肺癌ALK抑制剂劳拉替尼强势逆转克唑替尼、布加替尼耐药
ALK抑制剂
大约有5%的非小细胞肺癌患者(NSCLC)存在间变性淋巴瘤激酶(ALK)阳性。克唑替尼(Crizotinib)是第一个被批准用于治疗ALK阳性的ALK抑制剂,但多数患者都会出现耐药后疾病进展,比如中枢神经系统(CNS)病变,主要是因为药物无法有效渗透进入中枢神经系统。
新一代ALK抑制剂包括色瑞替尼(ceritinib)、艾乐替尼(alectinib)、布加替尼 (brigatinib)已经在颅内表现出更有效的抗肿瘤活性。布加替尼(brigatinib)是被美国食品和药物管理局(FDA)批准使用的第二代ALK抑制剂,批准的剂量为初始90毫克,每日一次,7天之后,调整为180毫克,每天一次。
本案例中的ALK阳性患者在进行克唑替尼治疗后出现中枢神经系统病变(颅内病灶),随后在接受高剂量布加替尼(brigatinib)治疗后病情仍未好转,但最终从ALK第三代抑制剂劳拉替尼( lorlatinib)治疗中获益。
确诊,化疗+克唑替尼5月后脑转
2008年1月,一位42岁的男子被诊断为四期非小细胞肺癌(包括双肺结节、纵隔淋巴结病变、胸腔积液和肝脏病变,MRI示脑转移阴性)。在进行ALK检测前,他接受了化疗,方案为顺铂/培美曲塞/贝伐单抗;顺铂/ vinorelbine /西妥昔单抗;埃罗替尼及白蛋白-紫杉醇/西妥昔单抗。后续荧光原位杂交检测显示ALK重排,于是接受了克唑替尼治疗(250毫克,每日两次),并表现出良好的疗效。在2011年4月,经过5个月的克唑替尼治疗后,MRI提示有脑转移,但病人拒绝了脑部放射治疗。
更换二代布加替尼,有效控制,维持近5年耐药
克唑替尼治疗一直持续到2012年6月,在发现胸部病灶扩大后,开始用布加替尼(brigatinib治疗)(剂量为240毫克,每天一次),表现出不错的疗效。经过4年多的布加替尼治疗,在2016年12月,因被怀疑有癫痫发作,予左乙拉西坦(levetiracetam)治疗(500毫克,每天2次),此时脑部MRI没有显示新的病变。但左乙拉西坦最终因为副作用被迫停药。在接下来的几个月,他因3次癫痫发作被予以拉莫三嗪(lamotrigine)(100毫克,每天2次)和拉科酰胺(lacosamide)(50毫克,每日2次)治疗。
2017年5月,影像学显示有进展的中枢神经系统病变,随后Lacosamide剂量增加到250毫克,每天2次,病人再次拒绝放射治疗或神经外科手术治疗。随后布加替尼增加至300毫克,每日1次。但2个月后发现颅内病灶疗效不佳,减少至最初的剂量。
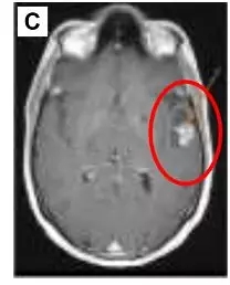
更换三代劳拉替尼用药1月,强势逆转
布加替尼最终停用并在2017年9月开始使用劳拉替尼(lorlatinib)治疗(100毫克,每日1次)。1个月后,中枢神经系统成像显示病灶减小了。
6个月之后显示病灶持续减小。在从布加替尼过渡到lorlatinib治疗后,他的系统性疾病保持稳定,甘油三酯水平仍正常但胆固醇升高至270mg / dL。
文章总结
克唑替尼耐药导致中枢神经系统病变的发生率很高,的一代ALK抑制剂布加替尼已经被FDA批准。在克唑替尼耐药后,布加替尼的无进展生存时间能达到16.7个月(建议剂量为180毫克)。颅内病灶客观缓解率(ORR)达到67%和颅内病灶无进展生存时间为18.4个月。
数据显示:大剂量布加替尼能产生更好的疗效。90毫克方案的疗效比180毫克差(CNS 客观缓解率50% :67%,CNS无进展生存时间9.2个月:18.4个月)。劳拉替尼(lorlatinib)已经被证实是一种高效的第三代ALK抑制剂,并有显着的中枢神经系统穿透能力。
在最近的I/II期试验研究中,劳拉替尼对一代二代耐药的ALK阳性患者表现出良好的临床疗效,这些患者之前至少接受过一种ALK抑制剂治疗,大多数都耐药并有中枢神经系统受累。在先前接受2次或更多ALK抑制剂治疗的患者中,缓解率(ORR)(可能包括中枢神经系统和外靶点病变的数据)为69%,颅内ORR为68%。
这个案例展现出了劳拉替尼的潜在功效,它能作为布加替尼治疗后中枢神经系统病灶进展时的抢救治疗,表现出了良好的抗颅内肿瘤的活性,这可能是因为相对其他ALK抑制剂而言,劳拉替尼能对其他ALK抑制剂耐药的肿瘤突变有抑制作用,并有很强的渗透中枢神经系统的能力。
目前劳拉替尼已经在香港上市,药物可及性增加,ALK患者慢性病长生存不是梦!
内容来源:微信公众号找药宝典




























