一位转移性结直肠癌患者经TCR-T治疗后,转移灶显著缩小且7个月未出现疾病进展!这一突破性进展不仅为晚期结直肠癌患者开辟了精准免疫治疗新赛道,更让无数难治性肿瘤患者燃起了长期生存的新希望!
针对手术联合化疗后复发或转移的MSS型CRC患者,该研究的初步结果显示,个体化新抗原疫苗治疗具备良好的可行性、安全性及显著免疫活性,有望为MSS型CRC治疗带来重大突破,不仅能延长患者无进展生存期,还能改善治疗效果与生活质量,为这类难治性患者带来了全新希望与治疗选择!
近年研究发现,自体树突状细胞(ADC)癌症疫苗可补充ICB,二者联合或产生协同效应:疫苗能刺激肿瘤抗原特异性细胞毒性T淋巴细胞,特异性识别清除癌细胞,将“冷”肿瘤转化为“热”肿瘤。
打一针终结癌症的时代已经到来!众多肠癌患者在接受癌症疫苗后,成功清除体内残存癌细胞,远离复发厄运,重新回到正常生活!
2025年ASCO大会公布了CEA CAR-T细胞治疗结直肠癌肝转移根治术后患者的I期临床试验(NCT05240950)数据。
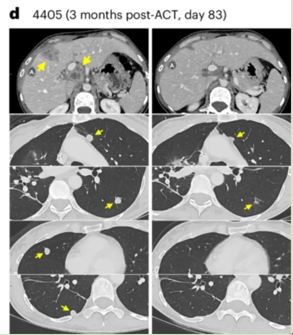
《Molecular Therapy》报道,Radium-1 TCR首次应用于1例林奇综合征(LS)合并晚期转移性MSI-HCRC患者。
2025年9月25日,正大天晴1类新药TQB2102的新适应症被CDE纳入突破性治疗品种,适用于既往经奥沙利铂、伊立替康、氟尿嘧啶类药物治疗失败的HER2IHC3+晚期结直肠癌。
1例IV期pMMRMSS型mCRC患者,经FMT联合贝伐珠单抗+替雷利珠单抗治疗后,肿瘤缩小至可手术范围,最终达病理完全缓解(pCR)。