,肺癌PD-1/PD-L1治疗药物

肺癌2020-06-29
肺癌药物靶点,肺癌的靶向药物有哪些,肺癌免疫治疗药物,肺癌PD-1/PD-L1治疗药物

国内首创非小细胞肺癌免疫组合治疗,非小细胞肺癌免疫联合治疗,NK细胞助力PD-1抗癌效果倍增

肺癌2020-06-19
国内首创非小细胞肺癌免疫组合治疗,非小细胞肺癌免疫联合治疗,NK细胞助力PD-1抗癌效果倍增

新型肺癌疫苗,肺癌树突状细胞疫苗DCVAC/LuCa一线治疗晚期非小细胞肺癌总生存期大幅提升

肺癌2020-06-18
新型肺癌疫苗,肺癌树突状细胞疫苗DCVAC/LuCa一线治疗晚期非小细胞肺癌总生存期大幅提升

小细胞肺癌新药,小细胞肺癌化疗药Zepsyre(lurbinectin、鲁比卡丁)获批上市

肺癌2020-06-17
小细胞肺癌新药,小细胞肺癌化疗药Zepsyre(lurbinectin、鲁比卡丁)获批上市

2020年晚期肺癌治疗美国新方法晚期患者也能活过5年

肺癌2020-06-17
2020年晚期肺癌治疗美国新方法晚期患者也能活过5年

肺癌脑转移治疗方案,肺癌脑转移的治疗方案,肺癌脑转移怎么治疗

肺癌2020-06-12
肺癌脑转移治疗方案,肺癌脑转移的治疗方案,肺癌脑转移怎么治疗

肺癌放疗,肺癌精准放疗,肺癌质子放疗,肺癌质子治疗

肺癌2020-06-10
肺癌放疗,肺癌精准放疗,肺癌质子放疗,肺癌质子治疗

2020年ASCO免疫组合治疗,免疫联合治疗,NK细胞免疫疗法(SNK01)联合PD-1(K药)治疗晚期肺癌再添力证

肺癌2020-06-08
2020年ASCO免疫组合治疗,免疫联合治疗,NK细胞免疫疗法(SNK01)联合PD-1(K药)治疗晚期肺癌再添力证

MET抑制剂,MET基因突变靶向药Tepotinib(Tepmetko)数据再次更新,效果比较理想

肺癌2020-06-05
MET抑制剂,MET基因突变靶向药Tepotinib(Tepmetko)数据再次更新,效果比较理想

小细胞肺癌放疗,小细胞肺癌质子放疗,小细胞肺癌质子治疗

肺癌2020-06-05
小细胞肺癌放疗,小细胞肺癌质子放疗,小细胞肺癌质子治疗

2020年肺癌靶向药物,EGFR基因突变靶向药,EGFR靶向药,EGFR突变靶向药,EGFR靶向药物ASCO特辑

肺癌2020-06-05
2020年肺癌靶向药物,EGFR基因突变靶向药,EGFR靶向药,EGFR突变靶向药,EGFR靶向药物ASCO特辑

肺癌EGFR基因突变靶向药物组合Cyramza(Ramucirumab,雷莫芦单抗)联合Erlotinib(厄洛替尼)获批一线疗法

肺癌2020-06-03
肺癌EGFR基因突变靶向药物组合Cyramza(Ramucirumab,雷莫芦单抗)联合Erlotinib(厄洛替尼)获批一线疗法

肺癌质子治疗,肺癌放疗中的高端放疗

肺癌2020-06-02
肺癌质子治疗,肺癌放疗中的高端放疗

肺癌质子治疗,肺癌放疗中的高端放疗

肺癌2020-06-02
肺癌质子治疗,肺癌放疗中的高端放疗

肺癌脑转移放疗,肺癌脑转移质子放疗,肺癌脑转移质子治疗带来新希望

肺癌2020-06-02
肺癌脑转移放疗,肺癌脑转移质子放疗,肺癌脑转移质子治疗带来新希望

肺癌NK细胞免疫疗法,NK细胞治疗,NK细胞疗法,NK细胞免疫治疗,NK免疫细胞疗法缓解率提升近4倍

肺癌2020-06-01
肺癌NK细胞免疫疗法,NK细胞治疗,NK细胞疗法,NK细胞免疫治疗,NK免疫细胞疗法缓解率提升近4倍

免疫组合治疗,国内首个非小细胞肺癌NK细胞联合PD-1免疫联合治疗成绩斐然

肺癌2020-06-01
免疫组合治疗,国内首个非小细胞肺癌NK细胞联合PD-1免疫联合治疗成绩斐然

2020年中国临床肿瘤学会(CSCO)非小细胞肺癌诊疗指南,4款非小细胞肺癌免疫治疗新药PD-1/PD-L1重磅推荐

肺癌2020-06-01
2020年中国临床肿瘤学会(CSCO)非小细胞肺癌诊疗指南,4款非小细胞肺癌免疫治疗新药PD-1/PD-L1重磅推荐

2020年中国临床肿瘤学会(CSCO)非小细胞肺癌诊疗指南,的肺癌靶向药物、肺癌基因突变靶点倾情奉献

肺癌2020-05-28
2020年中国临床肿瘤学会(CSCO)非小细胞肺癌诊疗指南,的肺癌靶向药物、肺癌基因突变靶点倾情奉献

2020年肺癌晚期怎么治疗最好,肺癌晚期治疗最好方法,肺癌晚期如何治疗,这些新疗法一定要知道

肺癌2020-05-27
2020年肺癌晚期怎么治疗最好,肺癌晚期治疗最好方法,肺癌晚期如何治疗,这些新疗法一定要知道

肺癌临床试验招募,肺癌新药临床试验招募-伯瑞替尼疾病控制率94.4%

肺癌2020-05-27
肺癌临床试验招募,肺癌新药临床试验招募-伯瑞替尼疾病控制率94.4%

晚期肺癌TIL治疗,TIL免疫治疗,TIL疗法显著延长患者生存期

肺癌2020-05-26
晚期肺癌TIL治疗,TIL免疫治疗,TIL疗法显著延长患者生存期

肺癌免疫联合治疗,CAR-T竟联手PD-1,新免疫组合治疗首次应用于肺癌,疗效1+1>2

肺癌2020-05-26
肺癌免疫联合治疗,CAR-T竟联手PD-1,新免疫组合治疗首次应用于肺癌,疗效1+1>2

肺癌CAR-T治疗,CAR-T细胞治疗,CAR-T细胞疗法,CAR-T细胞免疫治疗对癌细胞杀伤力倍增

肺癌2020-05-25
肺癌CAR-T治疗,CAR-T细胞治疗,CAR-T细胞疗法,CAR-T细胞免疫治疗对癌细胞杀伤力倍增

小细胞肺癌放疗,小细胞肺癌质子放疗,小细胞肺癌质子治疗为小细胞肺癌患者带来全新希望

肺癌2020-05-21
小细胞肺癌放疗,小细胞肺癌质子放疗,小细胞肺癌质子治疗为小细胞肺癌患者带来全新希望

肺癌免疫治疗药物,6款肺癌免疫治疗新疗法使患者迎来了肺癌不化疗也能治疗的新时代

肺癌2020-05-21
肺癌免疫治疗药物,6款肺癌免疫治疗新疗法使患者迎来了肺癌不化疗也能治疗的新时代

非小细胞肺癌免疫疗法PD-L1治疗药物阿替利珠单抗(Atezolizumab)|泰圣奇(Tecentriq)单药提前获批一线治疗

肺癌2020-05-20
非小细胞肺癌免疫疗法PD-L1治疗药物阿替利珠单抗(Atezolizumab)|泰圣奇(Tecentriq)单药提前获批一线治疗

非小细胞肺癌免疫疗法,非小细胞肺癌免疫治疗,三大免疫组合治疗,免疫联合治疗齐上阵

肺癌2020-05-19
非小细胞肺癌免疫疗法,非小细胞肺癌免疫治疗,三大免疫组合治疗,免疫联合治疗齐上阵

肺癌基因检测怎么做,肺癌基因检测多少钱,肺癌基因突变检测,肺癌基因检测需要多少钱

肺癌2020-05-19
肺癌基因检测怎么做,肺癌基因检测多少钱,肺癌基因突变检测,肺癌基因检测需要多少钱

非小细胞肺癌免疫治疗,非小细胞肺癌免疫联合治疗组合O药(Opdivo)+Y药(Yervoy)联合化疗跻身非小细胞肺癌一线治疗

肺癌2020-05-18
非小细胞肺癌免疫治疗,非小细胞肺癌免疫联合治疗组合O药(Opdivo)+Y药(Yervoy)联合化疗跻身非小细胞肺癌一线治疗

肺癌预防复发,肺癌术后预防复发,肺癌怎么样预防复发,肺癌如何预防复发

肺癌2020-05-18
肺癌预防复发,肺癌术后预防复发,肺癌怎么样预防复发,肺癌如何预防复发

非小细胞肺癌新药,肺癌临床试验招募进行中

肺癌2020-05-15
非小细胞肺癌新药,肺癌临床试验招募进行中

2020年肺癌新药井喷上市,10大黄金肺癌靶点及靶向药解读,最新肺癌靶向治疗进展盘点

肺癌2020-05-13
2020年肺癌新药井喷上市,10大黄金肺癌靶点及靶向药解读,最新肺癌靶向治疗进展盘点

著名肺癌专家咨询,肺癌医生,肺癌在线医生免费咨询如何找专家,这份汇总贴直接"门清儿"

肺癌2020-05-11
著名肺癌专家咨询,肺癌医生,肺癌在线医生免费咨询如何找专家,这份汇总贴直接"门清儿"

肺癌靶向药新药,肺癌MET基因突变靶向药MET抑制剂Capmatinib(卡马替尼、INC280)上市在即

肺癌2020-05-06
肺癌靶向药新药,肺癌MET基因突变靶向药MET抑制剂Capmatinib(卡马替尼、INC280)上市在即

非小细胞肺癌免疫治疗药物新药Cemiplimab(Libtayo、西米普利单抗)降低患者32.4%死亡风险

肺癌2020-05-06
非小细胞肺癌免疫治疗药物新药Cemiplimab(Libtayo、西米普利单抗)降低患者32.4%死亡风险

新型"定制款"肿瘤浸润淋巴细胞til疗法显著延长晚期肺癌生存期

肺癌2020-04-30
新型"定制款"肿瘤浸润淋巴细胞til疗法显著延长晚期肺癌生存期

国内非小细胞肺癌NK细胞免疫疗法联合免疫疗法(PD-1)治疗数据出炉

肺癌2020-04-30
国内非小细胞肺癌NK细胞免疫疗法联合免疫疗法(PD-1)治疗数据出炉

唯一进入医保的非小细胞肺癌(PD-1)免疫治疗药物达伯舒(信迪利单抗注射液)即将用于一线治疗

肺癌2020-04-29
唯一进入医保的非小细胞肺癌(PD-1)免疫治疗药物达伯舒(信迪利单抗注射液)即将用于一线治疗

晚期非小细胞肺癌PD-1联合NK细胞免疫疗法治疗效果倍增

肺癌2020-04-23
晚期非小细胞肺癌PD-1联合NK细胞免疫疗法治疗效果倍增

肺癌临床试验,国产创新型肺癌二代ALK抑制剂CT-707临床招募中

肺癌2020-04-23
肺癌临床试验,国产创新型肺癌二代ALK抑制剂CT-707临床招募中

肿瘤基因检测公司,FDA指定FoundationOne CDx为首款胆管癌靶向药Pemigatinib(Pemazyre)的伴随诊断

肺癌2020-04-22
肿瘤基因检测公司,FDA指定FoundationOne CDx为首款胆管癌靶向药Pemigatinib(Pemazyre)的伴随诊断

肺腺癌基因检测做几项,肺癌基因检测多少钱,肺癌的基因突变检测怎么做

肺癌2020-04-22
肺腺癌基因检测做几项,肺癌基因检测多少钱,肺癌的基因突变检测怎么做

肺癌基因检测,肺癌基因检测怎么做,肺癌的基因检测,肺癌基因突变检测

肺癌2020-04-21
肺癌基因检测,肺癌基因检测怎么做,肺癌的基因检测,肺癌基因突变检测

肺癌新药,肺癌免疫治疗药物,肺癌PD-1治疗药物百泽安(替雷利珠单抗注射液)获批肺癌一线治疗

肺癌2020-04-20
肺癌新药,肺癌免疫治疗药物,肺癌PD-1治疗药物百泽安(替雷利珠单抗注射液)获批肺癌一线治疗

小细胞肺癌治疗,小细胞肺癌的治疗,小细胞肺癌怎么治疗

肺癌2020-04-15
小细胞肺癌治疗,小细胞肺癌的治疗,小细胞肺癌怎么治疗

非小细胞肺癌免疫治疗组合O药(Opdivo)+Y药(Yervoy)联合化疗有望成为非小细胞肺癌一线治疗方案

肺癌2020-04-14
非小细胞肺癌免疫治疗组合O药(Opdivo)+Y药(Yervoy)联合化疗有望成为非小细胞肺癌一线治疗方案

肺癌免疫治疗,肺癌免疫疗法,肺癌PD-1治疗,肺癌PD-L1治疗你想知道的都在这

肺癌2020-04-07
肺癌免疫治疗,肺癌免疫疗法,肺癌PD-1治疗,肺癌PD-L1治疗你想知道的都在这

非小细胞肺癌靶向药耐药怎么办,您想知道的都在这里了

肺癌2020-04-02
非小细胞肺癌靶向药耐药怎么办,您想知道的都在这里了

非小细胞肺癌免疫治疗,非小细胞肺癌METex14抑制剂-卡马替尼(Capmatinib、INC280)

肺癌2020-04-01
非小细胞肺癌免疫治疗,非小细胞肺癌METex14抑制剂-卡马替尼(Capmatinib、INC280)

非小细胞肺癌免疫治疗,非小细胞肺癌RET抑制剂Selpercatinib(LOXO-292)

肺癌2020-04-01
非小细胞肺癌免疫治疗,非小细胞肺癌RET抑制剂Selpercatinib(LOXO-292)

小细胞肺癌免疫疗法,小细胞肺癌免疫治疗药物德瓦鲁单抗,I药(Imfinzi),度伐单抗药获批一线治疗用药

肺癌2020-04-01
小细胞肺癌免疫疗法,小细胞肺癌免疫治疗药物德瓦鲁单抗,I药(Imfinzi),度伐单抗药获批一线治疗用药

非小细胞肺癌靶向治疗,非小细胞肺癌靶向药物有哪些

肺癌2020-03-31
非小细胞肺癌靶向治疗,非小细胞肺癌靶向药物有哪些

小细胞肺癌免疫疗法,小细胞肺癌免疫治疗药物德瓦鲁单抗,I药(Imfinzi),度伐单抗

肺癌2020-03-31
小细胞肺癌免疫疗法,小细胞肺癌免疫治疗药物德瓦鲁单抗,I药(Imfinzi),度伐单抗

非小细胞肺癌靶向药,非小细胞肺癌免疫治疗药物,非小细胞肺癌PD-1/PD-L1药物

肺癌2020-03-31
非小细胞肺癌靶向药,非小细胞肺癌免疫治疗药物,非小细胞肺癌PD-1/PD-L1药物

非小细胞肺癌治疗,非小细胞肺癌治疗指南,非小细胞肺癌的治疗

肺癌2020-03-30
非小细胞肺癌治疗,非小细胞肺癌治疗指南,非小细胞肺癌的治疗

肺癌放疗"加强版",肺癌质子放疗到底是“神器”还是“利器”

肺癌2020-03-29
肺癌放疗"加强版",肺癌质子放疗到底是“神器”还是“利器”

历史性的突破,AMG510治疗KRAS突变肺癌有效率50%!

