胰腺癌新药有哪些,六大重磅胰腺癌最新药物向"癌王"发起挑战
胰腺癌被封为“癌王”的原因很简单,因为它是最致命的癌症之一。根据美国国家癌症院的最新数据统计,晚期胰腺癌的五年生存率仅为2.9%,是所有常见癌症中最低的。
为了早日攻克“癌王”,全球的医学家们都在积极探索各种治疗方案。近年来,随着分子靶向免疫治疗的进展,胰腺癌的治疗也从疗效不佳的单纯化疗和放疗进阶到更精准更有效靶向免疫治疗,各种新药物、新疗法向“癌中之王”发起挑战,获得了众多的突破。全球肿瘤医生网医学部为大家整理了取得了重大进展的五款新药,希望给大家带来战胜“癌王”的信心。
胰腺癌的五大重磅新药问世
01、用药8周,肿瘤缩小超过90%!FDA授予LP-184孤儿药资格
2021年8月18日,FDA 已授予 LP-184 孤儿药资格,作为胰腺癌患者的潜在治疗选择。
LP-184是一款新一代的DNA烷化剂,通过破坏癌细胞中的DNA发挥治疗作用,这些癌细胞通常过表达某些生物标志物。
临床前的试验数据表明,在 8 周内,在体内小鼠模型中,LP-184 治疗导致肿瘤显着快速缩小 90% 以上。相比之下,未治疗小鼠的肿瘤体积在同一时期增长了 11 倍以上。
目前,LP-184的人体临床试验正在筹备,预计在不久的未来开展。
02、FDA授予Zenocutuzumab治疗胰腺癌孤儿药地位
2020年7月,FDA授予zenorcutuzumab(MCLA-128)孤儿药地位,用于治疗胰腺癌患者。Zenocutuzumab是一种非常强大的双特异性抗体,可与HER2和HER3受体结合,从而阻断HER3及其配体神经调节蛋白1(NRG1)或NRG1融合蛋白的相互作用,因此对于NRG1基因融合的胰腺癌患者效果显著。
在具有NRG1基因融合的先前治疗过的胰腺癌患者的早期研究发现,2名接受治疗的患者均有明显的肿瘤缩小,其中1位患者在第8周的肿瘤直径减少了44%,在治疗五个月后缩小了54%。另一位患者在第6周的肿瘤直径减少了22%。
关于NRG1:NRG1融合比较罕见,大约存在于0.5%至1.5%的胰腺导管腺癌中。目前zenocutuzumab正在进行1/2期临床试验,代号为eNRGy研究(NCT02912949)。该研究将评估该药物作为NRG1基因融合阳性癌症的单药治疗的安全性和抗肿瘤活性,包括胰腺癌,非小细胞肺癌和其他实体瘤患者。想申请的患者可以联系全球肿瘤医生网将医学部进行初步评估,我们也将及时为大家提供招募信息。
(注:请将基因检测报告,诊断报告电子版或拍照发送至doctor.huang@globecancer.com,邮件中留下联系方式,或直接致电医学部,医学部收到报告分析完毕后一个工作日内电话联系,为您全面分析检测报告,匹配能够入组的临床试验,以及有无新药可以使用)
03、FDA授予SM-88治疗胰腺癌孤儿药称号
2020年8月初,另外一款药物SM-88也被FDA授予孤儿药地位。
●口服SM-88是一种旨在选择性破坏癌症中蛋白质合成的新方法-在四项单独的研究中证明了对15种不同的癌症类型有效
●TYME-88-PANC II期研究在ESMO GI 2019上展示的数据表明,转移性胰腺癌患者的总体生存趋势令人鼓舞!
