耶鲁大学发现关键基因,大幅提升NK细胞疗法抗癌力,横扫乳腺癌、肝癌、胆道癌等,疾病控制率突破70%
近日,耶鲁大学的研究团队取得了一项重大突破,他们成功攻克了自然杀伤细胞(NK细胞)在应用中的主要难题。研究人员借助创新性基因编辑技术,首次精准定位并破解了NK细胞在实体瘤治疗中面临的关键限制因素,揭示了CALHM2基因作为NK细胞功能内源性检查点的重要作用。这一成果有望大幅提升NK细胞对抗癌症的能力,为肿瘤治疗领域带来全新的希望。
NK细胞作为人体免疫系统的重要防线,能够敏锐识别并高效清除体内受感染、受损或发生恶性病变的细胞,在免疫防御中发挥着无可替代的关键作用。然而,此前NK细胞在实体瘤治疗中的效果一直差强人意。
耶鲁大学团队的这项研究成果,有可能突破长久以来实体肿瘤治疗面临的困境。研究人员满怀信心地指出,这一新方法在未来大概率会为实体肿瘤治疗开拓出一条前所未有的全新路径。目前,相关研究成果已在权威的《自然生物技术》杂志上同步发表,一经刊出,便迅速吸引了科学界的广泛关注。
小编特此为大家简要介绍这项研究成果,希望能借此坚定大家抗癌的信心。令人欣喜的是,当下我国在NK细胞、CAR-NK细胞、树突状细胞(DC)疫苗等多项新型抗癌疗法的研究方面正稳步前行。这也意味着,中国患者也有机会寻求这些前沿抗癌技术的帮助,为自己的健康争取更多的可能!
▲截图源自“frontiers”
耶鲁大学重磅研究:解锁CALHM2基因,突破NK细胞疗法瓶颈,开辟实体瘤治疗新路径
▲截图源自“nature biotechnology”
研究背景:免疫疗法的迭代需求
自然杀伤(NK)细胞在抗癌领域展现出巨大的临床潜力,然而,当前多种因素严重制约了NK细胞疗法的成功应用。为突破这一困境,寻找能增强NK细胞在肿瘤中活性的方法迫在眉睫。
在细胞中,存在一类被称为检查点的基因,它们如同“刹车”,控制着细胞的活跃程度。在耶鲁大学本次新研究中,研究人员将目标锁定在寻找可作为靶标的NK细胞检查点,期望通过关闭这些“刹车”,探索其对NK细胞浸润实体肿瘤的促进作用。
方法论创新:系统性破解NK细胞功能限制
在本次研究中,研究团队别出心裁地构建了一个包含黑色素瘤、乳腺癌、胶质母细胞瘤、胰腺癌四种实体瘤模型的跨物种研究体系。他们采用基因敲除技术,停用NK细胞中的数千个基因,随后将这些发生突变的细胞注入患有相应肿瘤的小鼠体内。通过细致观察,确定哪些突变体能成功渗透并在肿瘤中聚集。最终,研究人员发现了几种符合条件的突变体,这一成果揭示了众多潜在的、可用于改善CAR-NK疗法的靶点检查点。
同时,研究团队还深入探究了肿瘤浸润NK(TINK)细胞,对其单细胞转录组景观进行了全面而深入的表征分析。通过这一过程,成功识别出此前未被发掘的NK细胞亚群,以及具有差异表达的TINK基因,为后续研究提供了全新的视角和方向。
关键发现:CALHM2基因的"刹车"机制
经过一系列复杂且严谨的实验与分析,其中涵盖了基因筛查和单细胞分析等关键技术,研究人员将目光聚焦在一个特定的基因——CALHM2上,它正是众多检查点中的关键一员。为进一步探究其作用机制,研究人员在NK细胞中敲除CALHM2基因,并密切观察细胞在肿瘤环境中的行为变化。
研究结果令人振奋,研究人员表示:“敲除CALHM2基因后,NK细胞的抗癌能力得到显著提升,不仅能够更高效地杀死癌细胞,还能更轻松地渗透进入肿瘤组织,同时更有力地产生抗肿瘤细胞因子。这些细胞因子作为免疫系统信号传导的关键蛋白质,在免疫调节中发挥着不可或缺的作用。并且,这种增强效果在多种不同类型的癌症中均得到了验证”。