肺癌2020-03-28
历史性的突破,AMG510治疗KRAS突变肺癌有效率50%!

非小细胞肺癌免疫治疗,全球首个口服C-MET抑制剂Tepotinib(Tepmetko)上市

肺癌2020-03-28
非小细胞肺癌免疫治疗,全球首个口服C-MET抑制剂Tepotinib(Tepmetko)上市

非小细胞肺癌靶向药,EGFR基因突变靶向药,EGFR靶向药,EGFR突变靶向药,EGFR靶向药物

肺癌2020-03-27
非小细胞肺癌靶向药,EGFR基因突变靶向药,EGFR靶向药,EGFR突变靶向药,EGFR靶向药物

吃了两盒泰瑞沙了,再吃易瑞沙,会起相反的作用吗?

肺癌2020-03-25
吃了两盒泰瑞沙了,再吃易瑞沙,会起相反的作用吗?

肺癌靶向药物,肺癌第三代靶向药,肺癌EGFR基因突变靶向药,肺癌EGFR-TKI基因突变靶向药阿美替尼(阿美乐、HS-10296、Almonertinib)

肺癌2020-03-22
肺癌靶向药物,肺癌第三代靶向药,肺癌EGFR基因突变靶向药,肺癌EGFR-TKI基因突变靶向药阿美替尼(阿美乐、HS-10296、Almonertinib)

晚期肺癌免疫治疗药物,肺癌免疫疗法,肺癌PD1治疗,肺癌PD-L1治疗

肺癌2020-03-21
晚期肺癌免疫治疗药物,肺癌免疫疗法,肺癌PD1治疗,肺癌PD-L1治疗

肺癌ALK抑制剂劳拉替尼强势逆转克唑替尼、布加替尼耐药

肺癌2020-03-17
肺癌ALK抑制剂劳拉替尼强势逆转克唑替尼、布加替尼耐药

肺癌新药,FDA授予肺癌EGFR靶向药新药JNJ-61186372(JNJ-6372)突破性治疗称号

肺癌2020-03-12
肺癌新药,FDA授予肺癌EGFR靶向药新药JNJ-61186372(JNJ-6372)突破性治疗称号

晚期肺癌靶向药物,肺癌第三代靶向药Osimertinib(甲磺酸奥希替尼片,奥西替尼)|Tagrisso(泰瑞沙)

肺癌2020-03-11
晚期肺癌靶向药物,肺癌第三代靶向药Osimertinib(甲磺酸奥希替尼片,奥西替尼)|Tagrisso(泰瑞沙)

抗癌战“疫”进行时| 百位知名肿瘤专家线上“轻问诊”义诊活动第十三期开始报名!

肺癌2020-03-08
抗癌战“疫”进行时| 百位知名肿瘤专家线上“轻问诊”义诊活动第十三期开始报名!

肺癌早期症状如何发现,肺癌的早期症状有哪些,肺癌最常见的早期症状

肺癌2020-03-05
肺癌早期症状如何发现,肺癌的早期症状有哪些,肺癌最常见的早期症状

Ⅲ期非小细胞肺癌免疫治疗,非小细胞肺癌PD-L1疗法维持治疗

肺癌2020-03-05
Ⅲ期非小细胞肺癌免疫治疗,非小细胞肺癌PD-L1疗法维持治疗

小细胞肺癌免疫疗法,小细胞肺癌免疫治疗药物将迎来新药井喷时代

肺癌2020-02-28
小细胞肺癌免疫疗法,小细胞肺癌免疫治疗药物将迎来新药井喷时代

FDA授予布加替尼(brigatinib、布格替尼、AP26113、布吉他滨)Alunbrig一线治疗ALK+非小细胞肺癌先审查

肺癌2020-02-26
FDA授予布加替尼(brigatinib、布格替尼、AP26113、布吉他滨)Alunbrig一线治疗ALK+非小细胞肺癌先审查

肺癌预防复发,肺癌术后预防复发,肺癌怎么样预防复发,肺癌如何预防复发

肺癌2020-02-25
肺癌预防复发,肺癌术后预防复发,肺癌怎么样预防复发,肺癌如何预防复发

小细胞肺癌免疫疗法,小细胞肺癌免疫治疗药物Atezolizumab(阿替利珠单抗、Tecentriq、泰圣奇、特善奇)

肺癌2020-02-20
小细胞肺癌免疫疗法,小细胞肺癌免疫治疗药物Atezolizumab(阿替利珠单抗、Tecentriq、泰圣奇、特善奇)

非小细胞肺癌靶向药,非小细胞肺癌靶向治疗六大"黄金靶点",检出突变就有药可用

肺癌2020-02-19
非小细胞肺癌靶向药,非小细胞肺癌靶向治疗六大"黄金靶点",检出突变就有药可用

肺癌靶向治疗,治肺癌的靶向药物有哪些,肺癌靶向药物有哪些有哪几种

肺癌2020-02-19
肺癌靶向治疗,治肺癌的靶向药物有哪些,肺癌靶向药物有哪些有哪几种

小细胞肺癌化疗药新药Lurbinectin(鲁比卡丁、Zepsyre)获FDA优先审批,上市在即

肺癌2020-02-19
小细胞肺癌化疗药新药Lurbinectin(鲁比卡丁、Zepsyre)获FDA优先审批,上市在即

全球首个MET抑制剂,MET基因突变靶向药Capmatinib(卡马替尼治、INC280)获得优先审批资格

肺癌2020-02-17
全球首个MET抑制剂,MET基因突变靶向药Capmatinib(卡马替尼治、INC280)获得优先审批资格

小细胞肺癌免疫治疗药物Atezolizumab(阿替利珠单抗)Tecentriq(泰圣奇、特善奇、T药),阿特珠单抗价格

肺癌2020-02-14
小细胞肺癌免疫治疗药物Atezolizumab(阿替利珠单抗)Tecentriq(泰圣奇、特善奇、T药),阿特珠单抗价格

肺癌靶向治疗,治肺癌的靶向药物有哪些,肺癌靶向药物有哪些有哪几种

肺癌2020-02-13
肺癌靶向治疗,治肺癌的靶向药物有哪些,肺癌靶向药物有哪些有哪几种

肺癌EGFR基因突变靶向药,肺癌EGFR突变靶向药,肺癌治疗方案一线首选奥希替尼

肺癌2020-02-12
肺癌EGFR基因突变靶向药,肺癌EGFR突变靶向药,肺癌治疗方案一线首选奥希替尼

小细胞肺癌化疗二线治疗新药Lurbinectedin(芦比替定、鲁贝替定)有望获批

肺癌2020-02-11
小细胞肺癌化疗二线治疗新药Lurbinectedin(芦比替定、鲁贝替定)有望获批

肺癌免疫治疗,肺癌一线化疗将被取代,双免疫药物联合冲刺肺癌一线治疗指日可待

肺癌2020-01-19
肺癌免疫治疗,肺癌一线化疗将被取代,双免疫药物联合冲刺肺癌一线治疗指日可待

非小细胞肺癌RET突变,RET基因突变靶向药Pralsetinib(BLU-667)一线治疗有效率73%

肺癌2020-01-15
非小细胞肺癌RET突变,RET基因突变靶向药Pralsetinib(BLU-667)一线治疗有效率73%

肺癌靶向药物,肺癌靶向药有哪些,治疗肺癌的靶向药物有哪些,非小细胞肺癌靶向药,肺癌基因突变靶点

肺癌2020-01-14
肺癌靶向药物,肺癌靶向药有哪些,治疗肺癌的靶向药物有哪些,非小细胞肺癌靶向药,肺癌基因突变靶点

治疗肺癌的靶向药物有哪些有哪几种,肺癌靶向药医保药品有哪些

肺癌2019-12-31
治疗肺癌的靶向药物有哪些有哪几种,肺癌靶向药医保药品有哪些

肺癌脑转移怎么治疗,肺癌脑转移的治疗方案

肺癌2019-12-27
肺癌脑转移怎么治疗,肺癌脑转移的治疗方案

2019年肺癌靶向药靶向治疗和肺癌免疫治疗及免疫治疗药物盘点

肺癌2019-12-25
2019年肺癌靶向药靶向治疗和肺癌免疫治疗及免疫治疗药物盘点

肺癌kras基因突变的治疗,肺癌kras基因突变怎么办,肺癌kras基因突变靶向药帕博利珠单抗(Keytruda、K药、可瑞达、健痊得)

肺癌2019-12-24
肺癌kras基因突变的治疗,肺癌kras基因突变怎么办,肺癌kras基因突变靶向药帕博利珠单抗(Keytruda、K药、可瑞达、健痊得)

生存期翻三倍!国内首款PD-L1上市!Ⅲ期肺癌再添“免死金牌”

肺癌2019-12-16
生存期翻三倍!国内首款PD-L1上市!Ⅲ期肺癌再添“免死金牌”

国内首个上市的PD-L1药物Imfinzi(I药),Ⅲ期肺癌患者生存期翻三倍

肺癌2019-12-13
国内首个上市的PD-L1药物Imfinzi(I药),Ⅲ期肺癌患者生存期翻三倍

肺癌靶向药耐药后怎么办,肺癌靶向药耐药了怎么办,看看本篇就能找到答案

肺癌2019-12-12
肺癌靶向药耐药后怎么办,肺癌靶向药耐药了怎么办,看看本篇就能找到答案

肺癌晚期治疗,肺癌晚期怎么治疗,肺癌晚期治疗方法,肺癌晚期治疗方案

肺癌2019-12-06
肺癌晚期治疗,肺癌晚期怎么治疗,肺癌晚期治疗方法,肺癌晚期治疗方案

喜讯!终结无药悲剧!小细胞肺癌患者将迎来免疫治疗新药

肺癌2019-12-04
喜讯!终结无药悲剧!小细胞肺癌患者将迎来免疫治疗新药

晚期肺癌开启“去化疗”时代!免疫治疗让更多患者获“免死金牌”

肺癌2019-12-04
晚期肺癌开启“去化疗”时代!免疫治疗让更多患者获“免死金牌”

小细胞肺癌免疫治疗,小细胞肺癌免疫疗法,小细胞肺癌免疫治疗药物

肺癌2019-12-02
小细胞肺癌免疫治疗,小细胞肺癌免疫疗法,小细胞肺癌免疫治疗药物

肺癌免疫治疗,肺癌免疫疗法,肺癌的免疫治疗,肺癌免疫治疗药物

肺癌2019-11-27
肺癌免疫治疗,肺癌免疫疗法,肺癌的免疫治疗,肺癌免疫治疗药物

截至目前,国内、外已经获批的肺癌靶向药大全(建议收藏)

肺癌2019-11-11
截至目前,国内、外已经获批的肺癌靶向药大全(建议收藏)

无法治疗的肺癌,4厘米肿瘤竟消失了!这一新疗法功不可没

肺癌2019-11-11
无法治疗的肺癌,4厘米肿瘤竟消失了!这一新疗法功不可没

小细胞肺癌细胞免疫疗法,肺癌细胞免疫治疗,肺癌细胞免疫疗法治疗

肺癌2019-10-15
小细胞肺癌细胞免疫疗法,肺癌细胞免疫治疗,肺癌细胞免疫疗法治疗

肺癌靶向治疗,肺腺癌靶向治疗,治疗肺癌的靶向药奥希替尼成肺癌一线首选靶向药

肺癌2019-10-15
肺癌靶向治疗,肺腺癌靶向治疗,治疗肺癌的靶向药奥希替尼成肺癌一线首选靶向药

谁说肺癌治不好?他们已经逆转生存奇迹!五年未复发+根治

肺癌2019-09-24
谁说肺癌治不好?他们已经逆转生存奇迹!五年未复发+根治

癌症无进展生存机会来了!连最致命的肺癌和乳腺癌都有希望

肺癌2019-09-24
癌症无进展生存机会来了!连最致命的肺癌和乳腺癌都有希望

别放弃,晚期肺癌仍有无进展生存机会!他选择了这样的联合疗法

肺癌2019-09-24
别放弃,晚期肺癌仍有无进展生存机会!他选择了这样的联合疗法

晚期肺癌免疫治疗药物PD-1抑制剂纳武利尤单抗,Nivolumab,欧狄沃,Opdivo,O药

肺癌2019-09-17
晚期肺癌免疫治疗药物PD-1抑制剂纳武利尤单抗,Nivolumab,欧狄沃,Opdivo,O药

小细胞肺癌30多年无新药,德鲁单抗闪亮登场,拯救于水火

肺癌2019-09-16
小细胞肺癌30多年无新药,德鲁单抗闪亮登场,拯救于水火

治疗小细胞肺癌最新药,小细胞肺癌免疫疗法,小细胞肺癌免疫治疗药物I药(Imfinzi)

