甲状腺癌为什么越来越多,RET抑制剂和NTRK抑制剂这两类靶向药让甲状腺癌患者生存期翻3倍
从2000年到2016年这16年里,一些癌症的发病率随着生活习惯和生活环境的改变、人类寿命的延长而缓慢上升,一些癌症的发病率随着经济发展与医疗水平的提升而缓慢下降;但有一类癌症,发病率在16年里整整增涨了20倍!
原本“默默无闻”、不被重视、恶性程度也不怎么高的“懒癌”甲状腺癌,一跃成为了中国第7常见的恶性肿瘤,在全部新发癌症当中占了接近5%。
甲状腺癌为什么越来越多
甲状腺癌,这类癌症整体来说恶性程度较低、预后较好,且相比起其它恶性肿瘤进展较慢。部分患者在确诊之后的多年内没有接受治疗,肿瘤体积却没有增大。
但这种特点仅仅局限于部分亚型。甲状腺癌有多类亚型,包括相对常见的甲状腺髓样癌、分化型甲状腺癌,以及相对罕见的未分化甲状腺癌等等。早期发现的甲状腺癌可以治愈,但也有部分甲状腺癌同样也会发展至晚期、转移,需要依靠长期用药来维持缓解。
既然是如此“懒”的一类癌症,那么为何,它的发病率在短短16年里却有如此巨幅的提升呢?
1、生活压力增大
与其它大部分癌症不同,甲状腺癌在任何年龄层均有发病,且更加倾向于青壮年的人群。这又是一种与情绪紧密相关的恶性肿瘤。随着我国经济的快速发展,青壮年人群在工作、生活当中的压力快速增大,甲状腺癌的发生率也在随之提升。
但这并不能造成“16年提升20倍”的巨大变化。真正造成这种发病率快速提升的现象的根源,在于检测手段的普及与优化。
2、甲状腺检查普及
由于甲状腺癌进展较慢,以往很多患者可能直到(因其他原因)死亡位置,都没有发现自己其实罹患了甲状腺癌。来源于尸检的统计数据支持这一结论。
而近些年,我们对身体健康的关注日趋强烈,甲状腺癌的检查(B超等)得到了普及,很多原本可能一辈子都不会发现自己罹患了甲状腺癌的患者,被检查出来了。这种情况会造成甲状腺癌发病率数字的提升,但并不意味着甲状腺癌患者的数量就比以前更多。
3、检查水平提高
设备的更新换代,以及技术水平的提升,也会让一些原本“查不出来”的微小病灶被确诊。同样,这种情况也会造成甲状腺癌发病率数字的提升,但也不意味着甲状腺癌患者的数量就比以前更多。
总的来说,并不是甲状腺癌的患者数量实际上真的翻了20倍,只是大量原本不会被确诊的甲状腺癌患者,因为医疗水平的发展而得到了确诊。
如果确诊之后是早期的、基本不进展的、治疗比较容易的、或者能通过手术切除的甲状腺癌,那自然是皆大欢喜,不论是否做手术,对于患者本身的影响都比较小。
但如果患者确诊了晚期、转移期、或者治疗非常困难的甲状腺癌,必须依靠长期用药来缩小病灶,那么现在有什么新药可以选择呢?
甲状腺癌靶向治疗
这一次,基因药物汇将主要为大家介绍两类靶向治疗药物。这两类药物都是近几年才快速发展起来的新靶点靶向治疗药物,在甲状腺癌的治疗当中,有比较重要的意义。
RET抑制剂
大约70%的甲状腺髓样癌存在RET改变,因此RET抑制剂在甲状腺癌这一适应症上的应用备受关注。目前为止,已经有两款RET抑制剂获批应用于甲状腺癌的治疗。
1、Selpercatinib
塞尔帕替尼(Selpercatinib,LOXO-292)是首款获批用于治疗甲状腺癌的RET抑制剂。2020年5月8日,塞尔帕替尼获得FDA批准上市,用于治疗RET突变阳性的晚期或转移性甲状腺髓样癌成年及12岁以上儿童患者,以及放射性碘难治的RET融合阳性晚期或转移性甲状腺癌成年及12岁以上儿童患者。
根据LIBRETTO-001试验的数据,在既往接受过凡德他尼、卡博替尼当中一种或两种方案治疗的,RET突变甲状腺髓样癌患者当中,塞尔帕替尼治疗的整体缓解率为69%,1年无进展生存率为82%。
在既往未接受过凡德他尼或卡博替尼治疗的RET突变甲状腺髓样癌患者中,整体缓解率为73%,1年无进展生存率为92%。
在既往接受过治疗的RET融合阳性甲状腺癌患者当中,整体缓解率为79%,1年无进展生存率为64%。
2、Pralsetinib
普雷西替尼(Pralsetinib,Gavreto,BLU-667)的获批稍晚。2020年12月2日,普雷西替尼获得FDA的加速批准,用于治疗RET突变阳性的晚期或转移性甲状腺髓样癌成年及12岁以上儿童患者,和RET融合突变阳性、需要进行全身治疗联合放射性碘治疗的难治性晚期或转移性甲状腺癌患者。
