新型TIL细胞疗法治疗6周10个转移瘤完全消失,对肠癌、胰腺癌、胆管癌等多种癌症有效
晚期胰腺癌患者临床治疗方案用尽陷入绝境,幸运的是,在接受一种新型TIL疗法的临床试验后,治疗仅6周的随访中,数十个肝转移瘤完全消退!这项全新的疗法为肠癌,胰腺癌,胆管癌等消化道肿瘤患者点亮希望!
近期,美国国立卫生研究院 (NIH) 研究人员领导的一项 2 期研究 (NCT01174121) 临床试验在病友圈引起巨大轰动,并发表在国际知名期刊《自然医学》杂志上!结果显示,一种新型肿瘤浸润淋巴细胞 (TIL) 疗法(一种个性化癌症免疫疗法)显著提高了转移性胃肠道癌症患者的治疗效果,显示出TIL疗法可用于治疗多种实体肿瘤的巨大潜力。
治疗6周10个转移瘤完全消退!新型TIL疗法对肠癌、胰腺癌、胆管癌等多种癌症有效
免疫学泰斗,美国国立卫生研究院国家癌症研究所的首席研究员 Steven A. Rosenberg 博士兴奋地表示:“我们首次见证了 TIL 细胞疗法在常见实体癌中的应用,这是癌症治疗领域的重大里程碑!通过利用细胞免疫疗法治疗常见实体癌,我们看到了癌症‘实体壁’上的一丝裂痕,而且我们认为我们有办法进一步打开这道‘裂痕’。”
与传统治疗方式不同,TIL细胞能够精准识别和筛选肿瘤中能够特异性识别并攻击患者肿瘤细胞。科学家会在实验室中将这些珍贵的TIL细胞进行大规模培养,然后最终将其注入患者体内。
这项试验总共纳入91例转移性胃肠道癌症患者,包括食管癌、胃癌、胰腺癌、结肠癌和直肠癌。他们既往已经接受过中位数为4种的治疗方案,病情却依旧恶化,抗癌之路充满绝望。这些患者接受评估后入组并接受IRB批准的不同治疗方案 (NCT01174121)。
| 试验阶段 | 治疗方案 | 患者人数 | 客观缓解人数 | 客观缓解率 | 缓解持续时间 |
| 第一阶段 | 未经筛选的抗肿瘤活性TIL治疗 | 18例 | 例 | 0% | - |
| 第二阶段 | 筛选的TIL疗法治疗 | 39例 | 3例 | 7.7% | 8个月-5.8年以上 |
| 第三阶段 | 特定TIL疗法+帕博利珠单抗治疗 | 34例 | 8例 | 23.5% | 4个月-3.5年 |
结果显示,所有患者根据 RECIST 确认的部分缓解率为 15.1%。在试验的第二和第三阶段,客观缓解率分别为7.7%和23.5%,多种类型的胃肠道癌症(包括结肠癌、直肠癌、胰腺癌和胆管癌)均观察到了客观缓解。在仅接受选择性TIL疗法的组中,缓解持续时间为8个月至5.8年以上;在接受选择性TIL疗法和帕博利珠单抗治疗的组中,缓解持续时间为4个月至3.5年。