肺癌2019-09-12
治疗小细胞肺癌最新药,小细胞肺癌免疫疗法,小细胞肺癌免疫治疗药物I药(Imfinzi)

2019肺癌新药,肺癌最新靶向药,肺癌新药,肺癌MET基因突变新药MET抑制剂Capmatinib

肺癌2019-09-10
2019肺癌新药,肺癌最新靶向药,肺癌新药,肺癌MET基因突变新药MET抑制剂Capmatinib

肺癌靶向治疗,治疗肺癌的靶向药,肺癌生物靶向治疗,肺癌的靶向药物有哪些,肺癌靶向药物

肺癌2019-09-10
肺癌靶向治疗,治疗肺癌的靶向药,肺癌生物靶向治疗,肺癌的靶向药物有哪些,肺癌靶向药物

晚期肺癌肿瘤消失,他只用了这样的治疗方案

肺癌2019-09-02
晚期肺癌肿瘤消失,他只用了这样的治疗方案

从放弃治疗到肿瘤缩小90%,她竟这样战胜了晚期肺癌

肺癌2019-08-30
从放弃治疗到肿瘤缩小90%,她竟这样战胜了晚期肺癌

知道这些新疗法,晚期肺癌也能活过五年

肺癌2019-08-26
知道这些新疗法,晚期肺癌也能活过五年

喜讯!小细胞肺癌不再无药可选,FDA已经接受新药申请

肺癌2019-08-20
喜讯!小细胞肺癌不再无药可选,FDA已经接受新药申请

疾病控制率100%!抗癌新药BLU-667招募非小细胞肺癌等实体瘤患者

肺癌2019-08-16
疾病控制率100%!抗癌新药BLU-667招募非小细胞肺癌等实体瘤患者

肺癌靶向治疗耐药后,不知所措?看看本篇就能找到答案

肺癌2019-08-15
肺癌靶向治疗耐药后,不知所措?看看本篇就能找到答案

2019最新盘点:史上靶向药及免疫治疗指导,收藏检索备用

肺癌2019-08-15
2019最新盘点:史上靶向药及免疫治疗指导,收藏检索备用

多款国产抗癌药问世,比进口药更安全,更便宜

肺癌2019-08-15
多款国产抗癌药问世,比进口药更安全,更便宜

找到ALK钻石突变,战胜肺癌并不难!5种问世靶向药任选!

肺癌2019-08-09
找到ALK钻石突变,战胜肺癌并不难!5种问世靶向药任选!

80岁老人抗癌心得:运动+乐观+28次质子治疗让我战胜癌症

肺癌2019-08-09
80岁老人抗癌心得:运动+乐观+28次质子治疗让我战胜癌症

2019最新治疗指南出炉!小细胞肺癌迎来新药

肺癌2019-08-09
2019最新治疗指南出炉!小细胞肺癌迎来新药

在生命只剩5个月时甩掉癌症!十年了,它再也没复发

肺癌2019-08-07
在生命只剩5个月时甩掉癌症!十年了,它再也没复发

奇迹!五年存活率5%的小细胞肺癌,我质子治疗后肿瘤消失了

肺癌2019-07-29
奇迹!五年存活率5%的小细胞肺癌,我质子治疗后肿瘤消失了

三年存活率近60%,这款PD-L1抑制剂再次给肺癌以新希望

肺癌2019-07-29
三年存活率近60%,这款PD-L1抑制剂再次给肺癌以新希望

2019最新中国版肺癌诊疗指南出炉,手把手教您怎么治

肺癌2019-07-29
2019最新中国版肺癌诊疗指南出炉,手把手教您怎么治

肺癌靶点不止你知道的那几个!2019最新靶向药进展盘点

肺癌2019-07-19
肺癌靶点不止你知道的那几个!2019最新靶向药进展盘点

晚期肺癌幸存11年,全因这种“特药”

肺癌2019-07-19
晚期肺癌幸存11年,全因这种“特药”

美国USNews最新公布:这四种食物明确致癌你却每天都在吃!快远离

肺癌2019-07-18
美国USNews最新公布:这四种食物明确致癌你却每天都在吃!快远离

全面扫荡癌细胞,美国全新无痛无创治疗方式将在今年登陆国内

肺癌2019-07-18
全面扫荡癌细胞,美国全新无痛无创治疗方式将在今年登陆国内

为什么各国癌症患者都跑去古巴寻找一种“神奇”的治疗方法?

肺癌2019-07-18
为什么各国癌症患者都跑去古巴寻找一种“神奇”的治疗方法?

晚期肺癌不知不觉活过6年,竟然是靠这种靶向药

肺癌2019-07-18
晚期肺癌不知不觉活过6年,竟然是靠这种靶向药

生存期翻倍!彻底打败克唑替尼的广谱抗癌药即将问世

肺癌2019-07-12
生存期翻倍!彻底打败克唑替尼的广谱抗癌药即将问世

生存期翻倍!彻底打败克唑替尼的广谱抗癌药即将问世

肺癌2019-07-12
生存期翻倍!彻底打败克唑替尼的广谱抗癌药即将问世

EGFR靶向药耐药后,还有这些联合疗法可选

肺癌2019-07-12
EGFR靶向药耐药后,还有这些联合疗法可选

不抛弃!不放弃!谁说小细胞肺癌无药可治?2019新版用药指南出炉

肺癌2019-07-04
不抛弃!不放弃!谁说小细胞肺癌无药可治?2019新版用药指南出炉

选对治疗方案,这些肺癌能无进展生存

肺癌2019-07-02
选对治疗方案,这些肺癌能无进展生存

快看!晚期肺癌也能”无进展生存“,这些跨过五年的患者是怎么做到的?

肺癌2019-07-02
快看!晚期肺癌也能”无进展生存“,这些跨过五年的患者是怎么做到的?

2019最新解读——肺癌靶向药ALK抑制剂用药指南

肺癌2019-07-02
2019最新解读——肺癌靶向药ALK抑制剂用药指南

不坚持一下怎么知道还有救?奔波8000公里找到肺癌新药

肺癌2019-07-01
不坚持一下怎么知道还有救?奔波8000公里找到肺癌新药

好消息!小细胞肺癌一线治疗再添新药,免疫疗法破茧成蝶

肺癌2019-07-01
好消息!小细胞肺癌一线治疗再添新药,免疫疗法破茧成蝶

解读——非小细胞肺癌靶向药ALK抑制剂用药指南

肺癌2019-07-01
解读——非小细胞肺癌靶向药ALK抑制剂用药指南

重大喜讯!刚刚,Keytruda获批治疗小细胞肺癌

肺癌2019-06-27
重大喜讯!刚刚,Keytruda获批治疗小细胞肺癌

史上!肺癌12大靶点全面解读及对应靶向药物方案盘点(2019)

肺癌2019-06-27
史上!肺癌12大靶点全面解读及对应靶向药物方案盘点(2019)

疾病控制率96%!PD-1这样用更有效

肺癌2019-06-27
疾病控制率96%!PD-1这样用更有效

肺癌患者用靶向药花费10万却无效,皆因一份假基因检测报告!

肺癌2019-06-18
肺癌患者用靶向药花费10万却无效,皆因一份假基因检测报告!

【免费会诊】符合这些条件的肺癌患者,都可以考虑质子治疗

肺癌2019-06-17
【免费会诊】符合这些条件的肺癌患者,都可以考虑质子治疗

2992靶向药物,印度版2992靶向药价格

肺癌2019-06-15
2992靶向药物,印度版2992靶向药价格

晚期肺癌有救了!这些“无进展生存系”新药一定要知道

肺癌2019-06-10
晚期肺癌有救了!这些“无进展生存系”新药一定要知道

这个方法,让晚期肺癌五年生存率翻了6倍

肺癌2019-06-10
这个方法,让晚期肺癌五年生存率翻了6倍

2019 ASCO肺癌专场:靶向药救赎时刻,带来“无进展生存”新希望

肺癌2019-06-06
2019 ASCO肺癌专场:靶向药救赎时刻,带来“无进展生存”新希望

小细胞肺癌别放弃治疗,二线治疗新药带来新希望

肺癌2019-06-03
小细胞肺癌别放弃治疗,二线治疗新药带来新希望

ASCO重磅:晚期非小细胞肺癌派姆单抗单药治疗也能活过5年

肺癌2019-06-03
ASCO重磅:晚期非小细胞肺癌派姆单抗单药治疗也能活过5年

肺癌患者术后如何预防复发,这些手段可以选择

肺癌2019-05-30
肺癌患者术后如何预防复发,这些手段可以选择

肺癌患者如何才能活过5年,10年,甚至达到“无进展生存”?

肺癌2019-05-16
肺癌患者如何才能活过5年,10年,甚至达到“无进展生存”?

肺癌最易发生脑转移,这么多治疗手段够您选的了!

肺癌2019-05-14
肺癌最易发生脑转移,这么多治疗手段够您选的了!

晚期非小细胞肺癌标准治疗耐药后怎么办?

肺癌2019-05-08
晚期非小细胞肺癌标准治疗耐药后怎么办?

全球治疗肺癌最好的医院都在哪?务必收藏这份史上就医攻略!

肺癌2019-05-07
全球治疗肺癌最好的医院都在哪?务必收藏这份史上就医攻略!

喜讯肺癌一线治疗又添猛将!PD-L1低表达的肺癌患者也能使用K药啦

肺癌2019-04-25
喜讯肺癌一线治疗又添猛将!PD-L1低表达的肺癌患者也能使用K药啦

2019欧洲肺癌大会精彩集锦!一文总览肺癌靶向及免疫治疗最新进展

肺癌2019-04-25
2019欧洲肺癌大会精彩集锦!一文总览肺癌靶向及免疫治疗最新进展

95%病灶消失!肺癌患者都怕的脑转移新药来了!

肺癌2019-04-25
95%病灶消失!肺癌患者都怕的脑转移新药来了!

超幸运!晚期肺癌无药可医后发现NRG1突变,又获两年生存期

肺癌2019-04-22
超幸运!晚期肺癌无药可医后发现NRG1突变,又获两年生存期

非小细胞肺癌EGFR靶向药龙争虎斗,先用谁后用谁大有讲究!

肺癌2019-04-17
非小细胞肺癌EGFR靶向药龙争虎斗,先用谁后用谁大有讲究!

非小细胞肺癌脑转移了?不用怕,治疗选择其实很多!

肺癌2019-04-12
非小细胞肺癌脑转移了?不用怕,治疗选择其实很多!

澳大利亚重磅发现!吃辣椒可减缓肺癌生长,阻止转移!成新抗癌武器指日可待

肺癌2019-04-11
澳大利亚重磅发现!吃辣椒可减缓肺癌生长,阻止转移!成新抗癌武器指日可待

可阻止肺癌长达五年,甚至“无进展生存”它的免疫治疗药物免费用!

肺癌2019-04-10
可阻止肺癌长达五年,甚至“无进展生存”它的免疫治疗药物免费用!

肺癌复发,梦想即将破灭,但质子治疗让我我顺利追寻“烧烤”梦!

肺癌2019-04-08
肺癌复发,梦想即将破灭,但质子治疗让我我顺利追寻“烧烤”梦!

一线治疗总生存期近3年!二代非小细胞肺癌靶向药达克替尼美国欧洲均获批!

肺癌2019-04-04
一线治疗总生存期近3年!二代非小细胞肺癌靶向药达克替尼美国欧洲均获批!

治疗失败的小细胞肺癌,别放弃!派姆单抗可能延长生存期20多个月

肺癌2019-04-02
治疗失败的小细胞肺癌,别放弃!派姆单抗可能延长生存期20多个月

刚刚,Keytruda(K药)在中国大陆获批肺癌一线治疗!

肺癌2019-04-02
刚刚,Keytruda(K药)在中国大陆获批肺癌一线治疗!

刚刚,Keytruda(K药)在中国大陆获批肺癌一线治疗!

肺癌2019-04-02
刚刚,Keytruda(K药)在中国大陆获批肺癌一线治疗!

肺癌骨转移疼起来真要命!处理方法都在这

肺癌2019-03-26
肺癌骨转移疼起来真要命!处理方法都在这

五年生存率翻三倍!哪些非小细胞肺癌患者可以使用PD-1?

肺癌2019-03-26
五年生存率翻三倍!哪些非小细胞肺癌患者可以使用PD-1?

JAMA数据更新:晚期肺癌预防脑转移放疗没有改善总生存期!

肺癌2019-03-22
JAMA数据更新:晚期肺癌预防脑转移放疗没有改善总生存期!

非小细胞肺癌EGFR靶向药耐药,有新办法了!

肺癌2019-03-21
非小细胞肺癌EGFR靶向药耐药,有新办法了!

IV期非小细胞肺癌还能活7年,只因这个基因突变!还不赶快基因检测?

肺癌2019-03-21
IV期非小细胞肺癌还能活7年,只因这个基因突变!还不赶快基因检测?

JAMA数据更新:晚期肺癌预防脑转移放疗没有改善总生存期!

肺癌2019-03-21
JAMA数据更新:晚期肺癌预防脑转移放疗没有改善总生存期!

速递|刚刚!首个一线治疗小细胞肺癌的免疫疗法获批!

肺癌2019-03-19
速递|刚刚!首个一线治疗小细胞肺癌的免疫疗法获批!

最适合质子治疗的肺癌类型,您千万别错过!

肺癌2019-03-18
最适合质子治疗的肺癌类型,您千万别错过!

能够从肺癌中幸免于难的方法,只有这一个!

肺癌2019-03-18
能够从肺癌中幸免于难的方法,只有这一个!

首款PD-L1(阿特朱单抗)用药信息大盘点:肺癌、膀胱癌、乳腺癌

肺癌2019-03-14
首款PD-L1(阿特朱单抗)用药信息大盘点:肺癌、膀胱癌、乳腺癌

EGFR靶向药联合抗血管生成有望冲击肺癌一线治疗!

肺癌2019-03-13
EGFR靶向药联合抗血管生成有望冲击肺癌一线治疗!

强强联合:肺癌双免疫疗法有望进军一线治疗!

肺癌2019-03-12
强强联合:肺癌双免疫疗法有望进军一线治疗!