该批准基于Ⅰ/Ⅱ期ARROW试验的结果,研究中纳入了143例患者,包括既往接受过卡博替尼或凡德他尼中任何一种或两种药物治疗的患者(55例),以及初治的患者(88例)。
在经治患者中,普雷西替尼治疗的整体缓解率为69%,其中76%的患者缓解持续超过6个月;在初治患者中,整体缓解率为73%,其中61%的患者缓解持续超过6个月。
而在放射性碘难治的患者亚组研究结果中,曾接受过全身治疗的患者整体缓解率79%,其中87%的患者缓解持续超过6个月;在仅接受过放射性碘治疗的患者中,整体缓解率100%,其中75%的患者缓解持续超过6个月。
RET突变是一种泛癌种的致病因素,可能导致多类癌症,其中包括比较重要的适应症非小细胞肺癌(检出率约1%~2%)以及甲状腺癌(检出率约20%)。
临床上,早期通常采用卡博替尼或凡德他尼等药物进行治疗,但由于这两类药物并非专门靶向RET这一靶标的抑制剂,因此疗效并不能令人满意,缓解率在30%左右,中位无进展生存期2.3个月,中位总生存期6.8个月。
目前,RET抑制剂的问世,为这两类癌症带来的是一次颠覆性的疗效提升。如果大家希望了解更多关于RET抑制剂的信息,或希望了解同类在研药物的临床试验资讯,可以咨询基因药物汇(400-686-1602)。
NTRK抑制剂
NTRK抑制剂以“广谱抗癌”闻名,很多人可能并不知道,甲状腺癌是这类药物的一个非常重要的适应症。
在甲状腺癌当中,NTRK突变的检出率约在5%~20%左右,其中部分亚型检出率稍低,如甲状腺乳头状癌,但部分亚型检出率较高,如低分化甲状腺癌等。随着NTRK抑制剂的问世与逐渐普及,这部分患者也有了疗效较好的治疗手段。
1、拉罗替尼
拉罗替尼(Larotrectinib,Vitrakvi)治疗NTRK融合突变的甲状腺癌患者,整体缓解率为71%,其中7%为完全缓解;疾病控制率为85%;达到临床缓解的患者当中,81%的患者缓解持续超过了2年。
所有患者的2年无进展生存率为69%,2年生存率为76%。
根据不同亚型分析,乳头状及滤泡型甲状腺癌患者的整体缓解率为86%,间变性甲状腺癌患者为29%。
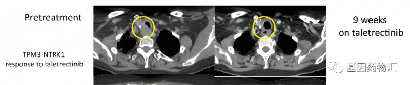
2、Taletrectinib
NTRK患者接受NTRK抑制剂治疗的案例,最大的一个共同点就是治疗时间特别长,患者能够凭借靶向治疗取得三年、四年以上的超长缓解。
Taletrectinib(DS-6051b,AB-106)的临床试验当中,也有一部分接受治疗后取得超长缓解的患者案例。这些患者当中有属于NTRK突变的,也有并不属于NTRK突变,但是仍然获得超长缓解的“幸运儿”!
甲状腺乳头状癌:33.4个月,至发布时仍处于缓解
这位TPM3-NTRK1融合突变的转移性甲状腺乳头状癌患者,通过Taletrectinib(AB-106)治疗取得了相当不错的疗效。他用药后的缓解持续时间已经达到了33.4个月,并且至结果发布时,仍在刷新着这个数据,持续保持临床缓解!
他之前已经接受过非常多的治疗,包括甲状腺切除术、放化疗、放射性I-131治疗、索拉非尼治疗,甚至接受过了3个靶向治疗联合或不联合免疫检查点抑制剂的Ⅰ期临床试验。能够继续达到这样长的缓解期,疗效可谓相当出色。
NTRK抑制剂的临床试验就更多了,如果大家希望了解同类在研药物的临床试验资讯,可以咨询基因药物汇。
小汇有话说
除了上述的靶向治疗药物以外,一些新兴的治疗手段,例如CAR-T细胞疗法,在甲状腺癌这个适应症上都做出了不少的尝试,并且发掘出了很多有价值的新靶点。
举例来说,GFRα4蛋白这个特殊的靶标,是一些CAR-T疗法“挑战”甲状腺癌这一适应症的基础。GFRα4蛋白和甲状腺髓样癌是什么样的关系呢?细胞治疗领域的专家表示,所有的甲状腺髓样癌细胞都会表达这个东西,而且GFRα4蛋白是甲状腺髓样癌细胞独有的靶标。
这样的特质让靶向GFRα4蛋白的CAR-T细胞成为了甲状腺髓样癌的一种有潜力的疗法。只要想一想CAR-Claudin 18.2-T细胞疗法对于胃癌的价值,就能明白这种靶向GFRα4蛋白的CAR-T疗法的意义了。
这一类型药物的第一阶段试验刚刚注册,还没有可供参考的人体试验疗效数据。不过我们非常期待它在后续试验当中的表现。如果大家有兴趣详细了解,或尝试能够用于治疗甲状腺癌的CAR-T及其它细胞治疗方案,也可以咨询我们。
总而言之,在甲状腺癌这个适应症上,新方案、好方案还有很多,前景是比较光明的。


