在随访评估中,有 8 名患者(未包括在 11 名获得客观反应的患者中)的目标肿瘤缩小超过 30%;其中 3 名未使用 pembrolizumab ,5 名联合使用 pembrolizumab。
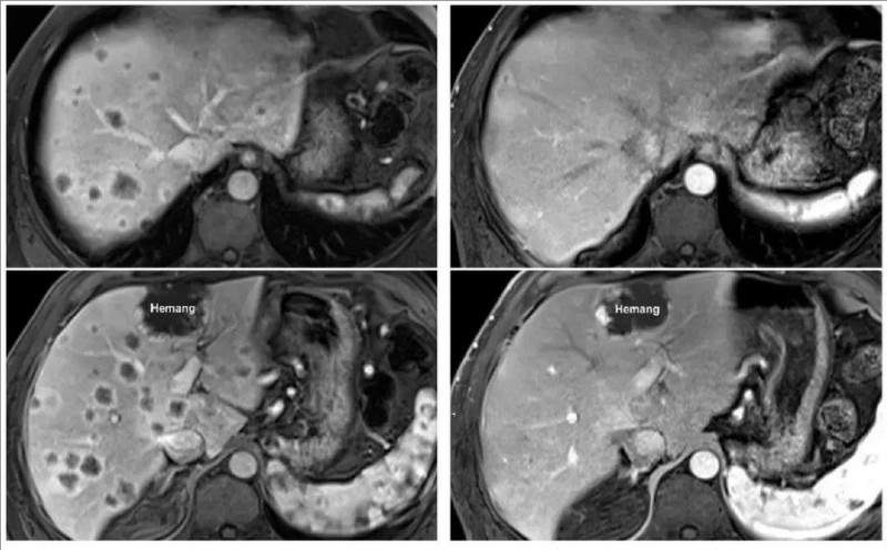
值得一提的是,一名患有胰腺导管腺癌且转移至肝脏、淋巴结和腹膜的患者,在接受选择性 TIL 疗法和派姆单抗治疗月后,不仅 1 个肝转移灶完全消退,7 个月时整体肿瘤还缩小了44.1%。
此外,还有一位胰腺癌患者更是创造了奇迹,在 6 周的随访中,数十个肝转移瘤完全消退,这一阶段性成果足以让人看到 TIL 疗法的巨大潜力。
TIL疗法:抗癌"敢死队"如何练成
可能你会好奇,TIL 疗法究竟有何独特之处?其实,TIL 疗法就像是一支经过特殊训练的抗癌 “特种兵” 部队。首先,科研人员会从患者的肿瘤组织中识别和筛选出能够特异性识别并攻击肿瘤细胞的免疫细胞(TIL),这些细胞是人体自身免疫系统中深入到肿瘤内部打击敌人的战斗力最强的 “敢死队”。
接着,科学家在实验室里对这些 TIL 进行大规模培养,让它们 “兵强马壮”。最后,再把这些大量扩增后的 TIL 回输到患者体内,它们就会像训练有素的战士一样,精准地找到并攻击癌细胞。
这种疗法利用能够识别并靶向患者肿瘤的T细胞作为攻克癌症的免疫大军回输到体内,是根据每个癌症患者量身定制的个体化抗癌疗法,具有多克隆化,可特异性识别多种新生抗原,个体化,高度特异性,持久性,输注后可形成免疫记忆等特点。
它的开创者是免疫界泰斗Rosenberg及其团队。TIL 疗法的历史可以追溯到 1986 年,当人类 TIL 扩增并注射到小鼠体内时,它们导致肝脏和肺部转移性肿瘤消退。 两年后,罗森伯格及其同事宣布,20 名转移性黑色素瘤患者接受了自身 TIL 输注——这是TIL疗法首次用于人类,初步结果令人鼓舞:11 名患者的肿瘤消退持续 2 至 13 个月,且毒性可逆。
TIL细胞疗法可以治疗哪些癌症
2024年2月16日,FDA加速批准 lifileucel(LN-144)上市,适应症为:用于治疗既往接受过 PD-1 抗体治疗的不可切除或转移性黑色素瘤成人患者,如果BRAF V600 呈阳性,则可使用 BRAF 抑制剂联合或不联合 MEK 抑制剂治疗。
获批的临床数据显示:在平均接受过3线治疗方案(1~9)的晚期黑色素瘤患者中,客观缓解率(ORR)达到31.4%,疾病控制率(DCR)高达77.8%!这意味着近80%的极晚期患者肿瘤出现不同程度缩小或控制稳定!特别值得一提的是,在接受lifileucel 治疗2年后,7 名部分缓解(PR)的患者肿瘤持续缩小,最终全部消失,达到完全缓解( CR)!