德鲁单抗(PD-L1)用药信息大盘点!肺癌、膀胱癌患者千万不能错过!

肺癌2019-03-11
德鲁单抗(PD-L1)用药信息大盘点!肺癌、膀胱癌患者千万不能错过!

肺癌放疗后肺纤维化死亡率高,不得不防!研究证实质子治疗可有效避免

肺癌2019-03-07
肺癌放疗后肺纤维化死亡率高,不得不防!研究证实质子治疗可有效避免

这九个不起眼的小症状,却可能是致命肺癌的前兆,不得不重视!

肺癌2019-03-04
这九个不起眼的小症状,却可能是致命肺癌的前兆,不得不重视!

【因祸得福】150ml胸水挽救肺癌患者生命!这样的机会您也别错过

肺癌2019-02-27
【因祸得福】150ml胸水挽救肺癌患者生命!这样的机会您也别错过

淹没在靶向药浪潮中的广谱抗癌药贝伐单抗,您错过了多少?

肺癌2019-02-26
淹没在靶向药浪潮中的广谱抗癌药贝伐单抗,您错过了多少?

抗癌好搭档——达拉非尼+曲美替尼,专门对抗BRAF突变肺癌

肺癌2019-02-25
抗癌好搭档——达拉非尼+曲美替尼,专门对抗BRAF突变肺癌

6年前诊断肺癌后被告知仅剩一年生命,如今癌症消失了!他如何治疗的?

肺癌2019-02-25
6年前诊断肺癌后被告知仅剩一年生命,如今癌症消失了!他如何治疗的?

知否?奥希替尼耐药机制逐一告破!四大策略助力肺癌精准治疗!

肺癌2019-02-25
知否?奥希替尼耐药机制逐一告破!四大策略助力肺癌精准治疗!

ALK阳性肺癌二代靶向药色瑞替尼用药指导大全!

肺癌2019-02-22
ALK阳性肺癌二代靶向药色瑞替尼用药指导大全!

肺癌三代靶向药劳拉替尼强势来袭,保底ALK基因突变!

肺癌2019-02-21
肺癌三代靶向药劳拉替尼强势来袭,保底ALK基因突变!

肺癌二代靶向药阿来替尼一线用药,完美碾压克唑替尼!

肺癌2019-02-20
肺癌二代靶向药阿来替尼一线用药,完美碾压克唑替尼!

干货|肺癌患者如何选择PD-1?K药、O药、T药、I药用药信息汇总!

肺癌2019-02-19
干货|肺癌患者如何选择PD-1?K药、O药、T药、I药用药信息汇总!

开辟新天地!曝新肺癌靶向用药相关基因被发现,这下患者或有救了

肺癌2019-02-19
开辟新天地!曝新肺癌靶向用药相关基因被发现,这下患者或有救了

MD安德森临床前研究:肿瘤100%消退!小细胞肺癌又来重磅组合!

肺癌2019-02-18
MD安德森临床前研究:肿瘤100%消退!小细胞肺癌又来重磅组合!

肺癌二代靶向药达克替尼获批一线用药,总生存期高达34个月!

肺癌2019-02-18
肺癌二代靶向药达克替尼获批一线用药,总生存期高达34个月!

首个国产肺癌靶向药(EGFR)凯美纳治疗信息大全

肺癌2019-02-15
首个国产肺癌靶向药(EGFR)凯美纳治疗信息大全

肺癌明星靶向药(ALK/ROS1)——克唑替尼治疗信息大全

肺癌2019-02-14
肺癌明星靶向药(ALK/ROS1)——克唑替尼治疗信息大全

2019肺癌治疗开年展望:PD1联合化疗将成为一线用药主流

肺癌2019-02-14
2019肺癌治疗开年展望:PD1联合化疗将成为一线用药主流

肺癌靶向EGFR(T790M)奥希替尼治疗信息盘点

肺癌2019-02-14
肺癌靶向EGFR(T790M)奥希替尼治疗信息盘点

肺癌最常见EGFR靶向药——吉非替尼(易瑞沙)治疗信息大全

肺癌2019-02-14
肺癌最常见EGFR靶向药——吉非替尼(易瑞沙)治疗信息大全

重磅!一线治疗再添强将!NTRK写入2019非小细胞肺癌指南!

肺癌2019-02-14
重磅!一线治疗再添强将!NTRK写入2019非小细胞肺癌指南!

抗癌明星靶向药奥希替尼耐药后,该何去何从?

肺癌2019-02-13
抗癌明星靶向药奥希替尼耐药后,该何去何从?

三代肺癌靶向药纳扎替尼:控制率高达93%,脑转控制率高

肺癌2019-02-13
三代肺癌靶向药纳扎替尼:控制率高达93%,脑转控制率高

美国肺癌专家谈:抗癌明星靶向药奥希替尼耐药后,该何去何从?

肺癌2019-02-13
美国肺癌专家谈:抗癌明星靶向药奥希替尼耐药后,该何去何从?

五年生存率从22%提升至40%!肺癌手术就要找他做!

肺癌2019-02-12
五年生存率从22%提升至40%!肺癌手术就要找他做!

有EGFR突变的非小细胞肺癌患者使用靶向药厄洛替尼的用药须知

肺癌2019-02-12
有EGFR突变的非小细胞肺癌患者使用靶向药厄洛替尼的用药须知

重磅!肺癌老药培美曲塞获批扩大适应症:联合免疫+铂类冲刺一线治疗

肺癌2019-02-01
重磅!肺癌老药培美曲塞获批扩大适应症:联合免疫+铂类冲刺一线治疗

2018年,小细胞肺癌靶向药治疗取得革命性进展!

肺癌2019-01-31
2018年,小细胞肺癌靶向药治疗取得革命性进展!

2019非小细胞肺癌患者将有哪些全新的治疗方案?

肺癌2019-01-30
2019非小细胞肺癌患者将有哪些全新的治疗方案?

沉寂20多年,小细胞肺癌终于迎来希望曙光!

肺癌2019-01-29
沉寂20多年,小细胞肺癌终于迎来希望曙光!

治疗前先了解清楚,肺癌到底有多少种不同的分型?

肺癌2019-01-28
治疗前先了解清楚,肺癌到底有多少种不同的分型?

肺癌TMB高一线PD-1治疗证据不足,PD-L1仍是首选标记物!

肺癌2019-01-25
肺癌TMB高一线PD-1治疗证据不足,PD-L1仍是首选标记物!

年终盘点!2018年获批肺癌靶向药有哪些?

肺癌2019-01-24
年终盘点!2018年获批肺癌靶向药有哪些?

肺癌放疗步入质子治疗新时代

肺癌2019-01-23
肺癌放疗步入质子治疗新时代

史上!非小细胞肺鳞癌治疗攻略(收藏)

肺癌2019-01-22
史上!非小细胞肺鳞癌治疗攻略(收藏)

2018年肺癌治疗最亮眼的进展有哪些?

肺癌2019-01-21
2018年肺癌治疗最亮眼的进展有哪些?

2019年肺癌一线疗法有望添新组合,FDA接受罗氏T药申请

肺癌2019-01-18
2019年肺癌一线疗法有望添新组合,FDA接受罗氏T药申请

美国肿瘤专家告诉您:肺癌脑转移该怎么办!

肺癌2019-01-18
美国肿瘤专家告诉您:肺癌脑转移该怎么办!

十多年来,晚期肺癌五年生存率提高近50%!这类靶向药功不可没

肺癌2019-01-17
十多年来,晚期肺癌五年生存率提高近50%!这类靶向药功不可没

战胜晚期肺癌仅靠NTRK突变!从巴西到纽约8000公里抗癌之路艰辛而值得!

肺癌2019-01-16
战胜晚期肺癌仅靠NTRK突变!从巴西到纽约8000公里抗癌之路艰辛而值得!

解读非小细胞肺癌PD-L1新药Durvalumab(中文名德鲁单抗、I药、Imfinzi)

肺癌2019-01-16
解读非小细胞肺癌PD-L1新药Durvalumab(中文名德鲁单抗、I药、Imfinzi)

不用再花冤枉钱!TMB预测癌症免疫治疗效果获《nature》权威认证!

肺癌2019-01-16
不用再花冤枉钱!TMB预测癌症免疫治疗效果获《nature》权威认证!

非小细胞肺癌:化疗真的被靶向治疗+免疫治疗“拍在沙滩上”了吗?

肺癌2019-01-15
非小细胞肺癌:化疗真的被靶向治疗+免疫治疗“拍在沙滩上”了吗?

小细胞肺癌五年生存率、分期系统、标准疗法、最新进展大盘点,一文读懂!

肺癌2019-01-14
小细胞肺癌五年生存率、分期系统、标准疗法、最新进展大盘点,一文读懂!

肺癌离慢性病还有多远?美国专家为您解答!

肺癌2019-01-11
肺癌离慢性病还有多远?美国专家为您解答!

肺鳞癌又添新疗法,Atezolizumab四药联合中位总生存期近20个月!

肺癌2019-01-11
肺鳞癌又添新疗法,Atezolizumab四药联合中位总生存期近20个月!

国内癌症患者热衷的日本免疫细胞疗法有哪些先进之处?

肺癌2019-01-11
国内癌症患者热衷的日本免疫细胞疗法有哪些先进之处?

肿瘤学专家Perez-Soler为您讲述:小细胞肺癌免疫疗法取得前所未有的重大进展!

肺癌2019-01-11
肿瘤学专家Perez-Soler为您讲述:小细胞肺癌免疫疗法取得前所未有的重大进展!

小细胞肺癌一线治疗耐药了!别急,这项临床试验对您有用!

肺癌2019-01-10
小细胞肺癌一线治疗耐药了!别急,这项临床试验对您有用!

适用全部肺癌类型!全面揭秘派姆单抗在肺癌中的绝对优势

肺癌2019-01-04
适用全部肺癌类型!全面揭秘派姆单抗在肺癌中的绝对优势

早期肺癌免疫疗法凸显成效!辅助手术治疗有望维持治疗延长生存期!

肺癌2019-01-04
早期肺癌免疫疗法凸显成效!辅助手术治疗有望维持治疗延长生存期!

2019年,美国非小细胞肺癌治疗新技术有哪些?

肺癌2019-01-03
2019年,美国非小细胞肺癌治疗新技术有哪些?

小细胞肺癌,20年无新药问世!PD-L1抑制剂将改写一线方案!

肺癌2019-01-02
小细胞肺癌,20年无新药问世!PD-L1抑制剂将改写一线方案!

收藏|2019非小细胞肺癌靶向治疗年初大盘点

肺癌2019-01-02
收藏|2019非小细胞肺癌靶向治疗年初大盘点

别放弃治疗!晚期小细胞肺癌也并非无路可走!

肺癌2018-12-19
别放弃治疗!晚期小细胞肺癌也并非无路可走!

2019肺癌治疗最新指南发布!肺癌患者最关心的问题都总结在这了

肺癌2018-12-18
2019肺癌治疗最新指南发布!肺癌患者最关心的问题都总结在这了

小细胞肺癌精准分期放化疗对生存期的影响

肺癌2018-12-12
小细胞肺癌精准分期放化疗对生存期的影响

首次证实!无瘤生存期延长10.7个月!肺癌手术后选择靶向药更好!

肺癌2018-12-12
首次证实!无瘤生存期延长10.7个月!肺癌手术后选择靶向药更好!

年终盘点(一)|小细胞肺癌最新治疗方案及新药研究汇总

肺癌2018-12-12
年终盘点(一)|小细胞肺癌最新治疗方案及新药研究汇总

20年新突破!明年3月小细胞肺癌将有新药可用!

肺癌2018-12-12
20年新突破!明年3月小细胞肺癌将有新药可用!

每年节省18万元治疗费,第三代靶向药临床试验正在招募!

肺癌2018-12-11
每年节省18万元治疗费,第三代靶向药临床试验正在招募!

IIIa期肺癌切除前这样给药,应答率高达80%

肺癌2018-12-10
IIIa期肺癌切除前这样给药,应答率高达80%

肺癌4药联合疗法获批 一线治疗中位总生存期近20个月

肺癌2018-12-07
肺癌4药联合疗法获批 一线治疗中位总生存期近20个月

ALK突变肺癌一线治疗靶向药越来越多

肺癌2018-12-05
ALK突变肺癌一线治疗靶向药越来越多

全世界早期非小细胞肺癌患者免费用“神药”欧迪沃的机会来啦!

肺癌2018-11-27
全世界早期非小细胞肺癌患者免费用“神药”欧迪沃的机会来啦!

美国首次在古巴创建生物公司,为晚期肺癌患者提供新的治疗药物!

肺癌2018-11-27
美国首次在古巴创建生物公司,为晚期肺癌患者提供新的治疗药物!

乳腺癌常见的突变基因HER2出现在肺癌里 肿么办?

肺癌2018-11-26
乳腺癌常见的突变基因HER2出现在肺癌里  肿么办?

肺癌ALK/ROS1 色瑞替尼耐药 可以改换阿法替尼

肺癌2018-11-26
肺癌ALK/ROS1 色瑞替尼耐药 可以改换阿法替尼

巨星陨落!金庸之后,另一武侠大师因肺癌走了!

肺癌2018-11-21
巨星陨落!金庸之后,另一武侠大师因肺癌走了!

肺癌--免疫联合治疗结果大爆冷!!看完你会哭吗

肺癌2018-11-20
肺癌--免疫联合治疗结果大爆冷!!看完你会哭吗

无进展生存期延长11个月的肺癌新药——Durvalumab,免费用!

肺癌2018-11-19
无进展生存期延长11个月的肺癌新药——Durvalumab,免费用!