此外,研究人员还进行了CAR-NK疗法的对比实验。他们发现,当采用传统的CAR-NK疗法治疗结直肠肿瘤时,几乎看不到明显效果。然而,当使用敲除CALHM2基因的细胞进行治疗时,奇迹发生了,治疗效果显著提升。这一鲜明对比充分证实了CALHM2基因是一个极具价值的可靶向检查点。
技术突破与临床转化进展
本次研究成果意义重大,这些数据不仅明确了限制NK细胞功能的内源性遗传检查点,更重要的是,证明了CALHM2基因敲除(CALHM2KO)在设计增强型NK细胞免疫疗法中具有不可替代的重要价值。这一发现为NK细胞免疫疗法的优化升级提供了关键的理论依据和技术支撑。
展望未来,耶鲁大学的研究团队充满信心地表示:“我们将继续努力,希望把这种创新方法的应用范围拓展到更多的疾病模型当中,为更多深受病痛折磨的患者带来康复的希望。”相信在不久的将来,随着研究的深入推进,这一成果将为癌症治疗领域带来新的曙光,让我们拭目以待!
▼PB-NK细胞的扩增和基因编辑的示意图,人类原代NK细胞中的CALHM2KO增强了抗肿瘤功能
▲图源“nature biotechnology”,版权归原作者所有,如无意中侵犯了知识产权,请联系我们删除
暨南大学重磅发现:NK细胞化身"抗癌利刃",直击复发性乳腺癌,肿瘤显著缩小,生活质量提升
乳腺癌是全球女性群体中最为常见的癌症类型。尽管手术、化疗、放疗以及内分泌治疗等手段在很大程度上提升了临床治疗效果,然而乳腺癌的复发率依旧居高不下。因此,迫切需要开发出更为有效且安全的治疗方法,以此来提高复发性乳腺癌患者的生存率,改善其生活质量。研究发现,免疫系统在乳腺癌的发展进程中扮演着双重角色:一方面,它会通过炎症途径促进肿瘤的发生;另一方面,又能借助主动免疫监视抑制适应性免疫,进而阻止肿瘤形成。
而自然杀伤(NK)细胞作为先天免疫系统的关键组成部分,在宿主早期抵御癌症的过程中发挥着至关重要的作用。NK细胞通过直接杀伤被病毒感染的细胞和肿瘤细胞,以及产生免疫调节细胞因子和趋化因子来发挥效应功能,这些功能对适应性免疫反应产生重要影响。随着NK细胞生物学领域的不断发展,以及我们对NK细胞功能认知的逐步加深,NK细胞转移已经成为癌症治疗中一种极具潜力的癌症免疫治疗手段。
暨南大学的研究团队开展了一项名为“自体与同种异体自然杀伤(NK)细胞,治疗复发性乳腺癌”的临床研究(NCT02853903)。值得关注的是,这是首个对自体和同种异体NK细胞免疫治疗复发性乳腺癌的临床结果,进行比较的临床试验。
本次研究共入组36例经组织病理学检查确诊为复发性乳腺癌的患者,将其随机分为两组:自体NK细胞免疫治疗组(I组,n=18)、同种异体NK细胞免疫治疗组(II组,n=18)。结果显示如下:
1、临床疗效评估:根据RECIST评价标准,Ⅱ组临床疗效优于Ⅰ组,Ⅱ组3例(16.67%)患者达到部分缓解(PR),12例(66.67%)患者达到疾病稳定(SD);而Ⅰ组仅1例(5.56%)患者达到部分缓解(PR)(P<0.05),10例(55.56%)患者疾病稳定(SD)(P>0.05)。
2、肿瘤缩小:两组患者末次治疗后1、2个月,肿瘤体积及CT值均减小,且Ⅱ组肿瘤最大横径及CT值均小于Ⅰ组(P<0.05)(详见下表)。
