这是16岁的Billy White第三次患上癌症,肿瘤在他的脸上,因为离左眼和视神经很近,手术很难,唯一可以拯救他的是一种目前在世界上最精准的放疗技术--质子治疗。医生对质子方法相当有信心,Billy会有很好的预后。

随着全球质子治疗患者数的逐渐增加,学术界对质子治疗技术优势的认识也在不断加深,临床试验促进了质子治疗在更多癌症类型中的应用。越来越多的人开始认识并关注这个放射治疗领域的新秀,不少患者将其视作“治癌神器”。那么,质子治疗真的有这么神奇吗?
质子治疗技术经过半个实际的临床应用和研究,已被公认为是放疗领域先进的技术。目前,国际上越来越多的医院将质子治疗应用于肿瘤的治疗,那么
-
质子治疗的物理学优势是什么?
-
质子治疗的适应症有哪些?
-
质子治疗对哪些癌症的效果更好(案例分享)?
本期直播特邀请台湾林口长庚纪念医院副院长,放疗专家洪志宏医师深度解读肿瘤的质子治疗方案!
日期:2018.12.14(周五)
时间:16:00-
报名方式:
扫描以下二维码或点击文末左下角“阅读原文”报名!
快报名!听直播吧!
全球肿瘤医生网,
联手各领域癌症专家,
与癌症患者一起战胜癌症!

简介
洪志宏医师于1984年自台湾医学大学医学系毕业,于1990年至1995年在美国加州大学洛杉矶分校攻读生物物理博士(Biomedical Physics),师承H. Rodney Withers 及William H. McBride两位大师。于1997年接任放射肿瘤科主任长达14年。在这14年中他建立了全台湾第一个放射肿瘤次专科制度,引进了最先进的放射治疗技术。
洪志宏医师自2000年长期担任林口长庚医院癌症中心副主任、主任,建立高水准的癌症诊疗团队及运作制度。
治疗专长:妇科癌症、泌尿及上消化道癌症的放射治疗,并长期专注癌症及辐射生物的基础与转译研究,共有140篇以上的论文发表于国际期刊。许多论文研究成果被放射肿瘤专业教科书引用,成为诊疗的经典。
治疗经验:超过1,500例以上的妇科肿瘤、1,000例以上泌尿癌及250例以上肝癌病患。在以放射治疗为主的晚期妇科肿瘤、泌尿癌,本院五年存治率皆高于台湾医学中心平均值。
质子治疗技术本质上是一种放疗技术,是一种先进的放疗技术,1988已获得美国FDA批准作为放疗手段用于肿瘤治疗。质子治疗采用是质子线照射肿瘤,而传统放疗采用的是光子线(X射线、γ线),两者最大的区别是质子线照射肿瘤时会产生布拉格峰,也就是质子线到达肿瘤时释放全部能量,集中火力杀伤肿瘤,而光子线在进入身体到达皮肤开始就释放能量,到达肿瘤时已消耗很多,虽然也杀伤了肿瘤,光子线对身体又有辐射作用,在肿瘤前后消耗的能量会对健康组织和器官造成不良的影响,也就是众所周知的放疗副作用如皮炎、疼痛、恶心,致命副作用如肺炎、脑膜炎等。
对比来看,质子治疗优势更大,有效杀灭原发和转移肿瘤,不伤害人体正常组织细胞,无毒副作用,大幅提升治疗效果,几乎适用于所有癌症。特别适合不耐受手术和化疗的患者。
质子治疗原理
质子治疗是将失掉电子的氢原子原子核,利用回旋加速器或者同步加速器加速到光速约70%,以这种极快的速度穿透到人体内部,到达癌细胞所在的特定部位,速度突然降低并停止,在射程终点处形成一个尖锐的剂量峰,称为Bragg峰(“布拉格峰”),释放出最大能量,将癌细胞杀死。
质子治疗与普通放疗区别
放疗-散弹打鸟模式:放射性治疗是用较强的放射性同位素射线比如X、Y射线杀死癌细胞,射线从进入人体表面开始到穿过肿瘤组织后,能量持续释放,对于照射区域内的细胞,放疗没有精准的选择性,在破坏肿瘤细胞的同时对周围正常细胞也有抑制及损害作用。
质子-立体定点爆破:质子治疗依靠正极电荷的核粒子而非传统的光子束,并且质子能量可以被人为精确地定位达到向肿瘤内部提供高度集中地质子束照射,这对周围正常组织结构无损害而且副作用极度降低。
