2025年患者一定要知道的八大非小细胞肺癌新药新技术
实现肺癌疾病控制率100%,晚期患者也能完全缓解!2025年,肺癌患者一定要知道这几款全新的救命新药新技术!作为死亡率排名第一的癌症,近15年,肺癌基因组测序取得了前所未有的突破,各类致癌突变如EGFR,ALK,ROS1,MET,BRAF....的发现,使癌症学家们不断努力研发出一代又一代靶向药物,让肺癌患者的治疗选择更多,生存期更长,生活质量更高。2024年,多款火遍癌友圈的明星药物及新技术因疗效显著获得突破性治疗指定及优先审批,值得肺癌病友期待,其中一些即将在2025年上市。
肺癌11大靶点中、美上市药物汇总
对于肺癌患者来说,这是一个充满奇迹的时代!截至2025年2月,中国NMPA及美国FDA批准的非小细胞肺癌靶向和免疫药物多达55款!靠着一代一代的靶向免疫药活过五年十年的肺癌患者已经数不胜数。
实现肺癌疾病控制率100%!2025即将上市的四大重磅新药
01、实现肺癌疾病控制率100%!首款国产TROP2 ADC芦康沙妥珠单抗即将上市!
药品名称:芦康沙妥珠单抗(SKB264 商品名:佳泰莱)
研发公司:科伦博泰
药物类型:TROP ADC
芦康沙妥珠单抗(SKB264 商品名:佳泰莱)是由中国科伦博泰生物享誉国际的ADC研发平台—OptiDC研发的具有代表性的靶向TROP2的创新ADC。
值得肺癌病友振奋的是,这款药物不仅对于EGFR耐药的患者疗效显著(EGFR 突变多线治疗耐药亚组接受芦康沙妥珠单抗单药治疗的客观缓解率( ORR) 高达 60%),对于不存在基因突变的肺癌患者也同样有着卓越的潜力。在2024年的CSCO大会上公布了芦康沙妥珠单抗(sac-TMT)联合KL-A167(抗PD-L1单抗)一线治疗驱动基因阴性晚期非小细胞肺癌(NSCLC)患者的II期研究(OptiTROP-Lung01 )结果,非常振奋人心。
这项研究队列1A的40例患者接受sac-TMT 5 mg/kg Q3W + KL-A167 1200 mg Q3W,中位随访时间为14.0个月,客观缓解率(ORR)为48.6%,疾病控制率(DCR) 为94.6%!
队列1B的63例患者接受sac-TMT 5 mg/kg Q2W + KL-A167 900 mg Q2W治疗,中位随访时间为6.9个月,ORR为77.6%(45/58,5例待确认),疾病控制率(DCR)高达100.0%,这意味着所有患者的肿瘤都出现了不同程度的缩小甚至消失或控制稳定!更值得一提的是,在不同PD-L1表达水平和组织学类型中均表现出积极的抗肿瘤疗效。
2024年10月31日,中国国家药监局药品审评中心(NMPA)官网的最新公示,芦康沙妥珠单抗注射液(SKB264)的新适应症上市申请,正式获得NMPA受理,用于经EGFR-TKI治疗后,病情进展的EGFR突变局部晚期或转移性非小细胞肺癌成年患者的治疗,一旦获批上市,这将是首款中国原创的用于肺癌的TROP2新型抗体偶联药物(ADC),将为肺癌的精准治疗开启全新的纪元!
02、靶向 HER2的ADC药物瑞康曲妥珠单抗上市在即
药品名称:瑞康曲妥珠单抗
研发公司:恒瑞医药
治疗靶点:HER2
瑞康曲妥珠单抗是一款靶向 HER2 的抗体偶联药物(ADC),由曲妥珠单抗、可裂解连接子及拓扑异构酶 I 抑制剂有效载荷 SHR169265 巧妙组合而成。
2024 年 9 月,瑞康曲妥珠单抗用于既往接受过至少一种系统治疗的局部晚期或转移性 HER2 突变成人非小细胞肺癌患者的适应症被 CDE 纳入优先审评,有望在 2025 年第三季度获批。
瑞康曲妥珠单抗的1/2 期临床研究(NCT04818333)共入组63例既往接受过治疗的HER2突变的晚期非小细胞肺癌 (NSCLC) 患者。
结果显示:在所有 63 名患者中,客观缓解率(ORR)达到38.1%(95% CI 26.1–51.2)(详见下图),中位PFS 为9.5个月(95% CI 7.1–11.7)。
03、疾病控制率高达90.6%!又一款肺癌KRAS新药即将上市
药品名称:戈来雷塞片
研发公司:加科思
治疗靶点:KRAS G12C
JAB-21822是加科思自主研发的KRAS G12C抑制剂。临床前研究数据表明,其可单独使用,治疗含KRAS G12C突变的实体瘤,同时在KRAS G12C抑制剂治疗发生耐药后,联合SHP2抑制剂有望有效克服和逆转KRAS抑制剂的耐药问题。