史上!肺癌靶点全面解读及对应靶向药物方案盘点!(2018)

肺癌2018-11-19
史上!肺癌靶点全面解读及对应靶向药物方案盘点!(2018)

最新研究发现:糖促进早期肿瘤的生长

肺癌2018-11-16
最新研究发现:糖促进早期肿瘤的生长

K药治疗无论鳞状or非鳞NSCLC都有希望

肺癌2018-11-13
K药治疗无论鳞状or非鳞NSCLC都有希望

关于肺癌,您应该知道的事

肺癌2018-11-13
关于肺癌,您应该知道的事

科学家揭开阻止晚期肿瘤生长的谜团

肺癌2018-11-12
科学家揭开阻止晚期肿瘤生长的谜团

关于肺癌,您应该知道的事

肺癌2018-11-09
关于肺癌,您应该知道的事

肺癌EGFR第三代全新靶向药跃跃欲试一线治疗

肺癌2018-11-08
肺癌EGFR第三代全新靶向药跃跃欲试一线治疗

肺癌靶向HER2新药紧锣密鼓研究中

肺癌2018-11-08
肺癌靶向HER2新药紧锣密鼓研究中

氨柔比星用于小细胞肺癌效果不明显

肺癌2018-11-07
氨柔比星用于小细胞肺癌效果不明显

2018,两款重磅新药给RET基因融合的癌症患者带来春天!

肺癌2018-11-06
2018,两款重磅新药给RET基因融合的癌症患者带来春天!

PK克唑替尼一线霸主地位,布加替尼完胜

肺癌2018-11-06
PK克唑替尼一线霸主地位,布加替尼完胜

因烟草控制成果:2065年肺癌死亡率将降低79%

肺癌2018-11-06
因烟草控制成果:2065年肺癌死亡率将降低79%

EGFR耐药不只T790M,MET抑制剂tepotinib了解一下

肺癌2018-11-05
EGFR耐药不只T790M,MET抑制剂tepotinib了解一下

肺腑之言|派姆单抗狙击肺癌获大满贯,其他癌种也没放过

肺癌2018-11-01
肺腑之言|派姆单抗狙击肺癌获大满贯,其他癌种也没放过

Keytruda(K药)获FDA批准,涵盖鳞状&非鳞状肺癌一线治疗

肺癌2018-11-01
Keytruda(K药)获FDA批准,涵盖鳞状&非鳞状肺癌一线治疗

一文总览|2018肺癌靶向治疗及免疫治疗进展!

肺癌2018-11-01
一文总览|2018肺癌靶向治疗及免疫治疗进展!

显著延长生存期——III期肺癌治疗少不了德鲁单抗

肺癌2018-10-31
显著延长生存期——III期肺癌治疗少不了德鲁单抗

免费用pd-1的机会来啦!晚期或转移性鳞状非小细胞肺癌患者招募

肺癌2018-10-31
免费用pd-1的机会来啦!晚期或转移性鳞状非小细胞肺癌患者招募

免费用pd-1的机会来啦!晚期或转移性鳞状非小细胞肺癌患者招募

肺癌2018-10-31
免费用pd-1的机会来啦!晚期或转移性鳞状非小细胞肺癌患者招募

IV期肺癌积极手术或者放疗能至少多活两年

肺癌2018-10-30
IV期肺癌积极手术或者放疗能至少多活两年

重磅!艾乐替尼一线治疗亚洲ALK+肺癌数据公布,已在中国上市

肺癌2018-10-29
重磅!艾乐替尼一线治疗亚洲ALK+肺癌数据公布,已在中国上市

全球癌症夺命杀手肺癌真的让人束手无策吗?不,质子治疗后长期存活不再是梦

肺癌2018-10-24
全球癌症夺命杀手肺癌真的让人束手无策吗?不,质子治疗后长期存活不再是梦

【2018 ESMO】这些关于肺癌的最新研究值得关注——EGFR+、ALK+、PD-1……

肺癌2018-10-23
【2018 ESMO】这些关于肺癌的最新研究值得关注——EGFR+、ALK+、PD-1……

晚期肺癌患者千万别懒 锻炼身体获益多

肺癌2018-10-22
晚期肺癌患者千万别懒 锻炼身体获益多

大麻与肺癌的恩恩怨怨

肺癌2018-10-19
大麻与肺癌的恩恩怨怨

一滴血就知道O药(nivolumab)治疗肺癌有没有效

肺癌2018-10-18
一滴血就知道O药(nivolumab)治疗肺癌有没有效

小细胞肺癌CheckMate-331试验未达到主要目标

肺癌2018-10-16
小细胞肺癌CheckMate-331试验未达到主要目标

液体活检联合组织活检可以检测到基因突变翻倍

肺癌2018-10-15
液体活检联合组织活检可以检测到基因突变翻倍

美国报道:学术中心治疗NSCLC两年生存率更高

肺癌2018-10-12
美国报道:学术中心治疗NSCLC两年生存率更高

美国加州肺癌死亡率降低28% 戒烟是最好的良药

肺癌2018-10-12
美国加州肺癌死亡率降低28%  戒烟是最好的良药

小细胞肺癌福音,免疫药物最终带来了生存改善!

肺癌2018-10-10
小细胞肺癌福音,免疫药物最终带来了生存改善!

小细胞肺癌福音,免疫药物最终带来了生存改善!

肺癌2018-10-10
小细胞肺癌福音,免疫药物最终带来了生存改善!

液体活检助阵筛查 早期肺癌无处遁形

肺癌2018-10-09
液体活检助阵筛查  早期肺癌无处遁形

截至2018年10月,FDA批准肺癌靶向药大全(建议收藏)

肺癌2018-10-08
截至2018年10月,FDA批准肺癌靶向药大全(建议收藏)

聆听肺癌患者MD安德森治疗之旅:质子治疗让我重获新生

肺癌2018-10-08
聆听肺癌患者MD安德森治疗之旅:质子治疗让我重获新生

小细胞癌:肺癌与前列腺癌有着相同的发病机制

肺癌2018-10-08
小细胞癌:肺癌与前列腺癌有着相同的发病机制

【2018 WCLC】世界肺癌大会中国重磅研究闪亮登场(二)

肺癌2018-09-30
【2018 WCLC】世界肺癌大会中国重磅研究闪亮登场(二)

durvalumab治疗晚期NSCLC无进展生存期延长11.6个月

肺癌2018-09-29
durvalumab治疗晚期NSCLC无进展生存期延长11.6个月

白血病药物midostaurin对NSCLC有治疗前景

肺癌2018-09-29
白血病药物midostaurin对NSCLC有治疗前景

【2018 WCLC】世界肺癌大会精彩集锦(一)

肺癌2018-09-29
【2018 WCLC】世界肺癌大会精彩集锦(一)

FDA消息:EGFR突变肺癌一线治疗再添新药

肺癌2018-09-28
FDA消息:EGFR突变肺癌一线治疗再添新药

战胜肺癌有新招 纳米粒子携药系统局部给药有效副作用小

肺癌2018-09-27
战胜肺癌有新招  纳米粒子携药系统局部给药有效副作用小

肺癌靶向药有了新靶点可以对抗白血病

肺癌2018-09-27
肺癌靶向药有了新靶点可以对抗白血病

布加替尼III期临床结果公布 有望成为肺癌一线用药

肺癌2018-09-26
布加替尼III期临床结果公布 有望成为肺癌一线用药

高科技手术室能在一天内完成肺癌确诊及手术切除

肺癌2018-09-26
高科技手术室能在一天内完成肺癌确诊及手术切除

研究显示:肺癌女性患者生存期长于男性患者

肺癌2018-09-25
研究显示:肺癌女性患者生存期长于男性患者

新药entrectinib有望超越克唑替尼成为新一代ROS1突变克星

肺癌2018-09-25
新药entrectinib有望超越克唑替尼成为新一代ROS1突变克星

肺癌手术方法选对了 可以避免服用阿片类止痛药

肺癌2018-09-25
肺癌手术方法选对了 可以避免服用阿片类止痛药

早期肺癌选用热消融疗法或许伤害最小

肺癌2018-09-19
早期肺癌选用热消融疗法或许伤害最小

肺癌专栏|天降喜讯,有这些突变您就有救了

肺癌2018-09-17
肺癌专栏|天降喜讯,有这些突变您就有救了

肺癌一线靶向治疗耐药后,还有机会使用免疫治疗吗?

肺癌2018-09-17
肺癌一线靶向治疗耐药后,还有机会使用免疫治疗吗?

结肠癌、肺癌和胰腺癌常见无药可医的致癌基因KRAS突变到底如何神通广大?

肺癌2018-09-12
结肠癌、肺癌和胰腺癌常见无药可医的致癌基因KRAS突变到底如何神通广大?

肺癌组织活检你不知道事(一)

肺癌2018-09-10
肺癌组织活检你不知道事(一)

肺癌组织活检你不知道的事(二)

肺癌2018-09-10
肺癌组织活检你不知道的事(二)

小细胞肺癌的分期治疗原则

肺癌2018-09-06
小细胞肺癌的分期治疗原则

第六期北肿抗癌大讲堂--肺癌知识漫谈!

肺癌2018-08-31
第六期北肿抗癌大讲堂--肺癌知识漫谈!

肺癌筛查前医患讨论进行不充分

肺癌2018-08-29
肺癌筛查前医患讨论进行不充分

肺癌早期症状不明显 及早预防及早筛查

肺癌2018-08-24
肺癌早期症状不明显 及早预防及早筛查

肺癌治疗发现新靶点:BCL11A蛋白

肺癌2018-08-22
肺癌治疗发现新靶点:BCL11A蛋白

K药获批治疗非鳞非小细胞肺癌一线治疗

肺癌2018-08-22
K药获批治疗非鳞非小细胞肺癌一线治疗

重度吸烟者需定期肺癌筛查,但医生需告知风险与益处

肺癌2018-08-21
重度吸烟者需定期肺癌筛查,但医生需告知风险与益处

肺癌患者、家人和朋友需要知道的

肺癌2018-08-21
肺癌患者、家人和朋友需要知道的

时隔20载首款新药获批 小细胞肺癌迎来春天

肺癌2018-08-20
时隔20载首款新药获批 小细胞肺癌迎来春天

肺癌发生与进展机制大揭秘

肺癌2018-08-20
肺癌发生与进展机制大揭秘

免疫治疗与放疗相结合提高晚期NSCLC患者的生存率

肺癌2018-08-16
免疫治疗与放疗相结合提高晚期NSCLC患者的生存率

2018 ASCO年会重磅数据:达克替尼一线治疗EGFR + NSCLC患者优于吉非替尼

肺癌2018-08-14
2018 ASCO年会重磅数据:达克替尼一线治疗EGFR + NSCLC患者优于吉非替尼

肺癌患者心理、止痛等姑息治疗可降低自杀率

肺癌2018-08-13
肺癌患者心理、止痛等姑息治疗可降低自杀率

四期肺癌患者接受免疫治疗后缓解多年!你适合这种疗法么?

肺癌2018-08-09
四期肺癌患者接受免疫治疗后缓解多年!你适合这种疗法么?

Nivolumab与Ipilimumab 联合应用于NSCLC的治疗

肺癌2018-08-07
Nivolumab与Ipilimumab 联合应用于NSCLC的治疗

FDA批准Lurbinectedin为小细胞肺癌的罕用药

肺癌2018-08-07
FDA批准Lurbinectedin为小细胞肺癌的罕用药

研究发现:调节端粒酶 可以阻止肺癌生长

肺癌2018-08-07
研究发现:调节端粒酶 可以阻止肺癌生长

研究预警:预计到2030年,女性肺癌死亡人数将增加43%

肺癌2018-08-06
研究预警:预计到2030年,女性肺癌死亡人数将增加43%

肺癌的免疫治疗与化疗结合取得突破性进展

肺癌2018-08-02
肺癌的免疫治疗与化疗结合取得突破性进展

人体天然激素,有望提高肺癌化疗疗效

肺癌2018-07-31
人体天然激素,有望提高肺癌化疗疗效

【抗癌日报】-肺癌一线治疗靶向药到达III期临床终点

肺癌2018-07-27
【抗癌日报】-肺癌一线治疗靶向药到达III期临床终点

研究发现激素药物可以降低化疗副作用

肺癌2018-07-27
研究发现激素药物可以降低化疗副作用

有望成为肺癌一线疗法,ALK阳性新药抵达3期终点

肺癌2018-07-27
有望成为肺癌一线疗法,ALK阳性新药抵达3期终点

尽早为所有肺癌患者做新一代测序

肺癌2018-07-25
尽早为所有肺癌患者做新一代测序

目前治疗转移性肺癌的简要指南

肺癌2018-07-25
目前治疗转移性肺癌的简要指南

肺癌脑转移的“罪魁祸首”

肺癌2018-07-24
肺癌脑转移的“罪魁祸首”

肺癌筛查or不筛查?这项研究给你指导

肺癌2018-07-23
肺癌筛查or不筛查?这项研究给你指导

半实体结节主动监测可减少肺癌手术和过度治疗

肺癌2018-07-18
半实体结节主动监测可减少肺癌手术和过度治疗

小细胞肺癌已经很难治疗 现又发现其亚型

肺癌2018-07-17
小细胞肺癌已经很难治疗 现又发现其亚型

救命良方!4个蛋白就能检测出早期肺癌

肺癌2018-07-13
救命良方!4个蛋白就能检测出早期肺癌

肺癌患者使用PD-1需要注意的十大问题!

肺癌2018-07-13
肺癌患者使用PD-1需要注意的十大问题!

肺癌脑转移治疗急需对抗血脑屏障的靶向药

肺癌2018-07-11
肺癌脑转移治疗急需对抗血脑屏障的靶向药

肺癌靶向治疗基因检测要特别注意哪些突变基因?

肺癌2018-07-10
肺癌靶向治疗基因检测要特别注意哪些突变基因?

一线治疗肺鳞癌,Keytruda获优先审评

肺癌2018-07-03
一线治疗肺鳞癌,Keytruda获优先审评

FDA批准奥希替尼用于一线治疗EGFR突变非小细胞肺癌

肺癌2018-06-29
FDA批准奥希替尼用于一线治疗EGFR突变非小细胞肺癌

T药联合化疗有望获批一线治疗小细胞肺癌

肺癌2018-06-26
T药联合化疗有望获批一线治疗小细胞肺癌

重磅研究:找到小细胞肺癌治疗新药物

肺癌2018-06-26
重磅研究:找到小细胞肺癌治疗新药物

接受姑息治疗的晚期肺癌患者自杀率较少

肺癌2018-06-25
接受姑息治疗的晚期肺癌患者自杀率较少

现有的治疗方法可以用来治疗常见的“无法无进展生存”的肺癌

肺癌2018-06-25
现有的治疗方法可以用来治疗常见的“无法无进展生存”的肺癌

O药联合Y药一线治疗肺癌有望2019年初获批

肺癌2018-06-22
O药联合Y药一线治疗肺癌有望2019年初获批

肺癌靶向药不是你想用就能用 必须经过这一关

肺癌2018-06-21
肺癌靶向药不是你想用就能用     必须经过这一关

支气管镜干什么用的?