质子治疗适应症
1、全身各部位早、中、晚期肿瘤;
2、放化疗后复发、未多发转移的肿瘤患者;
3、放化疗不敏感、难治性肿瘤如恶性肉瘤、脑胶质瘤、胰腺癌等;
4、放化疗耐受差、不能手术的肿瘤患者;
5、早中期肿瘤患者手术前后预防性治疗;
6、儿童肿瘤患者、高龄、身体机能较差的患者。
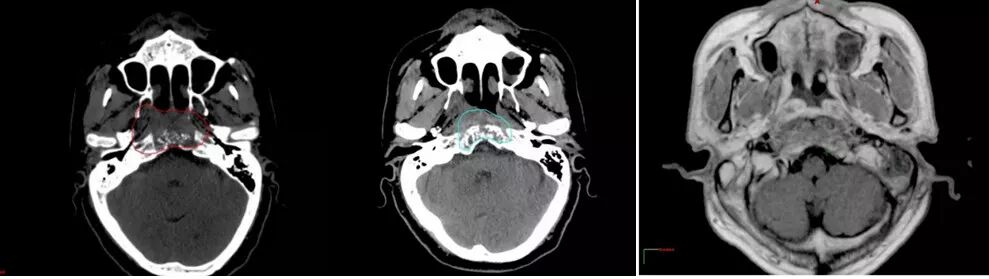
案 例 一
质子治疗鼻咽癌肿瘤缩小70%
患者:男,55岁
因鼻塞2年余,涕中带血半年,头痛20余天,入院诊断为鼻咽癌(低分化鳞癌)复发,给予质子治疗。治疗1个月后复查(中),肿瘤明显缩小,无不良反应;治疗7个月后MR图像(右),肿瘤缩小70%。
-
治疗前CT图像(左)
-
治疗1个月后复查(中),肿瘤明显缩小,无不良反应
-
治疗7个月后MR图像(右),肿瘤缩小70%
案 例 二
质子治疗肺鳞癌一个月后肿瘤缩小65%
患者:男,55岁
PET-CT显示:左肺上叶尖后段肺癌;并右侧顶叶脑转移,考虑为“肺癌脑转移”。拟行手术治疗,因肺部肿瘤靠近大血管,不能手术,经专家咨询,行质子放射治疗。本案例经质子治疗一个月后,肿瘤体积缩小65%,肿瘤负荷大大降低,症状明显改善,生活质量未受任何影响。
治疗前最大截面:3.88×3.90,体积由44.56cm3;治疗一个月后截面为2.48×2.13,体积15.68cm3;体积缩小65%
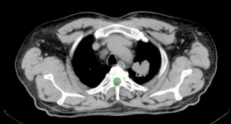
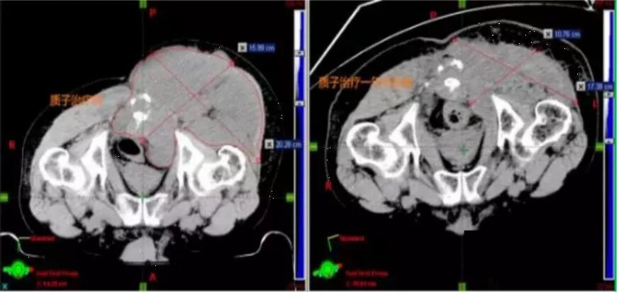
案 例 三
质子治疗脊索瘤一年后肿瘤体积缩小85%
患者:男,67岁
洗澡时无意中发现左侧臀部有一碗状肿物,局部皮肤无红、肿、热、痛及橘皮样改变。立即到医院就诊,行彩超发现左侧骶尾部肿物。进行左侧骶尾部肿瘤切除,术后病理为“脊索瘤”,术后辅助质子治疗。治疗后仅两个月,瘤体便开始缩小,治疗一年后,肿瘤体积缩小85%。
质子治疗一年后复查:肿瘤由原来的16×20.28cm缩小到10.76×17.39cm,局部纤维化明显,直肠恢复到正中,受压明显改善
林口长庚纪念医院成立于西元1978年12月1日,1978年至1988年陆续设立医学大楼、复健大楼、病理大楼、儿童大楼四栋医疗大楼。2015年成立全国首座「质子暨放射资料中心」。
每年服务门诊400万人次,急診20万人次,住院10万人次。在历任院长及同仁持续耕耘下,成为台湾规模最大的医疗机构。
林口長庚医院秉持「人本济世」、「病人优先」、「平民化医疗」的服務精神,在医院创办以來,以救治病人提供高品质医疗为最优先考量。
王创始人曾提及创办长庚医院的目的:第一、这间医院不以赚钱为目的;第二、要能服務中低阶层民众;第三、具有一、二千床以上的大规模医院,不单是治病規模大而已,而是要夠大才能专业细分,有量才有质,培养专精的人才;第四、希望能不断引进及發展新的医学科技研究,持續創新將醫療技術達到水準;第五、通过合理的制度,吸引最好的医师,提供最好的设备仪器,将来成为世界的医院。
近年來,为加强病人服务,提升品质,橫向整合医疗专科之功能,广设特色医疗中心,以提供更全面、完善的医疗服务,及品质优良的急、重症医疗与教学研究。更於2013年成立国际医疗中心,扩大服务国际病患,提供更友善的国际就医服务。未來將在医疗照护上承先启后,继续追求更卓越優質的醫療服務品質,成為民眾最信賴的醫學中心。
想进一步了解抗癌新药资讯或申请专家咨询及加入医患交流群,可添加肿瘤专业医学顾问微信提交病历获得初步诊疗意见或登录医学部。



