在2022年ASCO大会上,加科思公布的1期临床数据显示,截至2022年4月1日共入组72例晚期实体瘤患者。其中有疗效评估的KRAS G12C突变的非小细胞肺癌患者共32例,客观缓解率(ORR)为56.3%(18/32),疾病控制率(DCR)为90.6%(29/32)。在400mg/d及800mg/d的剂量组中,客观缓解率为66.7%(8/12),疾病控制率为100%(12/12)。此外,JAB-21822在剂量递增阶段无剂量限制性毒性(DLT),400mg/d及800mg/d剂量组中三级或四级治疗相关不良反应为2.5%(1/40)。
2024 年 5 月,戈来雷塞片用于既往接受过至少一线系统性治疗的 KRAS G12C 突变的局部晚期或转移性非小细胞肺癌(NSCLC)成人患者的适应症上市申请被纳入优先审评,有望在2025年上市。
04、肺癌一线治疗再迎新药
药品名称:迈华替尼
研发公司:华东医药
治疗靶点:EGFR/HER2强效小分子抑制剂
迈华替尼(mifanertinib)是一种不可逆EGFR/HER2强效小分子抑制剂,通过不可逆地抑制酪氨酸激酶自磷酸化,导致ErbB信号下调,从而抑制肿瘤生长。2024年5月,华东医药1类新药迈华替尼片上市申请获得受理,拟用于EGFR 21号外显子L858R置换突变的局部晚期或转移性非小细胞肺癌(NSCLC)成人患者的一线治疗。
晚期肺癌实现完全缓解!革命性免疫疗法TIL让近80%患者肿瘤缩小
近两年,一种革命性的免疫疗法给各类癌症患者带来了新的希望。2024年2月16日,让所有癌症患者备受期待的免疫疗法新“王者”,全球首款TIL疗法- lifileucel(LN-144)获批上市,用于治疗晚期黑色素瘤,大名--Amtagvi!这是T细胞疗法一个备受期待的重要里程碑,为实体瘤治疗开启新纪元!
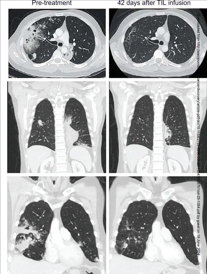
值得肺癌病友们振奋的是,这款大名鼎鼎的疗法在国际顶级癌症期刊《癌症探索》杂志发表了一项2 期代号为 IOV-COM-202 研究 (NCT03645928) 的结果,证实了自体肿瘤浸润淋巴细胞 (TIL) 细胞疗法 lifileucel (Amtagvi) 在经过大量预处理的晚期或转移性非小细胞肺癌(mNSCLC)患者中显示出良好的响应,一些患者在治疗后两年多没有出现癌症复发!各类治疗失败后的患者迎来新的抗癌利器!
在这项代号为IOV-LUN-202的II 期试验 (NCT04614103) 中,共纳入了 28 名晚期非小细胞肺癌患者(无 EGFR、ROS 或 ALK 基因突变)接受TIL疗法,值得一提的是,这些患者都是化疗和抗 PD-1 疗法中或之后出现进展的,病情非常严重,已经用尽了所有其他治疗方案的难治性患者。并且肿瘤病灶的数量多达11个,包括脑转移,肝转移等多器官受累。这些患者入组后接受1.4 × 10 9 –53.2 × 10 9 个TIL 细胞的回输。
结果显示:经过中位随访期 16 个月,lifileucel 的客观缓解率 (ORR) 为 21.4%(n = 6/28)!
值得一提的是,一名 PD-L1 阴性患者在 26.2+ 个月时达到完全代谢反应,这意味着他的靶病灶完全消失。另一名患者在 8.7+ 个月时达到部分缓解,观察到持续反应;两名患者均未接受后续局部或全身治疗。其他 4名患者达到部分缓解(靶病灶缩小30%以上)。此外,19 名 (79.2%) 患者的肿瘤负荷减少。
此外,高达79.2%(19名) 的患者在接受研究治疗后肿瘤负荷减轻。缓解持续时间 (DOR) 范围为 1.1+ 至 26.2+ 个月。
12周肿瘤缩小81%!TIL疗法为晚期肺癌患者带来重生曙光
41岁M先生确诊为晚期粘液性肺腺癌,存在KRAS G12D突变,PD-L1表达率为0%,在经过包括卡铂、紫杉醇和派姆单抗在内的三线治疗后病情出现进展。接受TIL治疗后6周病灶显著缩小,12周的影响检查显示,肿瘤竟然缩小了81%!
这项研究数据之所以被认为意义重大,是因为从历史数据看,在化疗进展后接受抗癌“神药”PD-1的有效率也仅为20%左右,而TILs疗法对于化疗和PD-1都耐药的极晚期患者还能达到21.4%,并且还有一名患者肿瘤全部消失!说明这种新型的免疫疗法潜力巨大,是一款有望超越PD-1的更强免疫疗法,给临床上各种治疗耐药后的患者提供了新的选择和希望!
目前 ,自体肿瘤浸润淋巴细胞 (TIL) 细胞疗法 lifileucel (Amtagvi) 在转移性非小细胞肺癌 (NSCLC) 患者中的II期试验的初步分析提交FDA审查,有望获得加速批准,早日上市!