肺癌2018-06-21
支气管镜干什么用的?

肺癌突破:胆固醇化合物成功抑制肺癌细胞生长

肺癌2018-06-20
肺癌突破:胆固醇化合物成功抑制肺癌细胞生长

非小细胞肺癌临床招募|比较LY01008 (重组抗VEGF人源化单克隆抗体)和贝伐珠单抗分别联合紫杉醇与卡铂治疗非小细胞肺癌

肺癌2018-06-14
非小细胞肺癌临床招募|比较LY01008 (重组抗VEGF人源化单克隆抗体)和贝伐珠单抗分别联合紫杉醇与卡铂治疗非小细胞肺癌

研究:新蛋白能揪出69%-81%的早期肺癌

肺癌2018-06-13
研究:新蛋白能揪出69%-81%的早期肺癌

小细胞肺癌有靶向药重大突破

肺癌2018-06-12
小细胞肺癌有靶向药重大突破

这个抗癌药物或将成为治疗晚期肺癌的新武器!

肺癌2018-06-07
这个抗癌药物或将成为治疗晚期肺癌的新武器!

ASCO:二代靶向药一线治疗肺癌总生存期近3年!

肺癌2018-06-06
ASCO:二代靶向药一线治疗肺癌总生存期近3年!

ASCO:治疗小细胞肺癌,Keytruda治疗结果喜人

肺癌2018-06-05
ASCO:治疗小细胞肺癌,Keytruda治疗结果喜人

(ASCO)肺癌——安罗替尼突出重围

肺癌2018-06-04
(ASCO)肺癌——安罗替尼突出重围

一线治疗肺癌,T药联合疗法抵达OS和PFS共同终点

肺癌2018-05-31
一线治疗肺癌,T药联合疗法抵达OS和PFS共同终点

一款新药战胜KRAS突变肺癌和胰腺癌

肺癌2018-05-31
一款新药战胜KRAS突变肺癌和胰腺癌

肺癌筛查or不筛查?这项研究给你指导

肺癌2018-05-29
肺癌筛查or不筛查?这项研究给你指导

年轻女性肺癌发病率升高需引起关注

肺癌2018-05-25
年轻女性肺癌发病率升高需引起关注

大反转!年轻女性肺癌发病率逐渐高于男性

肺癌2018-05-24
大反转!年轻女性肺癌发病率逐渐高于男性

大数据网络助力研究肺癌细胞信号传导途径

肺癌2018-05-24
大数据网络助力研究肺癌细胞信号传导途径

[抗癌突破]--盘点!2018上半肺癌新药临床研究进展!

肺癌2018-05-24
[抗癌突破]--盘点!2018上半肺癌新药临床研究进展!

肺癌新药安罗替尼上市在即,使用前先了解这三点!

肺癌2018-05-24
肺癌新药安罗替尼上市在即,使用前先了解这三点!

无进展生存近3年!罗氏重磅肺癌新药有望成治疗标准

肺癌2018-05-21
无进展生存近3年!罗氏重磅肺癌新药有望成治疗标准

默克两个肺癌新药研究成果亮相ASCO年会

肺癌2018-05-18
默克两个肺癌新药研究成果亮相ASCO年会

四种精确的肺癌风险预测模型问世

肺癌2018-05-17
四种精确的肺癌风险预测模型问世

罗氏T药免疫组合一线治疗肺癌有望今年获批

肺癌2018-05-09
罗氏T药免疫组合一线治疗肺癌有望今年获批

肺癌复发首选调强质子治疗(IMPT)

肺癌2018-05-07
肺癌复发首选调强质子治疗(IMPT)

靶向治疗获益人群比例逐年增加

肺癌2018-05-07
靶向治疗获益人群比例逐年增加

肺癌患者选择周几进行手术对预后没影响

肺癌2018-05-07
肺癌患者选择周几进行手术对预后没影响

盘点辉瑞三大肺癌药物临床进展

肺癌2018-05-04
盘点辉瑞三大肺癌药物临床进展

肺癌诊断即将有新武器

肺癌2018-04-28
肺癌诊断即将有新武器

[抗癌突破]--AACR公布:又一免疫组合疗法显著改善肺癌无进展生存期!

肺癌2018-04-19
[抗癌突破]--AACR公布:又一免疫组合疗法显著改善肺癌无进展生存期!

术前PD-1新辅助治疗 有助于非小细胞肺癌手术效果

肺癌2018-04-17
术前PD-1新辅助治疗  有助于非小细胞肺癌手术效果

Keytruda成功跻身肺癌一线治疗

肺癌2018-04-17
Keytruda成功跻身肺癌一线治疗

Lorlatinib这一黑马在肺癌治疗中杀出重围

肺癌2018-04-17
Lorlatinib这一黑马在肺癌治疗中杀出重围

Lorlatinib这一黑马在肺癌治疗中杀出重围! (AACR年会重磅数据公布)

肺癌2018-04-17
Lorlatinib这一黑马在肺癌治疗中杀出重围! (AACR年会重磅数据公布)

首个国产肺癌治疗试验迎来大结局——CheckMate-078 结果揭晓

肺癌2018-04-16
首个国产肺癌治疗试验迎来大结局——CheckMate-078 结果揭晓

精准癌症模型再次打开个体化治疗大门

肺癌2018-04-16
精准癌症模型再次打开个体化治疗大门

小细胞肺癌易耐药?这个最新研究终于发现耐药机制

肺癌2018-04-16
小细胞肺癌易耐药?这个最新研究终于发现耐药机制

[抗癌突破]--又一肺癌新药Poziotinib取得超预期临床试验结果!

肺癌2018-04-12
[抗癌突破]--又一肺癌新药Poziotinib取得超预期临床试验结果!

又一肺癌新药Poziotinib取得超预期临床试验结果

肺癌2018-04-11
又一肺癌新药Poziotinib取得超预期临床试验结果

伟大胜利!PD-1作为肺癌一线治疗显著延长生存期!完胜化疗

肺癌2018-04-11
伟大胜利!PD-1作为肺癌一线治疗显著延长生存期!完胜化疗

国家癌症中心:中国平均每分钟7人确诊患癌4人死亡,肺癌居首

肺癌2018-04-11
国家癌症中心:中国平均每分钟7人确诊患癌4人死亡,肺癌居首

重磅数据即将公布!PD-1作为肺癌一线治疗显著延长生存期

肺癌2018-04-11
重磅数据即将公布!PD-1作为肺癌一线治疗显著延长生存期

好消息!肺癌免疫疗法又出新组合

肺癌2018-04-09
好消息!肺癌免疫疗法又出新组合

中国肺癌专家吴一龙解答ROS1阳性肺癌临床试验

肺癌2018-04-08
中国肺癌专家吴一龙解答ROS1阳性肺癌临床试验

好消息!肺癌治疗又出新组合疗法

肺癌2018-04-04
好消息!肺癌治疗又出新组合疗法

防止肿瘤特异蛋白脱落可促进免疫系统识别肿瘤

肺癌2018-04-03
防止肿瘤特异蛋白脱落可促进免疫系统识别肿瘤

肺癌治疗新途径:双管齐下治疗

肺癌2018-04-03
肺癌治疗新途径:双管齐下治疗

扼杀谣言!近年来得癌症的人越来越年轻?

肺癌2018-03-30
扼杀谣言!近年来得癌症的人越来越年轻?

新药物有望治疗与肥胖相关的乳腺癌和肺癌

肺癌2018-03-29
新药物有望治疗与肥胖相关的乳腺癌和肺癌

大型研究表明:肺癌筛查可减少20%肺癌死亡率

肺癌2018-03-29
大型研究表明:肺癌筛查可减少20%肺癌死亡率

[抗癌突破]--福音来了|肺癌治疗有了新方向!

肺癌2018-03-27
[抗癌突破]--福音来了|肺癌治疗有了新方向!

RNA相关抗癌机制:小鼠模型肺癌治疗大获成功

肺癌2018-03-27
RNA相关抗癌机制:小鼠模型肺癌治疗大获成功

不得不关注的肺癌治疗新方向

肺癌2018-03-26
不得不关注的肺癌治疗新方向

Rova-T三线治疗小细胞肺癌效果不理想?

肺癌2018-03-23
Rova-T三线治疗小细胞肺癌效果不理想?

柳叶刀:1/3的肺癌细胞会转移到脑部,全脑放疗无益处?

肺癌2018-03-22
柳叶刀:1/3的肺癌细胞会转移到脑部,全脑放疗无益处?

肺癌复发了?不能再手术了?不知如何是好了?这种治疗方法可能带来最后希望

肺癌2018-03-22
肺癌复发了?不能再手术了?不知如何是好了?这种治疗方法可能带来最后希望

鳞状NSCLC:阿特朱单抗+化疗有望成为一线疗法

肺癌2018-03-21
鳞状NSCLC:阿特朱单抗+化疗有望成为一线疗法

肺癌精准治疗如何实现?得靠这个秘密武器

肺癌2018-03-20
肺癌精准治疗如何实现?得靠这个秘密武器

血检可能助力肺癌免疫联合治疗

肺癌2018-03-19
血检可能助力肺癌免疫联合治疗

大麻有助于缓解肺癌治疗相关副作用?

肺癌2018-03-15
大麻有助于缓解肺癌治疗相关副作用?

[抗癌突破]--这种药有望成为广谱抗肿瘤药 多项临床研究正在进行中!

肺癌2018-03-14
[抗癌突破]--这种药有望成为广谱抗肿瘤药 多项临床研究正在进行中!

小细胞肺癌也可以免疫治疗了!

肺癌2018-03-13
小细胞肺癌也可以免疫治疗了!

又一种运送靶向药物的工具问世 居然是自体细胞

肺癌2018-03-13
又一种运送靶向药物的工具问世  居然是自体细胞

这种药有望成为广谱抗肿瘤药 多项临床研究正在进行中

肺癌2018-03-13
这种药有望成为广谱抗肿瘤药  多项临床研究正在进行中

肺癌药奥希替尼是二线用还是一线用最合适??

肺癌2018-03-13
肺癌药奥希替尼是二线用还是一线用最合适??

[抗癌突破]--这个新技术仅在中国获批 可指导肺癌精准用药!

肺癌2018-03-13
[抗癌突破]--这个新技术仅在中国获批 可指导肺癌精准用药!

喜讯!免疫疗法终于在小细胞肺癌中取得进展!

肺癌2018-03-13
喜讯!免疫疗法终于在小细胞肺癌中取得进展!

有证据表明大麻可以用于治疗肺癌相关副作用

肺癌2018-03-13
有证据表明大麻可以用于治疗肺癌相关副作用

石棉激发研究人员灵感 一种诱癌机制应运而生

肺癌2018-03-13
石棉激发研究人员灵感 一种诱癌机制应运而生

这个新技术仅在中国获批 能够指导肺癌患者精准用药

肺癌2018-03-13
这个新技术仅在中国获批 能够指导肺癌患者精准用药

大麻是肺癌的高危因素吗

肺癌2018-03-13
大麻是肺癌的高危因素吗

精准治疗在肺癌领域遥遥领先

肺癌2018-03-08
精准治疗在肺癌领域遥遥领先

堪称奇迹!穷得叮当响的国家,还搞全民免费医疗?

肺癌2018-03-06
堪称奇迹!穷得叮当响的国家,还搞全民免费医疗?

2018年或将上市的20种抗癌新药!囊括肺癌、乳腺癌等7大癌症!

肺癌2018-03-06
2018年或将上市的20种抗癌新药!囊括肺癌、乳腺癌等7大癌症!

NSCLC免疫治疗获得成功 未来治疗方式将发生巨大改变

肺癌2018-03-05
NSCLC免疫治疗获得成功 未来治疗方式将发生巨大改变

又一癌症治疗新机制问世!肺癌治疗在小鼠模型中大获成功!

肺癌2018-03-02
又一癌症治疗新机制问世!肺癌治疗在小鼠模型中大获成功!

又一癌症治疗新机制问世 小鼠模型肺癌治疗大获成功

肺癌2018-03-01
又一癌症治疗新机制问世  小鼠模型肺癌治疗大获成功

基因检测MET靶点会是NSCLC主要治疗方向吗?

肺癌2018-03-01
基因检测MET靶点会是NSCLC主要治疗方向吗?

转移性肺癌呼吸急促怎么办?

肺癌2018-02-28
转移性肺癌呼吸急促怎么办?

ALK阳性NSCLC耐药不用怕 即将有新药问世了

肺癌2018-02-28
ALK阳性NSCLC耐药不用怕  即将有新药问世了

案例分享|晚期肺癌全身转移,这种药物治疗后肿瘤全部消退!

肺癌2018-02-27
案例分享|晚期肺癌全身转移,这种药物治疗后肿瘤全部消退!

肺癌不知如何选择治疗方案?基因检测后一目了然

肺癌2018-02-23
肺癌不知如何选择治疗方案?基因检测后一目了然

肺癌靶向治疗基因检测新指南发布啦!这些靶点才是最应该检测的!

肺癌2018-02-12
肺癌靶向治疗基因检测新指南发布啦!这些靶点才是最应该检测的!

新免疫联合疗法一线治疗肺癌显威力,对这些患者最有效!

肺癌2018-02-08
新免疫联合疗法一线治疗肺癌显威力,对这些患者最有效!

【重磅】基因检测高TMB非小细胞肺癌患者一线新疗法就能极大获益

肺癌2018-02-07
【重磅】基因检测高TMB非小细胞肺癌患者一线新疗法就能极大获益

2017非小细胞肺癌取得关键进展的几件大事

肺癌2018-02-07
2017非小细胞肺癌取得关键进展的几件大事

尼达尼布说明书

肺癌2018-02-06
尼达尼布说明书

抗肺纤维化创新靶向药国内获批,为“网状肺”患者带来福音

肺癌2018-02-06
抗肺纤维化创新靶向药国内获批,为“网状肺”患者带来福音

尼达尼布的抗肿瘤效果

肺癌2018-02-06
尼达尼布的抗肿瘤效果

尼达尼布与特发性肺纤维化

肺癌2018-02-06
尼达尼布与特发性肺纤维化

肺癌质子治疗病例分享

肺癌2018-02-06
肺癌质子治疗病例分享

肺癌靶向治疗基因检测新指南发布!这些靶点才是最应该检测的!