▲数据源自“Dovepress”
3、生活质量:Ⅰ组治疗前及末次治疗后2个月的卡氏体能状态评分(KPS评分)分别为66.7±5.0(治疗前)、78.8±5.6(末次治疗后2个月);而Ⅱ组的KPS评分则分别为71.1±5.9(治疗前)、84.3±5.4(末次治疗后2个月)。总之,治疗后两组KPS评分均较治疗前明显提高(详见下图A,P<0.05),且治疗后2个月II组KPS评分明显高于I组(详见下图B,P<0.05)。
▲图源“Dovepress”,版权归原作者所有,如无意中侵犯了知识产权,请联系我们删除
4、CA15-3及癌胚抗原指标变化:两组患者治疗前1天,癌胚抗原(CEA)及癌抗原15-3(CA15-3)表达均高于正常值,治疗后1、2周及末次治疗后1个月逐渐降低(详见下图A)。但Ⅱ组患者治疗后1个月CEA及CA15-3表达明显低于Ⅰ组(P<0.05)(详见下图B)。
▲图源“Dovepress”,版权归原作者所有,如无意中侵犯了知识产权,请联系我们删除
值得一提的是,其中一位46岁的乳腺癌患者,在NK细胞治疗前,CT扫描显示:该患者右乳存在一个8.0×3.8×5.7cm的软组织肿块,边界不清。增强CT显示肿块中度不均匀强化。腋窝处有多处肿大淋巴结,较大的约2.9×1.7×3.8cm(详见下图A)。
NK细胞治疗后2个月,肿块缩小至6.8×3.5×5.8cm,轻度不均匀强化。较大的肿大淋巴结明显缩小(详见下图B)。
▲图源“Dovepress”,版权归原作者所有,如无意中侵犯了知识产权,请联系我们删除
注:红色箭头表示肿瘤。
NK细胞联合肝动脉灌注化疗,肝细胞癌疾病控制率高达81.8%
肝细胞癌(HCC)目前是2020年全球第六大常见癌症和第三大癌症相关死亡原因。近年研究发现,NK细胞是肝脏先天免疫系统的重要组成部分,占肝内淋巴细胞的30%~50%。有研究报告称,HCC患者的NK细胞数量和功能显著降低,肿瘤浸润NK细胞的减少与晚期HCC患者生存率低有关。这表明肝内NK细胞在针对HCC的免疫监视中发挥着重要作用。因此,人们已采用各种方法来克服NK细胞功能障碍,并恢复NK细胞在针对HCC的免疫防御中的活性。
《癌症免疫和免疫治疗》杂志近期发表了一项“应用自然杀伤(NK)细胞,治疗肝细胞癌(HCC)的I期临床研究数据”。本次研究共入组11例对标准治疗无效的局部晚期肝细胞癌(HCC)患者,中位年龄为56.6岁(范围:43-71岁),大多数患者(81.1%)被评为Child-PughA,入组接受VAX-NK/HCC(新系统产生的局部高剂量自体NK细胞)治疗。中位随访时间为55.9个月(范围:44.7~63.4个月)。结果显示如下:
1、病情缓解情况:入组11例患者,确认的客观缓解率(ORR)为63.6%,其中完全缓解率(CR)为36.4%,确认的部分缓解率(PR)为27.3%。此外,2例患者(18.2%)达到病情稳定(SD),疾病控制率(DCR)高达81.8%。此外,根据mRECIST,在7名显示完全缓解或部分缓解的患者中,中位缓解持续时间(DOR)为8.6个月(范围:4.3至27.5个月)(详见下图)。
▼客观缓解患者的病情进展时间和缓解持续时间
▲图源“frontiers”,版权归原作者所有,如无意中侵犯了知识产权,请联系我们删除