此外,无论国内还是国际,TIL疗法正在针对广泛的实体瘤进行大量的临床试验并显示出了卓越的治疗潜力,其中包括:结肠癌、胆管癌、乳腺癌、人乳头瘤病毒(HPV)相关的癌症、非小细胞肺癌、头颈部肿瘤、卵巢癌、肉瘤、间变性甲状腺癌。
此外,临床前研究表明,其他一些肿瘤,例如上皮性卵巢癌,也可能是这种治疗的良好候选者。
中国TIL疗法有哪些研究进展
曾经,这种先进的治疗技术一直掌握在医疗水平发达的国家,很多病友在苦苦等待中遗憾离开。这一切都将被重写!目前国内共有19家企业布局TIL疗法,并取得了突破性的进展。
01、全球首款无需清淋天然TIL疗法研发成功
上海君赛生物已成功研发全球首款无需清淋,无需IL-2注射的天然TIL细胞疗法--GC101,并于2022年4月经国家药监局批准进入临床I期,目前正在国内8家权威三甲医院开展针对多种晚期实体肿瘤的临床试验。
临床数据显示:针对肺癌、黑色素瘤、宫颈癌等多种晚期恶性实体肿瘤,GC101的客观缓解率(ORR)超38%,并且已有4例患者肿瘤完全清除,达到完全缓解(CR),其中无瘤生存最久时间已超2年,另有6例患者获得PR疗效(肿瘤缩小>30%)。
这种国研创新型TIL疗法与美国上市的AMTAGVI™(Lifileucel)不同,所有患者仅需入住普通病房即可接受治疗,TIL细胞回输前无需接受高强度非清髓性清淋预处理,TIL细胞回输后无需输注任何剂量的IL-2。简化后的临床方案仍可保证TIL细胞在患者体内有效增殖,极大避免AMTAGVI™黑框警告相关不良反应(如:治疗相关死亡事件、持续性严重细胞减少症、严重感染、心肺功能和肾功能损伤等)发生风险,大幅提高TIL疗法安全性、便捷性及可及性。
02、疾病控制率高达90.9%!GT101对多种实体瘤有效
GT101是沙砾生物自主研发的一款自体肿瘤浸润淋巴细胞(TIL)疗法,也是我国首个获批临床的TIL细胞药物。
2024年ASCO大会上GT101 TIL疗法的1期临床试验(NCT05430373)公布了最新结果。截至2023年11月10日,共有14例复发或转移性实体瘤(包括小细胞肺癌、黑色素瘤、宫颈癌)患者入组,结果显示:客观缓解率(ORR)为35.7%。其中,28.6%(4例)患者达到部分缓解(PR)、57.1%(8例)达到病情稳定(SD)、7.1%(1例)患者幸运地获得了完全缓解(CR)!
在宫颈癌患者(n=11)中:客观缓解率(ORR)高达45.5%(5/11);疾病控制率(DCR)高达90.9%(10/11)。
国内患者如何接受TIL疗法
好消息是,目前GC101,GT101针对晚期黑色素瘤及实体瘤的临床试验仍在进行中,很多患者已通过我们成功入组。
主要入组条件
●18-75岁,男女不限,无严重基础疾病;
●仅患一种恶性实体肿瘤,恶性黑色素瘤、肺癌、头颈部鳞癌、食管鳞癌、宫颈癌、子宫内膜癌等优先;
●经标准治疗失败或缺乏有效治疗方法;
●至少有2个病灶,身体情况可支持手术取材,取材病灶未接受过局部治疗(如放疗、射频治疗、溶瘤病毒、溶瘤细菌等)。
想寻求TILs及其他国内外新抗癌治疗帮助,且经济条件允许的情况下,可以先将病历提交至医学部进行初步评估,一旦审核通过,有机会获得”天价“疗法免费治疗的机会。
TIL疗法的批准反映了使用自身免疫细胞攻克癌症的免疫治疗领域的重大进展。越来越多的医生将有能力让合适的患者在正确的时间获得个体化”量体裁衣“式的治疗方案!并且随着国家和相关部门的重视,众多国研企业已突破性解决TIL疗法关键共性问题,实现TIL细胞“养得出、养得好、用得起、用得顺”的多层次目标,覆盖多种类型实体肿瘤。相信这些效果好的抗癌疗法都会加快在我国上市和纳入医保的步伐,让更多的百姓获益,我们共同期待!随着更多治疗方案的发展,晚期肿瘤患者将迎来更多治疗选择和希望,我们期待人类攻克癌症的那一天早日到来。





