肺癌2018-02-06
肺癌靶向治疗基因检测新指南发布!这些靶点才是最应该检测的!

新的放射技术可改善肺癌患者的生活质量!

肺癌2018-02-06
新的放射技术可改善肺癌患者的生活质量!

尼达尼布

肺癌2018-02-05
尼达尼布

新的放射技术可改善肺癌患者的生活质量

肺癌2018-02-02
新的放射技术可改善肺癌患者的生活质量

专家小组发布关于肺癌分子检测的新指南

肺癌2018-02-01
专家小组发布关于肺癌分子检测的新指南

肺癌精准诊断与治疗、靶点和靶向药物的最新汇总!

肺癌2018-01-30
肺癌精准诊断与治疗、靶点和靶向药物的最新汇总!

近年来非小细胞肺癌里程碑式进展

肺癌2018-01-25
近年来非小细胞肺癌里程碑式进展

伊匹单抗联合紫杉醇和卡铂治疗晚期非小细胞肺癌

肺癌2018-01-25
伊匹单抗联合紫杉醇和卡铂治疗晚期非小细胞肺癌

纳武单抗联合伊匹单抗用于晚期非小细胞肺癌一线治疗再传喜讯

肺癌2018-01-25
纳武单抗联合伊匹单抗用于晚期非小细胞肺癌一线治疗再传喜讯

这样做1顿饭,等于抽了2包烟!女性不抽烟肺癌高发的罪魁祸首就是它!

肺癌2018-01-24
这样做1顿饭,等于抽了2包烟!女性不抽烟肺癌高发的罪魁祸首就是它!

【全球24h抗癌突破】--阿法替尼获批增加治疗NSCLC又一适应症!

肺癌2018-01-22
【全球24h抗癌突破】--阿法替尼获批增加治疗NSCLC又一适应症!

派姆单抗一线联合治疗改善III期NSCLC患者生存期

肺癌2018-01-19
派姆单抗一线联合治疗改善III期NSCLC患者生存期

肺癌有一种微创手术 你可能还不知道

肺癌2018-01-19
肺癌有一种微创手术 你可能还不知道

肺癌四个常见误区 看看你中几个?

肺癌2018-01-19
肺癌四个常见误区 看看你中几个?

被诊断为肺癌,这六件事一定要了解

肺癌2018-01-19
被诊断为肺癌,这六件事一定要了解

积极治疗早期肺癌可提高生存率

肺癌2018-01-19
积极治疗早期肺癌可提高生存率

2018,这6大研究进展将改变晚期肺癌患者的生存期!

肺癌2018-01-19
2018,这6大研究进展将改变晚期肺癌患者的生存期!

肺癌究竟能不能使用PD-1联合化疗?答案终于来了!

肺癌2018-01-18
肺癌究竟能不能使用PD-1联合化疗?答案终于来了!

肺癌靶向药阿法替尼:正确选择用药时机,你需要明白这两点

肺癌2018-01-17
肺癌靶向药阿法替尼:正确选择用药时机,你需要明白这两点

阿法替尼到底有何神奇功效?

肺癌2018-01-17
阿法替尼到底有何神奇功效?

阿法替尼不良反应处理

肺癌2018-01-17
阿法替尼不良反应处理

深度解析阿法替尼

肺癌2018-01-17
深度解析阿法替尼

阿法替尼在中国获批,为癌症患者增添新希望!

肺癌2018-01-17
阿法替尼在中国获批,为癌症患者增添新希望!

靶向药物信息大汇总——阿法替尼

肺癌2018-01-17
靶向药物信息大汇总——阿法替尼

阿法替尼说明书

肺癌2018-01-17
阿法替尼说明书

【重大喜讯】阿法替尼获批 有这些突变的肺癌患者有救啦!

肺癌2018-01-17
【重大喜讯】阿法替尼获批   有这些突变的肺癌患者有救啦!

2018,改变晚期肺癌患者生存期的6大研究进展,一定要知道!

肺癌2018-01-17
2018,改变晚期肺癌患者生存期的6大研究进展,一定要知道!

恶性黑色素瘤老药治肺癌,FDA都说行

肺癌2018-01-16
恶性黑色素瘤老药治肺癌,FDA都说行

Alunbrig(brigatinib)美国上市治疗(ALK)阳性非小细胞肺癌

肺癌2018-01-16
Alunbrig(brigatinib)美国上市治疗(ALK)阳性非小细胞肺癌

【适应症】Alunbrig (brigatinib、AP26113)片适应症

肺癌2018-01-16
【适应症】Alunbrig (brigatinib、AP26113)片适应症

【副作用】Alunbrig (brigatinib、AP26113)片副作用

肺癌2018-01-16
【副作用】Alunbrig (brigatinib、AP26113)片副作用

【说明书】Alunbrig (brigatinib、AP26113)片实用说明书

肺癌2018-01-16
【说明书】Alunbrig (brigatinib、AP26113)片实用说明书

肺癌靶向药接力:从克唑替尼到BRIGATINIB

肺癌2018-01-16
肺癌靶向药接力:从克唑替尼到BRIGATINIB

重磅FDA批准肺癌新药Brigatinib:肿瘤控制率86%

肺癌2018-01-16
重磅FDA批准肺癌新药Brigatinib:肿瘤控制率86%

【全球24h抗癌突破】--【重大喜讯】有这些突变的肺癌患者有救啦!

肺癌2018-01-16
【全球24h抗癌突破】--【重大喜讯】有这些突变的肺癌患者有救啦!

OAK研究:Atezolizumab对比多西他赛治疗一线化疗失败的NSCLC取得可喜的结果

肺癌2018-01-12
OAK研究:Atezolizumab对比多西他赛治疗一线化疗失败的NSCLC取得可喜的结果

肺癌疾病进展风险降低38%!atezolizumab功不可没

肺癌2018-01-12
肺癌疾病进展风险降低38%!atezolizumab功不可没

ASCO临床实践指南更新:阿特朱单抗被推荐用于IV期NSCLC综合治疗

肺癌2018-01-12
ASCO临床实践指南更新:阿特朱单抗被推荐用于IV期NSCLC综合治疗

临床重磅:新三联疗法或为肺癌晚期治疗的一匹黑马!

肺癌2018-01-12
临床重磅:新三联疗法或为肺癌晚期治疗的一匹黑马!

肝癌新药卡博替尼可延长患者生存期

肺癌2018-01-12
肝癌新药卡博替尼可延长患者生存期

OAK研究:Atezolizumab对比多西他赛治疗一线化疗失败的NSCLC取得可喜的结果

肺癌2018-01-12
OAK研究:Atezolizumab对比多西他赛治疗一线化疗失败的NSCLC取得可喜的结果

肺癌疾病进展风险降低38%!atezolizumab功不可没

肺癌2018-01-12
肺癌疾病进展风险降低38%!atezolizumab功不可没

不容错过!ALK阳性非小细胞肺癌的最新治疗进展!

肺癌2018-01-11
不容错过!ALK阳性非小细胞肺癌的最新治疗进展!

原发性肺癌与转移性肺癌PD-L1表达比较

肺癌2018-01-08
原发性肺癌与转移性肺癌PD-L1表达比较

2017年NSCLC治疗进展迅猛 美国专家发表感想

肺癌2018-01-08
2017年NSCLC治疗进展迅猛 美国专家发表感想

降低肺癌风险 你最好戒烟

肺癌2018-01-08
降低肺癌风险 你最好戒烟

西红柿可以恢复吸烟引起的肺损伤

肺癌2018-01-04
西红柿可以恢复吸烟引起的肺损伤

阿斯利康PD-L1单抗Durvalumab在中国开启一项新的Ⅲ期临床试验

肺癌2018-01-03
阿斯利康PD-L1单抗Durvalumab在中国开启一项新的Ⅲ期临床试验

Durvalumab横空出世,III期肺癌的无进展生存期延长了11个月

肺癌2018-01-03
Durvalumab横空出世,III期肺癌的无进展生存期延长了11个月

肺癌新药Durvalumab用于III期肺癌取得重大进展

肺癌2018-01-03
肺癌新药Durvalumab用于III期肺癌取得重大进展

警惕!你用的9291可能是原料药,副作用竟有这么大!

肺癌2018-01-03
警惕!你用的9291可能是原料药,副作用竟有这么大!

9291简介、剂量推测及适用人群(3.0版)

肺癌2018-01-03
9291简介、剂量推测及适用人群(3.0版)

吴一龙教授解惑:关于泰瑞沙(AZD9291),你最想知道的

肺癌2018-01-03
吴一龙教授解惑:关于泰瑞沙(AZD9291),你最想知道的

肺癌靶向治疗~ AZD9291(奥希替尼 )

肺癌2018-01-03
肺癌靶向治疗~ AZD9291(奥希替尼 )

奥希替尼说明书|Tagrisso|AZD9291使用说明书

肺癌2018-01-03
奥希替尼说明书|Tagrisso|AZD9291使用说明书

对付非小细胞肺癌EGFR-TKI获得性耐药的9291使用说明

肺癌2018-01-03
对付非小细胞肺癌EGFR-TKI获得性耐药的9291使用说明

AZD9291耐药的肺腺癌患者怎么办?

肺癌2018-01-03
AZD9291耐药的肺腺癌患者怎么办?

新药速递 | 一线治疗肺癌,AZD9291今日获突破性疗法认定

肺癌2018-01-03
新药速递 | 一线治疗肺癌,AZD9291今日获突破性疗法认定

我国首个获批的第三代肺癌靶向药物奥希替尼(泰瑞沙)正式在国内上市

肺癌2018-01-03
我国首个获批的第三代肺癌靶向药物奥希替尼(泰瑞沙)正式在国内上市

肺癌脑转移如何治疗

肺癌2018-01-02
肺癌脑转移如何治疗

NSCLC免疫治疗进展大盘点

肺癌2017-12-31
NSCLC免疫治疗进展大盘点

NSCLC治疗发展趋势——药物联合

肺癌2017-12-31
NSCLC治疗发展趋势——药物联合

生物标记检测继续伴随NSCLC治疗进展

肺癌2017-12-29
生物标记检测继续伴随NSCLC治疗进展

【全球24h抗癌突破】--肺癌治疗新突破—KRAS突变有药可医了!研究发现可用于三阴性乳腺癌的药物!

肺癌2017-12-29
【全球24h抗癌突破】--肺癌治疗新突破—KRAS突变有药可医了!研究发现可用于三阴性乳腺癌的药物!

肺癌治疗新突破—KRAS突变有药可医了

肺癌2017-12-27
肺癌治疗新突破—KRAS突变有药可医了

Alectinib获得欧洲批准一线ALK阳性NSCLC治疗

肺癌2017-12-26
Alectinib获得欧洲批准一线ALK阳性NSCLC治疗

NSCLC突变-TRK也有靶向药

肺癌2017-12-26
NSCLC突变-TRK也有靶向药

ALK抑制剂Alectinib治疗NSCLC脑转移有潜力

肺癌2017-12-25
ALK抑制剂Alectinib治疗NSCLC脑转移有潜力

ALK抑制剂Alectinib治疗NSCLC脑转移有潜力

肺癌2017-12-25
ALK抑制剂Alectinib治疗NSCLC脑转移有潜力

肺癌患者应检测ALK基因

肺癌2017-12-25
肺癌患者应检测ALK基因

“头对头”再次战胜克唑替尼,罗氏alectinib或将称王ALK+非小细胞肺癌

肺癌2017-12-25
“头对头”再次战胜克唑替尼,罗氏alectinib或将称王ALK+非小细胞肺癌

肺癌靶向药艾乐替尼药品信息总览

肺癌2017-12-25
肺癌靶向药艾乐替尼药品信息总览

好消息!FDA批准艾乐替尼用于ALK阳性非小细胞肺癌一线治疗

肺癌2017-12-25
好消息!FDA批准艾乐替尼用于ALK阳性非小细胞肺癌一线治疗

不为人们熟知的NSCLC突变-BRAF

肺癌2017-12-25
不为人们熟知的NSCLC突变-BRAF

小细胞肺癌患者福音来了 免疫治疗有了新突破

肺癌2017-12-22
小细胞肺癌患者福音来了   免疫治疗有了新突破

一位美国肺癌患者的抗癌秘籍

肺癌2017-12-22
一位美国肺癌患者的抗癌秘籍

第二代ALK+抑制剂Brigatinib(AP26113)临床使用指南!

肺癌2017-12-22
第二代ALK+抑制剂Brigatinib(AP26113)临床使用指南!

晚期肺癌有救了!这个方法,让晚期肺癌五年生存率翻了3倍!

肺癌2017-12-22
晚期肺癌有救了!这个方法,让晚期肺癌五年生存率翻了3倍!

麻省总医院肺癌专家Christopher G. Azzoli

肺癌2017-12-20
麻省总医院肺癌专家Christopher G. Azzoli

奥希替尼成功治疗NSCLC脑转移EGFR T790M突变患者

肺癌2017-12-19
奥希替尼成功治疗NSCLC脑转移EGFR T790M突变患者

你不能错过的NSCLC 靶向药物Imfinzi(durvalumab) 治疗前景

肺癌2017-12-18
你不能错过的NSCLC 靶向药物Imfinzi(durvalumab) 治疗前景

首例报道:胸膜恶性孤立性纤维瘤抗PD-1检查点免疫疗法应答效果显著

肺癌2017-12-15
首例报道:胸膜恶性孤立性纤维瘤抗PD-1检查点免疫疗法应答效果显著

麻省总医院肺癌专家Donahue,Dean Micheal

肺癌2017-12-15
麻省总医院肺癌专家Donahue,Dean Micheal

中科院肿瘤医院专家权威解读--非小细胞肺癌靶向治疗概览!

肺癌2017-12-15
中科院肿瘤医院专家权威解读--非小细胞肺癌靶向治疗概览!

