全球首台速锋刀系统于2013年9月落户美国美国亨利福特医疗集团,2014年2月落户意大利Humanitas研究医院。全球肿瘤医生网先后与这两家医院签署合作协议,设立速锋刀中国联络处,为国内肿瘤患者提供国际医疗服务。
速锋刀的优势:
高强度及精准度,彻底清除肿瘤组织,几乎没有残留
对周围正常组织、重要脏器及自身免疫系统几乎无影响
实时追踪及锁定“逃逸”的肿瘤细胞并清除
提高患者的依从性,治疗过程舒适无痛苦
治疗时间短,每天治疗8~20分钟,总计1~5天
费用低:赴美国治疗费用约40万左右,而赴意大利治疗仅需10万左右
案例
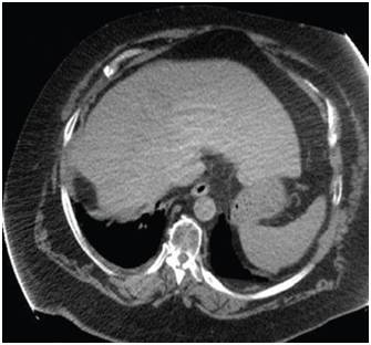
患者男性,65岁。2014年10月,患者感到腹部不适、头疼。检查和诊断结果为(1)高分化肝细胞癌,大小约10cm,肝硬化明显。(2)脑转移瘤,左枕叶处有大小约3cm的肿块。(3)II型糖尿病,需要胰岛素治疗。(4)慢性肾病;(5)中度高血压,有心衰病史。
患者处于肝癌晚期,肝癌病灶巨大且有脑转移,国内医疗机构不能实施外科手术治疗。经全球肿瘤医生网请国际癌症专家组远程咨询,患者定于2014年11月10日出国进行EDGE速锋刀无创手术治疗。先后对肝脏肿瘤和脑转移瘤进行EDGE治疗,在医院共治疗8天。每个肿瘤每天治疗1次,每次治疗时间约10分钟左右,肝脏肿瘤共治疗6次,脑肿瘤治疗4次。患者手术过程中无任何不适,每次治疗后正常回公寓休息。半年后,患者身体状态良好,体重明显增加。影像检查报告显示肝脏的巨大肿瘤被彻底清除,脑部肿瘤几乎完全消除,且没有复发。生化检查结果表明肝功能未见异常。

肝脏肿瘤治疗前10cm


肝脏肿瘤治疗后完全消除

脑转移瘤治疗前3cm

脑转移瘤治疗后基本消失
在意大利米兰的Humanitas研究医院是Humanitas企业集团的旗舰医院。它是一个高度专业化的医院,研究中心和教学中心,它被国家健康医疗系统所鉴定认可,具有为广大患者提供杰出的和高度专业化诊断和治疗服务的使命。Humanitas医院被认为是欧洲技术最先进的医院之一,装备有的一代的技术。是目前世界上3家可以提供最先进立体定向放疗手术(SBRT)-速锋刀(EDGE)治疗的医院之一。
该医院建立有癌症中心,心血管中心,神经系统疾病中心和骨科疾病预防与治疗中心—除此之外还有一个眼科中心和一个生殖医学中心。
据世界卫生组织介绍,意大利医疗水平连续多年在全球排名第一,在癌症治疗方面更是处于世界领先地位。由于意大利完善优越的医疗保障系统,就医费用很低,患者赴意大利接受速锋刀治疗的费用约为人民币10万元左右,仅为美国的1/4。此外,意大利签证简单,只需十二个小时就能抵达米兰。意大利气候宜人,景色秀丽,人民友好热情,是中国患者治疗的首选目的地。
咨询及预约速锋刀治疗,请登录
推荐阅读:脑瘤基因检测






