2、中位无进展生存期(PFS):所有患者的中位无进展生存期(PFS)为10.3个月(95%置信区间[CI]:6.8~13.7),12和24个月的PFS率分别为36.4%、9.1%(详见下图)。
▲图源“frontiers”,版权归原作者所有,如无意中侵犯了知识产权,请联系我们删除
3、中位总生存期(OS):所有患者的中位总生存期(OS)为41.6个月(95%CI:16.0~67.2),12和36个月的OS率分别为72.7%、54.5%(详见下图)。
▲图源“frontiers”,版权归原作者所有,如无意中侵犯了知识产权,请联系我们删除
NK细胞联合帕博利珠单抗,暴击难治性胆道癌,疾病控制率超70%,最长12个月无进展
胆道癌涵盖胆管癌(起源于肝内、肝门部或肝外胆管的癌症)和胆囊癌。由于胆道癌在早期往往症状隐匿,超过半数的患者在确诊时就已步入晚期,这给临床治疗带来了极大的挑战。自然杀伤(NK)细胞作为先天淋巴细胞的主要亚群,能够识别并摧毁缺乏主要组织相容性复合体(MHC)I 类分子的癌细胞,在抵抗病毒感染和抑制癌细胞生长方面发挥着关键作用,为胆道癌患者带来了新的希望。
近期,全球癌症领域权威期刊《Cancers》报道了一项 “同种异体 NK 细胞(‘SMT-NK’)联合帕博利珠单抗,治疗化疗耐药的晚期胆道癌的首次 1/2a 期临床试验” 的惊人数据。此次试验共纳入 56 例胆道癌患者(其中 11 名参与 1 期试验,45 名参与 2a 期试验),这些患者均接受了高度活化的同种异体 NK 细胞(“SMT-NK”)与帕博利珠单抗联合治疗。在至少接受过一次 SMT-NK 和帕博利珠单抗治疗的患者中,将可获得疗效评估数据的患者定义为全分析集(N=23),把完成研究方案的患者定义为符合方案集(N=8)。
结果显示:全分析集的总体缓解率为(ORR) 17.4%,完成研究方案的患者(即按方案设置集)总体缓解率高达 50.0%。若考虑每个患者的最佳反应,疾病控制率(DCR)更是达到 73.9%,靶病变相对于基线的最大变化范围为 - 82.3%~169%(详见下图)。
▼2a期试验中23名患者的靶病变大小相对于基线的最佳变化
▲图源“Cancers (basel)”,版权归原作者所有,如无意中侵犯了知识产权,请联系我们删除
此外,可评估疗效患者(即全分析集)的中位无进展生存期(PFS)为 4.1 个月(95% CI,1.8 - 5.9 个月)(详见下图)。
▲图源“Cancers (basel)”,版权归原作者所有,如无意中侵犯了知识产权,请联系我们删除
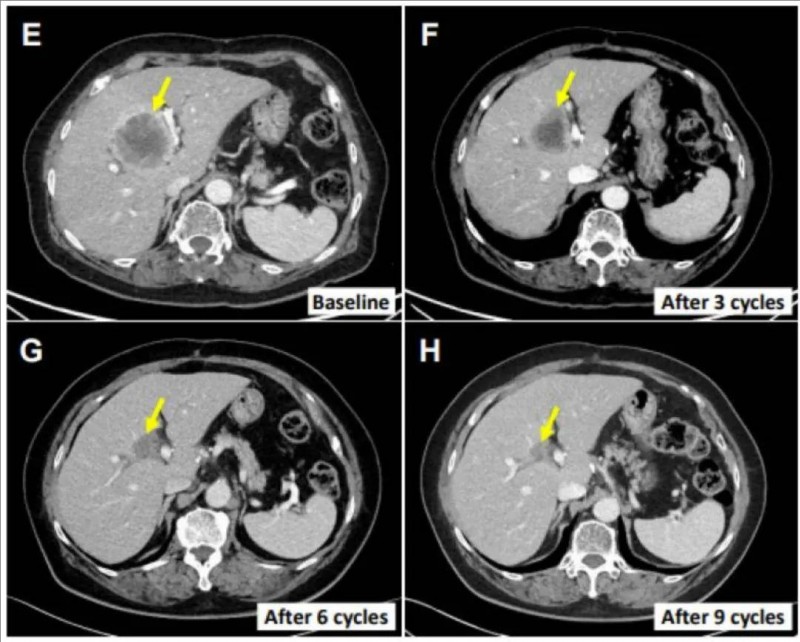
值得一提的是,其中一位患者表现出主要靶病变的持续客观消退,且在初始治疗后12个月病情无进展。该患者是一位76岁的肝外胆管癌女性患者(患者E0217),既往接受过胆总管节段切除术和胆囊切除术。但手术4个月后,发现多处肝转移。随后接受吉西他滨和顺铂全身化疗,然而效果依然不理想,多处肝脏病变随后进展。遂入组接受SMT-NK细胞+帕博利珠单抗治疗,令人惊喜的是,SMT-NK细胞+帕博利珠单抗联合治疗后,她的肝转移病变减少了70.4%(详见下图E-H),并且在初始治疗后12个月无进展。
▼E0217号患者在接受SMT-NK细胞治疗前后,主要肝转移病变CT图像对比
▲图源“Cancers (basel)”,版权归原作者所有,如无意中侵犯了知识产权,请联系我们删除