年轻的M女士确诊为胰腺癌,临床中的标准治疗方案都失败了,医生说她仅剩下几个月的生存期,肿瘤已经转移至背部的肌肉,骨盆以及在整个腹腔扩散。在绝望时,医生推荐她参加了一种名为SM-88的实验性化合物的治疗,这是一种新型的口服化合物,最初医生只是希望这种药物能够延缓肿瘤的进展。
但是令医生大吃一惊的是,M女士的肿瘤竟然缩小到可以手术切除的程度,就这样,M女士已经从几个月的生存期幸存了五年。
SM-88(显示为蓝色六边形)会破坏肿瘤细胞的代谢,使其易受免疫反应和氧化应激影响。
大家对SM-88可能比较陌生,这款药物既不是靶向也不是免疫疗法,而是一种新型的联合疗法,利用了一种专有的功能失调性酪氨酸衍生物来中断癌细胞的代谢过程,破坏细胞的关键防御,使其易受氧化应激和死亡的影响。该疗法已被证明在多种肿瘤类型(包括乳腺癌、前列腺癌、胰腺癌)的治疗中有效,并且具有低的毒性或严重不良事件报告率。
过去四年的试验表明该药物具有治疗乳腺,前列腺,肺等15类其他器官系统肿瘤的潜力,但是最有希望的临床数据来自胰腺癌的研究。我们期待这款药物能够早日上市,造福更多的胰腺癌患者。
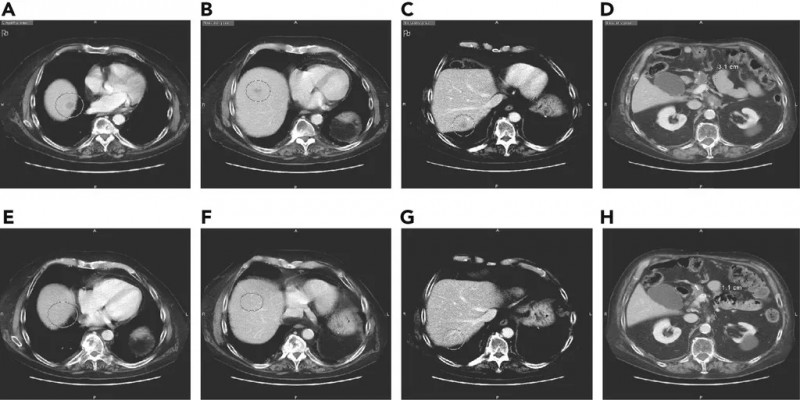
04、81岁高龄晚期胰腺癌患者病灶全部消失!拉罗替尼不断创造生存奇迹
近日,美国国家综合癌症网络(NCCN)上报道了一款非常振奋人心的新药物,为癌症患者带来了生存的希望!一位81岁高龄的晚期胰腺癌患者,在接受了手术、化疗后病情不断进展,临床上已经没有标准治疗方案,在接受了拉罗替尼治疗后,病灶竟然全部奇迹消失!
这款药物就是全球首个不区分肿瘤来源用于初始治疗的靶向药--Vitrakvi ®。
2018年底,这款“治愈系”抗癌神药Vitrakvi ®,中文名称拉罗替尼终于完成临床试验,在万众期待下震撼上市(就是大名鼎鼎的LOXO-101,这是上市前的代号)。
然而,这款药物并不是针对所有胰腺癌患者都有效,而是需要存在特定的NTRK融合才可以,比如我们开始介绍的那位81岁的老爷子,是NTRK基因和SEL1L基因融合在了一起,出现了SEL1L-NTRK1融合。
而存在这种融合的患者概率是比较小的,据统计,大概只有6%的胰腺癌患者存在NTRK融合。因此,大家如果想接受拉罗替尼的治疗,一定要先进行基因检测看看是否存在NTRK融合,做过基因检测的病友,也可以将报告发给全球肿瘤医生网医学部进行解读。
最后告诉大家一个好消息,拉罗替尼目前已上市,但价格非常昂贵,成人每年的费用为393,600美元(近260万人民币),目前国内已经正式开展临床试验,想申请的患者可以请将基因检测报告,诊断报告电子版或拍照发送至doctor.huang@globecancer.com,邮件中留下联系方式,医学部收到报告分析完毕后一个工作日内电话联系,或直接致电全球肿瘤医生网医学部进行评估。
05、一剂猛药!AMG510治疗晚期胰腺癌曙光乍现
近日,FDA已对革命性新药Sotorasib(大家可能对它的代号比较熟悉,这就是大名鼎鼎的AMG 510)进行了优先审查,用于治疗至少经过一次全身性治疗的携带KRAS G12C突变的局部晚期或转移性非小细胞肺癌(NSCLC)患者。