Atezolizumab一线治疗NSCLC,患者PFS提高

肺癌2017-12-14
Atezolizumab一线治疗NSCLC,患者PFS提高

靶向治疗——吸烟肺癌患者同样获益

肺癌2017-12-14
靶向治疗——吸烟肺癌患者同样获益

TTF联合化疗提高了晚期非小细胞肺癌患者的生存率

肺癌2017-12-13
TTF联合化疗提高了晚期非小细胞肺癌患者的生存率

麻省总医院肺癌专家Lennes, Inga,T

肺癌2017-12-12
麻省总医院肺癌专家Lennes, Inga,T

PD-1成功治疗肺多形性癌:首例报告!

肺癌2017-12-12
PD-1成功治疗肺多形性癌:首例报告!

纳武单抗治疗晚期NSCLC的真实世界数据

肺癌2017-12-11
纳武单抗治疗晚期NSCLC的真实世界数据

非小细胞肺癌的脑转移患者或将有新靶向药物

肺癌2017-12-07
非小细胞肺癌的脑转移患者或将有新靶向药物

肺癌靶向药艾乐替尼药品信息总览

肺癌2017-12-07
肺癌靶向药艾乐替尼药品信息总览

老年肺癌患者同步放化疗需谨慎

肺癌2017-12-05
老年肺癌患者同步放化疗需谨慎

人群吸烟率与肺癌死亡率密切相关

肺癌2017-12-05
人群吸烟率与肺癌死亡率密切相关

EGFR阳性晚期非小细胞肺癌 奥希替尼一线治疗改善无进展生存期

肺癌2017-12-05
EGFR阳性晚期非小细胞肺癌 奥希替尼一线治疗改善无进展生存期

局限性肺癌患者 检测ctDNA或可助力个体化辅助治疗

肺癌2017-12-05
局限性肺癌患者 检测ctDNA或可助力个体化辅助治疗

局限性转移性非小细胞肺癌 立体定向消融性放疗可用于巩固治疗

肺癌2017-12-05
局限性转移性非小细胞肺癌 立体定向消融性放疗可用于巩固治疗

确诊高危肺结节不能仅依靠PET/CT

肺癌2017-12-05
确诊高危肺结节不能仅依靠PET/CT

让美国“垂涎”的古巴抗癌特药

肺癌2017-12-04
让美国“垂涎”的古巴抗癌特药

【好药推荐】奥希替尼--晚期EGFR+非小细胞肺癌一线治疗新选择

肺癌2017-11-27
【好药推荐】奥希替尼--晚期EGFR+非小细胞肺癌一线治疗新选择

安罗替尼:晚期非小细胞肺癌三线治疗的优选方案

肺癌2017-11-24
安罗替尼:晚期非小细胞肺癌三线治疗的优选方案

奥希替尼--晚期非小细胞肺癌亚洲患者的标准一线治疗

肺癌2017-11-24
奥希替尼--晚期非小细胞肺癌亚洲患者的标准一线治疗

肺癌早期症状是什么呢 如何预防肺癌

肺癌2017-11-24
肺癌早期症状是什么呢 如何预防肺癌

晚期肺癌有救了!这个方法,让晚期肺癌五年生存率翻了3倍!

肺癌2017-11-22
晚期肺癌有救了!这个方法,让晚期肺癌五年生存率翻了3倍!

ALK阳性非小细胞肺癌获批新药艾乐替尼药品信息汇总

肺癌2017-11-21
ALK阳性非小细胞肺癌获批新药艾乐替尼药品信息汇总

肺癌患者,这10个问题一定要问清楚医生!

肺癌2017-11-20
肺癌患者,这10个问题一定要问清楚医生!

国际肺癌日:中日医院肺部多学科大型爱心义诊活动圆满结束!

肺癌2017-11-20
国际肺癌日:中日医院肺部多学科大型爱心义诊活动圆满结束!

11.17日上午,中日医院肺结节、肺癌大型多学科义诊活动!

肺癌2017-11-16
11.17日上午,中日医院肺结节、肺癌大型多学科义诊活动!

永不放弃!癌症患者 DIY 多肽疫苗,寻求生的希望

肺癌2017-11-13
永不放弃!癌症患者 DIY 多肽疫苗,寻求生的希望

重磅!科学家有望开发出抑制肺癌进展的新型疗法

肺癌2017-11-13
重磅!科学家有望开发出抑制肺癌进展的新型疗法

信号转导相互作用可能阻止肺癌进展的关键步骤

肺癌2017-11-13
信号转导相互作用可能阻止肺癌进展的关键步骤

好消息!FDA批准艾乐替尼用于ALK阳性非小细胞肺癌一线治疗

肺癌2017-11-09
好消息!FDA批准艾乐替尼用于ALK阳性非小细胞肺癌一线治疗

致死性肺癌系由多基因突变所引起

肺癌2017-11-08
致死性肺癌系由多基因突变所引起

FDA批准阿雷替尼用于ALK阳性非小细胞肺癌一线治疗

肺癌2017-11-08
FDA批准阿雷替尼用于ALK阳性非小细胞肺癌一线治疗

奥西替尼对EGFR突变肺癌继续表现出引人注目的活性

肺癌2017-11-07
奥西替尼对EGFR突变肺癌继续表现出引人注目的活性

肺癌患者只吃靶向药物能无进展生存吗?

肺癌2017-10-31
肺癌患者只吃靶向药物能无进展生存吗?

免疫治疗靶点法为肺癌带来新希望

肺癌2017-10-20
免疫治疗靶点法为肺癌带来新希望

强强联手治疗肺癌,重磅免疫疗法启动3期临床

肺癌2017-10-19
强强联手治疗肺癌,重磅免疫疗法启动3期临床

肺癌患者使用PD-1指导手册(opdivo版)

肺癌2017-10-12
肺癌患者使用PD-1指导手册(opdivo版)

重磅!Pembrolizumab (帕姆单抗,Keytruda)治疗小细胞肺癌显成效!

肺癌2017-09-06
重磅!Pembrolizumab (帕姆单抗,Keytruda)治疗小细胞肺癌显成效!

FDA将加速审批默克Keytruda联合化疗治疗肺癌的申请

肺癌2017-09-06
FDA将加速审批默克Keytruda联合化疗治疗肺癌的申请

一目了然 | 晚期肺癌如何治疗?美国临床肿瘤学会指南更新(2017版)

肺癌2017-08-22
一目了然 | 晚期肺癌如何治疗?美国临床肿瘤学会指南更新(2017版)

肺癌患者不可不知的十大治疗技术(2017)

肺癌2017-08-10
肺癌患者不可不知的十大治疗技术(2017)

不可思议,肺腺癌患者吃了这种靶向药居然变成了小细胞肺癌!

肺癌2017-08-02
不可思议,肺腺癌患者吃了这种靶向药居然变成了小细胞肺癌!

大盘点:2017已经上市和即将上市的18种肺癌药物

肺癌2017-07-26
大盘点:2017已经上市和即将上市的18种肺癌药物

EGFR靶向药BPI-7711招募晚期非小细胞肺癌患者

肺癌2017-07-19
EGFR靶向药BPI-7711招募晚期非小细胞肺癌患者

一线免疫治疗可以提高肺癌患者的生存率

肺癌2017-06-28
一线免疫治疗可以提高肺癌患者的生存率

肺癌分为哪几种?

肺癌2017-06-19
肺癌分为哪几种?

PD1被称之为神药,所有的肺癌患者都能用吗?

肺癌2017-06-16
PD1被称之为神药,所有的肺癌患者都能用吗?

肺癌一线新药Ceritinib,有效率73%

肺癌2017-06-12
肺癌一线新药Ceritinib,有效率73%

PD-1一个疗程多少钱?

肺癌2017-05-23
PD-1一个疗程多少钱?

有效率几乎为传统化疗的两倍!PD-1联合化疗荣耀登顶肺癌一线治疗!

肺癌2017-05-15
有效率几乎为传统化疗的两倍!PD-1联合化疗荣耀登顶肺癌一线治疗!

晚期非小细胞肺癌新希望,TCR-T细胞临床试验招募!

肺癌2017-05-11
晚期非小细胞肺癌新希望,TCR-T细胞临床试验招募!

关于肺癌,医生不会告诉你这些。。一文读懂肺癌诊疗重点

肺癌2017-05-08
关于肺癌,医生不会告诉你这些。。一文读懂肺癌诊疗重点

这个新药肺癌患者必知!EGFR/ALK双靶点抑制剂Brigatinib获FDA加速批准

肺癌2017-05-04
这个新药肺癌患者必知!EGFR/ALK双靶点抑制剂Brigatinib获FDA加速批准

相比传统治疗,PD-1将晚期肺癌5年生存率提高至8倍

肺癌2017-04-05
相比传统治疗,PD-1将晚期肺癌5年生存率提高至8倍

肺癌分期和分型

肺癌2017-04-01
肺癌分期和分型

2017.5版肺癌NCCN指南更新,又一靶向新药进阶肺癌一线!

肺癌2017-03-31
2017.5版肺癌NCCN指南更新,又一靶向新药进阶肺癌一线!

全球十大肺癌专家

肺癌2017-03-29
全球十大肺癌专家

加评估晚期非小细胞肺癌治疗现状

肺癌2017-03-01
加评估晚期非小细胞肺癌治疗现状

【招募患者】在EGFR突变和cMET扩增的晚期转移性非小细胞肺癌患者中比较INC280单药以及联合厄洛替尼安全性与有效性

肺癌2017-02-27
【招募患者】在EGFR突变和cMET扩增的晚期转移性非小细胞肺癌患者中比较INC280单药以及联合厄洛替尼安全性与有效性

2017年,肺癌怎么治?

肺癌2017-02-27
2017年,肺癌怎么治?

非小细胞肺癌EGFR基因靶向治疗研究进展

肺癌2017-02-03
非小细胞肺癌EGFR基因靶向治疗研究进展

SABR治疗早期老年非小细胞肺癌具有较高的安全性和疗效

肺癌2017-01-24
SABR治疗早期老年非小细胞肺癌具有较高的安全性和疗效

PD-1联合化疗一线治疗非小细胞肺癌获得FDA加速审批

肺癌2017-01-23
PD-1联合化疗一线治疗非小细胞肺癌获得FDA加速审批

PD-1/PD-L1药物全解析 你想知道的都在这里

肺癌2017-01-19
PD-1/PD-L1药物全解析 你想知道的都在这里

震惊 EGFR阴性的晚期肺腺癌患者是如何找到7种靶向药物的?

肺癌2017-01-19
震惊 EGFR阴性的晚期肺腺癌患者是如何找到7种靶向药物的?

Keytruda获批NSCLC一线治疗方案后降价活动:相比化疗能更好地改善患者的生活质量

肺癌2016-12-26
Keytruda获批NSCLC一线治疗方案后降价活动:相比化疗能更好地改善患者的生活质量

NCCN非小细胞肺癌指南2017年V3精准医疗部分手记

肺癌2016-11-24
NCCN非小细胞肺癌指南2017年V3精准医疗部分手记

肺癌二线治疗|哪个免疫治疗药物是首选?

肺癌2016-11-16
肺癌二线治疗|哪个免疫治疗药物是首选?

EGFR/ALK/KRAS/HER2突变的肺癌患者都有哪些靶向药

肺癌2016-11-14
EGFR/ALK/KRAS/HER2突变的肺癌患者都有哪些靶向药

PD-1、PD-L1,肺癌患者如何选?

肺癌2016-11-08
PD-1、PD-L1,肺癌患者如何选?

卡博替尼治疗一例无驱动突变NSCLC获良效

肺癌2016-11-07
卡博替尼治疗一例无驱动突变NSCLC获良效

2016年10月肺癌研究领域突破进展

肺癌2016-10-27
2016年10月肺癌研究领域突破进展

天津诺禾医学检验所顺利通过NGS-A 2016 CAP PT项目

肺癌2016-10-17
天津诺禾医学检验所顺利通过NGS-A 2016 CAP PT项目

KRAS基因突变的非小细胞肺癌靶向药物及临床试验

肺癌2016-08-30
KRAS基因突变的非小细胞肺癌靶向药物及临床试验

第四代肺癌靶向新药EAI045欧美即将上市

肺癌2016-08-24
第四代肺癌靶向新药EAI045欧美即将上市

克唑替尼获英国NICE推荐,成为ALK阳性肺癌一线治疗药物

肺癌2016-08-23
克唑替尼获英国NICE推荐,成为ALK阳性肺癌一线治疗药物

研究发现可能改变肺癌治疗规则的新方法

肺癌2016-08-23
研究发现可能改变肺癌治疗规则的新方法

空气污染致肺癌患者生存时间缩短

肺癌2016-08-23
空气污染致肺癌患者生存时间缩短

局限期小细胞肺癌放疗宜早不宜迟?

肺癌2016-08-23
局限期小细胞肺癌放疗宜早不宜迟?

美国宣布Entrectinib治疗肺癌轰动性研究成果

肺癌2016-08-18
美国宣布Entrectinib治疗肺癌轰动性研究成果

小细胞肺癌(SCLC)新药取得突破性进展

肺癌2016-08-04
小细胞肺癌(SCLC)新药取得突破性进展

小细胞肺癌有了无创治疗方法

肺癌2016-07-19
小细胞肺癌有了无创治疗方法

肺癌的救命药一阿法替尼(afatinib)何时才在中国上市?

肺癌2016-01-20
肺癌的救命药一阿法替尼(afatinib)何时才在中国上市?

癌症全基因检测的结果被用于后续治疗的几率有多大?

肺癌2016-01-05
癌症全基因检测的结果被用于后续治疗的几率有多大?

史上癌症靶向药大集合

肺癌2015-12-16
史上癌症靶向药大集合

MPDL3280A(PDL1抗体)联合铂类为基础的化疗在晚期非小细胞肺癌(NSCLC)治疗的安全性和疗效

肺癌2015-12-15
MPDL3280A(PDL1抗体)联合铂类为基础的化疗在晚期非小细胞肺癌(NSCLC)治疗的安全性和疗效

易瑞沙/特罗凯治疗EGFR突变的非小细胞肺癌

肺癌2015-11-10
易瑞沙/特罗凯治疗EGFR突变的非小细胞肺癌