注:黄色箭头表示目标病变。每三个周期后进行一次反应评估。
小编寄语
NK细胞可在第一时间发现并启动人体的免疫防御机制,及时发现并将癌细胞扼杀在“摇篮”里,是公认的抗癌第一道防线。多项临床研究也表明,NK 细胞疗法具有很高的安全性和有效性,可以实现强效、通用和现成的免疫细胞疗法的前景,克服 CAR-T 疗法的部分缺点,是抗癌疗法中冉冉升起的新星!
小编也希望通过这篇文章能让更多病友,了解到NK细胞疗法的前沿进展及其在实体瘤和血液肿瘤中的应用,为广大癌友带来新的希望与选择!如果您对现有治疗方案不满意,或想寻求NK细胞疗法、CAR-NK疗法等抗癌新技术的帮助,可将治疗经历、近期病理检查报告、出院小结等,提交至全球肿瘤医生网医学部,进行初步评估。
参考资料
[1]Liang S,et al.Comparison of autogeneic and allogeneic natural killer cells immunotherapy on the clinical outcome of recurrent breast cancer. onco Targets Ther. 2017 Aug 28;10:4273-4281.
https://www.dovepress.com/comparison-of-autogeneic-and-allogeneic-natural-killer-cells-immunothe-peer-reviewed-fulltext-article-OTT
[2]Bae W K,et al.A phase I study of locoregional high-dose autologous natural killer cell therapy with hepatic arterial infusion chemotherapy in patients with locally advanced hepatocellular carcinoma[J]. Frontiers in Immunology, 2022, 13: 879452.
https://www.frontiersin.org/journals/immunology/articles/10.3389/fimmu.2022.879452/full
[3]Leem G,et al.Safety and Efficacy of Allogeneic Natural Killer Cells in Combination with Pembrolizumab in Patients with Chemotherapy-Refractory Biliary Tract Cancer: A Multicenter Open-Label Phase 1/2a Trial. Cancers (basel). 2022 Aug 30;14(17):4229.
https://pmc.ncbi.nlm.nih.gov/articles/PMC9454779/
[4]https://news.yale.edu/2024/06/25/boosting-natural-killer-cell-activity-could-improve-cancer-therapy











