而KRAS最为最常见的致癌基因之一,存在于90%的胰腺癌中,其中KRAS G12C存在2%的胰腺癌,因此,AMG510这款打破了KRAS历史性缺口的创新药物,也让我们看到了攻破胰腺癌的希望。
06、氢氯喹+曲美替尼或将成为攻击胰腺癌的组合拳
Hydroxychloroquine(羟氯喹)和trametinib(曲美替尼)分别被美国食品和药物管理局批准用于治疗疟疾和黑色素瘤。一种称为羟氯喹的自噬抑制剂和一种阻断MAPK途径中蛋白质的药物trametinib(曲美替尼 Mekinist)一起治疗可以减缓在移植了KRAS- 突变的人胰腺肿瘤的小鼠中肿瘤生长并延长存活时间。
用曲美替尼和羟氯喹治疗移植了胰腺肿瘤的小鼠,结果显示肿瘤一致消退。
这种联合疗法的效果在一位晚期胰腺癌患者身上同样得到了证实,这位患者在手术后,接受了几次化疗,但不幸的是癌症复发并转移了,目前已经没有很好的治疗方案,
这名患者接受了 trametinib和hydroxychloroquine治疗,令患者和医生震惊的是,奇迹出现了,2个月内,患者的胰腺癌标志物CA 19-9的血液水平下降了95%。4个月后,他体内的癌症数量减少了50%。
对于胰腺癌来说,这是一个非常了不起的反应!
用曲美替尼加羟氯喹(T / HCQ)治疗胰腺癌患者导致肿瘤标志物癌抗原19-9(CA19-9)和总体肿瘤负荷减少。
众多好药在路上,守得云开见月明
我们可以看到,对于这种预后极差的癌症,近年来,靶向和免疫疗法已经取得了显著的成绩。肿瘤学家们希望通过对胰腺癌患者进行基因检测,找到胰腺癌患者常见的基因突变,帮助患者找到合适的靶向药物和临床试验。
在最新发布的胰腺癌NCCN指南中明确建议胰腺癌患者检测KRAS、CDKN2A、TP53和SMAD4这四个最为常见的突变,除此之外,一些近年来研究的热点基因,包括上述的NRG1,NTRK,BRCA1,BRCA2,等基因进行检测,可以帮助确定更有效的治疗方法,以及是否有机会参与新药的临床研究。大家可以致电全球肿瘤医生网医学部咨询具体需要检测的基因靶点,已经做过基因检测的病友也可以将检测报告发送至doctor.huang@globecancer.com,我们将为您分析报告,匹配是否有新药使用。
此外除了上述研究,还有众多有望延长晚期胰腺癌生存期的药物组合疗法也取得了突破性进展,如Nab-PTX 联合 S-1,白蛋白紫杉醇联合吉西他滨(AG)和FOLFIRINOX序贯治疗转移性胰腺癌,以及胰腺癌疫苗Gvax联合免疫检查点抑制剂等。更多胰腺癌的研究进展大家可以扫描文末二维码在线咨询。
众多好药在路上,守得云开见月明,大家要坚定信心,战胜癌王!
参考资料:
https://www.onclive.com/view/new-applications-for-chemotherapy-parp-inhibitors-drive-progress-in-pancreatic-cancer
https://www.onclive.com/view/fda-grants-orphan-drug-status-to-lp-184-for-pancreatic-cancer
