回输6次肿瘤显著缩小!NK细胞联合贝伐单抗治疗成功晚期非小细胞肺癌
2019年春天,60岁的张先生因为出现了咳嗽腰痛乏力等症状前往医院检查,最终确诊为非小细胞肺癌,影像检查显示左肺上叶的肿瘤已经有一颗枣那么大(25×31mm),并且侵犯纵隔组织,包围主动脉,纵隔出现多个淋巴结,最大的5×15mm,右肺上叶两个淋巴结也出现了转移,由于病灶较大且侵犯纵隔,张先生已经失去了手术机会。
为了尽快控制病情,张先生接受了标准方案的化疗,第三周期联合放疗,病情得到了缓解,肿瘤缩小,肿标也恢复正常。不幸的是,2020年5月病情出现进展,张先生接受了化疗联合免疫治疗,但方案无效,肿瘤仍在不断增大,扩散。
在专家团队多学科会诊后,决定尝试细胞免疫治疗,为张先生制定了联合吉西他滨/阿瓦斯汀输注自体NK细胞6次。
张先生在4.5个月内接受了6个疗程的自体NK细胞群输注,每3周一次,其间接受吉西他滨加阿瓦斯汀联合治疗。结果显示:干咳、胸痛症状消失,饮食好转,生活质量明显改善,原发肿瘤较联合治疗前明显减小近一半。此外,本片未见纵隔淋巴结及两侧锁骨上淋巴结,这意味着转移灶已全部消失!
除了上述张先生的案例取得了令人鼓舞的治疗效果,实际上免疫细胞疗法长期以来一直备受关注,
越来越多的研究表明,人体内强大的免疫细胞--自然杀伤(NK)细胞在肺癌的免疫治疗中具有重要作用。研究人员一直在探索增强NK细胞的活性及数量的方式。
全新抗癌黑科技电场疗法让肺癌生存期显著延长
2024年10月15日,美国FDA传来重磅喜讯:正式批准电场疗法(TTFields)-- Optune Lua 与 PD-1/PD-L1 抑制剂或多西他赛同时使用,用于治疗在铂类方案治疗期间或治疗后病情出现进展的转移性非小细胞肺癌 (NSCLC) 成年患者。值得一提的是,这是电场疗法获批的第三大适应症,将给全球死亡率排名第一的肺癌带来全新的治疗变革!也意味着,肺癌患者有望像像下图中这位患者,睡着觉就可以轻松治疗清除癌细胞~
肺癌患者新生机!树突状细胞疫苗联合靶向治疗创造生存纪录
63 岁的M女士确诊为肺腺癌(IIIb 期:T2aN3M0),没有机会手术根治。为了尽快找到最佳的用药方案控制病情,M女士做了基因检测,结果显示存在经典的EGFR突变。M女士开始接受厄洛替尼的治疗。
然而,一个月后,M女士认为单独使用厄洛替尼,往往难以彻底清除癌细胞,且容易出现耐药性,无法让自己达到长期生存的目的。
在医生的建议下,她决定尝试一种全新的联合治疗方案 —— 厄洛替尼联合新型的树突细胞治疗。谁也没有想到,这个决定彻底改变了她的抗癌命运。
M女士首次接种树突状细胞 48 小时后,接种部位出现了直径 30 毫米的红斑,在后续的接种过程中,红斑直径始终保持在 20 毫米以上。这些看似不起眼的红斑,实际上是身体免疫系统被激活的重要信号,表明疫苗成功诱导了抗肿瘤免疫。
随着治疗的推进,效果愈发显著。在联合使用8次树突状细胞和厄洛替尼治疗 237 天后,肿瘤大小显著减小至 12 毫米,缩小比例高达 65.7%。
更令人惊喜的是,经过 321 天的联合治疗后,影像检查竟然已经看不到肿瘤了。而且,在治疗开始后至少 587 天内,肿瘤消失的状态持续存在,没有任何复发或转移的迹象,治疗时间超过了 699 天。
这意味着,在这种联合治疗方案下,这位晚期肺癌患者获得了超长的无进展生存期,极大地提高了生存质量,有望依靠这种联合治疗方案获得迈入临床治愈的大门!
随着这些新药、新治疗方法的研发,肺癌的治愈率与生存期均优于以往。国内的患者有机会选择国内外更好的治疗方法,获得更好的治疗结局。
需要提醒大家的是,即使是标准治疗方案失败,也可以尝试进行基因检测,一旦存在EGFR、ROS1、KRAS、NTRK1、NTRK2或者NTRK3基因融合等,就可以尝试这些临床数据卓越的抗癌新药。做过基因检测看不懂的病友,也可以将报告发送至全球肿瘤医生网医学部解读,全面分析检测报告,通过“方舟基因宝藏计划”匹配能够入组的临床试验,以及有无新药可以使用。
期待更多国研好药早日获批,落地医保,造福更多国内的肺癌患者。































